JavaScript is disabled in your browser. Please enable JavaScript to view this website.
AB278103

Anti-FRA1 antibody [EPR23767-177] - BSA and Azide free

Be the first to review this product! Submit a review

|

(1 Publication)

Rabbit Recombinant Monoclonal FRA1 antibody. Carrier free. Suitable for ICC/IF, IP, WB, Flow Cyt (Intra) and reacts with Human, Mouse samples. Cited in 1 publication.

View Alternative Names

FRA1, FOSL1, Fos-related antigen 1, FRA-1

5 Images
Flow Cytometry (Intracellular) - Anti-FRA1 antibody [EPR23767-177] - BSA and Azide free (AB278103)
  • Flow Cyt (Intra)

Supplier Data

Flow Cytometry (Intracellular) - Anti-FRA1 antibody [EPR23767-177] - BSA and Azide free (AB278103)

This data was developed using ab252421, the same antibody clone in a different buffer formulation.

Flow cytometric analysis of 4% paraformaldehyde-fixed, 90% methanol-permeabilized HeLa (human cervix adenocarcinoma epithelial cell) starved for 24 hours then treated with 100 ng/ml TPA for 4 hours (Red) /Untreated control (Green) cells labelling FRA1 with ab252421 at 1/500 dilution (0.1ug) compared with a Rabbit monoclonal IgG (ab172730) (Black) isotype control and an unlabelled control (cells without incubation with primary antibody and secondary antibody) (Blue).

A Goat anti rabbit IgG (Alexa Fluor® 488, ab150077) at 1/2000 dilution was used as the secondary antibody.

Immunocytochemistry/ Immunofluorescence - Anti-FRA1 antibody [EPR23767-177] - BSA and Azide free (AB278103)
  • ICC/IF

Supplier Data

Immunocytochemistry/ Immunofluorescence - Anti-FRA1 antibody [EPR23767-177] - BSA and Azide free (AB278103)

This data was developed using ab252421, the same antibody clone in a different buffer formulation.

Immunofluorescent analysis of 4% Paraformaldehyde-fixed, 0.1% Triton X-100 permeabilized HeLa cells labelling FRA1 with ab252421 at 1/500 (0.918 ug/ml) dilution, followed by ab150077 Goat Anti-Rabbit IgG H&L (Alexa Fluor® 488) antibody at 1/1000 dilution (Green). The expression of FRA1 proteins is induced by TPA treatment (PMID : 13679379). Confocal image showing nuclear staining in HeLa cell line after starvation 24 hours, then treatment with Phorbol-12-myristate-13-acetate for 4h is observed. ab195889 Anti-alpha Tubulin mouse monoclonal antibody - Microtubule Marker (Alexa Fluor® 594) was used to counterstain tubulin at 1/200 dilution (Red). The Nuclear counterstain was DAPI (Blue).

Secondary antibody only control : Secondary antibody is ab150077 Goat Anti-Rabbit IgG H&L (Alexa Fluor® 488) at 1/1000 dilution.

Western blot - Anti-FRA1 antibody [EPR23767-177] - BSA and Azide free (AB278103)
  • WB

Lab

Western blot - Anti-FRA1 antibody [EPR23767-177] - BSA and Azide free (AB278103)

This data was developed using ab252421, the same antibody clone in a different buffer formulation.

Blocking and diluting buffer and concentration : 5% NFDM/TBST.

Exposure time : 3 minutes.

All lanes:

Western blot - Anti-FRA1 antibody [EPR23767-177] (<a href='/en-us/products/primary-antibodies/fra1-antibody-epr23767-177-ab252421'>ab252421</a>) at 1/1000 dilution

All lanes:

MDA-MB-231 (human breast adenocarcinoma epithelial cell) whole cell lysate at 40 µg

Secondary

All lanes:

VeriBlot for IP secondary antibody(HRP)(<a href='/en-us/products/reagents/veriblot-for-ip-detection-reagent-hrp-ab131366'>ab131366</a>) at 1/1000 dilution

Predicted band size: 29 kDa

Observed band size: 40 kDa

false

Immunoprecipitation - Anti-FRA1 antibody [EPR23767-177] - BSA and Azide free (AB278103)
  • IP

Supplier Data

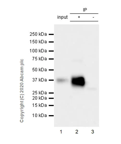
Immunoprecipitation - Anti-FRA1 antibody [EPR23767-177] - BSA and Azide free (AB278103)

This data was developed using ab252421, the same antibody clone in a different buffer formulation.

