JavaScript is disabled in your browser. Please enable JavaScript to view this website.
AB203129

Anti-FPRL1/RFP antibody

4

(4 Reviews)

|

(12 Publications)

Rabbit Polyclonal FPRL1/RFP antibody. Suitable for Flow Cyt, IHC-P and reacts with Mouse, Rat, Human samples. Cited in 12 publications. Immunogen corresponding to Synthetic Peptide within Human FPR2 aa 50-100 conjugated to Keyhole Limpet Haemocyanin.

View Alternative Names

FPRH1, FPRL1, LXA4R, FPR2, N-formyl peptide receptor 2, FMLP-related receptor I, Formyl peptide receptor-like 1, HM63, Lipoxin A4 receptor, RFP, FMLP-R-I, LXA4 receptor

3 Images
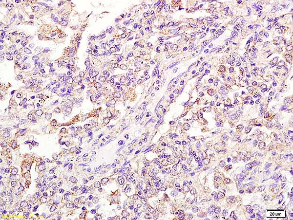
Immunohistochemistry (Formalin/PFA-fixed paraffin-embedded sections) - Anti-FPRL1/RFP antibody (AB203129)
  • IHC-P

Supplier Data

Immunohistochemistry (Formalin/PFA-fixed paraffin-embedded sections) - Anti-FPRL1/RFP antibody (AB203129)

Immunohistochemical analysis of formalin-fixed, paraffin-embedded Human pneumonitis tissue labeling FPRL1/RFP with ab203129 at 1/200 dilution, followed by conjugation to the secondary antibody and DAB staining.

Immunohistochemistry (Formalin/PFA-fixed paraffin-embedded sections) - Anti-FPRL1/RFP antibody (AB203129)
  • IHC-P

Supplier Data

Immunohistochemistry (Formalin/PFA-fixed paraffin-embedded sections) - Anti-FPRL1/RFP antibody (AB203129)

Immunohistochemical analysis of formalin-fixed, paraffin-embedded injured rat spinal cord tissue labeling FPRL1/RFP with ab203129 at 1/200 dilution overnight at 4°C, followed by Goat Anti-Rabbit IgG, Alexa Fluor 647 conjugated secondary antibody at 1/200 dilution for 40 minutes at 37°C.

Flow Cytometry - Anti-FPRL1/RFP antibody (AB203129)
  • Flow Cyt

Supplier Data

Flow Cytometry - Anti-FPRL1/RFP antibody (AB203129)

Flow cytometric analysis of Mouse splenocytes labeling FPRL1/RFP with ab203129 at 1/50 dilution, followed by incubation with Goat Anti-Rabbit IgG FITC conjugated secondary at 1/100 dilution (green) compared to control cells (blue).

Key facts

Host species

Rabbit

Clonality

Polyclonal

Isotype

IgG

Carrier free

No

Reacts with

Mouse, Rat, Human

Applications

IHC-P, Flow Cyt

applications

Immunogen

Synthetic Peptide within Human FPR2 aa 50-100 conjugated to Keyhole Limpet Haemocyanin. The exact immunogen used to generate this antibody is proprietary information.

P25090

Reactivity data

{ "title": "Reactivity Data", "filters": { "stats": ["", "Species", "Dilution Info", "Notes"], "tabs": { "all-applications": {"fullname" : "All Applications", "shortname": "All Applications"}, "FlowCyt" : {"fullname" : "Flow Cytometry", "shortname":"Flow Cyt"}, "IHCP" : {"fullname" : "Immunohistochemistry (Formalin/PFA-fixed paraffin-embedded sections)", "shortname":"IHC-P"} }, "product-promise": { "all": "all", "testedAndGuaranteed": "tested", "guaranteed": "expected", "predicted": "predicted", "notRecommended": "not-recommended" } }, "values": { "Human": { "FlowCyt-species-checked": "guaranteed", "FlowCyt-species-dilution-info": "", "FlowCyt-species-notes": "", "IHCP-species-checked": "testedAndGuaranteed", "IHCP-species-dilution-info": "1/100 - 1/500", "IHCP-species-notes": "<p>(or 1/50 - 1/200 using a fluorescent secondary antibody).</p>" }, "Mouse": { "FlowCyt-species-checked": "testedAndGuaranteed", "FlowCyt-species-dilution-info": "1/20 - 1/100", "FlowCyt-species-notes": "<p></p>", "IHCP-species-checked": "guaranteed", "IHCP-species-dilution-info": "", "IHCP-species-notes": "" }, "Rat": { "FlowCyt-species-checked": "guaranteed", "FlowCyt-species-dilution-info": "", "FlowCyt-species-notes": "", "IHCP-species-checked": "testedAndGuaranteed", "IHCP-species-dilution-info": "1/100 - 1/500", "IHCP-species-notes": "<p>(or 1/50 - 1/200 using a fluorescent secondary antibody).</p>" } } }

