JavaScript is disabled in your browser. Please enable JavaScript to view this website.
AB219414

Anti-Frataxin antibody [EPR21840]

Be the first to review this product! Submit a review

|

(10 Publications)

Anti-Frataxin antibody [EPR21840] (ab219414) is a rabbit monoclonal antibody detecting Frataxin in Western Blot, Flow Cytometry (Intra), Flow Cytometry, IP, IHC-P, ICC/IF. Suitable for Human, Mouse, Rat.

- Biophysical QC for unrivalled batch-batch consistency

View Alternative Names

FRDA, X25, FXN, Friedreich ataxia protein, Fxn

12 Images
Immunocytochemistry/ Immunofluorescence - Anti-Frataxin antibody [EPR21840] (AB219414)
  • ICC/IF

Unknown

Immunocytochemistry/ Immunofluorescence - Anti-Frataxin antibody [EPR21840] (AB219414)

Immunofluorescent analysis of 4% paraformaldehyde-fixed, 0.1% Triton X-100 permeabilized HCT 116 (human colorectal carcinoma epithelial cell) cells labeling Frataxin with ab219414 at 1/50 dilution, followed by Goat Anti-Rabbit IgG H&L (Alexa Fluor® 488) (ab150077) secondary antibody at 1/1000 dilution (green).

Confocal image showing mitochondrial staining in HCT 116 cell line.

Counterstained with ab33985 Anti-COX IV antibody - Mitochondrial Marker at a 1/1000 dilution followed by Goat Anti-Mouse IgG H&L (Alexa Fluor® 594) (ab150120) (orange). The nuclear counter stain is DAPI (blue).

The negative control is the secondary antibody only.

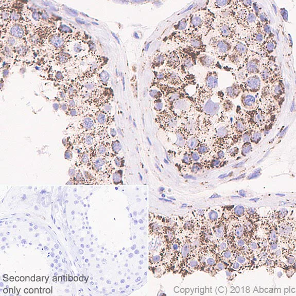
Immunohistochemistry (Formalin/PFA-fixed paraffin-embedded sections) - Anti-Frataxin antibody [EPR21840] (AB219414)
  • IHC-P

Unknown

Immunohistochemistry (Formalin/PFA-fixed paraffin-embedded sections) - Anti-Frataxin antibody [EPR21840] (AB219414)

Immunohistochemical analysis of paraffin-embedded human testis tissue labeling Frataxin with ab219414 at 1/500 dilution, followed by a ready to use Goat Anti-Rabbit IgG H&L (HRP). Granular cytoplasmic staining in human testis (PMID : 18725397; PMID : 26035392) is observed. Counter stained with Hematoxylin.
Secondary antibody only control : Used PBS instead of primary antibody, secondary antibody is a ready to use Goat Anti-Rabbit IgG H&L (HRP).

Perform heat-mediated antigen retrieval using ab93684 (Tris/EDTA buffer pH 9.0).

Flow Cytometry (Intracellular) - Anti-Frataxin antibody [EPR21840] (AB219414)
  • Flow Cyt (Intra)

Unknown

Flow Cytometry (Intracellular) - Anti-Frataxin antibody [EPR21840] (AB219414)

Intracellular flow cytometric analysis of 4% paraformaldehyde-fixed, 90% methanol-permeabilized HCT 116 (human colorectal carcinoma epithelial cell) cell line labeling Frataxin with ab219414 at 1/60 (red) compared with a rabbit monoclonal IgG (ab172730) (black) and an unlabeled control (cells without incubation with primary antibody and secondary antibody) (blue). Goat anti rabbit IgG (Alexa Fluor® 488, ab150077), at 1/2000 dilution was used as the secondary antibody.