FRA1 was immunoprecipitated from 0.35 mg HeLa (human cervix adenocarcinoma epithelial cell) staved for 24 hours then treated with 100 ng/mL TPA for 4 hours, whole cell lysate with ab252421 at 1/30 dilution (2ug in 0.35mg lysates). Western blot was performed on the immunoprecipitate using ab252421 at 1/1000 dilution. VeriBlot for IP Detection Reagent (HRP) (ab131366) was used at 1/5000 dilution.

Lane 1 : HeLa (human cervix adenocarcinoma epithelial cell) staved for 24 hours then treated with 100 ng/mL TPA for 4 hours, whole cell lysate 10 ug

Lane 2 : ab252421 IP in HeLa staved for 24 hours then treated with 100 ng/mL TPA for 4 hours whole cell lysate

Lane 3 : Rabbit monoclonal IgG (ab172730) instead of ab252421 in HeLa staved for 24 hours then treated with 100 ng/mL TPA for 4 hours whole cell lysate

Blocking and dilution buffer and concentration : 5% NFDM/TBST.

Exposure time : 15 seconds.

All lanes:

Immunoprecipitation - Anti-FRA1 antibody [EPR23767-177] (<a href='/en-us/products/primary-antibodies/fra1-antibody-epr23767-177-ab252421'>ab252421</a>)

Predicted band size: 29 kDa

Observed band size: 40 kDa

false

Western blot - Anti-FRA1 antibody [EPR23767-177] - BSA and Azide free (AB278103)
  • WB

Lab

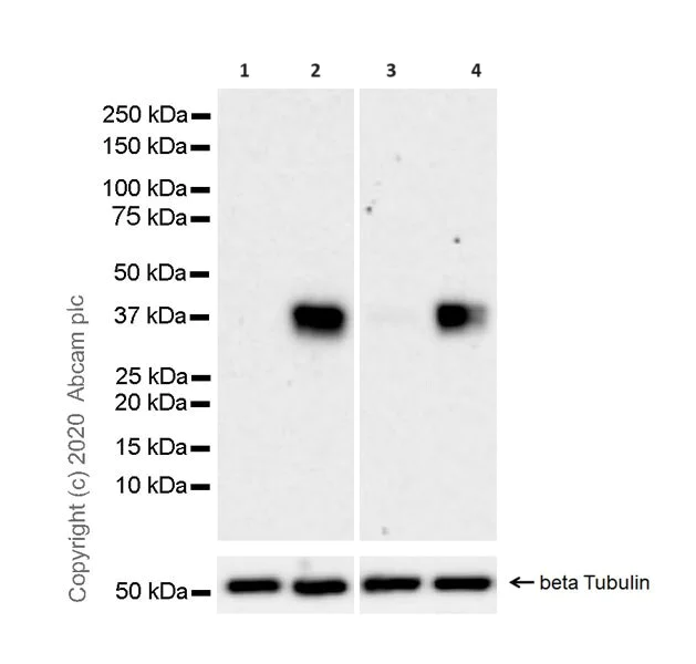
Western blot - Anti-FRA1 antibody [EPR23767-177] - BSA and Azide free (AB278103)

This data was developed using ab252421, the same antibody clone in a different buffer formulation.

Blocking and diluting buffer and concentration : 5% NFDM/TBST.

The molecular weight observed is consistent with what has been described in the literature (PMID : 13679379).

The expression of FRA1 proteins is induced by TPA treatment (PMID : 13679379).

Exposure time : 3 minutes.

