JavaScript is disabled in your browser. Please enable JavaScript to view this website.
AB288563

Anti-Fragilis antibody [EPR26405-14]

  • BOND RX™ Validated
  • 20ul selling size
  • RabMAb
  • Recombinant
  • What is this?

Be the first to review this product! Submit a review

|

(2 Publications)

Rabbit Recombinant Monoclonal IFITM3 antibody. Suitable for IP, WB, IHC-P, ICC/IF, IHC-Fr and reacts with Mouse, Rat samples. Cited in 2 publications.

View Alternative Names

Interferon-induced transmembrane protein 3, Dispanin subfamily A member 2b, Fragilis protein, Interferon-inducible protein 15, Mouse ifitm-like protein 1, DSPA2b, Mil-1, Ifitm3

10 Images
Immunohistochemistry (Formalin/PFA-fixed paraffin-embedded sections) - Anti-Fragilis antibody [EPR26405-14] (AB288563)
  • IHC-P

Lab

Immunohistochemistry (Formalin/PFA-fixed paraffin-embedded sections) - Anti-Fragilis antibody [EPR26405-14] (AB288563)

Immunohistochemical analysis of paraffin-embedded Rat lung tissue labelling Interferon-induced transmembrane protein 3/IFITM3 with ab288563 at 1/500 (1.088 ug/ml) followed by a ready to use LeicaDS9800 (BOND®, Polymer Refine Detection) was used. Positive staining on rat lung. The section was incubated with ab288563 for 30 mins at room temperature.The immunostaining was performed on a Leica Biosystems BOND® RX instrument Counterstained with Hematoxylin.

Secondary antibody only control : Secondary antibody is a ready to use Leica DS9800 (BOND®, Polymer Refine Detection) was used.

Heat mediated antigen retrieval with Tris-EDTA buffer (pH 9.0, epitope retrieval solution 2) for 20 mins

Immunohistochemistry (Formalin/PFA-fixed paraffin-embedded sections) - Anti-Fragilis antibody [EPR26405-14] (AB288563)
  • IHC-P

Lab

Immunohistochemistry (Formalin/PFA-fixed paraffin-embedded sections) - Anti-Fragilis antibody [EPR26405-14] (AB288563)

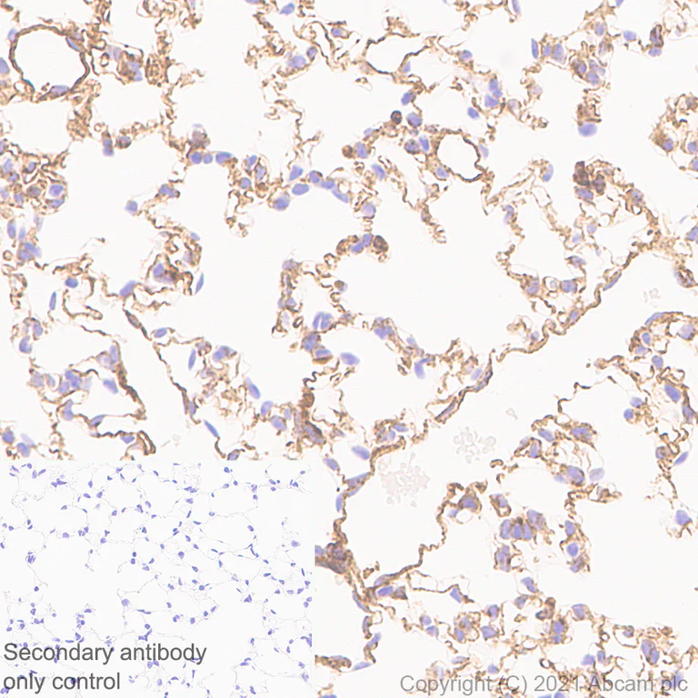
Immunohistochemical analysis of paraffin-embedded Mouse lung tissue labelling Interferon-induced transmembrane protein 3/IFITM3 with ab288563 at 1/500 (1.088 ug/ml) followed by a ready to use Leica DS9800 (BOND®, Polymer Refine Detection) was used. Positive staining on mouse lung. The section was incubated with ab288563 for 30 mins at room temperature.The immunostaining was performed on a Leica Biosystems BOND® RX instrument Counterstained with Hematoxylin.