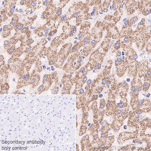
Immunohistochemistry (Formalin/PFA-fixed paraffin-embedded sections) - Anti-Frataxin antibody [EPR21840] (AB219414)
  • IHC-P

Unknown

Immunohistochemistry (Formalin/PFA-fixed paraffin-embedded sections) - Anti-Frataxin antibody [EPR21840] (AB219414)

Immunohistochemical analysis of paraffin-embedded human liver tissue labeling Frataxin with ab219414 at 1/500 dilution, followed by a ready to use Goat Anti-Rabbit IgG H&L (HRP). Granular cytoplasmic staining in human liver (PMID : 18725397; PMID : 26035392) is observed. Counter stained with Hematoxylin.
Secondary antibody only control : Used PBS instead of primary antibody, secondary antibody is a ready to use Goat Anti-Rabbit IgG H&L (HRP).

Perform heat-mediated antigen retrieval using ab93684 (Tris/EDTA buffer pH 9.0).

Immunoprecipitation - Anti-Frataxin antibody [EPR21840] (AB219414)
  • IP

Unknown

Immunoprecipitation - Anti-Frataxin antibody [EPR21840] (AB219414)

Frataxin was immunoprecipitated from 0.35 mg HCT 116 (human colorectal carcinoma epithelial cell) whole cell lysate with ab219414 at 1/30 dilution. Western blot was performed from the immunoprecipitate using ab219414 at 1/500 dilution. VeriBlot for IP Detection Reagent (HRP) (ab131366), was used for detection at 1/1000 dilution.

Lane 1 : HCT 116 whole cell lysate 10 μg (Input).
Lane 2 : ab219414 IP in HCT 116 whole cell lysate (+).
Lane 3 : Rabbit monoclonal IgG (ab172730) instead of ab219414 in HCT 116 whole cell lysate (-).

Blocking/Dilution buffer and concentration : 5% NFDM/TBST.
Exposure time : 5 seconds.

All lanes:

Immunoprecipitation - Anti-Frataxin antibody [EPR21840] (ab219414)

Predicted band size: 13 kDa,23 kDa

Observed band size: 17 kDa

false

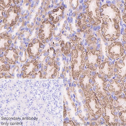
Immunohistochemistry (Formalin/PFA-fixed paraffin-embedded sections) - Anti-Frataxin antibody [EPR21840] (AB219414)
  • IHC-P

Unknown

Immunohistochemistry (Formalin/PFA-fixed paraffin-embedded sections) - Anti-Frataxin antibody [EPR21840] (AB219414)

Immunohistochemical analysis of paraffin-embedded rat kidney tissue labeling Frataxin with ab219414 at 1/500 dilution, followed by a ready to use Goat Anti-Rabbit IgG H&L (HRP). Granular cytoplasmic staining in rat kidney (PMID : 18725397; PMID : 26035392) is observed. Counter stained with Hematoxylin.
Secondary antibody only control : Used PBS instead of primary antibody, secondary antibody is a ready to use Goat Anti-Rabbit IgG H&L (HRP).

Perform heat-mediated antigen retrieval using ab93684 (Tris/EDTA buffer pH 9.0).

Immunocytochemistry/ Immunofluorescence - Anti-Frataxin antibody [EPR21840] (AB219414)
  • ICC/IF

Unknown

Immunocytochemistry/ Immunofluorescence - Anti-Frataxin antibody [EPR21840] (AB219414)

Immunofluorescent analysis of 4% paraformaldehyde-fixed, 0.1% Triton X-100 permeabilized Neuro-2a (mouse neuroblastoma cell line) cells labeling Frataxin with ab219414 at 1/50 dilution, followed by Goat Anti-Rabbit IgG H&L (Alexa Fluor® 488) (ab150077) secondary antibody at 1/1000 dilution (green).

Confocal image showing cytoplasmic staining in the Neuro-2a cell line.

Counterstained with ab195889 Anti-alpha Tubulin antibody [DM1A] - Microtubule Marker (Alexa Fluor® 594) at a 1/200 dilution (red). The nuclear counter stain is DAPI (blue).

The negative control is the secondary antibody only.

