JavaScript is disabled in your browser. Please enable JavaScript to view this website.
AB236463

Anti-Frataxin antibody [EPR21840] - BSA and Azide free

Be the first to review this product! Submit a review

|

(1 Publication)

Rabbit Recombinant Monoclonal Frataxin antibody. Carrier free. Suitable for IP, WB, ICC/IF, Flow Cyt (Intra), IHC-P and reacts with Mouse, Human, Recombinant fragment - Human, Rat samples. Cited in 1 publication.

View Alternative Names

FRDA, X25, FXN, Friedreich ataxia protein, Fxn

12 Images
Immunocytochemistry/ Immunofluorescence - Anti-Frataxin antibody [EPR21840] - BSA and Azide free (AB236463)
  • ICC/IF

Unknown

Immunocytochemistry/ Immunofluorescence - Anti-Frataxin antibody [EPR21840] - BSA and Azide free (AB236463)

Immunofluorescent analysis of 4% paraformaldehyde-fixed, 0.1% Triton X-100 permeabilized HCT 116 (human colorectal carcinoma epithelial cell) cells labeling Frataxin with ab219414 at 1/50 dilution, followed by Goat Anti-Rabbit IgG H&L (Alexa Fluor® 488) (ab150077) secondary antibody at 1/1000 dilution (green).

Confocal image showing mitochondrial staining in HCT 116 cell line.

Counterstained with ab33985 Anti-COX IV antibody - Mitochondrial Marker at a 1/1000 dilution followed by Goat Anti-Mouse IgG H&L (Alexa Fluor® 594) (ab150120) (orange). The nuclear counter stain is DAPI (blue).

The negative control is the secondary antibody only.

This data was developed using the same antibody clone in a different buffer formulation containing PBS, BSA, glycerol, and sodium azide (ab219414).

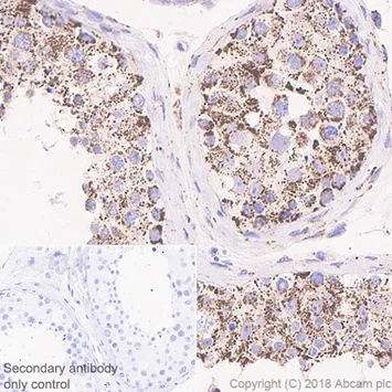
Immunohistochemistry (Formalin/PFA-fixed paraffin-embedded sections) - Anti-Frataxin antibody [EPR21840] - BSA and Azide free (AB236463)
  • IHC-P

Supplier Data

Immunohistochemistry (Formalin/PFA-fixed paraffin-embedded sections) - Anti-Frataxin antibody [EPR21840] - BSA and Azide free (AB236463)

Immunohistochemical analysis of paraffin-embedded human testis tissue labeling Frataxin with ab219414 at 1/500 dilution, followed by a ready to use Goat Anti-Rabbit IgG H&L (HRP). Granular cytoplasmic staining in human testis (PMID : 18725397; PMID : 26035392) is observed. Counter stained with Hematoxylin.
Secondary antibody only control : Used PBS instead of primary antibody, secondary antibody is a ready to use Goat Anti-Rabbit IgG H&L (HRP).

Perform heat-mediated antigen retrieval using ab93684 (Tris/EDTA buffer pH 9.0).

This data was developed using the same antibody clone in a different buffer formulation containing PBS, BSA, glycerol, and sodium azide (ab219414).

Flow Cytometry (Intracellular) - Anti-Frataxin antibody [EPR21840] - BSA and Azide free (AB236463)
  • Flow Cyt (Intra)

Unknown

Flow Cytometry (Intracellular) - Anti-Frataxin antibody [EPR21840] - BSA and Azide free (AB236463)

Intracellular flow cytometric analysis of 4% paraformaldehyde-fixed, 90% methanol-permeabilized HCT 116 (human colorectal carcinoma epithelial cell) cell line labeling Frataxin with ab219414 at 1/60 (red) compared with a rabbit monoclonal IgG (ab172730) (black) and an unlabeled control (cells without incubation with primary antibody and secondary antibody) (blue). Goat anti rabbit IgG (Alexa Fluor® 488, ab150077), at 1/2000 dilution was used as the secondary antibody.

