JavaScript is disabled in your browser. Please enable JavaScript to view this website.
AB320854

Anti-Fragilis antibody [RM1224] - BSA and Azide free

Be the first to review this product! Submit a review

|

(0 Publication)

Rabbit Recombinant Multiclonal IFITM3 antibody. Carrier free. Suitable for Flow Cyt (Intra), IHC-P, WB, IP, ICC/IF, IHC-Fr and reacts with Mouse, Human, Rat samples.

View Alternative Names

Interferon-induced transmembrane protein 3, Dispanin subfamily A member 2b, Fragilis protein, Interferon-inducible protein 15, Mouse ifitm-like protein 1, DSPA2b, Mil-1, Ifitm3

18 Images
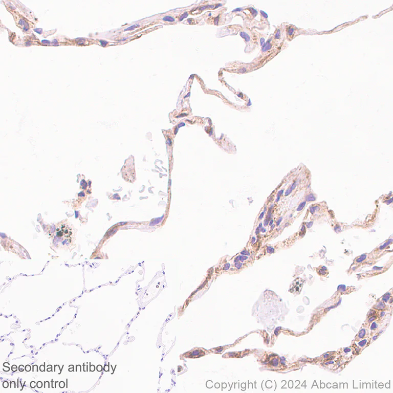
Immunohistochemistry (Formalin/PFA-fixed paraffin-embedded sections) - Anti-Fragilis antibody [RM1224] - BSA and Azide free (AB320854)
  • IHC-P

Supplier Data

Immunohistochemistry (Formalin/PFA-fixed paraffin-embedded sections) - Anti-Fragilis antibody [RM1224] - BSA and Azide free (AB320854)

This data was developed using ab320853, the same antibody clone in a different buffer formulation.

Immunohistochemical analysis of paraffin-embedded Human lung tissue labeling Fragilis with ab320853 at 1/2000 (0.245 ug/ml) dilution, followed by a ready to use LeicaDS9800 (Bond™ Polymer Refine Detection).

Positive staining on human lung. The section was incubated with ab320853 for 30 mins at room temperature.
The immunostaining was performed on a Leica Biosystems BOND® RX instrument

Counterstained with Hematoxylin.

Secondary antibody only control : Secondary antibody is a ready to use LeicaDS9800 (Bond™ Polymer Refine Detection).

Heat mediated antigen retrieval was performed with Tris-EDTA buffer (pH 9.0, Epitope Retrieval Solution2) for 20 mins

Immunohistochemistry (Formalin/PFA-fixed paraffin-embedded sections) - Anti-Fragilis antibody [RM1224] - BSA and Azide free (AB320854)
  • IHC-P

Supplier Data

Immunohistochemistry (Formalin/PFA-fixed paraffin-embedded sections) - Anti-Fragilis antibody [RM1224] - BSA and Azide free (AB320854)

This data was developed using ab320853, the same antibody clone in a different buffer formulation.

Immunohistochemical analysis of paraffin-embedded Human kidney tissue labeling Fragilis with ab320853 at 1/2000 (0.245 ug/ml) dilution, followed by a ready to use LeicaDS9800 (Bond™ Polymer Refine Detection).

Positive staining on human kidney in (A) Anti-Fragilis antibody ab320853 (recombinant multiclonal ) and (B) Anti-Fragilis antibody ab15592 (polyclonal antibody). The section was incubated with ab320853 or ab15592 for 30 mins at room temperature.
The immunostaining was performed on a Leica Biosystems BOND® RX instrument

Counterstained with Hematoxylin.

Secondary antibody only control : Secondary antibody is a ready to use LeicaDS9800 (Bond™ Polymer Refine Detection).

Heat mediated antigen retrieval was performed with Tris-EDTA buffer (pH 9.0, Epitope Retrieval Solution2) for 20 mins

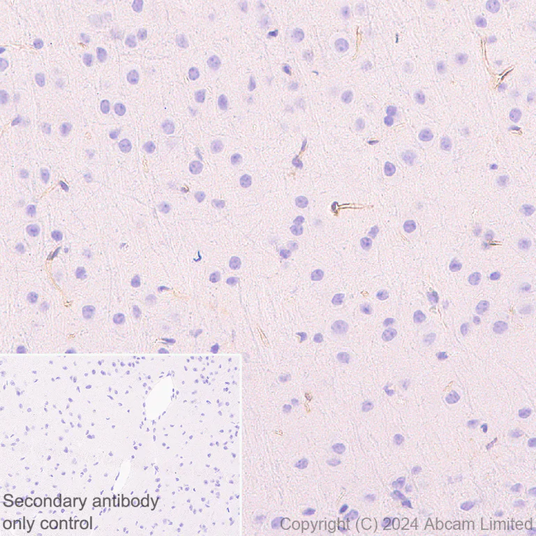
Immunohistochemistry (Formalin/PFA-fixed paraffin-embedded sections) - Anti-Fragilis antibody [RM1224] - BSA and Azide free (AB320854)
  • IHC-P

Supplier Data

Immunohistochemistry (Formalin/PFA-fixed paraffin-embedded sections) - Anti-Fragilis antibody [RM1224] - BSA and Azide free (AB320854)

This data was developed using ab320853, the same antibody clone in a different buffer formulation.

