JavaScript is disabled in your browser. Please enable JavaScript to view this website.
AB113691

Anti-Frataxin antibody [17A11]

4

(3 Reviews)

|

(20 Publications)

Anti-Frataxin antibody [17A11] (ab113691) is a mouse monoclonal antibody detecting Frataxin in Western Blot, Flow Cytometry, IHC-P, ICC/IF. Suitable for Cow, Human, Mouse, Rat,.

- Over 10 publications

View Alternative Names

FRDA, X25, FXN, Friedreich ataxia protein, Fxn

4 Images
Immunocytochemistry/ Immunofluorescence - Anti-Frataxin antibody [17A11] (AB113691)
  • ICC/IF

Unknown

Immunocytochemistry/ Immunofluorescence - Anti-Frataxin antibody [17A11] (AB113691)

ab113691 stained fibroblast cells. The cells were paraformaldehyde fixed (4%, 20 min) and Triton X-100 permeabilized (0.1%, 15min). The cells were incubated with the antibody (ab113691, 1µg/ml) for 2h at room temperature or over night at 4°C. The secondary antibody was (green) Alexa Fluor® 488 goat anti-mouse IgG (H+L) used at a 1/1000 dilution for 1h. 10% Goat serum was used as the blocking agent for all blocking steps. The target protein locates to the mitochondrial matrix.

Flow Cytometry - Anti-Frataxin antibody [17A11] (AB113691)
  • Flow Cyt

Unknown

Flow Cytometry - Anti-Frataxin antibody [17A11] (AB113691)

Normal human lymphoblast cells were stained with 1 µg/mL ab113691 (blue) or an equal amount of an isotype control antibody (red) and analyzed by flow cytometry.

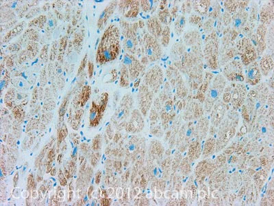
Immunohistochemistry (Formalin/PFA-fixed paraffin-embedded sections) - Anti-Frataxin antibody [17A11] (AB113691)
  • IHC-P

Unknown

Immunohistochemistry (Formalin/PFA-fixed paraffin-embedded sections) - Anti-Frataxin antibody [17A11] (AB113691)

IHC image of Frataxin staining in Human normal heart muscle formalin fixed paraffin embedded tissue section, performed on a Leica BondTM system using the standard protocol F. The section was pre-treated using heat mediated antigen retrieval with sodium citrate buffer (pH6, epitope retrieval solution 1) for 20 mins. The section was then incubated with ab113691, 10μg/ml, for 15 mins at room temperature and detected using an HRP conjugated compact polymer system. DAB was used as the chromogen. The section was then counterstained with haematoxylin and mounted with DPX.

For other IHC staining systems (automated and non-automated) customers should optimize variable parameters such as antigen retrieval conditions, primary antibody concentration and antibody incubation times.

Western blot - Anti-Frataxin antibody [17A11] (AB113691)
  • WB

Unknown

Western blot - Anti-Frataxin antibody [17A11] (AB113691)

All lanes:

Western blot - Anti-Frataxin antibody [17A11] (ab113691)

Lane 1:

Recombinant frataxin at 0.1 µg

Lane 2:

Human heart mitochondria at 15 µg

Lane 3:

Human liver mitochondria at 15 µg

Lane 4:

HepG2 whole cell lysate at 15 µg

Lane 5:

Bovine heart mitochondria at 15 µg

Lane 6:

H9C2 rat whole cell lysate at 15 µg

Lane 7:

MEF mouse embryonic fibroblast at 15 µg

Lane 8:

Mouse liver mitochondria at 15 µg

Lane 9:

Rat liver mitochondria at 15 µg

Predicted band size: 23 kDa

false

  • 519 Alexa Fluor® 488

    Alexa Fluor® 488 Anti-Frataxin antibody [17A11]

  • HRP

    HRP Anti-Frataxin antibody [17A11]

Key facts

Host species

Mouse

Clonality

Monoclonal

Clone number

17A11

Isotype

IgG1

Light chain type

kappa

Carrier free

No

Reacts with

Mouse, Rat, Cow, Human

Applications

ICC/IF, IHC-P, Flow Cyt, WB

applications

Immunogen

The exact immunogen used to generate this antibody is proprietary information.