This data was developed using the same antibody clone in a different buffer formulation containing PBS, BSA, glycerol, and sodium azide (ab219414).

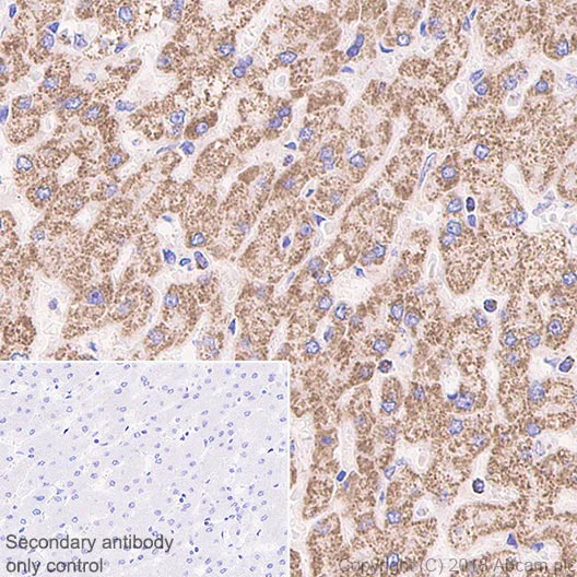
Immunohistochemistry (Formalin/PFA-fixed paraffin-embedded sections) - Anti-Frataxin antibody [EPR21840] - BSA and Azide free (AB236463)
  • IHC-P

Unknown

Immunohistochemistry (Formalin/PFA-fixed paraffin-embedded sections) - Anti-Frataxin antibody [EPR21840] - BSA and Azide free (AB236463)

Immunohistochemical analysis of paraffin-embedded human liver tissue labeling Frataxin with ab219414 at 1/500 dilution, followed by a ready to use Goat Anti-Rabbit IgG H&L (HRP). Granular cytoplasmic staining in human liver (PMID : 18725397; PMID : 26035392) is observed. Counter stained with Hematoxylin.
Secondary antibody only control : Used PBS instead of primary antibody, secondary antibody is a ready to use Goat Anti-Rabbit IgG H&L (HRP).

Perform heat-mediated antigen retrieval using ab93684 (Tris/EDTA buffer pH 9.0).

This data was developed using the same antibody clone in a different buffer formulation containing PBS, BSA, glycerol, and sodium azide (ab219414).

Immunoprecipitation - Anti-Frataxin antibody [EPR21840] - BSA and Azide free (AB236463)
  • IP

Unknown

Immunoprecipitation - Anti-Frataxin antibody [EPR21840] - BSA and Azide free (AB236463)

Frataxin was immunoprecipitated from 0.35 mg HCT 116 (human colorectal carcinoma epithelial cell) whole cell lysate with ab219414 at 1/30 dilution. Western blot was performed from the immunoprecipitate using ab219414 at 1/500 dilution. VeriBlot for IP Detection Reagent (HRP) (ab131366), was used for detection at 1/1000 dilution.

Lane 1 : HCT 116 whole cell lysate 10 μg (Input).
Lane 2 : ab219414 IP in HCT 116 whole cell lysate (+).
Lane 3 : Rabbit monoclonal IgG (ab172730) instead of ab219414 in HCT 116 whole cell lysate (-).

Blocking/Dilution buffer and concentration : 5% NFDM/TBST.
Exposure time : 5 seconds.

This data was developed using the same antibody clone in a different buffer formulation containing PBS, BSA, glycerol, and sodium azide (ab219414).

All lanes:

Immunoprecipitation - Anti-Frataxin antibody [EPR21840] (<a href='/en-us/products/primary-antibodies/frataxin-antibody-epr21840-ab219414'>ab219414</a>)

Predicted band size: 13 kDa,23 kDa

Observed band size: 17 kDa

false

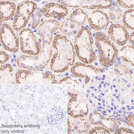
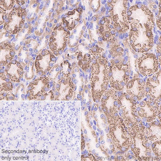
Immunohistochemistry (Formalin/PFA-fixed paraffin-embedded sections) - Anti-Frataxin antibody [EPR21840] - BSA and Azide free (AB236463)
  • IHC-P

Unknown

Immunohistochemistry (Formalin/PFA-fixed paraffin-embedded sections) - Anti-Frataxin antibody [EPR21840] - BSA and Azide free (AB236463)

Immunohistochemical analysis of paraffin-embedded rat kidney tissue labeling Frataxin with ab219414 at 1/500 dilution, followed by a ready to use Goat Anti-Rabbit IgG H&L (HRP). Granular cytoplasmic staining in rat kidney (PMID : 18725397; PMID : 26035392) is observed. Counter stained with Hematoxylin.
Secondary antibody only control : Used PBS instead of primary antibody, secondary antibody is a ready to use Goat Anti-Rabbit IgG H&L (HRP).