Secondary antibody only control : Secondary antibody is a ready to use Leica DS9800 (BOND®, Polymer Refine Detection) was used.

Heat mediated antigen retrieval with Tris-EDTA buffer (pH 9.0, epitope retrieval solution 2) for 20 mins

Immunohistochemistry (Frozen sections) - Anti-Fragilis antibody [EPR26405-14] (AB288563)
  • IHC-Fr

Lab

Immunohistochemistry (Frozen sections) - Anti-Fragilis antibody [EPR26405-14] (AB288563)

Immunohistochemical analysis of 4% PFA-fixed, 0.2% Triton X-100 permeabilized frozen Mouse lung (fresh) tissue labeling Interferon-induced transmembrane protein 3/IFITM3 with ab288563 at 1/500 (1.088 ug/ml) dilution followed by ab150081 Goat Anti-Rabbit IgG H&L (Alexa Fluor® 488) preadsorbed at 1/1000 (2 ug/mL) dilution (Green). Positive staining on mouse lung is observed. The nuclear counterstain was DAPI (Blue).

Secondary antibody control : Secondary antibody is ab150081 Goat Anti-Rabbit IgG H&L (Alexa Fluor® 488) preadsorbedat 1/1000 (2 ug/mL) dilution.

Immunohistochemistry (Frozen sections) - Anti-Fragilis antibody [EPR26405-14] (AB288563)
  • IHC-Fr

Lab

Immunohistochemistry (Frozen sections) - Anti-Fragilis antibody [EPR26405-14] (AB288563)

Immunohistochemical analysis of 4% PFA-fixed, 0.2% Triton X-100 permeabilized frozen Rat lung (fresh) tissue labeling Interferon-induced transmembrane protein 3/IFITM3 with ab288563 at 1/500 (1.088 ug/ml) dilution followed by ab150081 Goat Anti-Rabbit IgG H&L (Alexa Fluor® 488) preadsorbed at 1/1000 (2 ug/mL) dilution (Green). Positive staining on rat lung is observed. The nuclear counterstain was DAPI (Blue).

Secondary antibody control : Secondary antibody is ab150081 Goat Anti-Rabbit IgG H&L (Alexa Fluor® 488) preadsorbedat 1/1000 (2 ug/mL) dilution.

Immunohistochemistry (Frozen sections) - Anti-Fragilis antibody [EPR26405-14] (AB288563)
  • IHC-Fr

Lab

Immunohistochemistry (Frozen sections) - Anti-Fragilis antibody [EPR26405-14] (AB288563)

Immunohistochemical analysis of 4% PFA-fixed, 0.2% Triton X-100 permeabilized frozen Mouse cerebrum (fresh) tissue labeling Interferon-induced transmembrane protein 3/IFITM3 with ab288563 at 1/500 (1.088 ug/ml) dilution followed by ab150081 Goat Anti-Rabbit IgG H&L (Alexa Fluor® 488) preadsorbed at 1/1000 (2 ug/mL) dilution (Green). Positive staining on mouse cerebrum is observed. The nuclear counterstain was DAPI (Blue).

Secondary antibody control : Secondary antibody is ab150081 Goat Anti-Rabbit IgG H&L (Alexa Fluor® 488) preadsorbedat 1/1000 (2 ug/mL) dilution.

Immunocytochemistry/ Immunofluorescence - Anti-Fragilis antibody [EPR26405-14] (AB288563)
  • ICC/IF

Lab

Immunocytochemistry/ Immunofluorescence - Anti-Fragilis antibody [EPR26405-14] (AB288563)

Immunofluorescent analysis of 4% Paraformaldehyde-fixed, 0.1% TritonX-100 permeabilized NIH/3T3 cells labelling Interferon-induced transmembrane protein 3/IFITM3 with ab288563 at 1/2000 dilution, followed by ab150081 Goat Anti-Rabbit IgG H&L (Alexa Fluor® 488) preadsorbed antibody at 1/1000 dilution (Green). Confocal image showing cytoplasmic staining in NIH/3T3 cell line is observed. ab195889 Anti-alpha Tubulin mouse monoclonal antibody - Microtubule Marker (Alexa Fluor® 594) was used to counterstain tubulin at 1/200 dilution (Red). The Nuclear counterstain was DAPI (Blue).

