JavaScript is disabled in your browser. Please enable JavaScript to view this website.
AB175402

Anti-Frataxin antibody

0

(1 Review)

|

(18 Publications)

Anti-Frataxin antibody (ab175402) is a rabbit polyclonal antibody detecting Frataxin in Western Blot, IHC-P, ICC/IF. Suitable for Human, Mouse, Rat.

- Over 10 publications

View Alternative Names

FRDA, X25, FXN, Friedreich ataxia protein, Fxn

4 Images
Western blot - Anti-Frataxin antibody (AB175402)
  • WB

Supplier Data

Western blot - Anti-Frataxin antibody (AB175402)

All lanes:

Western blot - Anti-Frataxin antibody (ab175402) at 1/1000 dilution

Lane 1:

Jurkat (human T cell leukemia cell line from peripheral blood) cell lysate at 25 µg

Lane 2:

K562 (human chronic myelogenous leukemia cell line from bone marrow) cell lysate at 25 µg

Lane 3:

Raji (human Burkitt's lymphoma cell line) cell lysate at 25 µg

Lane 4:

DU 145 (human prostate carcinoma cell line) cell lysate at 25 µg

Lane 5:

HL-60 (human promyelocytic leukemia cell line) cell lysate at 25 µg

Lane 6:

Mouse heart lysate at 25 µg

Lane 7:

Mouse liver lysate at 25 µg

Secondary

All lanes:

HRP Goat Anti-Rabbit IgG

Predicted band size: 23 kDa

Observed band size: 14 kDa

false

Immunohistochemistry (Formalin/PFA-fixed paraffin-embedded sections) - Anti-Frataxin antibody (AB175402)
  • IHC-P

Supplier Data

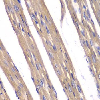
Immunohistochemistry (Formalin/PFA-fixed paraffin-embedded sections) - Anti-Frataxin antibody (AB175402)

Paraffin-embedded rat heart tissue labelling Frataxin using ab175402 at 1/100 dilution in immunohistochemical analysis.

Immunocytochemistry/ Immunofluorescence - Anti-Frataxin antibody (AB175402)
  • ICC/IF

Supplier Data

Immunocytochemistry/ Immunofluorescence - Anti-Frataxin antibody (AB175402)

Immunofluorescence staining of L929 cells stained for Frataxin with ab175402 at 1/100 dilution. DAPI was used as a nuclear counterstain.

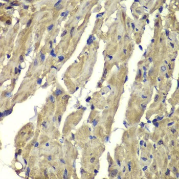
Immunohistochemistry (Formalin/PFA-fixed paraffin-embedded sections) - Anti-Frataxin antibody (AB175402)
  • IHC-P

Supplier Data

Immunohistochemistry (Formalin/PFA-fixed paraffin-embedded sections) - Anti-Frataxin antibody (AB175402)

Paraffin-embedded mouse heart tissue labelling Frataxin using ab175402 at 1/100 dilution in immunohistochemical analysis.

Key facts

Host species

Rabbit

Clonality

Polyclonal

Isotype

IgG

Carrier free

No

Reacts with

Mouse, Rat, Human

Applications

IHC-P, WB, ICC/IF

applications

Immunogen

Recombinant Full Length Protein corresponding to Human FXN.