Perform heat-mediated antigen retrieval using ab93684 (Tris/EDTA buffer pH 9.0).

This data was developed using the same antibody clone in a different buffer formulation containing PBS, BSA, glycerol, and sodium azide (ab219414).

Immunocytochemistry/ Immunofluorescence - Anti-Frataxin antibody [EPR21840] - BSA and Azide free (AB236463)
  • ICC/IF

Unknown

Immunocytochemistry/ Immunofluorescence - Anti-Frataxin antibody [EPR21840] - BSA and Azide free (AB236463)

Immunofluorescent analysis of 4% paraformaldehyde-fixed, 0.1% Triton X-100 permeabilized Neuro-2a (mouse neuroblastoma cell line) cells labeling Frataxin with ab219414 at 1/50 dilution, followed by Goat Anti-Rabbit IgG H&L (Alexa Fluor® 488) (ab150077) secondary antibody at 1/1000 dilution (green).

Confocal image showing cytoplasmic staining in the Neuro-2a cell line.

Counterstained with ab195889 Anti-alpha Tubulin antibody [DM1A] - Microtubule Marker (Alexa Fluor® 594) at a 1/200 dilution (red). The nuclear counter stain is DAPI (blue).

The negative control is the secondary antibody only.

This data was developed using the same antibody clone in a different buffer formulation containing PBS, BSA, glycerol, and sodium azide (ab219414).

Immunohistochemistry (Formalin/PFA-fixed paraffin-embedded sections) - Anti-Frataxin antibody [EPR21840] - BSA and Azide free (AB236463)
  • IHC-P

Unknown

Immunohistochemistry (Formalin/PFA-fixed paraffin-embedded sections) - Anti-Frataxin antibody [EPR21840] - BSA and Azide free (AB236463)

Immunohistochemical analysis of paraffin-embedded mouse kidney tissue labeling Frataxin with ab219414 at 1/500 dilution, followed by a ready to use Goat Anti-Rabbit IgG H&L (HRP). Granular cytoplasmic staining in mouse kidney (PMID : 18725397; PMID : 26035392) is observed. Counter stained with Hematoxylin.
Secondary antibody only control : Used PBS instead of primary antibody, secondary antibody is a ready to use Goat Anti-Rabbit IgG H&L (HRP).

Perform heat-mediated antigen retrieval using ab93684 (Tris/EDTA buffer pH 9.0).

This data was developed using the same antibody clone in a different buffer formulation containing PBS, BSA, glycerol, and sodium azide (ab219414).

Immunoprecipitation - Anti-Frataxin antibody [EPR21840] - BSA and Azide free (AB236463)
  • IP

Unknown

Immunoprecipitation - Anti-Frataxin antibody [EPR21840] - BSA and Azide free (AB236463)

Frataxin was immunoprecipitated from 0.35 mg Neuro-2a (mouse neuroblastoma cell line) whole cell lysate with ab219414 at 1/30 dilution. Western blot was performed from the immunoprecipitate using ab219414 at 1/500 dilution. VeriBlot for IP Detection Reagent (HRP) (ab131366), was used for detection at 1/1000 dilution.

Lane 1 : Neuro-2a whole cell lysate 10 μg (Input).
Lane 2 : ab219414 IP in Neuro-2a whole cell lysate (+).
Lane 3 : Rabbit monoclonal IgG (ab172730) instead of ab219414 in Neuro-2a whole cell lysate (-).

Blocking/Dilution buffer and concentration : 5% NFDM/TBST.
Exposure time : 30 seconds.

This data was developed using the same antibody clone in a different buffer formulation containing PBS, BSA, glycerol, and sodium azide (ab219414).