Secondary antibody only control : Secondary antibody is ab150081 Goat Anti-Rabbit IgG H&L (Alexa Fluor® 488) preadsorbed at 1/1000 dilution.

Immunohistochemistry (Formalin/PFA-fixed paraffin-embedded sections) - Anti-Fragilis antibody [EPR26405-14] (AB288563)
  • IHC-P

Lab

Immunohistochemistry (Formalin/PFA-fixed paraffin-embedded sections) - Anti-Fragilis antibody [EPR26405-14] (AB288563)

Immunohistochemical analysis of paraffin-embedded Mouse cerebrum tissue labelling Interferon-induced transmembrane protein 3/IFITM3 with ab288563 at 1/500 (1.088 ug/ml) followed by a ready to use Leica DS9800 (BOND®, Polymer Refine Detection) was used. Positive staining on endothelium of mouse cerebrum. The section was incubated with ab288563 for 30 mins at room temperature.The immunostaining was performed on a Leica Biosystems BOND ® RX instrument Counterstained with Hematoxylin.

Secondary antibody only control : Secondary antibody is a ready to use Leica DS9800 (BOND®, Polymer Refine Detection) was used.

Heat mediated antigen retrieval with Tris-EDTA buffer (pH 9.0, epitope retrieval solution 2) for 20 mins

Immunoprecipitation - Anti-Fragilis antibody [EPR26405-14] (AB288563)
  • IP

Lab

Immunoprecipitation - Anti-Fragilis antibody [EPR26405-14] (AB288563)

Interferon-induced transmembrane protein 3/IFITM3 was immunoprecipitated from 0.35 mg NIH/3T3 (mouse embryonic fibroblast) whole cell lysate 10 ug with ab288563 at 1/30 dilution (2ug in 0.35mg lysates). Western blot was performed on the immunoprecipitate using ab288563 at 1/1000 dilution. VeriBlot for IP secondary antibody(HRP)(ab131366) was used at 1/5000 dilution.

Lane 1 : NIH/3T3 (mouse embryonic fibroblast) whole cell lysate 10 ug

Lane 2 : ab288563 IP in NIH/3T3 whole cell lysate

Lane 3 : Rabbit monoclonal IgG (ab172730) instead of ab288563 in NIH/3T3 whole cell lysate

Blocking and dilution buffer and concentration : 5% NFDM/TBST.

Exposure time : 3.25 seconds

All lanes:

Immunoprecipitation - Anti-Fragilis antibody [EPR26405-14] (ab288563)

Predicted band size: 15 kDa

false

Western blot - Anti-Fragilis antibody [EPR26405-14] (AB288563)
  • WB

Lab

Western blot - Anti-Fragilis antibody [EPR26405-14] (AB288563)

Blocking and diluting buffer and concentration : 5% NFDM/TBST

Samples are non-boiled as boiling may cause protein aggregates.

Exposure time : 15 seconds

All lanes:

Western blot - Anti-Fragilis antibody [EPR26405-14] (ab288563) at 1/1000 dilution

Lane 1:

Untreated NIH/3T3 (mouse embryonic fibroblast), whole cell lysate at 20 µg

Lane 2:

NIH/3T3 treated with 100ng/ml IFN gamma for 48 hours, whole cell lysate at 20 µg

Secondary

All lanes:

Goat Anti-Rabbit IgG, (H+L), Peroxidase conjugated (<a href='/en-us/products/secondary-antibodies/goat-rabbit-igg-h-l-hrp-ab97051'>ab97051</a>) at 1/100000 dilution