Properties and storage information

Form
Liquid
Purification technique
Affinity purification Protein A
Storage buffer
pH: 7.4 Preservative: 0.02% Proclin 300 Constituents: 50% Glycerol (glycerin, glycerine), 48.98% TBS, 1X, 1% BSA
Shipped at conditions
Blue Ice
Appropriate short-term storage duration
1-2 weeks
Appropriate short-term storage conditions
+4°C
Appropriate long-term storage conditions
-20°C
Aliquoting information
Upon delivery aliquot
Storage information
Avoid freeze / thaw cycle

Supplementary information

This supplementary information is collated from multiple sources and compiled automatically.

FPRL1 known also as FPR2 or formyl peptide receptor-like 1 is a G-protein-coupled receptor with an approximate mass of 39 kDa. This receptor primarily resides on the surface of immune cells such as neutrophils monocytes and dendritic cells. FPRL1 plays an important role in transmitting chemotactic signals that guide immune cells towards sites of inflammation or infection. It binds ligands that include formylated peptides and lipid mediators initiating a cascade of intracellular signals that mobilize immune responses.
Biological function summary

FPRL1 enables the immune system to detect and respond to pathogenic threats effectively. As part of the immune surveillance mechanism FPRL1 aids in the migration and function of immune cells by activating intracellular second messenger systems including calcium mobilization and MAPK pathways. Though not part of a larger protein complex it interacts closely with other signaling molecules to amplify immune responses. The receptor also shows diverse ligand recognition possibly allowing it to participate in different immune processes.

Pathways

FPRL1 holds a position in both inflammatory and resolution pathways. Notably it participates in the chemokine signaling pathway working alongside other G-protein-coupled receptors to regulate leukocyte chemotaxis. FPRL1 further involves itself in the resolution of inflammation through interactions with specialized pro-resolving mediators like lipoxins. An example of this interaction occurs with the protein ALX/FPR2 with which FPRL1 shares functional similarities contributing to both swift inflammatory responses and their resolution.

FPRL1 implicates itself in chronic inflammatory diseases and cancer. In chronic inflammatory conditions FPRL1 overstimulation may contribute to prolonged inflammation adversely affecting tissue function. Furthermore aberrant signaling through FPRL1 potentially influences tumor progression in various cancers. FPRL1 can interact with PD-L1 within the tumor microenvironment promoting immune evasion in cancer cells. Understanding these interactions offers potential therapeutic targets to modulate immune responses and treat associated disorders.

Product protocols

For this product, it's our understanding that no specific protocols are required. You can visit:

Target data

Low affinity receptor for N-formyl-methionyl peptides, which are powerful neutrophil chemotactic factors (PubMed : 1374236). Binding of FMLP to the receptor causes activation of neutrophils (PubMed : 1374236). This response is mediated via a G-protein that activates a phosphatidylinositol-calcium second messenger system (PubMed : 1374236). The activation of LXA4R could result in an anti-inflammatory outcome counteracting the actions of pro-inflammatory signals such as LTB4 (leukotriene B4) (PubMed : 9547339). Receptor for the chemokine-like protein FAM19A5, mediating FAM19A5-stimulated macrophage chemotaxis and the inhibitory effect on TNFSF11/RANKL-induced osteoclast differentiation (By similarity). Acts as a receptor for humanin (PubMed : 15465011).
See full target information FPR2

Publications (12)

Recent publications for all applications. Explore the full list and refine your search

International journal of biological sciences 21:3444-3460 PubMed40520025

2025

Endothelial SIRT3 deficiency predisposes brown adipose tissue to whitening in diet-induced obesity.

Applications

Unspecified application

Species

Unspecified reactive species

Qing Zhou,Zongshi Lu,Bowen Wang,Yuyan Wang,Li Li,Mei You,Lijuan Wang,Tingbing Cao,Dan Tong,Jie Xiang,Yu Zhao,Qiang Li,Aidi Mou,Wentao Shu,Hongbo He,Zhigang Zhao,Daoyan Liu,Zhiming Zhu,Peng Gao,Zhencheng Yan

Theranostics 15:4495-4506 PubMed40225578

2025

Targeting formyl peptide receptor 2 to suppress neuroinflammation in neuromyelitis optica spectrum disorder.