All lanes:

Immunoprecipitation - Anti-Frataxin antibody [EPR21840] (<a href='/en-us/products/primary-antibodies/frataxin-antibody-epr21840-ab219414'>ab219414</a>)

Predicted band size: 23 kDa

Observed band size: 14 kDa

false

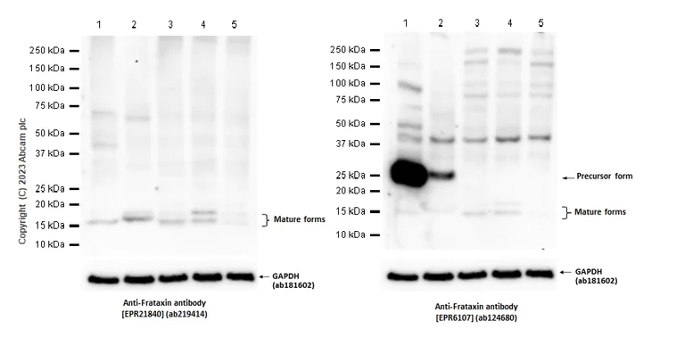
Western blot - Anti-Frataxin antibody [EPR21840] - BSA and Azide free (AB236463)
  • WB

Supplier Data

Western blot - Anti-Frataxin antibody [EPR21840] - BSA and Azide free (AB236463)

This data was developed using the same antibody clone in a different buffer formulation containing PBS, BSA, glycerol, and sodium azide (ab219414).

Blocking and diluting buffer and concentration : 5% NFDM/TBST.

This blot was developed using a high sensitivity ECL substrate. The high-sensitivity ECL substrate used allows for the detection of proteins in the mid-femtogram range.

ab219414 is not suitable for testing precursor form, we recommend ab124680 as an alternative for precursor form testing.

For different forms of frataxin, you can refer to PMID : 17468497, PMID : 31279523, PMID : 17468497 etc.

ab181602 was used as a loading control.

All lanes:

Western blot - Anti-Frataxin antibody [EPR21840] (<a href='/en-us/products/primary-antibodies/frataxin-antibody-epr21840-ab219414'>ab219414</a>) at 1/1000 dilution

Lane 1:

Human liver tissue lysate at 20 µg

Lane 2:

Human hippocampus tissue at 20 µg

Lane 3:

HCT116 (human colorectal carcinoma epithelial cell) whole cell lysate at 20 µg

Lane 4:

Huh7 (human hepatocellular carcinoma epithelial cell) whole cell lysate at 20 µg

Lane 5:

SH-SY5Y (human neuroblastoma epithelial cell) whole cell lysate at 20 µg

Secondary

All lanes:

Western blot - Goat Anti-Rabbit IgG H&L (HRP) (<a href='/en-us/products/secondary-antibodies/goat-rabbit-igg-h-l-hrp-ab97051'>ab97051</a>) at 1/20000 dilution

Predicted band size: 23 kDa

Observed band size: 14 kDa,17 kDa

true

Exposure time: 60s

Western blot - Anti-Frataxin antibody [EPR21840] - BSA and Azide free (AB236463)
  • WB

Lab

Western blot - Anti-Frataxin antibody [EPR21840] - BSA and Azide free (AB236463)

This data was developed using ab219414, the same antibody clone in a different buffer formulation.

Blocking and diluting buffer and concentration : 5% NFDM/TBST.

The bands detected by this product are consistent with publications PMID : 18725397 and PMID : 20156111.

We suggest optimizing experimental protocols (increasing lysate amount, using lower dilution or higher sensitivity ECL substrate) to improve results when using ab197896 in western blot.