Immunohistochemistry (Formalin/PFA-fixed paraffin-embedded sections) - Anti-Frataxin antibody [EPR21840] (AB219414)
  • IHC-P

Unknown

Immunohistochemistry (Formalin/PFA-fixed paraffin-embedded sections) - Anti-Frataxin antibody [EPR21840] (AB219414)

Immunohistochemical analysis of paraffin-embedded mouse kidney tissue labeling Frataxin with ab219414 at 1/500 dilution, followed by a ready to use Goat Anti-Rabbit IgG H&L (HRP). Granular cytoplasmic staining in mouse kidney (PMID : 18725397; PMID : 26035392) is observed. Counter stained with Hematoxylin.
Secondary antibody only control : Used PBS instead of primary antibody, secondary antibody is a ready to use Goat Anti-Rabbit IgG H&L (HRP).

Perform heat-mediated antigen retrieval using ab93684 (Tris/EDTA buffer pH 9.0).

Immunoprecipitation - Anti-Frataxin antibody [EPR21840] (AB219414)
  • IP

Unknown

Immunoprecipitation - Anti-Frataxin antibody [EPR21840] (AB219414)

Frataxin was immunoprecipitated from 0.35 mg Neuro-2a (mouse neuroblastoma cell line) whole cell lysate with ab219414 at 1/30 dilution. Western blot was performed from the immunoprecipitate using ab219414 at 1/500 dilution. VeriBlot for IP Detection Reagent (HRP) (ab131366), was used for detection at 1/1000 dilution.

Lane 1 : Neuro-2a whole cell lysate 10 μg (Input).
Lane 2 : ab219414 IP in Neuro-2a whole cell lysate (+).
Lane 3 : Rabbit monoclonal IgG (ab172730) instead of ab219414 in Neuro-2a whole cell lysate (-).

Blocking/Dilution buffer and concentration : 5% NFDM/TBST.
Exposure time : 30 seconds.

All lanes:

Immunoprecipitation - Anti-Frataxin antibody [EPR21840] (ab219414)

Predicted band size: 23 kDa

Observed band size: 14 kDa

false

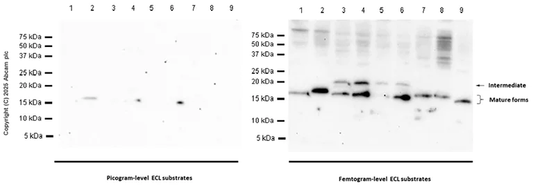
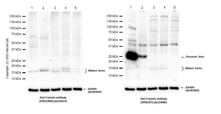
Western blot - Anti-Frataxin antibody [EPR21840] (AB219414)
  • WB

Supplier Data

Western blot - Anti-Frataxin antibody [EPR21840] (AB219414)

Blocking and diluting buffer and concentration : 5% NFDM/TBST.

This blot was developed using a high sensitivity ECL substrate. The high-sensitivity ECL substrate used allows for the detection of proteins in the mid-femtogram range.

ab219414 is not suitable for testing precursor form, we recommend ab124680 as an alternative for precursor form testing.

For different forms of frataxin, you can refer to PMID : 17468497, PMID : 31279523, PMID : 17468497 etc.

ab181602 was used as a loading control.

All lanes:

Western blot - Anti-Frataxin antibody [EPR21840] (ab219414) at 1/1000 dilution

Lane 1:

Human liver tissue lysate at 20 µg

Lane 2:

Human hippocampus tissue at 20 µg

Lane 3:

HCT116 (human colorectal carcinoma epithelial cell) whole cell lysate at 20 µg

Lane 4:

Huh7 (human hepatocellular carcinoma epithelial cell) whole cell lysate at 20 µg

Lane 5:

SH-SY5Y (human neuroblastoma epithelial cell) whole cell lysate at 20 µg

Secondary

All lanes:

Western blot - Goat Anti-Rabbit IgG H&L (HRP) (<a href='/en-us/products/secondary-antibodies/goat-rabbit-igg-h-l-hrp-ab97051'>ab97051</a>) at 1/20000 dilution

Predicted band size: 23 kDa

Observed band size: 14 kDa,17 kDa

true

Exposure time: 60s

Western blot - Anti-Frataxin antibody [EPR21840] (AB219414)
  • WB

Lab

Western blot - Anti-Frataxin antibody [EPR21840] (AB219414)

Blocking and diluting buffer and concentration : 5% NFDM/TBST.