Immunohistochemical analysis of paraffin-embedded Human cerebrum tissue labeling Fragilis with ab320853 at 1/2000 (0.245 ug/ml) dilution, followed by a ready to use LeicaDS9800 (Bond™ Polymer Refine Detection).

Low expression tissue : weak staining on endothelial cells of human cerebrum. The section was incubated with ab320853 for 30 mins at room temperature.
The immunostaining was performed on a Leica Biosystems BOND® RX instrument

Counterstained with Hematoxylin.

Secondary antibody only control : Secondary antibody is a ready to use LeicaDS9800 (Bond™ Polymer Refine Detection).

Heat mediated antigen retrieval was performed with Tris-EDTA buffer (pH 9.0, Epitope Retrieval Solution2) for 20 mins

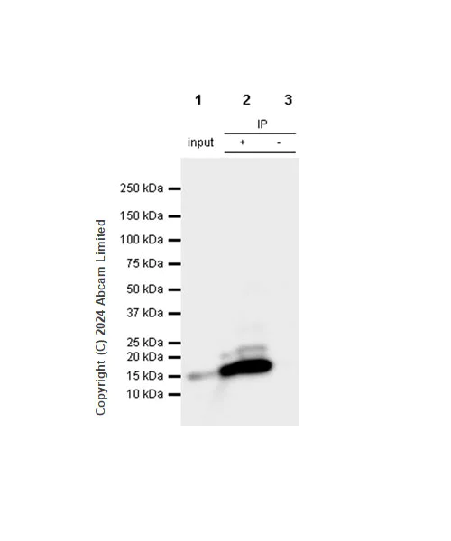
Immunoprecipitation - Anti-Fragilis antibody [RM1224] - BSA and Azide free (AB320854)
  • IP

Supplier Data

Immunoprecipitation - Anti-Fragilis antibody [RM1224] - BSA and Azide free (AB320854)

This data was developed using ab320853, the same antibody clone in a different buffer formulation.

Fragilis was immunoprecipitated from 0.35 mg HeLa (human cervical adenocarcinoma epithelial cell) whole cell lysate with ab320853 at 1/30 dilution (2ug in 0.35mg lysates). Western blot was performed on the immunoprecipitate using ab320853 at 1/1000 dilution. VeriBlot for IP secondary antibody(HRP)(ab131366) was used at 1/5000 dilution.

Lane 1 : HeLa (human cervical adenocarcinoma epithelial cell) whole cell lysate
Lane 2 : ab320853 IP in HeLa (human cervical adenocarcinoma epithelial cell) whole cell lysate
Lane 3 : Rabbit monoclonal IgG (ab172730) instead of ab320853 in HeLa whole cell lysate

Blocking and dilution buffer and concentration : 5% NFDM/TBST

All lanes:

Immunoprecipitation - Anti-Fragilis antibody [RM1224] (<a href='/en-us/products/primary-antibodies/fragilis-antibody-rm1224-ab320853'>ab320853</a>) at 1/30 dilution

All lanes:

HeLa (human cervical adenocarcinoma epithelial cell) whole cell lysate

Secondary

All lanes:

Immunoprecipitation - VeriBlot for IP Detection Reagent (HRP) (<a href='/en-us/products/reagents/veriblot-for-ip-detection-reagent-hrp-ab131366'>ab131366</a>) at 1/5000 dilution

false

Exposure time: 3s

Immunohistochemistry (Frozen sections) - Anti-Fragilis antibody [RM1224] - BSA and Azide free (AB320854)
  • IHC-Fr

Supplier Data

Immunohistochemistry (Frozen sections) - Anti-Fragilis antibody [RM1224] - BSA and Azide free (AB320854)

This data was developed using ab320853, the same antibody clone in a different buffer formulation.

Immunohistochemical analysis of 4% PFA-fixed, 0.2% Triton X-100 permeabilized frozen Mouse cerebrum (fresh frozen) tissue labeling Fragilis with ab320853 at 1/50 (9.8 ug/ml) dilution followed by ab150081 Goat Anti-Rabbit IgG H&L (Alexa Fluor® 488) preadsorbed at 1/1000 2 ug/mL dilution (Green).

Low expression : confocal image showing weak staining on mouse cerebrum. The nuclear counterstain was DAPI (Blue). The section was incubated with ab320853 for 60 mins at room temperature. The section was then mounted using Fluoromount®.The immunostaining was performed on a Leica Biosystems BOND® RX instrument. Image was taken with a confocal microscope (Leica-Microsystems, TCS SP8).