Reactivity data

{ "title": "Reactivity Data", "filters": { "stats": ["", "Species", "Dilution Info", "Notes"], "tabs": { "all-applications": {"fullname" : "All Applications", "shortname": "All Applications"}, "FlowCyt" : {"fullname" : "Flow Cytometry", "shortname":"Flow Cyt"}, "WB" : {"fullname" : "Western blot", "shortname":"WB"}, "ICCIF" : {"fullname" : "Immunocytochemistry/ Immunofluorescence", "shortname":"ICC/IF"}, "IHCP" : {"fullname" : "Immunohistochemistry (Formalin/PFA-fixed paraffin-embedded sections)", "shortname":"IHC-P"} }, "product-promise": { "all": "all", "testedAndGuaranteed": "tested", "guaranteed": "expected", "predicted": "predicted", "notRecommended": "not-recommended" } }, "values": { "Human": { "FlowCyt-species-checked": "testedAndGuaranteed", "FlowCyt-species-dilution-info": "1 µg/mL", "FlowCyt-species-notes": "<p><a href='/en-us/products/primary-antibodies/mouse-igg1-kappa-monoclonal-15-6e10a7-isotype-control-ab170190'>ab170190</a> - Mouse monoclonal IgG1, is suitable for use as an isotype control with this antibody.</p>", "WB-species-checked": "testedAndGuaranteed", "WB-species-dilution-info": "4 µg/mL", "WB-species-notes": "<p></p>", "ICCIF-species-checked": "testedAndGuaranteed", "ICCIF-species-dilution-info": "1 µg/mL", "ICCIF-species-notes": "<p></p>", "IHCP-species-checked": "testedAndGuaranteed", "IHCP-species-dilution-info": "10 µg/mL", "IHCP-species-notes": "<p></p>" }, "Mouse": { "FlowCyt-species-checked": "guaranteed", "FlowCyt-species-dilution-info": "", "FlowCyt-species-notes": "", "WB-species-checked": "testedAndGuaranteed", "WB-species-dilution-info": "4 µg/mL", "WB-species-notes": "<p></p>", "ICCIF-species-checked": "guaranteed", "ICCIF-species-dilution-info": "", "ICCIF-species-notes": "", "IHCP-species-checked": "guaranteed", "IHCP-species-dilution-info": "", "IHCP-species-notes": "" }, "Rat": { "FlowCyt-species-checked": "guaranteed", "FlowCyt-species-dilution-info": "", "FlowCyt-species-notes": "", "WB-species-checked": "testedAndGuaranteed", "WB-species-dilution-info": "4 µg/mL", "WB-species-notes": "<p></p>", "ICCIF-species-checked": "guaranteed", "ICCIF-species-dilution-info": "", "ICCIF-species-notes": "", "IHCP-species-checked": "guaranteed", "IHCP-species-dilution-info": "", "IHCP-species-notes": "" }, "Cow": { "FlowCyt-species-checked": "guaranteed", "FlowCyt-species-dilution-info": "", "FlowCyt-species-notes": "", "WB-species-checked": "testedAndGuaranteed", "WB-species-dilution-info": "4 µg/mL", "WB-species-notes": "<p></p>", "ICCIF-species-checked": "guaranteed", "ICCIF-species-dilution-info": "", "ICCIF-species-notes": "", "IHCP-species-checked": "guaranteed", "IHCP-species-dilution-info": "", "IHCP-species-notes": "" }, "Recombinant full length protein": { "FlowCyt-species-checked": "notRecommended", "FlowCyt-species-dilution-info": "", "FlowCyt-species-notes": "", "WB-species-checked": "testedAndGuaranteed", "WB-species-dilution-info": "4 µg/mL", "WB-species-notes": "<p></p>", "ICCIF-species-checked": "notRecommended", "ICCIF-species-dilution-info": "", "ICCIF-species-notes": "", "IHCP-species-checked": "notRecommended", "IHCP-species-dilution-info": "", "IHCP-species-notes": "" } } }

