JavaScript is disabled in your browser. Please enable JavaScript to view this website.
AB117566

Anti-FREM1 antibody

Be the first to review this product! Submit a review

|

(1 Publication)

Rabbit Polyclonal FREM1 antibody. Suitable for IHC-P and reacts with Human samples. Cited in 1 publication. Immunogen corresponding to Synthetic Peptide within Human FREM1 conjugated to Keyhole Limpet Haemocyanin.

View Alternative Names

C9orf143, C9orf145, C9orf154, FREM1, FRAS1-related extracellular matrix protein 1, Protein QBRICK

1 Images
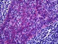
Immunohistochemistry (Formalin/PFA-fixed paraffin-embedded sections) - Anti-FREM1 antibody (AB117566)
  • IHC-P

Unknown

Immunohistochemistry (Formalin/PFA-fixed paraffin-embedded sections) - Anti-FREM1 antibody (AB117566)

ab117566, at 10 µg/ml, staining FREM1 in formalin fixed, paraffin embedded Human tonsil tissue by Immunohistochemistry.

Key facts

Host species

Rabbit

Clonality

Polyclonal

Isotype

IgG

Carrier free

No

Reacts with

Human

Applications

IHC-P

applications

Immunogen

Synthetic Peptide within Human FREM1 conjugated to Keyhole Limpet Haemocyanin. The exact immunogen used to generate this antibody is proprietary information.

Q5H8C1

Reactivity data

{ "title": "Reactivity Data", "filters": { "stats": ["", "Species", "Dilution Info", "Notes"], "tabs": { "all-applications": {"fullname" : "All Applications", "shortname": "All Applications"}, "IHCP" : {"fullname" : "Immunohistochemistry (Formalin/PFA-fixed paraffin-embedded sections)", "shortname":"IHC-P"} }, "product-promise": { "all": "all", "testedAndGuaranteed": "tested", "guaranteed": "expected", "predicted": "predicted", "notRecommended": "not-recommended" } }, "values": { "Human": { "IHCP-species-checked": "testedAndGuaranteed", "IHCP-species-dilution-info": "10 µg/mL", "IHCP-species-notes": "<p></p>" }, "Mouse": { "IHCP-species-checked": "predicted", "IHCP-species-dilution-info": "", "IHCP-species-notes": "" } } }

Product details

Based on the location of the immunogen the antibody can detect FREM 1 isoform 1 and isoform 2 (also known as TILRR).

Properties and storage information

Form
Liquid
Purification technique
Affinity purification Protein A
Storage buffer
pH: 7.4 Preservative: 0.02% Sodium azide Constituents: PBS
Shipped at conditions
Blue Ice
Appropriate short-term storage duration
Up to 12 months
Appropriate short-term storage conditions
+4°C
Appropriate long-term storage conditions
-20°C
Storage information
Avoid freeze / thaw cycle

Supplementary information

This supplementary information is collated from multiple sources and compiled automatically.

FREM1 also known as Fras1-related extracellular matrix protein 1 serves mechanical roles by interacting with the extracellular matrix. This protein has a mass of approximately 230 kDa. It is prominently expressed in skin kidney and lung tissues. FREM1's interactions contribute to the structural stability and organization of tissues aiding their resilience and function.
Biological function summary

FREM1 plays a critical role in skin and organ development. It is an important part of the Fraser complex which is essential during the formation of epithelial and basement membranes. The protein's function supports cellular adhesion and proper tissue morphogenesis. These roles are necessary for maintaining tissue integrity making it well-integrated into developmental processes.

Pathways

FREM1 integrates with developmental signaling cascades essential to epithelial integrity and tissue cohesion. Notably it participates in the Wnt signaling pathway which is fundamental for cell fate determination. Through these pathways FREM1 coordinates with other proteins like FRAS1 and FREM2 ensuring proper signaling and communication within cell environments.

FREM1 mutations and disruptions relate to Fraser syndrome which involves congenital malformations affecting the eyes ears and skin. FREM1's interaction with FRAS1 and FREM2 is critical in this context as these proteins form the Fraser complex. Additionally irregularities in FREM1 expression may relate to kidney dysplasia highlighting its role in normal organ morphogenesis and function.

Product protocols

For this product, it's our understanding that no specific protocols are required. You can visit:

Target data

Extracellular matrix protein that plays a role in epidermal differentiation and is required for epidermal adhesion during embryonic development.
See full target information FREM1

Publications (1)

Recent publications for all applications. Explore the full list and refine your search

Animals : an open access journal from MDPI 13: PubMed37174472

2023

Initial Characterization of 3D Culture of Yolk Sac Tissue.

Applications

Unspecified application

Species

Unspecified reactive species

Vitória Mattos Pereira,Priscila Avelino Ferreira Pinto,Lina Castelo Branco Motta,Matheus F Almeida,André Furugen Cesar de Andrade,Ana Paula Pinoti Pavaneli,Carlos Eduardo Ambrósio
View all publications

Product promise

We are committed to supporting your work with high-quality reagents, and we're here for you every step of the way. In the unlikely event that one of our products does not perform as expected, you're protected by our Product Promise.
For full details, please see our Terms & Conditions

Please note: All products are 'FOR RESEARCH USE ONLY. NOT FOR USE IN DIAGNOSTIC OR THERAPEUTIC PROCEDURES'.

For licensing inquiries, please contact partnerships@abcam.com