The bands detected by this product are consistent with publications PMID : 18725397 and PMID : 20156111.

We suggest optimizing experimental protocols (increasing lysate amount, using lower dilution or higher sensitivity ECL substrate) to improve results when using ab197896 in western blot.

All lanes:

Western blot - Anti-Frataxin antibody [EPR21840] (ab219414) at 1/1000 dilution

Lane 1:

Human liver tissue lysate at 20 µg

Lane 2:

Mouse liver tissue lysate at 20 µg

Lane 3:

SW480 (human colorectal adenocarcinoma epithelial cell), whole cell lysate at 20 µg

Lane 4:

TF-1 (human Erythroleukemia erythroblast) whole cell lysate at 20 µg

Lane 5:

Huh7 (human hepatocellular carcinoma epithelial cell) whole cell lysate at 20 µg

Lane 6:

HCT116 (human colorectal carcinoma epithelial cell) whole cell lysate at 20 µg

Lane 7:

Neuro-2a (mouse neuroblastoma neuroblast) whole cell lysate at 20 µg

Lane 8:

RAW264.7 (mouse Abelson murine leukemia virus-induced tumor macrophage) whole cell lysate at 20 µg

Lane 9:

PC-12 (rat adrenal gland pheochromocytoma) whole cell lysate at 20 µg

Secondary

All lanes:

Western blot - Goat Anti-Rabbit IgG H&L (HRP) (<a href='/en-us/products/secondary-antibodies/goat-rabbit-igg-h-l-hrp-ab97051'>ab97051</a>) at 1/20000 dilution

Observed band size: 14 kDa,16 kDa,19 kDa

false

Western blot - Anti-Frataxin antibody [EPR21840] (AB219414)
  • WB

Lab

Western blot - Anti-Frataxin antibody [EPR21840] (AB219414)

Blocking and diluting buffer and concentration : 5% NFDM/TBST. ab213204 was used as laoding control.

All lanes:

Western blot - Anti-Frataxin antibody [EPR21840] (ab219414) at 1/1000 dilution

All lanes:

His tagged Human FXN recombinant protein (aa 82-210) at 10 ng

Secondary

All lanes:

Western blot - Goat Anti-Rabbit IgG H&L (HRP) (<a href='/en-us/products/secondary-antibodies/goat-rabbit-igg-h-l-hrp-ab97051'>ab97051</a>) at 1/20000 dilution

Predicted band size: 23 kDa

Observed band size: 16 kDa

false

Exposure time: 3s

Key facts

Host species

Rabbit

Clonality

Monoclonal

Clone number

EPR21840

Isotype

IgG

Carrier free

No

Reacts with

Mouse, Rat, Human

Applications

IHC-P, ICC/IF, Flow Cyt (Intra), WB, IP

applications

Immunogen

The exact immunogen used to generate this antibody is proprietary information.

Specificity

We suggest optimizing experimental protocols (increasing lysate amount, using lower dilution or higher sensitivity ECL substrate) to improve results.