Product details

Product Specifications
Anti-Frataxin antibody [17A11] (ab113691) is a mouse monoclonal antibody and is validated for use in Flow Cyt, ICC/IF, IHC-P, WB in cow, human, mouse and rat samples.
Anti-Frataxin antibody [17A11] (ab113691) specifically detects Frataxin (UniProt ID: Q16595; Molecular weight: 19kDa) and is sold in 100 µg and 1 mg selling sizes.

Quality and Validation
Abcam's high quality validation processes ensure Anti-Frataxin antibody [17A11] (ab113691) has high sensitivity and specificity.
Anti-Frataxin antibody [17A11] (ab113691) has been cited over 17 times in peer reviewed journals and is trusted by the scientific community.

Related Products
Antibody clone 17A11 is also available pre-conjugated to a variety of labels for your convenience - Alexa Fluor® 488, HRP (ab197963, ab197964).

Want a custom formulation?
This antibody clone is manufactured by Abcam. If you require a custom buffer formulation or conjugation for your experiments, please contact orders@abcam.com

Properties and storage information

Form
Liquid
Purification notes
The antibody was produced in vitro using hybridomas grown in serum-free medium, and then purified by affinity purification.
Storage buffer
pH: 7.5 Preservative: 0.02% Sodium azide Constituents: HEPES buffered saline
Shipped at conditions
Blue Ice
Appropriate short-term storage conditions
+4°C
Appropriate long-term storage conditions
+4°C

Supplementary information

This supplementary information is collated from multiple sources and compiled automatically.

Frataxin often known by the alternate name FXN is a mitochondrial protein with a mass of approximately 21000 Dalton. It is expressed mainly in tissues with high energy demands like the heart liver and pancreas. Frataxin plays an important role in iron-sulfur cluster assembly which is essential for various cellular processes. The protein is a part of mitochondria where it regulates iron homeostasis and prevents oxidative damage by minimizing iron-induced free radical generation.
Biological function summary

Several cellular processes depend on the correct function of this protein. Frataxin assists in forming iron-sulfur clusters acting within a multiprotein complex in the mitochondria. The complex includes proteins such as ISCU which are involved in the assembly and repair of iron-sulfur clusters. These clusters are necessary for supporting mitochondrial electron transport and other fundamental metabolic pathways that require iron-sulfur dependencies.

Pathways

Frataxin's involvement extensively affects the mitochondrial respiratory chain and the mitochondrial biogenesis process. It plays a role in the electron transport chain by stabilizing iron-sulfur-containing complexes. NAB is one associated protein that interacts closely within these pathways sharing a connection through iron-sulfur cluster transportation and assembly systems. Efficient function of these pathways ensures a proper energetic output of cells.

Frataxin mutations are directly linked to Friedreich's ataxia a neurodegenerative disease causing progressive damage to the nervous system. The deficiency or dysfunction in frataxin causes accumulation of iron in mitochondria leading to increased oxidative stress. Another related disorder includes heart disease which emerges due to the same oxidative stress pathway. Proteins such as Nfs1 are also involved sharing the responsibility with frataxin in scavenging excess iron protecting against related tissue damage.