All lanes:

Western blot - Anti-Frataxin antibody [EPR21840] (<a href='/en-us/products/primary-antibodies/frataxin-antibody-epr21840-ab219414'>ab219414</a>) at 1/1000 dilution

Lane 1:

Human liver tissue lysate at 20 µg

Lane 2:

Mouse liver tissue lysate at 20 µg

Lane 3:

SW480 (human colorectal adenocarcinoma epithelial cell), whole cell lysate at 20 µg

Lane 4:

TF-1 (human Erythroleukemia erythroblast) whole cell lysate at 20 µg

Lane 5:

Huh7 (human hepatocellular carcinoma epithelial cell) whole cell lysate at 20 µg

Lane 6:

HCT116 (human colorectal carcinoma epithelial cell) whole cell lysate at 20 µg

Lane 7:

Neuro-2a (mouse neuroblastoma neuroblast) whole cell lysate at 20 µg

Lane 8:

RAW264.7 (mouse Abelson murine leukemia virus-induced tumor macrophage) whole cell lysate at 20 µg

Lane 9:

PC-12 (rat adrenal gland pheochromocytoma) whole cell lysate at 20 µg

Secondary

All lanes:

Western blot - Goat Anti-Rabbit IgG H&L (HRP) (<a href='/en-us/products/secondary-antibodies/goat-rabbit-igg-h-l-hrp-ab97051'>ab97051</a>) at 1/20000 dilution

Observed band size: 14 kDa,16 kDa,19 kDa

false

Western blot - Anti-Frataxin antibody [EPR21840] - BSA and Azide free (AB236463)
  • WB

Lab

Western blot - Anti-Frataxin antibody [EPR21840] - BSA and Azide free (AB236463)

This data was developed using the same antibody clone in a different buffer formulation containing PBS, BSA, glycerol, and sodium azide (ab219414). Blocking and diluting buffer and concentration : 5% NFDM/TBST. ab213204 was used as laoding control.

All lanes:

Western blot - Anti-Frataxin antibody [EPR21840] (<a href='/en-us/products/primary-antibodies/frataxin-antibody-epr21840-ab219414'>ab219414</a>) at 1/1000 dilution

All lanes:

His tagged Human FXN recombinant protein (aa 82-210) at 10 ng

Secondary

All lanes:

Western blot - Goat Anti-Rabbit IgG H&L (HRP) (<a href='/en-us/products/secondary-antibodies/goat-rabbit-igg-h-l-hrp-ab97051'>ab97051</a>) at 1/20000 dilution

Predicted band size: 23 kDa

Observed band size: 16 kDa

false

Exposure time: 3s

Key facts

Host species

Rabbit

Clonality

Monoclonal

Clone number

EPR21840

Isotype

IgG

Carrier free

Yes

Reacts with

Mouse, Rat, Human

Applications

WB, IP, Flow Cyt (Intra), IHC-P, ICC/IF

applications

Immunogen

The exact immunogen used to generate this antibody is proprietary information.

Specificity

We suggest optimizing experimental protocols (increasing lysate amount, using lower dilution or higher sensitivity ECL substrate) to improve results.

