JavaScript is disabled in your browser. Please enable JavaScript to view this website.
AB251942

Anti-FRAS1 antibody

Be the first to review this product! Submit a review

|

(1 Publication)

Rabbit Polyclonal FRAS1 antibody. Suitable for IHC-P and reacts with Human samples. Cited in 1 publication. Immunogen corresponding to Recombinant Fragment Protein within Human FRAS1 aa 1700-1900.

View Alternative Names

KIAA1500, FRAS1, Extracellular matrix organizing protein FRAS1, Fraser syndrome 1 protein

1 Images
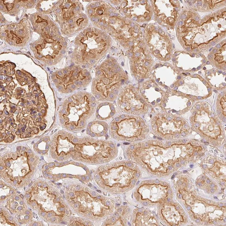
Immunohistochemistry (Formalin/PFA-fixed paraffin-embedded sections) - Anti-FRAS1 antibody (AB251942)
  • IHC-P

Unknown

Immunohistochemistry (Formalin/PFA-fixed paraffin-embedded sections) - Anti-FRAS1 antibody (AB251942)

Paraffin-embedded human kidney tissue stained for FRAS1 using ab251942 at 1/200 dilution in immunohistochemical analysis.

Key facts

Host species

Rabbit

Clonality

Polyclonal

Isotype

IgG

Carrier free

No

Reacts with

Human

Applications

IHC-P

applications

Immunogen

Recombinant Fragment Protein within Human FRAS1 aa 1700-1900. The exact immunogen used to generate this antibody is proprietary information.

Q86XX4

Reactivity data

{ "title": "Reactivity Data", "filters": { "stats": ["", "Species", "Dilution Info", "Notes"], "tabs": { "all-applications": {"fullname" : "All Applications", "shortname": "All Applications"}, "IHCP" : {"fullname" : "Immunohistochemistry (Formalin/PFA-fixed paraffin-embedded sections)", "shortname":"IHC-P"} }, "product-promise": { "all": "all", "testedAndGuaranteed": "tested", "guaranteed": "expected", "predicted": "predicted", "notRecommended": "not-recommended" } }, "values": { "Human": { "IHCP-species-checked": "testedAndGuaranteed", "IHCP-species-dilution-info": "1/200 - 1/500", "IHCP-species-notes": "<p></p> Perform heat-mediated antigen retrieval with citrate buffer pH 6 before commencing with IHC staining protocol." } } }

Properties and storage information

Form
Liquid
Purification technique
Affinity purification Immunogen
Storage buffer
pH: 7.2 Preservative: 0.02% Sodium azide Constituents: PBS, 40% Glycerol (glycerin, glycerine)
Shipped at conditions
Blue Ice
Appropriate short-term storage duration
1-2 weeks
Appropriate short-term storage conditions
+4°C
Appropriate long-term storage conditions
-20°C
Aliquoting information
Upon delivery aliquot
Storage information
Avoid freeze / thaw cycle

Supplementary information

This supplementary information is collated from multiple sources and compiled automatically.

FRAS1 (Fraser syndrome 1) is a protein with a mass of approximately 419 kDa. It is expressed in the basement membrane zone of epithelial tissues particularly in the skin lungs kidneys and developing eyes. FRAS1 belongs to the extracellular matrix and plays a critical role in the structural organization of these tissues. This protein is also known as Fraser syndrome protein 1 and mutations in the FRAS1 gene can cause developmental defects.
Biological function summary

FRAS1 interacts with other extracellular matrix proteins to maintain the integrity of basement membranes. It forms a complex with FREM2 (Fras1 related extracellular matrix protein 2) and FREM1 (Fras1 related extracellular matrix protein 1). This complex is important for the adhesion between epithelial and mesenchymal cells during embryonic development ensuring proper organ formation and function. The correct assembly of this protein complex is essential for tissue integrity.

Pathways

FRAS1 participates in the assembly and organization of the extracellular matrix. It has an important role in epithelial-mesenchymal signaling particularly during embryonic development. This protein interacts with BMP4 (Bone Morphogenetic Protein 4) within these pathways influencing morphogenetic processes. FRAS1's participation in these pathways ensures proper organ structure and function by maintaining stable cellular environments.

FRAS1 is most notably associated with Fraser syndrome a genetic disorder characterized by cryptophthalmos syndactyly and renal agenesis. Mutations in the FRAS1 often resulting in a loss of function cause this syndrome. Another relevant condition is renal malformation which corresponds with disrupted FRAS1 function. Through these conditions FRAS1 also links to other proteins such as nephronectin that is involved in kidney development and maintenance.

Product protocols

For this product, it's our understanding that no specific protocols are required. You can visit:

Target data

Involved in extracellular matrix organization (By similarity). Required for the regulation of epidermal-basement membrane adhesion responsible for proper organogenesis during embryonic development (By similarity). Involved in brain organization and function (By similarity).
See full target information FRAS1

Publications (1)

Recent publications for all applications. Explore the full list and refine your search

Human molecular genetics 32:104-121 PubMed35925837

2022

TFIIB-related factor 1 is a nucleolar protein that promotes RNA polymerase I-directed transcription and tumour cell growth.

Applications

Unspecified application

Species

Unspecified reactive species

Juan Wang,Qiyue Chen,Xin Wang,Shasha Zhao,Huan Deng,Baoqiang Guo,Cheng Zhang,Xiaoye Song,Wensheng Deng,Tongcun Zhang,Hongwei Ni
View all publications

Product promise

We are committed to supporting your work with high-quality reagents, and we're here for you every step of the way. In the unlikely event that one of our products does not perform as expected, you're protected by our Product Promise.
For full details, please see our Terms & Conditions

Please note: All products are 'FOR RESEARCH USE ONLY. NOT FOR USE IN DIAGNOSTIC OR THERAPEUTIC PROCEDURES'.

For licensing inquiries, please contact partnerships@abcam.com