Predicted band size: 15 kDa

false

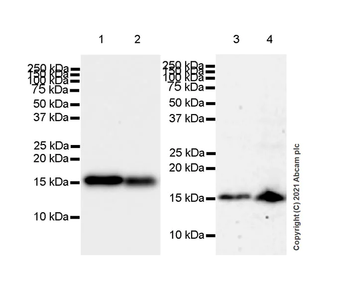
Western blot - Anti-Fragilis antibody [EPR26405-14] (AB288563)
  • WB

Lab

Western blot - Anti-Fragilis antibody [EPR26405-14] (AB288563)

Blocking and diluting buffer and concentration : 5% NFDM/TBST

Samples are non-boiled as boiling may cause protein aggregates.

This blot was developed using a higher sensitivity ECL substrate.

Exposure time : Lane1-2 : 15 seconds; Lane3-4 : 3 minutes;

All lanes:

Western blot - Anti-Fragilis antibody [EPR26405-14] (ab288563) at 1/1000 dilution

Lane 1:

Mouse lung tissue lysate at 20 µg

Lane 2:

Mouse liver tissue lysate at 20 µg

Lane 3:

Mouse kidney tissue lysate at 20 µg

Lane 4:

Rat lung tissue lysate at 20 µg

Secondary

All lanes:

Goat Anti-Rabbit IgG, (H+L), Peroxidase conjugated (<a href='/en-us/products/secondary-antibodies/goat-rabbit-igg-h-l-hrp-ab97051'>ab97051</a>) at 1/100000 dilution

Predicted band size: 15 kDa

false

Key facts

Host species

Rabbit

Clonality

Monoclonal

Clone number

EPR26405-14

Isotype

IgG

Carrier free

No

Reacts with

Mouse, Rat

Applications

IHC-P, IP, WB, IHC-Fr, ICC/IF

applications

Immunogen

The exact immunogen used to generate this antibody is proprietary information.

Reactivity data

{ "title": "Reactivity Data", "filters": { "stats": ["", "Species", "Dilution Info", "Notes"], "tabs": { "all-applications": {"fullname" : "All Applications", "shortname": "All Applications"}, "IP" : {"fullname" : "Immunoprecipitation", "shortname":"IP"}, "WB" : {"fullname" : "Western blot", "shortname":"WB"}, "IHCP" : {"fullname" : "Immunohistochemistry (Formalin/PFA-fixed paraffin-embedded sections)", "shortname":"IHC-P"}, "ICCIF" : {"fullname" : "Immunocytochemistry/ Immunofluorescence", "shortname":"ICC/IF"}, "IHCFr" : {"fullname" : "Immunohistochemistry (Frozen sections)", "shortname":"IHC-Fr"}, "FlowCytIntra" : {"fullname" : "Flow Cytometry (Intracellular)", "shortname":"Flow Cyt (Intra)"} }, "product-promise": { "all": "all", "testedAndGuaranteed": "tested", "guaranteed": "expected", "predicted": "predicted", "notRecommended": "not-recommended" } }, "values": { "Human": { "IP-species-checked": "notRecommended", "IP-species-dilution-info": "", "IP-species-notes": "", "WB-species-checked": "notRecommended", "WB-species-dilution-info": "1/1000", "WB-species-notes": "<p></p>", "IHCP-species-checked": "notRecommended", "IHCP-species-dilution-info": "1/500", "IHCP-species-notes": "<p></p> Perform heat-mediated antigen retrieval with Tris/EDTA buffer pH 9.0 before commencing with IHC staining protocol.", "ICCIF-species-checked": "notRecommended", "ICCIF-species-dilution-info": "", "ICCIF-species-notes": "", "IHCFr-species-checked": "notRecommended", "IHCFr-species-dilution-info": "", "IHCFr-species-notes": "", "FlowCytIntra-species-checked": "notRecommended", "FlowCytIntra-species-dilution-info": "", "FlowCytIntra-species-notes": "" }, "Mouse": { "IP-species-checked": "testedAndGuaranteed", "IP-species-dilution-info": "1/30", "IP-species-notes": "<p></p>", "WB-species-checked": "testedAndGuaranteed", "WB-species-dilution-info": "1/1000", "WB-species-notes": "<p></p>", "IHCP-species-checked": "testedAndGuaranteed", "IHCP-species-dilution-info": "1/500", "IHCP-species-notes": "<p></p> Perform heat-mediated antigen retrieval with Tris/EDTA buffer pH 9.0 before commencing with IHC staining protocol.", "ICCIF-species-checked": "testedAndGuaranteed", "ICCIF-species-dilution-info": "1/2000", "ICCIF-species-notes": "<p></p>", "IHCFr-species-checked": "testedAndGuaranteed", "IHCFr-species-dilution-info": "1/500", "IHCFr-species-notes": "<p></p>", "FlowCytIntra-species-checked": "notRecommended", "FlowCytIntra-species-dilution-info": "", "FlowCytIntra-species-notes": "<p></p>" }, "Rat": { "IP-species-checked": "guaranteed", "IP-species-dilution-info": "", "IP-species-notes": "", "WB-species-checked": "testedAndGuaranteed", "WB-species-dilution-info": "1/1000", "WB-species-notes": "<p></p>", "IHCP-species-checked": "testedAndGuaranteed", "IHCP-species-dilution-info": "1/500", "IHCP-species-notes": "<p></p> Perform heat-mediated antigen retrieval with Tris/EDTA buffer pH 9.0 before commencing with IHC staining protocol.", "ICCIF-species-checked": "guaranteed", "ICCIF-species-dilution-info": "", "ICCIF-species-notes": "", "IHCFr-species-checked": "testedAndGuaranteed", "IHCFr-species-dilution-info": "1/500", "IHCFr-species-notes": "<p></p>", "FlowCytIntra-species-checked": "notRecommended", "FlowCytIntra-species-dilution-info": "", "FlowCytIntra-species-notes": "" } } }