Secondary antibody control : Secondary antibody is ab150081 Goat Anti-Rabbit IgG H&L (Alexa Fluor® 488) preadsorbedat 1/1000 2 ug/mL dilution.

Immunohistochemistry (Frozen sections) - Anti-Fragilis antibody [RM1224] - BSA and Azide free (AB320854)
  • IHC-Fr

Supplier Data

Immunohistochemistry (Frozen sections) - Anti-Fragilis antibody [RM1224] - BSA and Azide free (AB320854)

This data was developed using ab320853, the same antibody clone in a different buffer formulation.

Immunohistochemical analysis of 4% PFA-fixed, 0.2% Triton X-100 permeabilized frozen Mouse lung (fresh frozen) tissue labeling Fragilis with ab320853 at 1/50 (9.8 ug/ml) dilution followed by ab150081 Goat Anti-Rabbit IgG H&L (Alexa Fluor® 488) preadsorbed at 1/1000 2 ug/mL dilution (Green).

Confocal image showing positive staining on mouse lung. The nuclear counterstain was DAPI (Blue). The section was incubated with ab320853 for 60 mins at room temperature. The section was then mounted using Fluoromount®.The immunostaining was performed on a Leica Biosystems BOND® RX instrument. Image was taken with a confocal microscope (Leica-Microsystems, TCS SP8).

Secondary antibody control : Secondary antibody is ab150081 Goat Anti-Rabbit IgG H&L (Alexa Fluor® 488) preadsorbedat 1/1000 2 ug/mL dilution.

Immunohistochemistry (Formalin/PFA-fixed paraffin-embedded sections) - Anti-Fragilis antibody [RM1224] - BSA and Azide free (AB320854)
  • IHC-P

Supplier Data

Immunohistochemistry (Formalin/PFA-fixed paraffin-embedded sections) - Anti-Fragilis antibody [RM1224] - BSA and Azide free (AB320854)

This data was developed using ab320853, the same antibody clone in a different buffer formulation.

Immunohistochemical analysis of paraffin-embedded Mouse cerebrum tissue labeling Fragilis with ab320853 at 1/4000 (0.123 ug/ml) dilution, followed by a ready to use LeicaDS9800 (Bond™ Polymer Refine Detection).

Low expression tissue : weak staining on mouse cerebrum. The section was incubated with ab320853 for 30 mins at room temperature. The immunostaining was performed on a Leica Biosystems BOND® RX instrument

Counterstained with Hematoxylin.

Secondary antibody only control : Secondary antibody is a ready to use LeicaDS9800 (Bond™ Polymer Refine Detection).

Heat mediated antigen retrieval was performed with Tris-EDTA buffer (pH 9.0, Epitope Retrieval Solution2) for 20 mins

Immunocytochemistry/ Immunofluorescence - Anti-Fragilis antibody [RM1224] - BSA and Azide free (AB320854)
  • ICC/IF

Supplier Data

Immunocytochemistry/ Immunofluorescence - Anti-Fragilis antibody [RM1224] - BSA and Azide free (AB320854)

This data was developed using ab320853, the same antibody clone in a different buffer formulation.

Immunofluorescent analysis of 4% Paraformaldehyde-fixed, 0.1% TritonX-100 permeabilized NIH/3T3 (mouse embryonic fibroblast) cells labelling Fragilis with ab320853 at 1/500 (0.98 ug/ml) dilution, followed by ab150081 Goat Anti-Rabbit IgG H&L (Alexa Fluor® 488) preadsorbed antibody at 1/1000 2 ug/mL dilution (Green).

Confocal image showing cytoplasmic staining in NIH/3T3 cell line (shown in green). The counterstain was observed in magenta. Nuclear DNA was labelled with DAPI (shown in blue).
Low expression : A20.
Image was taken with a confocal microscope (Leica-Microsystems, TCS SP8).

ab195889 Anti-alpha Tubulin mouse monoclonal antibody - Microtubule Marker (Alexa Fluor® 594) was used to counterstain tubulin at 1/200 2.5ug/ml dilution (Magenta). The Nuclear counterstain was DAPI (Blue).

Secondary antibody only control : Secondary antibody is ab150081 Goat Anti-Rabbit IgG H&L (Alexa Fluor® 488) preadsorbed at 1/1000 2 ug/mL dilution.

Immunohistochemistry (Frozen sections) - Anti-Fragilis antibody [RM1224] - BSA and Azide free (AB320854)
  • IHC-Fr

Supplier Data

Immunohistochemistry (Frozen sections) - Anti-Fragilis antibody [RM1224] - BSA and Azide free (AB320854)

This data was developed using ab320853, the same antibody clone in a different buffer formulation.

