JavaScript is disabled in your browser. Please enable JavaScript to view this website.
AB317816

Anti-FPRL1/RFP + FPR3 antibody [EPR28515-94] - BSA and Azide free

Be the first to review this product! Submit a review

|

(0 Publication)

Rabbit Recombinant Monoclonal FPRL1/RFP antibody. Carrier free. Suitable for IHC-P, ICC/IF and reacts with Transfected cell line, Human samples.

View Alternative Names

FPRH1, FPRL1, LXA4R, FPR2, N-formyl peptide receptor 2, FMLP-related receptor I, Formyl peptide receptor-like 1, HM63, Lipoxin A4 receptor, RFP, FMLP-R-I, LXA4 receptor

6 Images
Immunohistochemistry (Formalin/PFA-fixed paraffin-embedded sections) - Anti-FPRL1/RFP + FPR3 antibody [EPR28515-94] - BSA and Azide free (AB317816)
  • IHC-P

Supplier Data

Immunohistochemistry (Formalin/PFA-fixed paraffin-embedded sections) - Anti-FPRL1/RFP + FPR3 antibody [EPR28515-94] - BSA and Azide free (AB317816)

This data was developed using ab317815, the same antibody clone in a different buffer formulation.

Immunohistochemical analysis of paraffin-embedded Human cerebrum tissue labeling FPRL1/RFP + FPR3 with ab317815 at 1/500 (0.982 ug/ml) dilution, followed by a ready to use LeicaDS9800 (Bond™ Polymer Refine Detection).

Low expression : no staining on human cerebrum. The section was incubated with ab317815 for 30 mins at room temperature.
The immunostaining was performed on a Leica Biosystems BOND® RX instrument

Counterstained with Hematoxylin.

Secondary antibody only control : Secondary antibody is a ready to use LeicaDS9800 (Bond™ Polymer Refine Detection).

Heat mediated antigen retrieval was performed with Tris-EDTA buffer (pH 9.0, Epitope Retrieval Solution2) for 20 mins

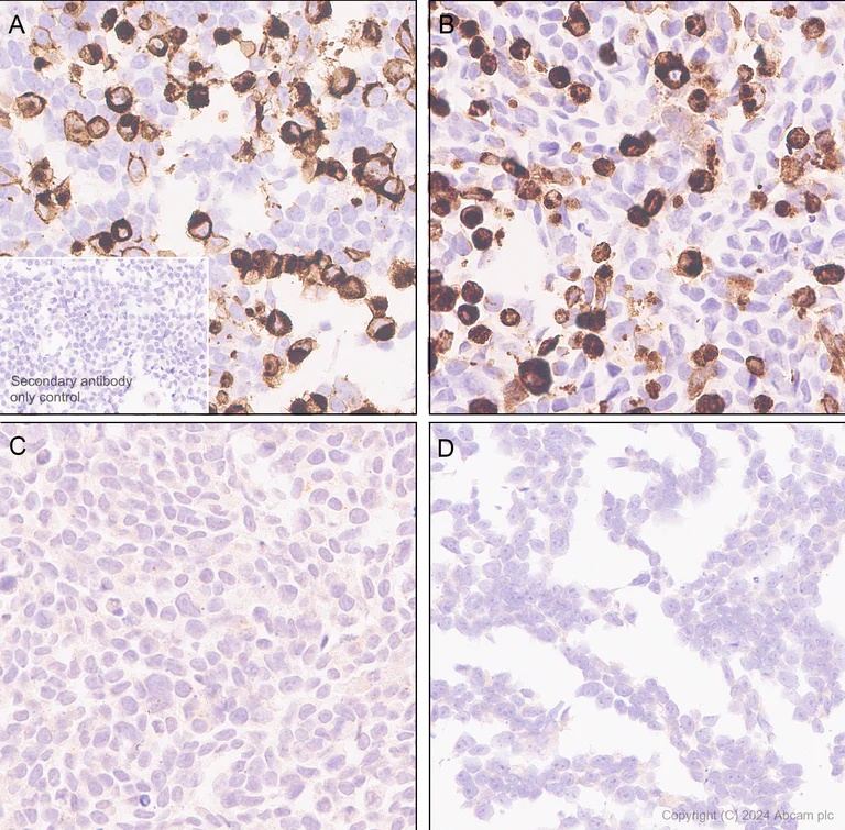
Immunohistochemistry (Formalin/PFA-fixed paraffin-embedded sections) - Anti-FPRL1/RFP + FPR3 antibody [EPR28515-94] - BSA and Azide free (AB317816)
  • IHC-P