All lanes:

Western blot - Anti-FRA1 antibody [EPR23767-177] (<a href='/en-us/products/primary-antibodies/fra1-antibody-epr23767-177-ab252421'>ab252421</a>) at 1/1000 dilution

Lane 1:

HeLa (human cervix adenocarcinoma epithelial cell) staved for 24 hours, whole cell lysate at 20 µg

Lane 2:

HeLa staved for 24 hours then treated with 100 ng/mL TPA (<a href='/en-us/products/biochemicals/phorbol-12-myristate-13-acetate-pma-pkc-activator-ab120297'>ab120297</a>) for 4 hours, whole cell lysate at 20 µg

Lane 3:

NIH/3T3 (mouse embryonic fibroblast) staved for 2 hours, whole cell lysate at 20 µg

Lane 4:

NIH/3T3 staved for 2 hours then treated with 100 ng/mL TPA (<a href='/en-us/products/biochemicals/phorbol-12-myristate-13-acetate-pma-pkc-activator-ab120297'>ab120297</a>) for 4 hours, whole cell lysate at 20 µg

Secondary

All lanes:

Goat Anti-Rabbit IgG, (H+L), Peroxidase conjugated (<a href='/en-us/products/secondary-antibodies/goat-rabbit-igg-h-l-hrp-ab97051'>ab97051</a>) at 1/50000 dilution

Predicted band size: 29 kDa

Observed band size: 40 kDa

false

Key facts

Host species

Rabbit

Clonality

Monoclonal

Clone number

EPR23767-177

Isotype

IgG

Carrier free

Yes

Reacts with

Mouse, Human

Applications

Flow Cyt (Intra), ICC/IF, WB, IP

applications

Immunogen

The exact immunogen used to generate this antibody is proprietary information.

Reactivity data

{ "title": "Reactivity Data", "filters": { "stats": ["", "Species", "Dilution Info", "Notes"], "tabs": { "all-applications": {"fullname" : "All Applications", "shortname": "All Applications"}, "ICCIF" : {"fullname" : "Immunocytochemistry/ Immunofluorescence", "shortname":"ICC/IF"}, "IP" : {"fullname" : "Immunoprecipitation", "shortname":"IP"}, "WB" : {"fullname" : "Western blot", "shortname":"WB"}, "IHCP" : {"fullname" : "Immunohistochemistry (Formalin/PFA-fixed paraffin-embedded sections)", "shortname":"IHC-P"}, "FlowCytIntra" : {"fullname" : "Flow Cytometry (Intracellular)", "shortname":"Flow Cyt (Intra)"} }, "product-promise": { "all": "all", "testedAndGuaranteed": "tested", "guaranteed": "expected", "predicted": "predicted", "notRecommended": "not-recommended" } }, "values": { "Human": { "ICCIF-species-checked": "testedAndGuaranteed", "ICCIF-species-dilution-info": "", "ICCIF-species-notes": "<p></p>", "IP-species-checked": "testedAndGuaranteed", "IP-species-dilution-info": "", "IP-species-notes": "<p></p>", "WB-species-checked": "testedAndGuaranteed", "WB-species-dilution-info": "", "WB-species-notes": "<p></p>", "IHCP-species-checked": "notRecommended", "IHCP-species-dilution-info": "", "IHCP-species-notes": "<p></p>", "FlowCytIntra-species-checked": "testedAndGuaranteed", "FlowCytIntra-species-dilution-info": "", "FlowCytIntra-species-notes": "<p></p>" }, "Mouse": { "ICCIF-species-checked": "notRecommended", "ICCIF-species-dilution-info": "", "ICCIF-species-notes": "<p></p>", "IP-species-checked": "guaranteed", "IP-species-dilution-info": "", "IP-species-notes": "", "WB-species-checked": "testedAndGuaranteed", "WB-species-dilution-info": "", "WB-species-notes": "<p></p>", "IHCP-species-checked": "notRecommended", "IHCP-species-dilution-info": "", "IHCP-species-notes": "<p></p>", "FlowCytIntra-species-checked": "guaranteed", "FlowCytIntra-species-dilution-info": "", "FlowCytIntra-species-notes": "" }, "Rat": { "ICCIF-species-checked": "notRecommended", "ICCIF-species-dilution-info": "", "ICCIF-species-notes": "", "IP-species-checked": "notRecommended", "IP-species-dilution-info": "", "IP-species-notes": "", "WB-species-checked": "notRecommended", "WB-species-dilution-info": "", "WB-species-notes": "<p></p>", "IHCP-species-checked": "notRecommended", "IHCP-species-dilution-info": "", "IHCP-species-notes": "<p></p>", "FlowCytIntra-species-checked": "notRecommended", "FlowCytIntra-species-dilution-info": "", "FlowCytIntra-species-notes": "" } } }

Product details

ab278103 is the carrier-free version of ab252421.