Reactivity data

{ "title": "Reactivity Data", "filters": { "stats": ["", "Species", "Dilution Info", "Notes"], "tabs": { "all-applications": {"fullname" : "All Applications", "shortname": "All Applications"}, "IP" : {"fullname" : "Immunoprecipitation", "shortname":"IP"}, "WB" : {"fullname" : "Western blot", "shortname":"WB"}, "ICCIF" : {"fullname" : "Immunocytochemistry/ Immunofluorescence", "shortname":"ICC/IF"}, "FlowCytIntra" : {"fullname" : "Flow Cytometry (Intracellular)", "shortname":"Flow Cyt (Intra)"}, "IHCP" : {"fullname" : "Immunohistochemistry (Formalin/PFA-fixed paraffin-embedded sections)", "shortname":"IHC-P"} }, "product-promise": { "all": "all", "testedAndGuaranteed": "tested", "guaranteed": "expected", "predicted": "predicted", "notRecommended": "not-recommended" } }, "values": { "Human": { "IP-species-checked": "testedAndGuaranteed", "IP-species-dilution-info": "1/30", "IP-species-notes": "<p></p>", "WB-species-checked": "testedAndGuaranteed", "WB-species-dilution-info": "1/1000", "WB-species-notes": "<p></p>", "ICCIF-species-checked": "testedAndGuaranteed", "ICCIF-species-dilution-info": "1/50", "ICCIF-species-notes": "<p></p>", "FlowCytIntra-species-checked": "testedAndGuaranteed", "FlowCytIntra-species-dilution-info": "1/60", "FlowCytIntra-species-notes": "<p></p>", "IHCP-species-checked": "testedAndGuaranteed", "IHCP-species-dilution-info": "1/500", "IHCP-species-notes": "<p></p> Perform heat-mediated antigen retrieval with Tris/EDTA buffer pH 9.0 before commencing with IHC staining protocol." }, "Mouse": { "IP-species-checked": "testedAndGuaranteed", "IP-species-dilution-info": "1/30", "IP-species-notes": "<p></p>", "WB-species-checked": "testedAndGuaranteed", "WB-species-dilution-info": "1/1000", "WB-species-notes": "<p></p>", "ICCIF-species-checked": "testedAndGuaranteed", "ICCIF-species-dilution-info": "1/50", "ICCIF-species-notes": "<p></p>", "FlowCytIntra-species-checked": "guaranteed", "FlowCytIntra-species-dilution-info": "", "FlowCytIntra-species-notes": "", "IHCP-species-checked": "testedAndGuaranteed", "IHCP-species-dilution-info": "1/500", "IHCP-species-notes": "<p></p> Perform heat-mediated antigen retrieval with Tris/EDTA buffer pH 9.0 before commencing with IHC staining protocol." }, "Rat": { "IP-species-checked": "guaranteed", "IP-species-dilution-info": "", "IP-species-notes": "", "WB-species-checked": "testedAndGuaranteed", "WB-species-dilution-info": "1/1000", "WB-species-notes": "<p></p>", "ICCIF-species-checked": "guaranteed", "ICCIF-species-dilution-info": "", "ICCIF-species-notes": "", "FlowCytIntra-species-checked": "guaranteed", "FlowCytIntra-species-dilution-info": "", "FlowCytIntra-species-notes": "", "IHCP-species-checked": "testedAndGuaranteed", "IHCP-species-dilution-info": "1/500", "IHCP-species-notes": "<p></p> Perform heat-mediated antigen retrieval with Tris/EDTA buffer pH 9.0 before commencing with IHC staining protocol." }, "Recombinant fragment - Human": { "IP-species-checked": "notRecommended", "IP-species-dilution-info": "", "IP-species-notes": "", "WB-species-checked": "testedAndGuaranteed", "WB-species-dilution-info": "", "WB-species-notes": "<p></p>", "ICCIF-species-checked": "notRecommended", "ICCIF-species-dilution-info": "", "ICCIF-species-notes": "", "FlowCytIntra-species-checked": "notRecommended", "FlowCytIntra-species-dilution-info": "", "FlowCytIntra-species-notes": "", "IHCP-species-checked": "notRecommended", "IHCP-species-dilution-info": "", "IHCP-species-notes": "" } } }

Product details

What is this antibody validated in?
Anti-Frataxin antibody [EPR21840] (ab219414) is a rabbit recombinant monoclonal antibody and is validated for use in Western Blot (WB), Flow Cytometry (Intra), Flow Cytometry (Flow Cyt), Immunoprecipitation (IP), Immunohistochemistry (IHC-P), Immunocytochemistry/immunofluorescence (ICC/IF) in Human, Mouse, Rat samples.

