JavaScript is disabled in your browser. Please enable JavaScript to view this website.
AB137391

Anti-FRAT1 antibody - C-terminal

Be the first to review this product! Submit a review

|

(2 Publications)

Rabbit Polyclonal FRAT1 antibody. Suitable for IHC-P, WB, ICC/IF and reacts with Human samples. Cited in 2 publications. Immunogen corresponding to Synthetic Peptide within Human Proto-oncogene FRAT1 aa 200 to C-terminus.

View Alternative Names

Proto-oncogene FRAT1, Frequently rearranged in advanced T-cell lymphomas 1, FRAT-1, FRAT1

3 Images
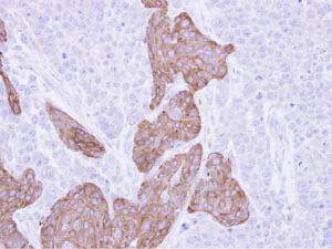
Immunohistochemistry (Formalin/PFA-fixed paraffin-embedded sections) - Anti-FRAT1 antibody - C-terminal (AB137391)
  • IHC-P

Unknown

Immunohistochemistry (Formalin/PFA-fixed paraffin-embedded sections) - Anti-FRAT1 antibody - C-terminal (AB137391)

Immunohistochemical analysis of paraffin-embedded Human SG xenograft tissue, labeling FRAT1 with ab137391 at 1/500 dilution.

Immunocytochemistry/ Immunofluorescence - Anti-FRAT1 antibody - C-terminal (AB137391)
  • ICC/IF

Unknown

Immunocytochemistry/ Immunofluorescence - Anti-FRAT1 antibody - C-terminal (AB137391)

Immunofluorescence analysis of methanol-fixed A431 cells, labelling FRAT1 with ab137391 at 1/200 dilution. Lower image is costained with Hoechst 33342.

Western blot - Anti-FRAT1 antibody - C-terminal (AB137391)
  • WB

Unknown

Western blot - Anti-FRAT1 antibody - C-terminal (AB137391)

12% SDS PAGE

All lanes:

Western blot - Anti-FRAT1 antibody - C-terminal (ab137391) at 1/1000 dilution

All lanes:

A431 whole cell lysate at 30 µg

Predicted band size: 29 kDa

false

Key facts

Host species

Rabbit

Clonality

Polyclonal

Isotype

IgG

Carrier free

No

Reacts with

Human

Applications

WB, IHC-P, ICC/IF

applications

Immunogen

Synthetic Peptide within Human Proto-oncogene FRAT1 aa 200 to C-terminus. The exact immunogen used to generate this antibody is proprietary information.

Q92837

Reactivity data

{ "title": "Reactivity Data", "filters": { "stats": ["", "Species", "Dilution Info", "Notes"], "tabs": { "all-applications": {"fullname" : "All Applications", "shortname": "All Applications"}, "IHCP" : {"fullname" : "Immunohistochemistry (Formalin/PFA-fixed paraffin-embedded sections)", "shortname":"IHC-P"}, "WB" : {"fullname" : "Western blot", "shortname":"WB"}, "ICCIF" : {"fullname" : "Immunocytochemistry/ Immunofluorescence", "shortname":"ICC/IF"} }, "product-promise": { "all": "all", "testedAndGuaranteed": "tested", "guaranteed": "expected", "predicted": "predicted", "notRecommended": "not-recommended" } }, "values": { "Human": { "IHCP-species-checked": "testedAndGuaranteed", "IHCP-species-dilution-info": "1/100 - 1/1000", "IHCP-species-notes": "<p>or Tris-EDTA buffer (pH8.0)</p> Perform heat-mediated antigen retrieval with citrate buffer pH 6 before commencing with IHC staining protocol.", "WB-species-checked": "testedAndGuaranteed", "WB-species-dilution-info": "1/500 - 1/3000", "WB-species-notes": "<p></p>", "ICCIF-species-checked": "testedAndGuaranteed", "ICCIF-species-dilution-info": "1/100 - 1/1000", "ICCIF-species-notes": "<p></p>" } } }