Immunohistochemical analysis of 4% PFA-fixed, 0.2% Triton X-100 permeabilized frozen Rat lung (fresh frozen) tissue labeling Fragilis with ab320853 at 1/50 (9.8 ug/ml) dilution followed by ab150081 Goat Anti-Rabbit IgG H&L (Alexa Fluor® 488) preadsorbed at 1/1000 2 ug/mL dilution (Green).

Confocal image showing positive staining on rat lung. The nuclear counterstain was DAPI (Blue). The section was incubated with ab320853 for 60 mins at room temperature. The section was then mounted using Fluoromount®.The immunostaining was performed on a Leica Biosystems BOND® RX instrument. Image was taken with a confocal microscope (Leica-Microsystems, TCS SP8).

Secondary antibody control : Secondary antibody is ab150081 Goat Anti-Rabbit IgG H&L (Alexa Fluor® 488) preadsorbedat 1/1000 2 ug/mL dilution.

Flow Cytometry (Intracellular) - Anti-Fragilis antibody [RM1224] - BSA and Azide free (AB320854)
  • Flow Cyt (Intra)

Supplier Data

Flow Cytometry (Intracellular) - Anti-Fragilis antibody [RM1224] - BSA and Azide free (AB320854)

This data was developed using ab320853, the same antibody clone in a different buffer formulation.

Flow cytometric analysis of 4% paraformaldehyde fixed 90% methanol permeabilized NIH/3T3 (mouse embryonic fibroblast) (Right) / A20 (mouse reticulum sarcoma B lymphocyte) (Left) cells labelling Fragilis with ab320853 at 1/500 dilution (0.1ug) (Red) compared with a Rabbit monoclonal IgG (ab172730) (Black) isotype control and an unlabelled control (cells without incubation with primary antibody and secondary antibody).

Goat Anti-Rabbit IgG (Alexa Fluor® 488, ab150081) at 1/5000 dilution was used as the secondary antibody.

Low expression : A20

Immunohistochemistry (Formalin/PFA-fixed paraffin-embedded sections) - Anti-Fragilis antibody [RM1224] - BSA and Azide free (AB320854)
  • IHC-P

Supplier Data

Immunohistochemistry (Formalin/PFA-fixed paraffin-embedded sections) - Anti-Fragilis antibody [RM1224] - BSA and Azide free (AB320854)

This data was developed using ab320853, the same antibody clone in a different buffer formulation.

Immunohistochemical analysis of paraffin-embedded Mouse lung tissue labeling Fragilis with ab320853 at 1/4000 (0.123 ug/ml) dilution, followed by a ready to use LeicaDS9800 (Bond™ Polymer Refine Detection).

Positive staining on mouse lung in (A) Anti-Fragilis antibody ab320853 (recombinant multiclonal )and (B) Anti-Fragilis antibody ab15592 (polyclonal antibody). The section was incubated with ab320853 or ab15592 for 30 mins at room temperature.
The immunostaining was performed on a Leica Biosystems BOND® RX instrument

Counterstained with Hematoxylin.

Secondary antibody only control : Secondary antibody is a ready to use LeicaDS9800 (Bond™ Polymer Refine Detection).

Heat mediated antigen retrieval was performed with Tris-EDTA buffer (pH 9.0, Epitope Retrieval Solution2) for 20 mins

Immunohistochemistry (Frozen sections) - Anti-Fragilis antibody [RM1224] - BSA and Azide free (AB320854)
  • IHC-Fr

Supplier Data

Immunohistochemistry (Frozen sections) - Anti-Fragilis antibody [RM1224] - BSA and Azide free (AB320854)

This data was developed using ab320853, the same antibody clone in a different buffer formulation.

Immunohistochemical analysis of 4% PFA-fixed, 0.2% Triton X-100 permeabilized frozen Rat cerebrum (fresh frozen) tissue labeling Fragilis with ab320853 at 1/50 (9.8 ug/ml) dilution followed by ab150081 Goat Anti-Rabbit IgG H&L (Alexa Fluor® 488) preadsorbed at 1/1000 2 ug/mL dilution (Green).

Low expression : confocal image showing weak staining on rat cerebrum. The nuclear counterstain was DAPI (Blue). The section was incubated with ab320853 for 60 mins at room temperature. The section was then mounted using Fluoromount®.The immunostaining was performed on a Leica Biosystems BOND® RX instrument. Image was taken with a confocal microscope (Leica-Microsystems, TCS SP8).

Secondary antibody control : Secondary antibody is ab150081 Goat Anti-Rabbit IgG H&L (Alexa Fluor® 488) preadsorbedat 1/1000 2 ug/mL dilution.

Immunohistochemistry (Formalin/PFA-fixed paraffin-embedded sections) - Anti-Fragilis antibody [RM1224] - BSA and Azide free (AB320854)
  • IHC-P

Supplier Data

Immunohistochemistry (Formalin/PFA-fixed paraffin-embedded sections) - Anti-Fragilis antibody [RM1224] - BSA and Azide free (AB320854)

This data was developed using ab320853, the same antibody clone in a different buffer formulation.

