JavaScript is disabled in your browser. Please enable JavaScript to view this website.
AB109429

Anti-Fragilis antibody [EPR5242]

4

(1 Review)

|

(27 Publications)

Rabbit Recombinant Monoclonal IFITM3 antibody. Suitable for IHC-P, WB and reacts with Human samples. Cited in 27 publications.

View Alternative Names

Interferon-induced transmembrane protein 3, Dispanin subfamily A member 2b, Interferon-inducible protein 1-8U, DSPA2b, IFITM3

3 Images
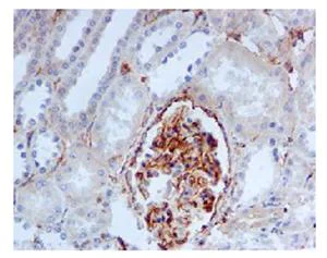
Immunohistochemistry (Formalin/PFA-fixed paraffin-embedded sections) - Anti-Fragilis antibody [EPR5242] (AB109429)
  • IHC-P

Unknown

Immunohistochemistry (Formalin/PFA-fixed paraffin-embedded sections) - Anti-Fragilis antibody [EPR5242] (AB109429)

Immunohistochemical analysis of Fragilis in paraffin-embedded Human kidney tissue using ab109429 at 1/250 dilution.

Perform heat mediated antigen retrieval with citrate buffer pH 6 before commencing with IHC staining protocol.

Western blot - Anti-Fragilis antibody [EPR5242] (AB109429)
  • WB

Supplier Data

Western blot - Anti-Fragilis antibody [EPR5242] (AB109429)

Lane 1 : Positive control - Hela (PMID : 21177806)

Lanes 2-4 : Negative control - 293T and Jurkat (PMID : 21177806) HAP1(PMID : 29079573).

Blocking buffer : 5% NFDM/TBST

All lanes:

Western blot - Anti-Fragilis antibody [EPR5242] (ab109429) at 1/1000 dilution

Lane 1:

HeLa (Human cervix adenocarcinoma epithelial cell) whole cell lysate at 20 µg

Lane 2:

293T (Human embryonic kidney epithelial cell) whole cell lysate at 20 µg

Lane 3:

HAP1 (Human chronic myelogenous leukemia near-haploid cell line) whole cell lysate at 20 µg

Lane 4:

Jurkat (Human T cell leukemia T lymphocyte) whole cell lysate at 20 µg

Secondary

All lanes:

Western blot - Goat Anti-Rabbit IgG H&L (HRP) (<a href='/en-us/products/secondary-antibodies/goat-rabbit-igg-h-l-hrp-ab97051'>ab97051</a>) at 1/20000 dilution

Predicted band size: 15 kDa

Observed band size: 15 kDa

true

Exposure time: 1s

Western blot - Anti-Fragilis antibody [EPR5242] (AB109429)
  • WB

Unknown

Western blot - Anti-Fragilis antibody [EPR5242] (AB109429)

All lanes:

Western blot - Anti-Fragilis antibody [EPR5242] (ab109429) at 1/1000 dilution

All lanes:

Western blot - Recombinant Human Fragilis protein (<a href='/en-us/products/proteins-peptides/recombinant-human-fragilis-protein-ab92921'>ab92921</a>) at 0.01 µg

Secondary

All lanes:

Western blot - Goat Anti-Rabbit IgG H&L (HRP) preadsorbed (<a href='/en-us/products/secondary-antibodies/goat-rabbit-igg-h-l-hrp-preadsorbed-ab97080'>ab97080</a>) at 1/5000 dilution

Predicted band size: 15 kDa

true

Exposure time: 10s

  • Carrier free

    Anti-Fragilis antibody [EPR5242] - BSA and Azide free

Key facts

Host species

Rabbit

Clonality

Monoclonal

Clone number

EPR5242

Isotype

IgG

Carrier free

No

Reacts with

Human

Applications

WB, IHC-P

applications

Immunogen

The exact immunogen used to generate this antibody is proprietary information.

Specificity

Predicted cross-reactivity with IFITM2 (93% homology) but this has not been tested.

Reactivity data

{ "title": "Reactivity Data", "filters": { "stats": ["", "Species", "Dilution Info", "Notes"], "tabs": { "all-applications": {"fullname" : "All Applications", "shortname": "All Applications"}, "IHCP" : {"fullname" : "Immunohistochemistry (Formalin/PFA-fixed paraffin-embedded sections)", "shortname":"IHC-P"}, "IP" : {"fullname" : "Immunoprecipitation", "shortname":"IP"}, "FlowCyt" : {"fullname" : "Flow Cytometry", "shortname":"Flow Cyt"}, "WB" : {"fullname" : "Western blot", "shortname":"WB"} }, "product-promise": { "all": "all", "testedAndGuaranteed": "tested", "guaranteed": "expected", "predicted": "predicted", "notRecommended": "not-recommended" } }, "values": { "Human": { "IHCP-species-checked": "testedAndGuaranteed", "IHCP-species-dilution-info": "1/250 - 1/500", "IHCP-species-notes": "<p>Antigen retrieval is recommended.</p> Perform heat-mediated antigen retrieval with citrate buffer pH 6 before commencing with IHC staining protocol.", "IP-species-checked": "notRecommended", "IP-species-dilution-info": "", "IP-species-notes": "<p></p>", "FlowCyt-species-checked": "notRecommended", "FlowCyt-species-dilution-info": "1/100", "FlowCyt-species-notes": "<p></p>", "WB-species-checked": "testedAndGuaranteed", "WB-species-dilution-info": "1/1000 - 1/10000", "WB-species-notes": "<p></p>" } } }