Supplier Data

Immunohistochemistry (Formalin/PFA-fixed paraffin-embedded sections) - Anti-FPRL1/RFP + FPR3 antibody [EPR28515-94] - BSA and Azide free (AB317816)

This data was developed using ab317815, the same antibody clone in a different buffer formulation.

Immunohistochemical analysis of paraffin-embedded (A) HEK-293T (human epithelial cell line from embryonic kidney) transfected with a FPR2 expression vector containing a Myc-His tag. (B) HEK-293T transfected with FPR3 expression vector containing a Myc-His tag. (C) HEK-293T transfected with a FPR1 expression vector containing a Myc-His tag. (D) HEK-293T transfected with empty vector containing a Myc-His tag. tissue labeling FPRL1/RFP + FPR3 with ab317815 at 1/2000 (0.246 ug/ml) dilution, followed by a ready to use LeicaDS9800 (Bond™ Polymer Refine Detection).

This antibody recognizes both FPR2 and FPR3. Positive staining on (A) HEK-293T (human epithelial cell line from embryonic kidney) transfected with a FPR2 expression vector containing a Myc-His tag and (B) HEK-293T transfected with a FPR3 expression vector containing a Myc-His tag, negative staining on (C) HEK-293T transfected with a FPR1 expression vector containing a Myc-His tag and (D) HEK-293T transfected with empty vector containing a Myc-His tag. The section was incubated with ab317815 for 30 mins at room temperature.
The immunostaining was performed on a Leica Biosystems BOND® RX instrument

Counterstained with Hematoxylin.

Secondary antibody only control : Secondary antibody is a ready to use LeicaDS9800 (Bond™ Polymer Refine Detection).

Heat mediated antigen retrieval was performed with Tris-EDTA buffer (pH 9.0, Epitope Retrieval Solution2) for 20 mins

Immunohistochemistry (Formalin/PFA-fixed paraffin-embedded sections) - Anti-FPRL1/RFP + FPR3 antibody [EPR28515-94] - BSA and Azide free (AB317816)
  • IHC-P

Supplier Data

Immunohistochemistry (Formalin/PFA-fixed paraffin-embedded sections) - Anti-FPRL1/RFP + FPR3 antibody [EPR28515-94] - BSA and Azide free (AB317816)

This data was developed using ab317815, the same antibody clone in a different buffer formulation.

Immunohistochemical analysis of paraffin-embedded Human lung tissue labeling FPRL1/RFP + FPR3 with ab317815 at 1/500 (0.982 ug/ml) dilution, followed by a ready to use LeicaDS9800 (Bond™ Polymer Refine Detection).

Positive staining on neutrophils of human lung. The section was incubated with ab317815 for 30 mins at room temperature.
The immunostaining was performed on a Leica Biosystems BOND® RX instrument

Counterstained with Hematoxylin.

Secondary antibody only control : Secondary antibody is a ready to use LeicaDS9800 (Bond™ Polymer Refine Detection).

Heat mediated antigen retrieval was performed with Tris-EDTA buffer (pH 9.0, Epitope Retrieval Solution2) for 20 mins

Immunohistochemistry (Formalin/PFA-fixed paraffin-embedded sections) - Anti-FPRL1/RFP + FPR3 antibody [EPR28515-94] - BSA and Azide free (AB317816)
  • IHC-P

Supplier Data

Immunohistochemistry (Formalin/PFA-fixed paraffin-embedded sections) - Anti-FPRL1/RFP + FPR3 antibody [EPR28515-94] - BSA and Azide free (AB317816)

This data was developed using ab317815, the same antibody clone in a different buffer formulation.