Immunohistochemical analysis of paraffin-embedded Rat lung tissue labeling Fragilis with ab320853 at 1/4000 (0.123 ug/ml) dilution, followed by a ready to use LeicaDS9800 (Bond™ Polymer Refine Detection).

Positive staining on rat lung in (A) Anti-Fragilis antibody ab320853 (recombinant multiclonal ) and (B) Anti-Fragilis antibody ab15592 (polyclonal antibody). The section was incubated with ab320853 or ab15592 for 30 mins at room temperature.
The immunostaining was performed on a Leica Biosystems BOND® RX instrument

Counterstained with Hematoxylin.

Secondary antibody only control : Secondary antibody is a ready to use LeicaDS9800 (Bond™ Polymer Refine Detection).

Heat mediated antigen retrieval was performed with Tris-EDTA buffer (pH 9.0, Epitope Retrieval Solution2) for 20 mins

Immunohistochemistry (Formalin/PFA-fixed paraffin-embedded sections) - Anti-Fragilis antibody [RM1224] - BSA and Azide free (AB320854)
  • IHC-P

Supplier Data

Immunohistochemistry (Formalin/PFA-fixed paraffin-embedded sections) - Anti-Fragilis antibody [RM1224] - BSA and Azide free (AB320854)

This data was developed using ab320853, the same antibody clone in a different buffer formulation.

Immunohistochemical analysis of paraffin-embedded Rat cerebrum tissue labeling Fragilis with ab320853 at 1/4000 (0.123 ug/ml) dilution, followed by a ready to use LeicaDS9800 (Bond™ Polymer Refine Detection).

Low expression tissue : weak staining on rat cerebrum. The section was incubated with ab320853 for 30 mins at room temperature.
The immunostaining was performed on a Leica Biosystems BOND® RX instrument

Counterstained with Hematoxylin.

Secondary antibody only control : Secondary antibody is a ready to use LeicaDS9800 (Bond™ Polymer Refine Detection).

Heat mediated antigen retrieval was performed with Tris-EDTA buffer (pH 9.0, Epitope Retrieval Solution2) for 20 mins

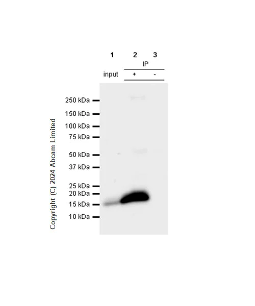
Immunoprecipitation - Anti-Fragilis antibody [RM1224] - BSA and Azide free (AB320854)
  • IP

Supplier Data

Immunoprecipitation - Anti-Fragilis antibody [RM1224] - BSA and Azide free (AB320854)

This data was developed using ab320853, the same antibody clone in a different buffer formulation.

Fragilis was immunoprecipitated from 0.35 mg NIH/3T3 whole cell lysate with ab320853 at 1/30 dilution (2ug in 0.35mg lysates). Western blot was performed on the immunoprecipitate using ab320853 at 1/1000 dilution. VeriBlot for IP secondary antibody(HRP)(ab131366) was used at 1/5000 dilution.

Lane 1 : NIH/3T3 (mouse embryonic fibroblast) whole cell lysate
Lane 2 : ab320853 IP in NIH/3T3 whole cell lysate
Lane 3 : Rabbit monoclonal IgG (ab172730) instead of ab320853 in NIH/3T3 whole cell lysate

Blocking and dilution buffer and concentration : 5% NFDM/TBST

All lanes:

Immunoprecipitation - Anti-Fragilis antibody [RM1224] (<a href='/en-us/products/primary-antibodies/fragilis-antibody-rm1224-ab320853'>ab320853</a>) at 1/30 dilution

All lanes:

NIH/3T3 whole cell lysate

Secondary

All lanes:

Immunoprecipitation - VeriBlot for IP Detection Reagent (HRP) (<a href='/en-us/products/reagents/veriblot-for-ip-detection-reagent-hrp-ab131366'>ab131366</a>) at 1/5000 dilution

false

Exposure time: 3s

Immunoprecipitation - Anti-Fragilis antibody [RM1224] - BSA and Azide free (AB320854)
  • IP

Supplier Data

Immunoprecipitation - Anti-Fragilis antibody [RM1224] - BSA and Azide free (AB320854)

This data was developed using ab320853, the same antibody clone in a different buffer formulation.

Fragilis was immunoprecipitated from 0.35 mg Rat lung tissue with ab320853 at 1/30 dilution (2ug in 0.35mg lysates). Western blot was performed on the immunoprecipitate using ab320853 at 1/1000 dilution. VeriBlot for IP secondary antibody(HRP)(ab131366) was used at 1/5000 dilution.