Product details

Species reactivity
Mouse, Rat: We have preliminary internal testing data to indicate this antibody may not react with these species.
Please contact us for more information.

Patented technology
Our RabMAb® technology is a patented hybridoma-based technology for making rabbit monoclonal antibodies. For details on our patents, please refer to RabMAb® patents.

What are the advantages of a recombinant monoclonal antibody?
This product is a recombinant monoclonal antibody, which offers several advantages including:

  • - High batch-to-batch consistency and reproducibility
  • - Improved sensitivity and specificity
  • - Long-term security of supply
  • - Animal-free batch production

For more information, read more on recombinant antibodies.

Properties and storage information

Form
Liquid
Purification technique
Affinity purification Protein A
Storage buffer
pH: 7.2 - 7.4 Preservative: 0.01% Sodium azide Constituents: PBS, 40% Glycerol (glycerin, glycerine), 0.05% BSA
Shipped at conditions
Blue Ice
Appropriate short-term storage duration
1-2 weeks
Appropriate short-term storage conditions
+4°C
Appropriate long-term storage conditions
-20°C
Aliquoting information
Upon delivery aliquot
Storage information
Stable for 12 months at -20°C

Supplementary information

This supplementary information is collated from multiple sources and compiled automatically.

The protein known as Fragilis also called Interferon-induced transmembrane protein 3 (IFITM3) plays a role in cellular defense mechanisms. Fragilis is approximately 15 kDa in mass. It is commonly expressed in cells of the immune system such as lymphocytes and can also be found in various tissues including the lungs spleen and thymus. This protein includes a chain of functional domains that interact with cellular membranes contributing to its protective roles on the cellular level.
Biological function summary

IFITM3 acts as an antiviral protein that disrupts the life cycle of viruses entering human cells. It is a part of a family of transmembrane proteins that block viral replication by inhibiting the fusion of viral membranes with endosomal membranes. The presence of Fragilis in respiratory epithelial cells is integral to the immune response against viral infections. The protein acts as a barrier to viruses like influenza providing an innate immune defense mechanism.

Pathways

The involvement of IFITM3 is central to the immune signaling pathways specifically the interferon signaling pathway. Upon viral infection interferons upregulate IFITM3 enhancing its antiviral activities. Other proteins like STAT1 and STAT2 mediate this regulation. Additionally IFITM3 aligns with the pathways regulating cell membrane integrity and remodeling highlighting its multi-functional role beyond just antiviral defense.

Research highlights the relevance of IFITM3 in conditions such as influenza and COVID-19. In both cases higher expression levels correlate with better prognosis. For instance variations in IFITM3 expression or genetic mutations can affect susceptibility to severe influenza. Connections with proteins such as MxA and other IFITM proteins can influence these disease processes. These connections make Fragilis a target of interest for understanding and potentially mitigating the severity of viral infections.

Product protocols

For this product, it's our understanding that no specific protocols are required. You can visit:

Target data

IFN-induced antiviral protein which disrupts intracellular cholesterol homeostasis. Inhibits the entry of viruses to the host cell cytoplasm by preventing viral fusion with cholesterol depleted endosomes. May inactivate new enveloped viruses which buds out of the infected cell, by letting them go out with a cholesterol depleted membrane. Active against multiple viruses, including influenza A virus, SARS coronaviruses (SARS-CoV and SARS-CoV-2), Marburg virus (MARV), Ebola virus (EBOV), Dengue virus (DNV), West Nile virus (WNV), human immunodeficiency virus type 1 (HIV-1), hepatitis C virus (HCV) and vesicular stomatitis virus (VSV) (PubMed : 26354436, PubMed : 33239446, PubMed : 33270927). Can inhibit : influenza virus hemagglutinin protein-mediated viral entry, MARV and EBOV GP1,2-mediated viral entry, SARS-CoV and SARS-CoV-2 S protein-mediated viral entry and VSV G protein-mediated viral entry (PubMed : 33270927). Plays a critical role in the structural stability and function of vacuolar ATPase (v-ATPase). Establishes physical contact with the v-ATPase of endosomes which is critical for proper clathrin localization and is also required for the function of the v-ATPase to lower the pH in phagocytic endosomes thus establishing an antiviral state. In hepatocytes, IFITM proteins act in a coordinated manner to restrict HCV infection by targeting the endocytosed HCV virion for lysosomal degradation (PubMed : 26354436). IFITM2 and IFITM3 display anti-HCV activity that may complement the anti-HCV activity of IFITM1 by inhibiting the late stages of HCV entry, possibly in a coordinated manner by trapping the virion in the endosomal pathway and targeting it for degradation at the lysosome (PubMed : 26354436). Exerts opposing activities on SARS-CoV-2, including amphipathicity-dependent restriction of virus at endosomes and amphipathicity-independent enhancement of infection at the plasma membrane (PubMed : 33270927).
See full target information IFITM3

Publications (27)

Recent publications for all applications. Explore the full list and refine your search

Science advances 11:eadz7083 PubMed41032588

2025

Restriction of HIV-1 infectivity by interferon and IFITM3 is counteracted by Nef.