Patented technology
Our RabMAb® technology is a patented hybridoma-based technology for making rabbit monoclonal antibodies. For details on our patents, please refer to RabMAb® patents.

What are the advantages of a recombinant monoclonal antibody?
This product is a recombinant monoclonal antibody, which offers several advantages including:

  • - High batch-to-batch consistency and reproducibility
  • - Improved sensitivity and specificity
  • - Long-term security of supply
  • - Animal-free batch production

For more information, read more on recombinant antibodies.

Conjugation ready
Our carrier-free antibodies are typically supplied in a PBS-only formulation, purified and free of BSA, sodium azide and glycerol. This conjugation-ready format is designed for use with fluorochromes, metal isotopes, oligonucleotides, and enzymes, which makes them ideal for antibody labelling, functional and cell-based assays, flow-based assays (e.g. mass cytometry) and Multiplex Imaging applications.

Use our conjugation kits for antibody conjugates that are ready-to-use in as little as 20 minutes with 1 minute hands-on-time and 100% antibody recovery: available for fluorescent dyes, HRP, biotin and gold.

Compatibility
This product is compatible with the Maxpar® Antibody Labeling Kit from Fluidigm, without the need for antibody preparation. Maxpar® is a trademark of Fluidigm Canada Inc.

Properties and storage information

Form
Liquid
Purification technique
Affinity purification Protein A
Storage buffer
Constituents: PBS
Shipped at conditions
Blue Ice
Appropriate short-term storage conditions
+4°C
Appropriate long-term storage conditions
+4°C

Supplementary information

This supplementary information is collated from multiple sources and compiled automatically.

FRA1 also known as FOS-like antigen 1 (FOSL1) is a transcription factor and a part of the AP-1 complex. It weighs about 45 kDa. This protein regulates gene expression linked to cell proliferation differentiation and survival. FRA1 shows expression in various tissues particularly in those undergoing rapid growth and development. The protein mediates immediate early gene response to diverse stimuli.
Biological function summary

In various settings FRA1 serves a role in regulating cellular responses to external signals. It forms a heterodimer with members of the JUN family to create the transcription factor AP-1 complex active in cell cycle regulation and signal transduction. This complex modulates expression of genes involved in processes like hematopoiesis and angiogenesis demonstrating its importance in physiological development and maintenance.

Pathways

The involvement of FRA1 in cellular signaling cascades stands out notably in the MAPK/ERK pathway. This pathway plays a significant role in cell growth and differentiation with FRA1 acting alongside other proteins like ERK to relay signals from surface receptors to the nucleus. Also FRA1 influences the Wnt signaling pathway which impacts cell fate decisions and embryonic development via its interactions and regulatory functions.

Researchers associate FRA1 expression with certain cancers including lung and breast cancer due to its role in controlling cell proliferation and invasion. In cancer FRA1 interacts with proteins like JUN which partner in transforming normal cells into malignant ones through the dysregulation of AP-1 activity. Its role in metastasis highlights FRA1 as a potential biomarker or therapeutic target in oncology.

Product protocols

For this product, it's our understanding that no specific protocols are required. You can visit:

Publications (1)

Recent publications for all applications. Explore the full list and refine your search

Molecular and cellular biology 41:e0033221 PubMed34309413

2021

Saikosaponin-d Alleviates Renal Inflammation and Cell Apoptosis in a Mouse Model of Sepsis via TCF7/FOSL1/Matrix Metalloproteinase 9 Inhibition.

Applications

Unspecified application

Species

Unspecified reactive species

Tao Yao,Lei Zhang,Ye Fu,Lina Yao,Chengjie Zhou,Guozhong Chen
View all publications

Product promise

We are committed to supporting your work with high-quality reagents, and we're here for you every step of the way. In the unlikely event that one of our products does not perform as expected, you're protected by our Product Promise.
For full details, please see our Terms & Conditions

Please note: All products are 'FOR RESEARCH USE ONLY. NOT FOR USE IN DIAGNOSTIC OR THERAPEUTIC PROCEDURES'.

For licensing inquiries, please contact partnerships@abcam.com