What is the molecular weight of Frataxin?
Anti-Frataxin [EPR21840] (ab219414) specifically detects a band for Frataxin (UniProt: Q16595) at a molecular weight of 23kDa.

Trial sizes available!
Test your antibody or perform pre-screening before committing to a larger quantity. Sold in 10µl. Discover our selection of trial-size antibodies.

Other related products
We have a range of other formats of antibody clone [EPR21840] also available for your convenience: ab219414, Carrier free - ab236463, Alexa Fluor® 594 - ab303577, Alexa Fluor® 647 - ab303580, Alexa Fluor® 568 - ab312899, Alexa Fluor® 555 - ab314297

Patented technology
Our RabMAb® technology is a patented hybridoma-based technology for making rabbit monoclonal antibodies. For details on our patents, please refer to RabMAb® patents.

What are the advantages of a recombinant monoclonal antibody?
This product is a recombinant monoclonal antibody, which offers several advantages including:

  • - High batch-to-batch consistency and reproducibility
  • - Improved sensitivity and specificity
  • - Long-term security of supply
  • - Animal-free batch production

For more information, read more on recombinant antibodies.

Properties and storage information

Form
Liquid
Purification technique
Affinity purification Protein A
Storage buffer
pH: 7.2 - 7.4 Preservative: 0.01% Sodium azide Constituents: PBS, 40% Glycerol (glycerin, glycerine), 0.05% BSA
Shipped at conditions
Blue Ice
Appropriate short-term storage duration
1-2 weeks
Appropriate short-term storage conditions
+4°C
Appropriate long-term storage conditions
-20°C
Aliquoting information
Upon delivery aliquot
Storage information
Avoid freeze / thaw cycle

Supplementary information

This supplementary information is collated from multiple sources and compiled automatically.

Frataxin often known by the alternate name FXN is a mitochondrial protein with a mass of approximately 21000 Dalton. It is expressed mainly in tissues with high energy demands like the heart liver and pancreas. Frataxin plays an important role in iron-sulfur cluster assembly which is essential for various cellular processes. The protein is a part of mitochondria where it regulates iron homeostasis and prevents oxidative damage by minimizing iron-induced free radical generation.
Biological function summary

Several cellular processes depend on the correct function of this protein. Frataxin assists in forming iron-sulfur clusters acting within a multiprotein complex in the mitochondria. The complex includes proteins such as ISCU which are involved in the assembly and repair of iron-sulfur clusters. These clusters are necessary for supporting mitochondrial electron transport and other fundamental metabolic pathways that require iron-sulfur dependencies.

Pathways

Frataxin's involvement extensively affects the mitochondrial respiratory chain and the mitochondrial biogenesis process. It plays a role in the electron transport chain by stabilizing iron-sulfur-containing complexes. NAB is one associated protein that interacts closely within these pathways sharing a connection through iron-sulfur cluster transportation and assembly systems. Efficient function of these pathways ensures a proper energetic output of cells.

Frataxin mutations are directly linked to Friedreich's ataxia a neurodegenerative disease causing progressive damage to the nervous system. The deficiency or dysfunction in frataxin causes accumulation of iron in mitochondria leading to increased oxidative stress. Another related disorder includes heart disease which emerges due to the same oxidative stress pathway. Proteins such as Nfs1 are also involved sharing the responsibility with frataxin in scavenging excess iron protecting against related tissue damage.