Applications

Unspecified application

Species

Unspecified reactive species

Mahesh Agarwal,Kin Kui Lai,Isaiah Wilt,Saliha Majdoul,Abigail A Jolley,Mary Lewinski,Alex A Compton

Medicine 104:e42406 PubMed40355224

2025

APOL6 as a potential biomarker of immuno-correlation and therapeutic prediction in cancer immunotherapy.

Applications

Unspecified application

Species

Unspecified reactive species

Jialin Yao,Wenyuan Gan,Jiukang Sun,Zhihang Han,Dongqing Li,Lei Cao,Lingjun Zhu

The EMBO journal 44:534-562 PubMed39653855

2024

SNARE mimicry by the CD225 domain of IFITM3 enables regulation of homotypic late endosome fusion.

Applications

Unspecified application

Species

Unspecified reactive species

Kazi Rahman,Isaiah Wilt,Abigail A Jolley,Bhabadeb Chowdhury,Siddhartha A K Datta,Alex A Compton

Investigative and clinical urology 65:84-93 PubMed38197755

2024

IFITM3-mediated activation of TRAF6/MAPK/AP-1 pathways induces acquired TKI resistance in clear cell renal cell carcinoma.

Applications

Unspecified application

Species

Unspecified reactive species

Se Un Jeong,Ja-Min Park,Sun Young Yoon,Hee Sang Hwang,Heounjeong Go,Dong-Myung Shin,Hyein Ju,Chang Ohk Sung,Jae-Lyun Lee,Gowun Jeong,Yong Mee Cho

Viruses 15: PubMed38140631

2023

IFITM1 and IFITM3 Proteins Inhibit the Infectivity of Progeny HIV-1 without Disrupting Envelope Glycoprotein Clusters.

Applications

Unspecified application

Species

Unspecified reactive species

Smita Verma,Yen-Cheng Chen,Mariana Marin,Scott E Gillespie,Gregory B Melikyan

iScience 26:107147 PubMed37434700

2023

IFITM1 inhibits trophoblast invasion and is induced in placentas associated with IFN-mediated pregnancy diseases.

Applications

Unspecified application

Species

Unspecified reactive species

Séverine A Degrelle,Julian Buchrieser,Anne Dupressoir,Françoise Porrot,Laurence Loeuillet,Olivier Schwartz,Thierry Fournier

Journal of molecular biology 434:167759 PubMed35872070

2022

Cholesterol Binds the Amphipathic Helix of IFITM3 and Regulates Antiviral Activity.

Applications

Unspecified application

Species

Unspecified reactive species

Kazi Rahman,Siddhartha A K Datta,Andrew H Beaven,Abigail A Jolley,Alexander J Sodt,Alex A Compton

Annals of translational medicine 10:223 PubMed35280389

2022

Identification of differentially expressed and methylated genes and construction of a co-expression network in age-related macular degeneration.

Applications

Unspecified application

Species

Unspecified reactive species

Gaohua Liang,Wenhao Ma,Yanni Luo,Jiayang Yin,Lili Hao,Jingxiang Zhong

Journal of Cancer 12:6905-6920 PubMed34659578

2021

TUG1 promotes the expression of IFITM3 in hepatocellular carcinoma by competitively binding to miR-29a.

Applications

Unspecified application

Species

Unspecified reactive species

Weiwei Liu,Qian Feng,Wenjun Liao,Enliang Li,Linquan Wu

Frontiers in immunology 12:704965 PubMed34456915

2021

Interferon-Induced Transmembrane Protein 3 Shapes an Inflamed Tumor Microenvironment and Identifies Immuno-Hot Tumors.

Applications

Unspecified application

Species

Unspecified reactive species

Yun Cai,Wenfei Ji,Chuan Sun,Rui Xu,Xuechun Chen,Yifan Deng,Jiadong Pan,Jiayue Yang,Hongjun Zhu,Jie Mei
View all publications

Product promise

We are committed to supporting your work with high-quality reagents, and we're here for you every step of the way. In the unlikely event that one of our products does not perform as expected, you're protected by our Product Promise.
For full details, please see our Terms & Conditions

Please note: All products are 'FOR RESEARCH USE ONLY. NOT FOR USE IN DIAGNOSTIC OR THERAPEUTIC PROCEDURES'.

For licensing inquiries, please contact partnerships@abcam.com