Applications

Unspecified application

Species

Unspecified reactive species

Caiyun Qi,Hongying Hao,Wei Zhang,Yiwei Fu,Yali Han,Jinyi Li,Lixiang Chen,Guiyun Cui,Qing Liu,Yuan Li,Xiaozhen Wang,Ming-Wei Wang,Qiang Liu

In vitro cellular & developmental biology. Animal 61:331-339 PubMed40064746

2025

Resolvin D1 suppresses inflammation in human fibroblast-like synoviocytes via the p-38, NF-κB, and AKT signaling pathways.

Applications

Unspecified application

Species

Unspecified reactive species

Makoto Yanoshita,Naoto Hirose,Sayuri Nishiyama,Eri Tsuboi,Naoki Kubo,Daiki Kita,Kotaro Tanimoto

Cells 13: PubMed38201221

2024

Pro-Resolving Mediators in Rotator Cuff Disease: How Is the Bursa Involved?

Applications

Unspecified application

Species

Unspecified reactive species

Franka Klatte-Schulz,Nicole Bormann,Aysha Bonell,Jasmin Al-Michref,Hoang Le Nguyen,Pascal Klöckner,Kathi Thiele,Philipp Moroder,Martina Seifert,Birgit Sawitzki,Britt Wildemann,Georg N Duda

Journal of periodontology 94:683-693 PubMed36416879

2022

Resolvin D1 modulates periodontal ligament fibroblast function.

Applications

Unspecified application

Species

Unspecified reactive species

Ahmed E Zarrough,Hatice Hasturk,Danielle N Stephens,Thomas E Van Dyke,Alpdogan Kantarci

Theranostics 12:3024-3044 PubMed35547761

2022

Critical role of FPR1 in splenocyte migration into brain to worsen inflammation and ischemic brain injury in mice.

Applications

Unspecified application

Species

Unspecified reactive species

Jun Li,Mahendra D Chordia,Yi Zhang,Hui Zong,Dongfeng Pan,Zhiyi Zuo

Nature communications 13:578 PubMed35102146

2022

Formyl peptide receptor 2 determines sex-specific differences in the progression of nonalcoholic fatty liver disease and steatohepatitis.

Applications

Unspecified application

Species

Unspecified reactive species

Chanbin Lee,Jieun Kim,Jinsol Han,Dayoung Oh,Minju Kim,Hayeong Jeong,Tae-Jin Kim,Sang-Woo Kim,Jeong Nam Kim,Young-Su Seo,Ayako Suzuki,Jae Ho Kim,Youngmi Jung

Brain sciences 12: PubMed35203926

2022

Lipoxin A Receptor Stimulation Attenuates Neuroinflammation in a Mouse Model of Intracerebral Hemorrhage.

Applications

Unspecified application

Species

Unspecified reactive species

Risa Futokoro,Masanori Hijioka,Moe Arata,Yoshihisa Kitamura

Frontiers in pharmacology 11:610734 PubMed33732145

2021

Resolvin D1 ameliorates Inflammation-Mediated Blood-Brain Barrier Disruption After Subarachnoid Hemorrhage in rats by Modulating A20 and NLRP3 Inflammasome.

Applications

Unspecified application

Species

Unspecified reactive species

Chengcong Wei,Shenquan Guo,Wenchao Liu,Fa Jin,Boyang Wei,Haiyan Fan,Hengxian Su,Jiahui Liu,Nan Zhang,Dazhao Fang,Guangxu Li,Shixing Shu,Xifeng Li,Xuying He,Xin Zhang,Chuanzhi Duan

FASEB journal : official publication of the Federation of American Societies for Experimental Biology 34:13993-14005 PubMed32856352

2020

ANXA1 directs Schwann cells proliferation and migration to accelerate nerve regeneration through the FPR2/AMPK pathway.

Applications

Unspecified application

Species

Unspecified reactive species

Wenzheng Xia,Jin Zhu,Xueyi Wang,Yinda Tang,Ping Zhou,Meng Hou,Shiting Li
View all publications

Product promise

We are committed to supporting your work with high-quality reagents, and we're here for you every step of the way. In the unlikely event that one of our products does not perform as expected, you're protected by our Product Promise.
For full details, please see our Terms & Conditions

Please note: All products are 'FOR RESEARCH USE ONLY. NOT FOR USE IN DIAGNOSTIC OR THERAPEUTIC PROCEDURES'.

For licensing inquiries, please contact partnerships@abcam.com