Product protocols

For this product, it's our understanding that no specific protocols are required. You can visit:

Target data

Frataxin mature form. Functions as an activator of persulfide transfer to the scaffoding protein ISCU as component of the core iron-sulfur cluster (ISC) assembly complex and participates to the [2Fe-2S] cluster assembly (PubMed : 12785837, PubMed : 24971490). Accelerates sulfur transfer from NFS1 persulfide intermediate to ISCU and to small thiols such as L-cysteine and glutathione leading to persulfuration of these thiols and ultimately sulfide release (PubMed : 24971490). Binds ferrous ion and is released from FXN upon the addition of both L-cysteine and reduced FDX2 during [2Fe-2S] cluster assembly (PubMed : 29576242). The core iron-sulfur cluster (ISC) assembly complex is involved in the de novo synthesis of a [2Fe-2S] cluster, the first step of the mitochondrial iron-sulfur protein biogenesis. This process is initiated by the cysteine desulfurase complex (NFS1 : LYRM4 : NDUFAB1) that produces persulfide which is delivered on the scaffold protein ISCU in a FXN-dependent manner. Then this complex is stabilized by FDX2 which provides reducing equivalents to accomplish the [2Fe-2S] cluster assembly. Finally, the [2Fe-2S] cluster is transferred from ISCU to chaperone proteins, including HSCB, HSPA9 and GLRX5 (By similarity). May play a role in the protection against iron-catalyzed oxidative stress through its ability to catalyze the oxidation of Fe(2+) to Fe(3+); the oligomeric form but not the monomeric form has in vitro ferroxidase activity (PubMed : 15641778). May be able to store large amounts of iron in the form of a ferrihydrite mineral by oligomerization; however, the physiological relevance is unsure as reports are conflicting and the function has only been shown using heterologous overexpression systems (PubMed : 11823441, PubMed : 12755598). May function as an iron chaperone protein that protects the aconitase [4Fe-4S]2+ cluster from disassembly and promotes enzyme reactivation (PubMed : 15247478). May play a role as a high affinity iron binding partner for FECH that is capable of both delivering iron to ferrochelatase and mediating the terminal step in mitochondrial heme biosynthesis (PubMed : 15123683, PubMed : 16239244).. Extramitochondrial frataxin. Modulates the RNA-binding activity of ACO1 (PubMed : 20053667). May be involved in the cytoplasmic iron-sulfur protein biogenesis (PubMed : 16091420). May contribute to oxidative stress resistance and overall cell survival (PubMed : 16608849).
See full target information FXN

Publications (10)

Recent publications for all applications. Explore the full list and refine your search

Drug design, development and therapy 19:6269-6282 PubMed40727923

2025

Integrative Network Pharmacology and Transcriptomics Reveal the Mechanism of Gui-Qi-Yi-Shen Granules in the Treatment of IgA Nephropathy.

Applications

Unspecified application

Species

Unspecified reactive species

Jia-Wei Cao,Yue-Wen Tang,Meng-Ya Jiang,Meng-Dan Lu,Ru-Chun Yang,Dong-Rong Yu,Feng Wan

The AAPS journal 27:68 PubMed40140196

2025

Nomlabofusp, a Fusion Protein of Human Frataxin and a Cell Penetrant Peptide, Delivers Mature and Functional Frataxin into Mitochondria.

Applications

Unspecified application

Species

Unspecified reactive species

Matthew G Baile,John Jones,Natasha Sahr,Gopi Shankar

Antioxidants (Basel, Switzerland) 14: PubMed40002401

2025

Polydatin and Nicotinamide Prevent Iron Accumulation and Lipid Peroxidation in Cellular Models of Mitochondrial Diseases.

Applications

Unspecified application

Species

Unspecified reactive species

Paula Cilleros-Holgado,David Gómez-Fernández,Rocío Piñero-Pérez,José Manuel Romero-Domínguez,Diana Reche-López,Mónica Álvarez-Córdoba,Ana Romero-González,Alejandra López-Cabrera,Marta Castro De Oliveira,Andrés Rodríguez-Sacristán,Susana González-Granero,José Manuel García-Verdugo,José Antonio Sánchez-Alcázar

Movement disorders : official journal of the Movement Disorder Society 39:1099-1108 PubMed38696306

2024

Calcitriol Treatment Is Safe and Increases Frataxin Levels in Friedreich Ataxia Patients.