Reactivity data

{ "title": "Reactivity Data", "filters": { "stats": ["", "Species", "Dilution Info", "Notes"], "tabs": { "all-applications": {"fullname" : "All Applications", "shortname": "All Applications"}, "IP" : {"fullname" : "Immunoprecipitation", "shortname":"IP"}, "WB" : {"fullname" : "Western blot", "shortname":"WB"}, "ICCIF" : {"fullname" : "Immunocytochemistry/ Immunofluorescence", "shortname":"ICC/IF"}, "FlowCytIntra" : {"fullname" : "Flow Cytometry (Intracellular)", "shortname":"Flow Cyt (Intra)"}, "IHCP" : {"fullname" : "Immunohistochemistry (Formalin/PFA-fixed paraffin-embedded sections)", "shortname":"IHC-P"} }, "product-promise": { "all": "all", "testedAndGuaranteed": "tested", "guaranteed": "expected", "predicted": "predicted", "notRecommended": "not-recommended" } }, "values": { "Human": { "IP-species-checked": "guaranteed", "IP-species-dilution-info": "", "IP-species-notes": "", "WB-species-checked": "guaranteed", "WB-species-dilution-info": "", "WB-species-notes": "<p></p>", "ICCIF-species-checked": "testedAndGuaranteed", "ICCIF-species-dilution-info": "", "ICCIF-species-notes": "<p></p>", "FlowCytIntra-species-checked": "testedAndGuaranteed", "FlowCytIntra-species-dilution-info": "", "FlowCytIntra-species-notes": "<p></p>", "IHCP-species-checked": "testedAndGuaranteed", "IHCP-species-dilution-info": "", "IHCP-species-notes": "<p></p>" }, "Mouse": { "IP-species-checked": "testedAndGuaranteed", "IP-species-dilution-info": "", "IP-species-notes": "<p></p>", "WB-species-checked": "guaranteed", "WB-species-dilution-info": "", "WB-species-notes": "<p></p>", "ICCIF-species-checked": "guaranteed", "ICCIF-species-dilution-info": "", "ICCIF-species-notes": "", "FlowCytIntra-species-checked": "guaranteed", "FlowCytIntra-species-dilution-info": "", "FlowCytIntra-species-notes": "", "IHCP-species-checked": "guaranteed", "IHCP-species-dilution-info": "", "IHCP-species-notes": "" }, "Rat": { "IP-species-checked": "predicted", "IP-species-dilution-info": "", "IP-species-notes": "", "WB-species-checked": "guaranteed", "WB-species-dilution-info": "", "WB-species-notes": "<p></p>", "ICCIF-species-checked": "predicted", "ICCIF-species-dilution-info": "", "ICCIF-species-notes": "", "FlowCytIntra-species-checked": "predicted", "FlowCytIntra-species-dilution-info": "", "FlowCytIntra-species-notes": "", "IHCP-species-checked": "predicted", "IHCP-species-dilution-info": "", "IHCP-species-notes": "" }, "Recombinant fragment - Human": { "IP-species-checked": "notRecommended", "IP-species-dilution-info": "", "IP-species-notes": "", "WB-species-checked": "testedAndGuaranteed", "WB-species-dilution-info": "", "WB-species-notes": "<p></p>", "ICCIF-species-checked": "notRecommended", "ICCIF-species-dilution-info": "", "ICCIF-species-notes": "", "FlowCytIntra-species-checked": "notRecommended", "FlowCytIntra-species-dilution-info": "", "FlowCytIntra-species-notes": "", "IHCP-species-checked": "notRecommended", "IHCP-species-dilution-info": "", "IHCP-species-notes": "" } } }

Product details

ab236463 is the carrier-free version of ab219414.

Conjugation ready
Our carrier-free antibodies are typically supplied in a PBS-only formulation, purified and free of BSA, sodium azide and glycerol. This conjugation-ready format is designed for use with fluorochromes, metal isotopes, oligonucleotides, and enzymes, which makes them ideal for antibody labelling, functional and cell-based assays, flow-based assays (e.g. mass cytometry) and Multiplex Imaging applications.

Use our conjugation kits for antibody conjugates that are ready-to-use in as little as 20 minutes with 1 minute hands-on-time and 100% antibody recovery: available for fluorescent dyes, HRP, biotin and gold.

Compatibility
This product is compatible with the Maxpar® Antibody Labeling Kit from Fluidigm, without the need for antibody preparation. Maxpar® is a trademark of Fluidigm Canada Inc.

Properties and storage information

Form
Liquid
Purification technique
Affinity purification Protein A
Storage buffer
pH: 7.2 - 7.4 Constituents: PBS
Shipped at conditions
Blue Ice
Appropriate short-term storage conditions
+4°C
Appropriate long-term storage conditions
+4°C
Storage information
Do Not Freeze

Supplementary information

This supplementary information is collated from multiple sources and compiled automatically.

Frataxin often known by the alternate name FXN is a mitochondrial protein with a mass of approximately 21000 Dalton. It is expressed mainly in tissues with high energy demands like the heart liver and pancreas. Frataxin plays an important role in iron-sulfur cluster assembly which is essential for various cellular processes. The protein is a part of mitochondria where it regulates iron homeostasis and prevents oxidative damage by minimizing iron-induced free radical generation.
Biological function summary

Several cellular processes depend on the correct function of this protein. Frataxin assists in forming iron-sulfur clusters acting within a multiprotein complex in the mitochondria. The complex includes proteins such as ISCU which are involved in the assembly and repair of iron-sulfur clusters. These clusters are necessary for supporting mitochondrial electron transport and other fundamental metabolic pathways that require iron-sulfur dependencies.