Lane 1 : Rat lung tissue lysate
Lane 2 : ab320853 IP in Rat lung tissue lysate
Lane 3 : Rabbit monoclonal IgG (ab172730) instead of ab320853 in rat lung tissue lysate

Blocking and dilution buffer and concentration : 5% NFDM/TBST

All lanes:

Immunoprecipitation - Anti-Fragilis antibody [RM1224] (<a href='/en-us/products/primary-antibodies/fragilis-antibody-rm1224-ab320853'>ab320853</a>) at 1/30 dilution

All lanes:

Rat lung tissue

Secondary

All lanes:

Immunoprecipitation - VeriBlot for IP Detection Reagent (HRP) (<a href='/en-us/products/reagents/veriblot-for-ip-detection-reagent-hrp-ab131366'>ab131366</a>) at 1/5000 dilution

false

Exposure time: 6s

Western blot - Anti-Fragilis antibody [RM1224] - BSA and Azide free (AB320854)
  • WB

Supplier Data

Western blot - Anti-Fragilis antibody [RM1224] - BSA and Azide free (AB320854)

This data was developed using ab320853, the same antibody clone in a different buffer formulation.

Blocking and diluting buffer and concentration : 5% NFDM/TBST.

Negative control : Jurkat and 293T (PMID : 21177806)

Anti-Fragilis antibody (ab320853, recombinant monoclonal) showed less background than Anti-Fragilis antibody (ab15592, polyclonal) with human samples.

In Western blot, Anti-GAPDH antibody [EPR16891] - Loading Control (ab181602) staining at 1/200000 dilution.

Exposure time : Recombinant multiclonal ab320853 : 70 seconds Polyclonal ab15592 : 103 seconds

All lanes:

Western blot - Anti-Fragilis antibody [RM1224] (<a href='/en-us/products/primary-antibodies/fragilis-antibody-rm1224-ab320853'>ab320853</a>) at 1/1000 dilution

Lane 1:

HeLa (human cervical adenocarcinoma epithelial cell) whole cell lysate at 20 µg

Lane 2:

THP-1 (human monocytic leukemia monocyte) whole cell lysate at 20 µg

Lane 3:

Jurkat (human T cell leukemia T lymphocyte from peripheral blood) whole cell lysate at 20 µg

Lane 4:

293T (human embryonic kidney epithelial cell) whole cell lysate at 20 µg

Secondary

All lanes:

Western blot - Goat Anti-Rabbit IgG H&L (HRP) (<a href='/en-us/products/secondary-antibodies/goat-rabbit-igg-h-l-hrp-ab97051'>ab97051</a>) at 1/100000 dilution

Observed band size: 36 kDa,15 kDa

false

Exposure time: 15s

Western blot - Anti-Fragilis antibody [RM1224] - BSA and Azide free (AB320854)
  • WB

Supplier Data

Western blot - Anti-Fragilis antibody [RM1224] - BSA and Azide free (AB320854)

This data was developed using ab320853, the same antibody clone in a different buffer formulation.

Blocking and diluting buffer and concentration : 5% NFDM/TBST.

Low expression : A20

Anti-Fragilis antibody (ab320853, recombinant monoclonal) showed less background than Anti-Fragilis antibody (ab15592, polyclonal) with mouse samples.

In Western blot, Anti-GAPDH antibody [EPR16891] - Loading Control (ab181602) staining at 1/200000 dilution.

Recombinant multiclonal ab320853 : 26 seconds Polyclonal ab15592 : 70 seconds

All lanes:

Western blot - Anti-Fragilis antibody [RM1224] (<a href='/en-us/products/primary-antibodies/fragilis-antibody-rm1224-ab320853'>ab320853</a>) at 1/1000 dilution

Lane 1:

NIH/3T3 (mouse embryonic fibroblast) whole cell lysate at 20 µg

Lane 2:

A20 (mouse reticum sarcoma B lymphocyte) whole cell lysate at 20 µg

Secondary

All lanes:

Western blot - Goat Anti-Rabbit IgG H&L (HRP) (<a href='/en-us/products/secondary-antibodies/goat-rabbit-igg-h-l-hrp-ab97051'>ab97051</a>) at 1/100000 dilution

Observed band size: 36 kDa,15 kDa

false

Exposure time: 15s

Key facts

Host species

Rabbit

Clonality

Multiclonal

Clone number

RM1224

Isotype

IgG

Carrier free

Yes

Reacts with

Mouse, Human, Rat

Applications

Flow Cyt (Intra), WB, IP, IHC-P, IHC-Fr, ICC/IF

applications

Immunogen

The exact immunogen used to generate this antibody is proprietary information.