Q16595

Reactivity data

{ "title": "Reactivity Data", "filters": { "stats": ["", "Species", "Dilution Info", "Notes"], "tabs": { "all-applications": {"fullname" : "All Applications", "shortname": "All Applications"}, "WB" : {"fullname" : "Western blot", "shortname":"WB"}, "IHCP" : {"fullname" : "Immunohistochemistry (Formalin/PFA-fixed paraffin-embedded sections)", "shortname":"IHC-P"}, "ICCIF" : {"fullname" : "Immunocytochemistry/ Immunofluorescence", "shortname":"ICC/IF"} }, "product-promise": { "all": "all", "testedAndGuaranteed": "tested", "guaranteed": "expected", "predicted": "predicted", "notRecommended": "not-recommended" } }, "values": { "Human": { "WB-species-checked": "testedAndGuaranteed", "WB-species-dilution-info": "1/500 - 1/2000", "WB-species-notes": "<p></p>", "IHCP-species-checked": "guaranteed", "IHCP-species-dilution-info": "", "IHCP-species-notes": "", "ICCIF-species-checked": "guaranteed", "ICCIF-species-dilution-info": "", "ICCIF-species-notes": "" }, "Mouse": { "WB-species-checked": "guaranteed", "WB-species-dilution-info": "", "WB-species-notes": "", "IHCP-species-checked": "testedAndGuaranteed", "IHCP-species-dilution-info": "1/50 - 1/200", "IHCP-species-notes": "<p><a href='/en-us/products/primary-antibodies/rabbit-igg-polyclonal-isotype-control-chip-grade-ab171870'>ab171870</a> - Rabbit polyclonal IgG, is suitable for use as an isotype control with this antibody.</p>", "ICCIF-species-checked": "testedAndGuaranteed", "ICCIF-species-dilution-info": "", "ICCIF-species-notes": "<p></p>" }, "Rat": { "WB-species-checked": "guaranteed", "WB-species-dilution-info": "", "WB-species-notes": "", "IHCP-species-checked": "testedAndGuaranteed", "IHCP-species-dilution-info": "1/50 - 1/200", "IHCP-species-notes": "<p><a href='/en-us/products/primary-antibodies/rabbit-igg-polyclonal-isotype-control-chip-grade-ab171870'>ab171870</a> - Rabbit polyclonal IgG, is suitable for use as an isotype control with this antibody.</p>", "ICCIF-species-checked": "guaranteed", "ICCIF-species-dilution-info": "", "ICCIF-species-notes": "" } } }

Product details

What is this antibody validated in?
Anti-Frataxin antibody (ab175402) is a rabbit polyclonal antibody and is validated for use in Western Blot (WB), Immunohistochemistry (IHC-P), Immunocytochemistry/immunofluorescence (ICC/IF) in Human, Mouse, Rat samples.

What is the molecular weight of Frataxin?
Anti-Frataxin (ab175402) specifically detects a band for Frataxin (UniProt: Q16595) at a molecular weight of 23kDa.

Trusted by the scientific community
Anti-Frataxin (ab175402) was first used in a scientific publication in 2013 and has been cited over 10 times in peer-reviewed journals.

Properties and storage information

Form
Liquid
Purification technique
Affinity purification Immunogen
Storage buffer
pH: 7.3 Preservative: 0.05% Proclin 300 Constituents: PBS, 50% Glycerol (glycerin, glycerine)
Shipped at conditions
Blue Ice
Appropriate short-term storage duration
1-2 weeks
Appropriate short-term storage conditions
+4°C
Appropriate long-term storage conditions
-20°C
Aliquoting information
Upon delivery aliquot
Storage information
Avoid freeze / thaw cycle

Supplementary information

This supplementary information is collated from multiple sources and compiled automatically.

Frataxin often known by the alternate name FXN is a mitochondrial protein with a mass of approximately 21000 Dalton. It is expressed mainly in tissues with high energy demands like the heart liver and pancreas. Frataxin plays an important role in iron-sulfur cluster assembly which is essential for various cellular processes. The protein is a part of mitochondria where it regulates iron homeostasis and prevents oxidative damage by minimizing iron-induced free radical generation.
Biological function summary

Several cellular processes depend on the correct function of this protein. Frataxin assists in forming iron-sulfur clusters acting within a multiprotein complex in the mitochondria. The complex includes proteins such as ISCU which are involved in the assembly and repair of iron-sulfur clusters. These clusters are necessary for supporting mitochondrial electron transport and other fundamental metabolic pathways that require iron-sulfur dependencies.

Pathways

Frataxin's involvement extensively affects the mitochondrial respiratory chain and the mitochondrial biogenesis process. It plays a role in the electron transport chain by stabilizing iron-sulfur-containing complexes. NAB is one associated protein that interacts closely within these pathways sharing a connection through iron-sulfur cluster transportation and assembly systems. Efficient function of these pathways ensures a proper energetic output of cells.