Product protocols

For this product, it's our understanding that no specific protocols are required. You can visit:

Target data

Frataxin mature form. Functions as an activator of persulfide transfer to the scaffoding protein ISCU as component of the core iron-sulfur cluster (ISC) assembly complex and participates to the [2Fe-2S] cluster assembly (PubMed : 12785837, PubMed : 24971490). Accelerates sulfur transfer from NFS1 persulfide intermediate to ISCU and to small thiols such as L-cysteine and glutathione leading to persulfuration of these thiols and ultimately sulfide release (PubMed : 24971490). Binds ferrous ion and is released from FXN upon the addition of both L-cysteine and reduced FDX2 during [2Fe-2S] cluster assembly (PubMed : 29576242). The core iron-sulfur cluster (ISC) assembly complex is involved in the de novo synthesis of a [2Fe-2S] cluster, the first step of the mitochondrial iron-sulfur protein biogenesis. This process is initiated by the cysteine desulfurase complex (NFS1 : LYRM4 : NDUFAB1) that produces persulfide which is delivered on the scaffold protein ISCU in a FXN-dependent manner. Then this complex is stabilized by FDX2 which provides reducing equivalents to accomplish the [2Fe-2S] cluster assembly. Finally, the [2Fe-2S] cluster is transferred from ISCU to chaperone proteins, including HSCB, HSPA9 and GLRX5 (By similarity). May play a role in the protection against iron-catalyzed oxidative stress through its ability to catalyze the oxidation of Fe(2+) to Fe(3+); the oligomeric form but not the monomeric form has in vitro ferroxidase activity (PubMed : 15641778). May be able to store large amounts of iron in the form of a ferrihydrite mineral by oligomerization; however, the physiological relevance is unsure as reports are conflicting and the function has only been shown using heterologous overexpression systems (PubMed : 11823441, PubMed : 12755598). May function as an iron chaperone protein that protects the aconitase [4Fe-4S]2+ cluster from disassembly and promotes enzyme reactivation (PubMed : 15247478). May play a role as a high affinity iron binding partner for FECH that is capable of both delivering iron to ferrochelatase and mediating the terminal step in mitochondrial heme biosynthesis (PubMed : 15123683, PubMed : 16239244).. Extramitochondrial frataxin. Modulates the RNA-binding activity of ACO1 (PubMed : 20053667). May be involved in the cytoplasmic iron-sulfur protein biogenesis (PubMed : 16091420). May contribute to oxidative stress resistance and overall cell survival (PubMed : 16608849).
See full target information FXN

Publications (20)

Recent publications for all applications. Explore the full list and refine your search

Cell death & disease 16:40 PubMed39863602

2025

Ferroptosis triggers mitochondrial fragmentation via Drp1 activation.

Applications

Unspecified application

Species

Unspecified reactive species

Lohans Pedrera,Laura Prieto Clemente,Alina Dahlhaus,Sara Lotfipour Nasudivar,Sofya Tishina,Daniel Olmo González,Jenny Stroh,Fatma Isil Yapici,Randhwaj Pratap Singh,Nils Grotehans,Thomas Langer,Ana J García-Sáez,Silvia von Karstedt

Journal of molecular and cellular cardiology 192:36-47 PubMed38734062

2024

Ferrostatin-1 specifically targets mitochondrial iron-sulfur clusters and aconitase to improve cardiac function in Sirtuin 3 cardiomyocyte knockout mice.

Applications

Unspecified application

Species

Unspecified reactive species

Aubrey C Cantrell,Jessie Besanson,Quinesha Williams,Ngoc Hoang,Kristin Edwards,G Reid Bishop,Yingjie Chen,Heng Zeng,Jian-Xiong Chen

Analytical chemistry 95:4251-4260 PubMed36800320

2023

Liquid Chromatography-Mass Spectrometry Analysis of Frataxin Proteoforms in Whole Blood as Biomarkers of the Genetic Disease Friedreich's Ataxia.