Specificity

Unsuitable for human ICC

Reactivity data

{ "title": "Reactivity Data", "filters": { "stats": ["", "Species", "Dilution Info", "Notes"], "tabs": { "all-applications": {"fullname" : "All Applications", "shortname": "All Applications"}, "FlowCytIntra" : {"fullname" : "Flow Cytometry (Intracellular)", "shortname":"Flow Cyt (Intra)"}, "IHCP" : {"fullname" : "Immunohistochemistry (Formalin/PFA-fixed paraffin-embedded sections)", "shortname":"IHC-P"}, "WB" : {"fullname" : "Western blot", "shortname":"WB"}, "IP" : {"fullname" : "Immunoprecipitation", "shortname":"IP"}, "ICCIF" : {"fullname" : "Immunocytochemistry/ Immunofluorescence", "shortname":"ICC/IF"}, "IHCFr" : {"fullname" : "Immunohistochemistry (Frozen sections)", "shortname":"IHC-Fr"} }, "product-promise": { "all": "all", "testedAndGuaranteed": "tested", "guaranteed": "expected", "predicted": "predicted", "notRecommended": "not-recommended" } }, "values": { "Human": { "FlowCytIntra-species-checked": "guaranteed", "FlowCytIntra-species-dilution-info": "", "FlowCytIntra-species-notes": "", "IHCP-species-checked": "testedAndGuaranteed", "IHCP-species-dilution-info": "", "IHCP-species-notes": "<p></p> Perform heat-mediated antigen retrieval with Tris/EDTA buffer pH 9.0 before commencing with IHC staining protocol.", "WB-species-checked": "testedAndGuaranteed", "WB-species-dilution-info": "", "WB-species-notes": "<p></p>", "IP-species-checked": "testedAndGuaranteed", "IP-species-dilution-info": "", "IP-species-notes": "<p></p>", "ICCIF-species-checked": "notRecommended", "ICCIF-species-dilution-info": "", "ICCIF-species-notes": "<p></p>", "IHCFr-species-checked": "guaranteed", "IHCFr-species-dilution-info": "", "IHCFr-species-notes": "" }, "Mouse": { "FlowCytIntra-species-checked": "testedAndGuaranteed", "FlowCytIntra-species-dilution-info": "", "FlowCytIntra-species-notes": "<p></p>", "IHCP-species-checked": "testedAndGuaranteed", "IHCP-species-dilution-info": "", "IHCP-species-notes": "<p></p> Perform heat-mediated antigen retrieval with Tris/EDTA buffer pH 9.0 before commencing with IHC staining protocol.", "WB-species-checked": "testedAndGuaranteed", "WB-species-dilution-info": "", "WB-species-notes": "<p></p>", "IP-species-checked": "testedAndGuaranteed", "IP-species-dilution-info": "", "IP-species-notes": "<p></p>", "ICCIF-species-checked": "testedAndGuaranteed", "ICCIF-species-dilution-info": "", "ICCIF-species-notes": "<p></p>", "IHCFr-species-checked": "testedAndGuaranteed", "IHCFr-species-dilution-info": "", "IHCFr-species-notes": "<p></p>" }, "Rat": { "FlowCytIntra-species-checked": "guaranteed", "FlowCytIntra-species-dilution-info": "", "FlowCytIntra-species-notes": "", "IHCP-species-checked": "testedAndGuaranteed", "IHCP-species-dilution-info": "", "IHCP-species-notes": "<p></p> Perform heat-mediated antigen retrieval with Tris/EDTA buffer pH 9.0 before commencing with IHC staining protocol.", "WB-species-checked": "testedAndGuaranteed", "WB-species-dilution-info": "", "WB-species-notes": "<p></p>", "IP-species-checked": "testedAndGuaranteed", "IP-species-dilution-info": "", "IP-species-notes": "<p></p>", "ICCIF-species-checked": "guaranteed", "ICCIF-species-dilution-info": "", "ICCIF-species-notes": "", "IHCFr-species-checked": "testedAndGuaranteed", "IHCFr-species-dilution-info": "", "IHCFr-species-notes": "<p></p>" } } }

Product details

ab320854 is the carrier-free version of ab320853.

What are recombinant multiclonals?
Recombinant multiclonals are a mixture of recombinant antibodies co-expressed from a library of heavy and light chains. They offer several advantages including:

  • - The sensitivity of polyclonal antibodies by recognising multiple epitopes
  • - High batch-to-batch consistency and reproducibility
  • - Improved sensitivity and specificity
  • - Long-term security of supply
  • - Animal-free batch production

View our range of recombinant multiclonal antibodies.

Patented technology
Our RabMAb® technology is a patented hybridoma-based technology for making rabbit monoclonal antibodies. For details on our patents, please refer to RabMAb® patents.

Conjugation ready
Our carrier-free antibodies are typically supplied in a PBS-only formulation, purified and free of BSA, sodium azide and glycerol. This conjugation-ready format is designed for use with fluorochromes, metal isotopes, oligonucleotides, and enzymes, which makes them ideal for antibody labelling, functional and cell-based assays, flow-based assays (e.g. mass cytometry) and Multiplex Imaging applications.