Pathways

Frataxin's involvement extensively affects the mitochondrial respiratory chain and the mitochondrial biogenesis process. It plays a role in the electron transport chain by stabilizing iron-sulfur-containing complexes. NAB is one associated protein that interacts closely within these pathways sharing a connection through iron-sulfur cluster transportation and assembly systems. Efficient function of these pathways ensures a proper energetic output of cells.

Frataxin mutations are directly linked to Friedreich's ataxia a neurodegenerative disease causing progressive damage to the nervous system. The deficiency or dysfunction in frataxin causes accumulation of iron in mitochondria leading to increased oxidative stress. Another related disorder includes heart disease which emerges due to the same oxidative stress pathway. Proteins such as Nfs1 are also involved sharing the responsibility with frataxin in scavenging excess iron protecting against related tissue damage.

Product protocols

For this product, it's our understanding that no specific protocols are required. You can visit:

Target data

Frataxin mature form. Functions as an activator of persulfide transfer to the scaffoding protein ISCU as component of the core iron-sulfur cluster (ISC) assembly complex and participates to the [2Fe-2S] cluster assembly (PubMed : 12785837, PubMed : 24971490). Accelerates sulfur transfer from NFS1 persulfide intermediate to ISCU and to small thiols such as L-cysteine and glutathione leading to persulfuration of these thiols and ultimately sulfide release (PubMed : 24971490). Binds ferrous ion and is released from FXN upon the addition of both L-cysteine and reduced FDX2 during [2Fe-2S] cluster assembly (PubMed : 29576242). The core iron-sulfur cluster (ISC) assembly complex is involved in the de novo synthesis of a [2Fe-2S] cluster, the first step of the mitochondrial iron-sulfur protein biogenesis. This process is initiated by the cysteine desulfurase complex (NFS1 : LYRM4 : NDUFAB1) that produces persulfide which is delivered on the scaffold protein ISCU in a FXN-dependent manner. Then this complex is stabilized by FDX2 which provides reducing equivalents to accomplish the [2Fe-2S] cluster assembly. Finally, the [2Fe-2S] cluster is transferred from ISCU to chaperone proteins, including HSCB, HSPA9 and GLRX5 (By similarity). May play a role in the protection against iron-catalyzed oxidative stress through its ability to catalyze the oxidation of Fe(2+) to Fe(3+); the oligomeric form but not the monomeric form has in vitro ferroxidase activity (PubMed : 15641778). May be able to store large amounts of iron in the form of a ferrihydrite mineral by oligomerization; however, the physiological relevance is unsure as reports are conflicting and the function has only been shown using heterologous overexpression systems (PubMed : 11823441, PubMed : 12755598). May function as an iron chaperone protein that protects the aconitase [4Fe-4S]2+ cluster from disassembly and promotes enzyme reactivation (PubMed : 15247478). May play a role as a high affinity iron binding partner for FECH that is capable of both delivering iron to ferrochelatase and mediating the terminal step in mitochondrial heme biosynthesis (PubMed : 15123683, PubMed : 16239244).. Extramitochondrial frataxin. Modulates the RNA-binding activity of ACO1 (PubMed : 20053667). May be involved in the cytoplasmic iron-sulfur protein biogenesis (PubMed : 16091420). May contribute to oxidative stress resistance and overall cell survival (PubMed : 16608849).
See full target information FXN

Publications (1)

Recent publications for all applications. Explore the full list and refine your search

Acta neuropathologica communications 11:181 PubMed37964332

2023

Tau seed amplification assay reveals relationship between seeding and pathological forms of tau in Alzheimer's disease brain.

Applications

Unspecified application

Species

Unspecified reactive species

Bryan Frey,David Holzinger,Keenan Taylor,Dagmar E Ehrnhoefer,Andreas Striebinger,Sandra Biesinger,Laura Gasparini,Michael J O'Neill,Florian Wegner,Stefan Barghorn,Günter U Höglinger,Roland G Heym
View all publications

Product promise

We are committed to supporting your work with high-quality reagents, and we're here for you every step of the way. In the unlikely event that one of our products does not perform as expected, you're protected by our Product Promise.
For full details, please see our Terms & Conditions

Please note: All products are 'FOR RESEARCH USE ONLY. NOT FOR USE IN DIAGNOSTIC OR THERAPEUTIC PROCEDURES'.

For licensing inquiries, please contact partnerships@abcam.com