Applications

Unspecified application

Species

Unspecified reactive species

Teerapat Rojsajjakul,Linfeng Wu,Connor B Grady,Wei-Ting Hwang,Clementina Mesaros,David R Lynch,Ian A Blair

Frontiers in neuroscience 17:930422 PubMed36777637

2023

A new FRDA mouse model [ :YG8s(GAA) > 800] with more than 800 GAA repeats.

Applications

Unspecified application

Species

Unspecified reactive species

Ester Kalef-Ezra,Fred Jonathan Edzeamey,Adamo Valle,Hassan Khonsari,Paula Kleine,Carlo Oggianu,Sahar Al-Mahdawi,Mark A Pook,Sara Anjomani Virmouni

Frontiers in neuroscience 16:874768 PubMed35573317

2022

Simultaneous Quantification of Mitochondrial Mature Frataxin and Extra-Mitochondrial Frataxin Isoform E in Friedreich's Ataxia Blood.

Applications

Unspecified application

Species

Unspecified reactive species

Qingqing Wang,Laurent Laboureur,Liwei Weng,Nicolas M Eskenazi,Lauren A Hauser,Clementina Mesaros,David R Lynch,Ian A Blair

Scientific reports 12:5031 PubMed35322126

2022

DNA methylation in Friedreich ataxia silences expression of frataxin isoform E.

Applications

Unspecified application

Species

Unspecified reactive species

Layne N Rodden,Kaitlyn M Gilliam,Christina Lam,Teerapat Rojsajjakul,Clementina Mesaros,Chiara Dionisi,Mark Pook,Massimo Pandolfo,David R Lynch,Ian A Blair,Sanjay I Bidichandani

Cellular and molecular life sciences : CMLS 79:74 PubMed35038030

2022

Mice harboring the FXN I151F pathological point mutation present decreased frataxin levels, a Friedreich ataxia-like phenotype, and mitochondrial alterations.

Applications

Unspecified application

Species

Unspecified reactive species

Marta Medina-Carbonero,Arabela Sanz-Alcázar,Elena Britti,Fabien Delaspre,Elisa Cabiscol,Joaquim Ros,Jordi Tamarit

Science advances 7: PubMed34039609

2021

Iron-sulfur cluster deficiency can be sensed by IRP2 and regulates iron homeostasis and sensitivity to ferroptosis independent of IRP1 and FBXL5.

Applications

Unspecified application

Species

Unspecified reactive species

Erdem M Terzi,Vladislav O Sviderskiy,Samantha W Alvarez,Gabrielle C Whiten,Richard Possemato

The Journal of biological chemistry 295:17973-17985 PubMed33028632

2020

Inhibition of the SUV4-20 H1 histone methyltransferase increases frataxin expression in Friedreich's ataxia patient cells.

Applications

Unspecified application

Species

Unspecified reactive species

Gabriela Vilema-Enríquez,Robert Quinlan,Peter Kilfeather,Roberta Mazzone,Saba Saqlain,Irene Del Molino Del Barrio,Annalidia Donato,Gabriele Corda,Fengling Li,Masoud Vedadi,Andrea H Németh,Paul E Brennan,Richard Wade-Martins

Scientific reports 10:15788 PubMed32978498

2020

Extra-mitochondrial mouse frataxin and its implications for mouse models of Friedreich's ataxia.

Applications

Unspecified application

Species

Unspecified reactive species

Liwei Weng,Laurent Laboureur,Qingqing Wang,Lili Guo,Peining Xu,Leah Gottlieb,David R Lynch,Clementina Mesaros,Ian A Blair
View all publications

Product promise

We are committed to supporting your work with high-quality reagents, and we're here for you every step of the way. In the unlikely event that one of our products does not perform as expected, you're protected by our Product Promise.
For full details, please see our Terms & Conditions

Please note: All products are 'FOR RESEARCH USE ONLY. NOT FOR USE IN DIAGNOSTIC OR THERAPEUTIC PROCEDURES'.

For licensing inquiries, please contact partnerships@abcam.com