Product details

Patented technology
Our RabMAb® technology is a patented hybridoma-based technology for making rabbit monoclonal antibodies. For details on our patents, please refer to RabMAb® patents.

What are the advantages of a recombinant monoclonal antibody?
This product is a recombinant monoclonal antibody, which offers several advantages including:

  • - High batch-to-batch consistency and reproducibility
  • - Improved sensitivity and specificity
  • - Long-term security of supply
  • - Animal-free batch production

For more information, read more on recombinant antibodies.

Properties and storage information

Form
Liquid
Purification technique
Affinity purification Protein A
Storage buffer
pH: 7.2 - 7.4 Preservative: 0.01% Sodium azide Constituents: PBS, 40% Glycerol (glycerin, glycerine), 0.05% BSA
Shipped at conditions
Blue Ice
Appropriate short-term storage duration
1-2 weeks
Appropriate short-term storage conditions
+4°C
Appropriate long-term storage conditions
-20°C
Aliquoting information
Upon delivery aliquot
Storage information
Avoid freeze / thaw cycle

Supplementary information

This supplementary information is collated from multiple sources and compiled automatically.

The protein known as Fragilis also called Interferon-induced transmembrane protein 3 (IFITM3) plays a role in cellular defense mechanisms. Fragilis is approximately 15 kDa in mass. It is commonly expressed in cells of the immune system such as lymphocytes and can also be found in various tissues including the lungs spleen and thymus. This protein includes a chain of functional domains that interact with cellular membranes contributing to its protective roles on the cellular level.
Biological function summary

IFITM3 acts as an antiviral protein that disrupts the life cycle of viruses entering human cells. It is a part of a family of transmembrane proteins that block viral replication by inhibiting the fusion of viral membranes with endosomal membranes. The presence of Fragilis in respiratory epithelial cells is integral to the immune response against viral infections. The protein acts as a barrier to viruses like influenza providing an innate immune defense mechanism.