Frataxin mutations are directly linked to Friedreich's ataxia a neurodegenerative disease causing progressive damage to the nervous system. The deficiency or dysfunction in frataxin causes accumulation of iron in mitochondria leading to increased oxidative stress. Another related disorder includes heart disease which emerges due to the same oxidative stress pathway. Proteins such as Nfs1 are also involved sharing the responsibility with frataxin in scavenging excess iron protecting against related tissue damage.

Product protocols

For this product, it's our understanding that no specific protocols are required. You can visit:

Target data

Frataxin mature form. Functions as an activator of persulfide transfer to the scaffoding protein ISCU as component of the core iron-sulfur cluster (ISC) assembly complex and participates to the [2Fe-2S] cluster assembly (PubMed : 12785837, PubMed : 24971490). Accelerates sulfur transfer from NFS1 persulfide intermediate to ISCU and to small thiols such as L-cysteine and glutathione leading to persulfuration of these thiols and ultimately sulfide release (PubMed : 24971490). Binds ferrous ion and is released from FXN upon the addition of both L-cysteine and reduced FDX2 during [2Fe-2S] cluster assembly (PubMed : 29576242). The core iron-sulfur cluster (ISC) assembly complex is involved in the de novo synthesis of a [2Fe-2S] cluster, the first step of the mitochondrial iron-sulfur protein biogenesis. This process is initiated by the cysteine desulfurase complex (NFS1 : LYRM4 : NDUFAB1) that produces persulfide which is delivered on the scaffold protein ISCU in a FXN-dependent manner. Then this complex is stabilized by FDX2 which provides reducing equivalents to accomplish the [2Fe-2S] cluster assembly. Finally, the [2Fe-2S] cluster is transferred from ISCU to chaperone proteins, including HSCB, HSPA9 and GLRX5 (By similarity). May play a role in the protection against iron-catalyzed oxidative stress through its ability to catalyze the oxidation of Fe(2+) to Fe(3+); the oligomeric form but not the monomeric form has in vitro ferroxidase activity (PubMed : 15641778). May be able to store large amounts of iron in the form of a ferrihydrite mineral by oligomerization; however, the physiological relevance is unsure as reports are conflicting and the function has only been shown using heterologous overexpression systems (PubMed : 11823441, PubMed : 12755598). May function as an iron chaperone protein that protects the aconitase [4Fe-4S]2+ cluster from disassembly and promotes enzyme reactivation (PubMed : 15247478). May play a role as a high affinity iron binding partner for FECH that is capable of both delivering iron to ferrochelatase and mediating the terminal step in mitochondrial heme biosynthesis (PubMed : 15123683, PubMed : 16239244).. Extramitochondrial frataxin. Modulates the RNA-binding activity of ACO1 (PubMed : 20053667). May be involved in the cytoplasmic iron-sulfur protein biogenesis (PubMed : 16091420). May contribute to oxidative stress resistance and overall cell survival (PubMed : 16608849).
See full target information FXN

Publications (18)

Recent publications for all applications. Explore the full list and refine your search

Cerebellum (London, England) 24:42 PubMed39907933

2025

Functional Characterization of Parallel Fiber-Purkinje Cell Synapses in Two Friedreich's Ataxia Mouse Models.

Applications

Unspecified application

Species

Unspecified reactive species

Donald J Joseph,Elizabeth Mercado-Ayon,Liam Flatley,Angela N Viaene,Juliette Hordeaux,Eric D Marsh,David R Lynch

Genome medicine 16:83 PubMed38886830

2024

Mitoferrin2 is a synthetic lethal target for chromosome 8p deleted cancers.

Applications

Unspecified application

Species

Unspecified reactive species

Stephan Krieg,Thomas Rohde,Tobias Rausch,Luise Butthof,Lena Wendler-Link,Christoph Eckert,Kai Breuhahn,Bruno Galy,Jan Korbel,Maximilian Billmann,Marco Breinig,Darjus F Tschaharganeh

Frontiers in pharmacology 14:1220620 PubMed37576821

2023

PPAR-gamma agonist pioglitazone recovers mitochondrial quality control in fibroblasts from -deficient patients.