Use our conjugation kits for antibody conjugates that are ready-to-use in as little as 20 minutes with 1 minute hands-on-time and 100% antibody recovery: available for fluorescent dyes, HRP, biotin and gold.

Compatibility
This product is compatible with the Maxpar® Antibody Labeling Kit from Fluidigm, without the need for antibody preparation. Maxpar® is a trademark of Fluidigm Canada Inc.

Properties and storage information

Form
Liquid
Purification technique
Affinity purification Protein A
Storage buffer
pH: 7.2 - 7.4 Constituents: 100% PBS
Shipped at conditions
Blue Ice
Appropriate short-term storage conditions
+4°C
Appropriate long-term storage conditions
+4°C

Supplementary information

This supplementary information is collated from multiple sources and compiled automatically.

The protein known as Fragilis also called Interferon-induced transmembrane protein 3 (IFITM3) plays a role in cellular defense mechanisms. Fragilis is approximately 15 kDa in mass. It is commonly expressed in cells of the immune system such as lymphocytes and can also be found in various tissues including the lungs spleen and thymus. This protein includes a chain of functional domains that interact with cellular membranes contributing to its protective roles on the cellular level.
Biological function summary

IFITM3 acts as an antiviral protein that disrupts the life cycle of viruses entering human cells. It is a part of a family of transmembrane proteins that block viral replication by inhibiting the fusion of viral membranes with endosomal membranes. The presence of Fragilis in respiratory epithelial cells is integral to the immune response against viral infections. The protein acts as a barrier to viruses like influenza providing an innate immune defense mechanism.

Pathways

The involvement of IFITM3 is central to the immune signaling pathways specifically the interferon signaling pathway. Upon viral infection interferons upregulate IFITM3 enhancing its antiviral activities. Other proteins like STAT1 and STAT2 mediate this regulation. Additionally IFITM3 aligns with the pathways regulating cell membrane integrity and remodeling highlighting its multi-functional role beyond just antiviral defense.

Research highlights the relevance of IFITM3 in conditions such as influenza and COVID-19. In both cases higher expression levels correlate with better prognosis. For instance variations in IFITM3 expression or genetic mutations can affect susceptibility to severe influenza. Connections with proteins such as MxA and other IFITM proteins can influence these disease processes. These connections make Fragilis a target of interest for understanding and potentially mitigating the severity of viral infections.

Product protocols

For this product, it's our understanding that no specific protocols are required. You can visit:

Target data

IFN-induced antiviral protein which disrupts intracellular cholesterol homeostasis. Inhibits the entry of viruses to the host cell cytoplasm by preventing viral fusion with cholesterol depleted endosomes. May inactivate new enveloped viruses which buds out of the infected cell, by letting them go out with a cholesterol depleted membrane. Active against multiple viruses, including influenza A virus, SARS coronaviruses (SARS-CoV and SARS-CoV-2), Marburg virus (MARV), Ebola virus (EBOV), Dengue virus (DNV), West Nile virus (WNV), human immunodeficiency virus type 1 (HIV-1), hepatitis C virus (HCV) and vesicular stomatitis virus (VSV) (PubMed : 33270927). Can inhibit : influenza virus hemagglutinin protein-mediated viral entry, MARV and EBOV GP1,2-mediated viral entry, SARS-CoV and SARS-CoV-2 S protein-mediated viral entry and VSV G protein-mediated viral entry (PubMed : 33270927). Plays a critical role in the structural stability and function of vacuolar ATPase (v-ATPase). Establishes physical contact with the v-ATPase of endosomes which is critical for proper clathrin localization and is also required for the function of the v-ATPase to lower the pH in phagocytic endosomes thus establishing an antiviral state. In hepatocytes, IFITM proteins act in a coordinated manner to restrict HCV infection by targeting the endocytosed HCV virion for lysosomal degradation. IFITM2 and IFITM3 display anti-HCV activity that may complement the anti-HCV activity of IFITM1 by inhibiting the late stages of HCV entry, possibly in a coordinated manner by trapping the virion in the endosomal pathway and targeting it for degradation at the lysosome. Exerts opposing activities on SARS-CoV-2, including amphipathicity-dependent restriction of virus at endosomes and amphipathicity-independent enhancement of infection at the plasma membrane.
See full target information Ifitm3

Additional targets

IFITM3

Product promise

We are committed to supporting your work with high-quality reagents, and we're here for you every step of the way. In the unlikely event that one of our products does not perform as expected, you're protected by our Product Promise.
For full details, please see our Terms & Conditions

Please note: All products are 'FOR RESEARCH USE ONLY. NOT FOR USE IN DIAGNOSTIC OR THERAPEUTIC PROCEDURES'.

For licensing inquiries, please contact partnerships@abcam.com