Immunohistochemical analysis of paraffin-embedded Human spleen tissue labeling FPRL1/RFP + FPR3 with ab317815 at 1/500 (0.982 ug/ml) dilution, followed by a ready to use LeicaDS9800 (Bond™ Polymer Refine Detection).

Positive staining on neutrophils of human spleen (PMID : 9151906). The section was incubated with ab317815 for 30 mins at room temperature.
The immunostaining was performed on a Leica Biosystems BOND® RX instrument

Counterstained with Hematoxylin.

Secondary antibody only control : Secondary antibody is a ready to use LeicaDS9800 (Bond™ Polymer Refine Detection).

Heat mediated antigen retrieval was performed with Tris-EDTA buffer (pH 9.0, Epitope Retrieval Solution2) for 20 mins

Immunohistochemistry (Formalin/PFA-fixed paraffin-embedded sections) - Anti-FPRL1/RFP + FPR3 antibody [EPR28515-94] - BSA and Azide free (AB317816)
  • IHC-P

Supplier Data

Immunohistochemistry (Formalin/PFA-fixed paraffin-embedded sections) - Anti-FPRL1/RFP + FPR3 antibody [EPR28515-94] - BSA and Azide free (AB317816)

This data was developed using ab317815, the same antibody clone in a different buffer formulation.

Immunohistochemical analysis of paraffin-embedded Human cardiac muscle tissue labeling FPRL1/RFP + FPR3 with ab317815 at 1/500 (0.982 ug/ml) dilution, followed by a ready to use LeicaDS9800 (Bond™ Polymer Refine Detection).

Positive staining on neutrophils of human cardiac muscle. The section was incubated with ab317815 for 30 mins at room temperature.
The immunostaining was performed on a Leica Biosystems BOND® RX instrument

Counterstained with Hematoxylin.

Secondary antibody only control : Secondary antibody is a ready to use LeicaDS9800 (Bond™ Polymer Refine Detection).

Heat mediated antigen retrieval was performed with Tris-EDTA buffer (pH 9.0, Epitope Retrieval Solution2) for 20 mins

Immunocytochemistry/ Immunofluorescence - Anti-FPRL1/RFP + FPR3 antibody [EPR28515-94] - BSA and Azide free (AB317816)
  • ICC/IF

Supplier Data

Immunocytochemistry/ Immunofluorescence - Anti-FPRL1/RFP + FPR3 antibody [EPR28515-94] - BSA and Azide free (AB317816)

This data was developed using ab317815, the same antibody clone in a different buffer formulation.

Immunofluorescent analysis of 4% Paraformaldehyde-fixed, 0.1% TritonX-100 permeabilized Human PBMC (human peripheral blood mononuclear cell) cells labelling FPRL1/RFP + FPR3 with ab317815 at 1/100 (4.91 ug/ml) dilution, followed by ab150081 Goat Anti-Rabbit IgG H&L (Alexa Fluor® 488) preadsorbed antibody at 1/1000 2 ug/ml dilution (Green).

Confocal image showing cytoplasmic staining in CD14 positive cells of human PBMC (shown in green). The counterstain was observed in magenta. Nuclear DNA was labeled with DAPI (shown in blue). Image was taken with a confocal microscope (Leica-Microsystems, TCS SP8).

Anti-human CD14 mouse monoclonal antibody (Alexa Fluor® 647) was used to counterstain tubulin at 1/200 2.5 dilution (Magenta). The Nuclear counterstain was DAPI (Blue).

Secondary antibody only control : Secondary antibody is ab150081 Goat Anti-Rabbit IgG H&L (Alexa Fluor® 488) preadsorbed at 1/1000 2 ug/ml dilution.

Key facts

Host species

Rabbit

Clonality

Monoclonal

Clone number

EPR28515-94

Isotype

IgG

Carrier free

Yes

Reacts with

Human

Applications

IHC-P, ICC/IF

applications

Immunogen

The exact immunogen used to generate this antibody is proprietary information.