Applications

Unspecified application

Species

Unspecified reactive species

Alessia Di Donfrancesco,Christian Berlingieri,Marta Giacomello,Chiara Frascarelli,Ana Paula Magalhaes Rebelo,Laurence A Bindoff,Segel Reeval,Paul Renbaum,Filippo M Santorelli,Giulia Massaro,Carlo Viscomi,Massimo Zeviani,Daniele Ghezzi,Emanuela Bottani,Dario Brunetti

The Journal of biological chemistry 299:105075 PubMed37481209

2023

Lipoylation is dependent on the ferredoxin FDX1 and dispensable under hypoxia in human cells.

Applications

Unspecified application

Species

Unspecified reactive species

Pallavi R Joshi,Shayan Sadre,Xiaoyan A Guo,Jason G McCoy,Vamsi K Mootha

The Journal of biological chemistry 298:101982 PubMed35472330

2022

Posttranslational regulation of mitochondrial frataxin and identification of compounds that increase frataxin levels in Friedreich's ataxia.

Applications

Unspecified application

Species

Unspecified reactive species

Peter T Hackett,Xuan Jia,Liangtao Li,Diane M Ward

Frontiers in neuroscience 16:819569 PubMed35401081

2022

Cerebellar Pathology in an Inducible Mouse Model of Friedreich Ataxia.

Applications

Unspecified application

Species

Unspecified reactive species

Elizabeth Mercado-Ayón,Nathan Warren,Sarah Halawani,Layne N Rodden,Lucie Ngaba,Yi Na Dong,Joshua C Chang,Carlos Fonck,Fulvio Mavilio,David R Lynch,Hong Lin

Cellular and molecular life sciences : CMLS 79:74 PubMed35038030

2022

Mice harboring the FXN I151F pathological point mutation present decreased frataxin levels, a Friedreich ataxia-like phenotype, and mitochondrial alterations.

Applications

Unspecified application

Species

Unspecified reactive species

Marta Medina-Carbonero,Arabela Sanz-Alcázar,Elena Britti,Fabien Delaspre,Elisa Cabiscol,Joaquim Ros,Jordi Tamarit

Free neuropathology 2: PubMed37284625

2021

Friedreich cardiomyopathy is a desminopathy.

Applications

Unspecified application

Species

Unspecified reactive species

Arnulf H Koeppen,Rahman F Rafique,Joseph E Mazurkiewicz,Steven Pelech,Catherine Sutter,Qishan Lin,Jiang Qian

Communications biology 4:138 PubMed33514783

2021

Cardiac-specific loss of mitoNEET expression is linked with age-related heart failure.

Applications

Unspecified application

Species

Unspecified reactive species

Takaaki Furihata,Shingo Takada,Naoya Kakutani,Satoshi Maekawa,Masaya Tsuda,Junichi Matsumoto,Wataru Mizushima,Arata Fukushima,Takashi Yokota,Nobuyuki Enzan,Shouji Matsushima,Haruka Handa,Yoshizuki Fumoto,Junko Nio-Kobayashi,Toshihiko Iwanaga,Shinya Tanaka,Hiroyuki Tsutsui,Hisataka Sabe,Shintaro Kinugawa

Neurobiology of disease 148:105162 PubMed33171227

2020

PPAR gamma agonist leriglitazone improves frataxin-loss impairments in cellular and animal models of Friedreich Ataxia.

Applications

Unspecified application

Species

Unspecified reactive species

Laura Rodríguez-Pascau,Elena Britti,Pablo Calap-Quintana,Yi Na Dong,Cristina Vergara,Fabien Delaspre,Marta Medina-Carbonero,Jordi Tamarit,Federico V Pallardó,Pilar Gonzalez-Cabo,Joaquim Ros,David R Lynch,Marc Martinell,Pilar Pizcueta
View all publications

Product promise

We are committed to supporting your work with high-quality reagents, and we're here for you every step of the way. In the unlikely event that one of our products does not perform as expected, you're protected by our Product Promise.
For full details, please see our Terms & Conditions

Please note: All products are 'FOR RESEARCH USE ONLY. NOT FOR USE IN DIAGNOSTIC OR THERAPEUTIC PROCEDURES'.

For licensing inquiries, please contact partnerships@abcam.com