Applications

Unspecified application

Species

Unspecified reactive species

Berta Alemany-Perna,Jordi Tamarit,Elisa Cabiscol,Fabien Delaspre,Albert Miguela,Joana Maria Huertas-Pons,Ana Quiroga-Varela,Miguel Merchan Ruiz,Daniel López Domínguez,Lluís Ramió I Torrentà,David Genís,Joaquim Ros

Scientific reports 14:8391 PubMed38600238

2024

Expression and processing of mature human frataxin after gene therapy in mice.

Applications

Unspecified application

Species

Unspecified reactive species

Teerapat Rojsajjakul,Nithya Selvan,Bishnu De,Jonathan B Rosenberg,Stephen M Kaminsky,Dolan Sondhi,Peter Janki,Ronald G Crystal,Clementina Mesaros,Richie Khanna,Ian A Blair

Molecular therapy. Methods & clinical development 32:101193 PubMed38352270

2024

AAV8 gene therapy reverses cardiac pathology and prevents early mortality in a mouse model of Friedreich's ataxia.

Applications

Unspecified application

Species

Unspecified reactive species

Joshua C Chang,Molly R Ryan,Marie C Stark,Su Liu,Pravinkumar Purushothaman,Fria Bolan,Caitlin A Johnson,Mark Champe,Hui Meng,Michael W Lawlor,Sarah Halawani,Lucie V Ngaba,David R Lynch,Crystal Davis,Elena Gonzalo-Gil,Cathleen Lutz,Fabrizia Urbinati,Bala Medicherla,Carlos Fonck

Cellular and molecular life sciences : CMLS 81:12 PubMed38129330

2023

Mitochondrial impairment, decreased sirtuin activity and protein acetylation in dorsal root ganglia in Friedreich Ataxia models.

Applications

Unspecified application

Species

Unspecified reactive species

Arabela Sanz-Alcázar,Elena Britti,Fabien Delaspre,Marta Medina-Carbonero,Maria Pazos-Gil,Jordi Tamarit,Joaquim Ros,Elisa Cabiscol

Cellular and molecular life sciences : CMLS 79:74 PubMed35038030

2022

Mice harboring the FXN I151F pathological point mutation present decreased frataxin levels, a Friedreich ataxia-like phenotype, and mitochondrial alterations.

Applications

Unspecified application

Species

Unspecified reactive species

Marta Medina-Carbonero,Arabela Sanz-Alcázar,Elena Britti,Fabien Delaspre,Elisa Cabiscol,Joaquim Ros,Jordi Tamarit

Neurobiology of disease 148:105162 PubMed33171227

2020

PPAR gamma agonist leriglitazone improves frataxin-loss impairments in cellular and animal models of Friedreich Ataxia.

Applications

Unspecified application

Species

Unspecified reactive species

Laura Rodríguez-Pascau,Elena Britti,Pablo Calap-Quintana,Yi Na Dong,Cristina Vergara,Fabien Delaspre,Marta Medina-Carbonero,Jordi Tamarit,Federico V Pallardó,Pilar Gonzalez-Cabo,Joaquim Ros,David R Lynch,Marc Martinell,Pilar Pizcueta

Redox biology 32:101483 PubMed32169822

2020

Identification of Frataxin as a regulator of ferroptosis.

Applications

Unspecified application

Species

Unspecified reactive species

Jing Du,Yi Zhou,Yanchun Li,Jun Xia,Yongjian Chen,Sufeng Chen,Xin Wang,Weidong Sun,Tongtong Wang,Xueying Ren,Xu Wang,Yihan An,Kang Lu,Wanye Hu,Siyuan Huang,Jianghui Li,Xiangmin Tong,Ying Wang
View all publications

Product promise

We are committed to supporting your work with high-quality reagents, and we're here for you every step of the way. In the unlikely event that one of our products does not perform as expected, you're protected by our Product Promise.
For full details, please see our Terms & Conditions

Please note: All products are 'FOR RESEARCH USE ONLY. NOT FOR USE IN DIAGNOSTIC OR THERAPEUTIC PROCEDURES'.

For licensing inquiries, please contact partnerships@abcam.com