Properties and storage information

Form
Liquid
Purification technique
Affinity purification Immunogen
Storage buffer
pH: 7 Preservative: 0.01% Thimerosal (merthiolate) Constituents: 10% Glycerol (glycerin, glycerine), 1.21% Tris, 0.75% Glycine
Shipped at conditions
Blue Ice
Appropriate short-term storage conditions
+4°C
Appropriate long-term storage conditions
-20°C
Aliquoting information
Upon delivery aliquot
Storage information
Avoid freeze / thaw cycle

Supplementary information

This supplementary information is collated from multiple sources and compiled automatically.

FRAT1 also known as Frequently Rearranged in Advanced T-cell lymphomas 1 is a regulatory protein involved in the Wnt signaling pathway. It has a molecular mass of approximately 29 kDa. The protein expresses mainly in tissues such as the brain and lymphoid organs. FRAT1 functions as a positive regulator of the Wnt pathway by inhibiting GSK-3 beta leading to the stabilization and accumulation of β-catenin in the cytoplasm and its subsequent translocation into the nucleus. This role is significant in mediating gene transcription related to cell proliferation and differentiation.
Biological function summary

FRAT1 contributes to cellular and developmental processes. It forms a functional complex with other proteins in the Wnt signaling pathway including Dishevelled proteins and Axin. The interaction within this complex aids in the modulation of β-catenin levels which is a critical step in the transmission of Wnt signals from the cell surface to the nucleus. Its regulation is necessary for maintaining normal developmental processes and cellular homeostasis.

Pathways

FRAT1 plays an important role in the Wnt/β-catenin signaling and the cell proliferation pathway. It interacts with proteins such as GSK-3 beta and β-catenin directly affecting the progression of Wnt signals. Through this signaling pathway FRAT1 influences cell fate decisions contributing to tissue development and regeneration. The regulation of these pathways by FRAT1 is essential for controlling cellular proliferation and differentiation in various tissues.

FRAT1 has been implicated in cancer specifically in the development of certain lymphomas and gliomas. Its overexpression or mutation can lead to dysregulated Wnt/β-catenin signaling which contributes to tumorigenesis and the progression of these diseases. Additionally alterations in FRAT1 activity may affect proteins like β-catenin which can further influence cancer-associated signaling networks. Understanding the role of FRAT1 in these pathological conditions may offer insights into potential therapeutic targets.

Product protocols

For this product, it's our understanding that no specific protocols are required. You can visit:

Target data

Positively regulates the Wnt signaling pathway by stabilizing beta-catenin through the association with GSK-3. May play a role in tumor progression and collaborate with PIM1 and MYC in lymphomagenesis.
See full target information Proto-oncogene FRAT1

Publications (2)

Recent publications for all applications. Explore the full list and refine your search

Thoracic cancer 11:295-304 PubMed31788970

2019

LncRNA SNHG1 influences cell proliferation, migration, invasion, and apoptosis of non-small cell lung cancer cells via the miR-361-3p/FRAT1 axis.

Applications

Unspecified application

Species

Unspecified reactive species

Xiaomei Li,Hong Zheng

Molecular medicine reports 14:3551-8 PubMed27599661

2016

Frequently rearranged in advanced T‑cell lymphomas‑1 demonstrates oncogenic properties in prostate cancer.

Applications

IHC-P

Species

Human

Wei Zhang,Hua Xiong,Yanmei Zou,Sanpeng Xu,Lanping Quan,Xianglin Yuan,Ningzhi Xu,Yihua Wang
View all publications

Product promise

We are committed to supporting your work with high-quality reagents, and we're here for you every step of the way. In the unlikely event that one of our products does not perform as expected, you're protected by our Product Promise.
For full details, please see our Terms & Conditions

Please note: All products are 'FOR RESEARCH USE ONLY. NOT FOR USE IN DIAGNOSTIC OR THERAPEUTIC PROCEDURES'.

For licensing inquiries, please contact partnerships@abcam.com