Pathways

The involvement of IFITM3 is central to the immune signaling pathways specifically the interferon signaling pathway. Upon viral infection interferons upregulate IFITM3 enhancing its antiviral activities. Other proteins like STAT1 and STAT2 mediate this regulation. Additionally IFITM3 aligns with the pathways regulating cell membrane integrity and remodeling highlighting its multi-functional role beyond just antiviral defense.

Research highlights the relevance of IFITM3 in conditions such as influenza and COVID-19. In both cases higher expression levels correlate with better prognosis. For instance variations in IFITM3 expression or genetic mutations can affect susceptibility to severe influenza. Connections with proteins such as MxA and other IFITM proteins can influence these disease processes. These connections make Fragilis a target of interest for understanding and potentially mitigating the severity of viral infections.

Product protocols

For this product, it's our understanding that no specific protocols are required. You can visit:

Target data

IFN-induced antiviral protein which disrupts intracellular cholesterol homeostasis. Inhibits the entry of viruses to the host cell cytoplasm by preventing viral fusion with cholesterol depleted endosomes. May inactivate new enveloped viruses which buds out of the infected cell, by letting them go out with a cholesterol depleted membrane. Active against multiple viruses, including influenza A virus, SARS coronaviruses (SARS-CoV and SARS-CoV-2), Marburg virus (MARV), Ebola virus (EBOV), Dengue virus (DNV), West Nile virus (WNV), human immunodeficiency virus type 1 (HIV-1), hepatitis C virus (HCV) and vesicular stomatitis virus (VSV) (PubMed : 33270927). Can inhibit : influenza virus hemagglutinin protein-mediated viral entry, MARV and EBOV GP1,2-mediated viral entry, SARS-CoV and SARS-CoV-2 S protein-mediated viral entry and VSV G protein-mediated viral entry (PubMed : 33270927). Plays a critical role in the structural stability and function of vacuolar ATPase (v-ATPase). Establishes physical contact with the v-ATPase of endosomes which is critical for proper clathrin localization and is also required for the function of the v-ATPase to lower the pH in phagocytic endosomes thus establishing an antiviral state. In hepatocytes, IFITM proteins act in a coordinated manner to restrict HCV infection by targeting the endocytosed HCV virion for lysosomal degradation. IFITM2 and IFITM3 display anti-HCV activity that may complement the anti-HCV activity of IFITM1 by inhibiting the late stages of HCV entry, possibly in a coordinated manner by trapping the virion in the endosomal pathway and targeting it for degradation at the lysosome. Exerts opposing activities on SARS-CoV-2, including amphipathicity-dependent restriction of virus at endosomes and amphipathicity-independent enhancement of infection at the plasma membrane.
See full target information Ifitm3

Publications (2)

Recent publications for all applications. Explore the full list and refine your search

Advanced science (Weinheim, Baden-Wurttemberg, Germany) 12:e2410098 PubMed39629971

2024

Spatial Transcriptome and Single Nucleus Transcriptome Sequencing Reveals Tetrahydroxy Stilbene Glucoside Promotes Ovarian Organoids Development Through the Vegfa-Ephb2 Pair.

Applications

Unspecified application

Species

Unspecified reactive species

Chunlan Mu,Xiaoyong Li,Jiamei Yang,Geng G Tian,Hepeng Bai,Wenhui Lin,Linhui Wang,Ji Wu

Memorias do Instituto Oswaldo Cruz 119:e240102 PubMed39476027

2024

HSV1-induced enhancement of productive HIV-1 replication is associated with interferon pathway downregulation in human macrophages.

Applications

Unspecified application

Species

Unspecified reactive species

Viviane M Andrade,Filipe Pereira-Dutra,Juliana L Abrantes,Milene D Miranda,Thiago Moreno L Souza
View all publications

Product promise

We are committed to supporting your work with high-quality reagents, and we're here for you every step of the way. In the unlikely event that one of our products does not perform as expected, you're protected by our Product Promise.
For full details, please see our Terms & Conditions

Please note: All products are 'FOR RESEARCH USE ONLY. NOT FOR USE IN DIAGNOSTIC OR THERAPEUTIC PROCEDURES'.

For licensing inquiries, please contact partnerships@abcam.com