Specificity

Unsuitable for Mouse and Rat IHC

Reactivity data

{ "title": "Reactivity Data", "filters": { "stats": ["", "Species", "Dilution Info", "Notes"], "tabs": { "all-applications": {"fullname" : "All Applications", "shortname": "All Applications"}, "IHCP" : {"fullname" : "Immunohistochemistry (Formalin/PFA-fixed paraffin-embedded sections)", "shortname":"IHC-P"}, "ICCIF" : {"fullname" : "Immunocytochemistry/ Immunofluorescence", "shortname":"ICC/IF"}, "WB" : {"fullname" : "Western blot", "shortname":"WB"}, "FlowCytIntra" : {"fullname" : "Flow Cytometry (Intracellular)", "shortname":"Flow Cyt (Intra)"}, "IP" : {"fullname" : "Immunoprecipitation", "shortname":"IP"} }, "product-promise": { "all": "all", "testedAndGuaranteed": "tested", "guaranteed": "expected", "predicted": "predicted", "notRecommended": "not-recommended" } }, "values": { "Human": { "IHCP-species-checked": "testedAndGuaranteed", "IHCP-species-dilution-info": "", "IHCP-species-notes": "<p></p>", "ICCIF-species-checked": "testedAndGuaranteed", "ICCIF-species-dilution-info": "", "ICCIF-species-notes": "<p></p>", "WB-species-checked": "notRecommended", "WB-species-dilution-info": "", "WB-species-notes": "<p></p>", "FlowCytIntra-species-checked": "notRecommended", "FlowCytIntra-species-dilution-info": "", "FlowCytIntra-species-notes": "<p></p>", "IP-species-checked": "notRecommended", "IP-species-dilution-info": "", "IP-species-notes": "<p></p>" }, "Mouse": { "IHCP-species-checked": "notRecommended", "IHCP-species-dilution-info": "", "IHCP-species-notes": "<p></p>", "ICCIF-species-checked": "notRecommended", "ICCIF-species-dilution-info": "", "ICCIF-species-notes": "", "WB-species-checked": "notRecommended", "WB-species-dilution-info": "", "WB-species-notes": "<p></p>", "FlowCytIntra-species-checked": "notRecommended", "FlowCytIntra-species-dilution-info": "", "FlowCytIntra-species-notes": "", "IP-species-checked": "notRecommended", "IP-species-dilution-info": "", "IP-species-notes": "" }, "Rat": { "IHCP-species-checked": "notRecommended", "IHCP-species-dilution-info": "", "IHCP-species-notes": "<p></p>", "ICCIF-species-checked": "notRecommended", "ICCIF-species-dilution-info": "", "ICCIF-species-notes": "", "WB-species-checked": "notRecommended", "WB-species-dilution-info": "", "WB-species-notes": "<p></p>", "FlowCytIntra-species-checked": "notRecommended", "FlowCytIntra-species-dilution-info": "", "FlowCytIntra-species-notes": "", "IP-species-checked": "notRecommended", "IP-species-dilution-info": "", "IP-species-notes": "" }, "Transfected cell line": { "IHCP-species-checked": "testedAndGuaranteed", "IHCP-species-dilution-info": "", "IHCP-species-notes": "<p></p>", "ICCIF-species-checked": "notRecommended", "ICCIF-species-dilution-info": "", "ICCIF-species-notes": "", "WB-species-checked": "notRecommended", "WB-species-dilution-info": "", "WB-species-notes": "", "FlowCytIntra-species-checked": "notRecommended", "FlowCytIntra-species-dilution-info": "", "FlowCytIntra-species-notes": "", "IP-species-checked": "notRecommended", "IP-species-dilution-info": "", "IP-species-notes": "" } } }

Product details

ab317816 is the carrirer-free version of ab317815.

Patented technology
Our RabMAb® technology is a patented hybridoma-based technology for making rabbit monoclonal antibodies. For details on our patents, please refer to RabMAb® patents.

What are the advantages of a recombinant monoclonal antibody?
This product is a recombinant monoclonal antibody, which offers several advantages including:

  • - High batch-to-batch consistency and reproducibility
  • - Improved sensitivity and specificity
  • - Long-term security of supply
  • - Animal-free batch production

For more information, read more on recombinant antibodies.

Conjugation ready
Our carrier-free antibodies are typically supplied in a PBS-only formulation, purified and free of BSA, sodium azide and glycerol. This conjugation-ready format is designed for use with fluorochromes, metal isotopes, oligonucleotides, and enzymes, which makes them ideal for antibody labelling, functional and cell-based assays, flow-based assays (e.g. mass cytometry) and Multiplex Imaging applications.

Use our conjugation kits for antibody conjugates that are ready-to-use in as little as 20 minutes with 1 minute hands-on-time and 100% antibody recovery: available for fluorescent dyes, HRP, biotin and gold.

Compatibility
This product is compatible with the Maxpar® Antibody Labeling Kit from Fluidigm, without the need for antibody preparation. Maxpar® is a trademark of Fluidigm Canada Inc.

Properties and storage information

Form
Liquid
Purification technique
Affinity purification Protein A
Storage buffer
pH: 7.2 - 7.4 Constituents: PBS
Shipped at conditions
Blue Ice
Appropriate short-term storage conditions
+4°C
Appropriate long-term storage conditions
+4°C

Supplementary information

This supplementary information is collated from multiple sources and compiled automatically.

FPRL1 also known as FPR2 or FPR3 is a G-protein coupled receptor (GPCR) with an approximate molecular mass of 38 kDa. It can interact with different ligands to regulate immune responses. You find this receptor expressed in various tissues particularly in leukocytes like neutrophils and monocytes as well as in the spleen and lung epithelial cells. This wide distribution points to a complex role in mediating immune cell signaling and responses to inflammation.
Biological function summary

FPRL1 engages in modulating inflammation and host defense against pathogens. It belongs to the GPCR family which plays a central role in cellular signaling networks. FPRL1 does not function alone but instead often associates with other proteins and receptors to navigate diverse immune responses. Its engagement with formyl peptides leads to activation of immune cells promoting chemotaxis degranulation and production of reactive oxygen species. This receptor is also involved in sensing danger signals participating in the clearance of apoptotic cells.

Pathways

FPRL1 influences the MAPK and NF-kB signaling pathways both important for immune response regulation and inflammation. The receptor's pathway interactions contribute to cellular responses like cytokine production and apoptosis regulation. FPRL1 interacts with related proteins such as FPR1 which share overlapping ligand specificity and functional roles. Through these pathways FPRL1 can modulate immune responses that protect the host from infection or contribute to inflammatory diseases.

FPRL1 has been linked to conditions like chronic inflammatory diseases and cancer. Its role in orchestrating inflammatory responses connects it to rheumatoid arthritis as its dysregulated signaling can exacerbate inflammation. FPRL1 is also associated with cancer progression by modulating the tumor microenvironment. In these contexts the receptor often interacts with proteins such as chemokine receptors which further highlights its multifaceted role in disease pathophysiology.

Product protocols

For this product, it's our understanding that no specific protocols are required. You can visit:

Target data

Low affinity receptor for N-formyl-methionyl peptides, which are powerful neutrophil chemotactic factors (PubMed : 1374236). Binding of FMLP to the receptor causes activation of neutrophils (PubMed : 1374236). This response is mediated via a G-protein that activates a phosphatidylinositol-calcium second messenger system (PubMed : 1374236). The activation of LXA4R could result in an anti-inflammatory outcome counteracting the actions of pro-inflammatory signals such as LTB4 (leukotriene B4) (PubMed : 9547339). Receptor for the chemokine-like protein FAM19A5, mediating FAM19A5-stimulated macrophage chemotaxis and the inhibitory effect on TNFSF11/RANKL-induced osteoclast differentiation (By similarity). Acts as a receptor for humanin (PubMed : 15465011).
See full target information FPR2

Additional targets

FPR3

Product promise

We are committed to supporting your work with high-quality reagents, and we're here for you every step of the way. In the unlikely event that one of our products does not perform as expected, you're protected by our Product Promise.
For full details, please see our Terms & Conditions

Please note: All products are 'FOR RESEARCH USE ONLY. NOT FOR USE IN DIAGNOSTIC OR THERAPEUTIC PROCEDURES'.

For licensing inquiries, please contact partnerships@abcam.com