JavaScript is disabled in your browser. Please enable JavaScript to view this website.
AB290743

Anti-Frizzled 6 antibody [EPR25319-149] (BSA and Azide free)

  • BOND RX™ Validated
  • RabMAb
  • Recombinant
  • KO Validated
  • What is this?

Be the first to review this product! Submit a review

|

(0 Publication)

Knockout Tested Rabbit Recombinant Monoclonal Frizzled 6 antibody. Carrier free. Suitable for WB, IHC-P and reacts with Human samples.

View Alternative Names

Frizzled-6, Fz-6, hFz6, FZD6

5 Images
Immunohistochemistry (Formalin/PFA-fixed paraffin-embedded sections) - Anti-Frizzled 6 antibody [EPR25319-149] (BSA and Azide free) (AB290743)
  • IHC-P

Supplier Data

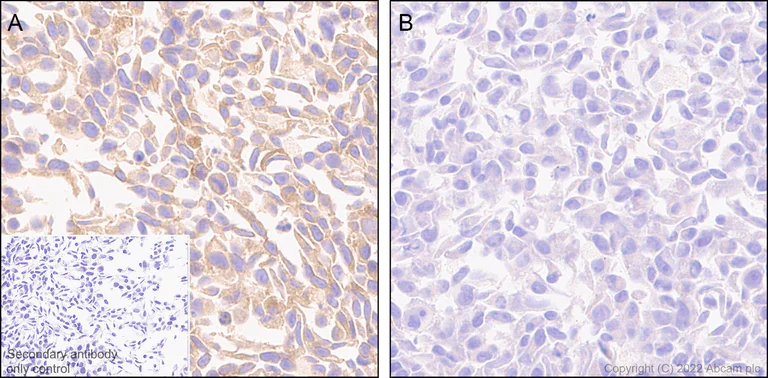
Immunohistochemistry (Formalin/PFA-fixed paraffin-embedded sections) - Anti-Frizzled 6 antibody [EPR25319-149] (BSA and Azide free) (AB290743)

This data was developed using ab290728, the same antibody clone in a different buffer formulation. Immunohistochemical analysis of paraffin-embedded (A) Wild-type HeLa ( tissue labeling Frizzled 6 with ab290728 at 1/200 (2.47 ug/ml) followed by a ready to use LeicaDS9800 (Bond™ Polymer Refine Detection) was used. Cytoplasmic staining on (A) Wild-type HeLa (human cervix adenocarcinoma epithelial cell) cell pellet (ab255928), no staining on (B) FZD6 knockout HeLa (ab265280) cell pellet. The section was incubated with ab290728 for 30 mins at room temperature.The immunostaining was performed on a Leica Biosystems BOND® RX instrument Counterstained with Hematoxylin. Secondary antibody only control : Secondary antibody is a ready to use LeicaDS9800 (Bond™ Polymer Refine Detection) was used. Heat mediated antigen retrieval with Tris-EDTA buffer (pH 9.0, epitope retrieval solution2) for 20 mins

Immunohistochemistry (Formalin/PFA-fixed paraffin-embedded sections) - Anti-Frizzled 6 antibody [EPR25319-149] (BSA and Azide free) (AB290743)
  • IHC-P

Supplier Data

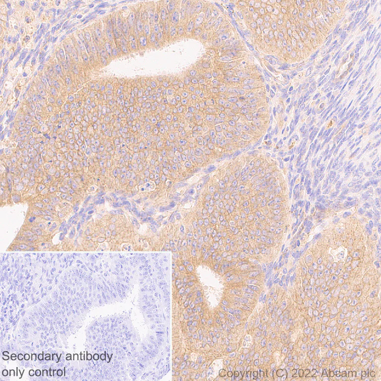
Immunohistochemistry (Formalin/PFA-fixed paraffin-embedded sections) - Anti-Frizzled 6 antibody [EPR25319-149] (BSA and Azide free) (AB290743)

This data was developed using ab290728, the same antibody clone in a different buffer formulation. Immunohistochemical analysis of paraffin-embedded Human endometrial ca tissue labeling Frizzled 6 with ab290728 at 1/100 (4.94 ug/ml) followed by a ready to use LeicaDS9800 (Bond™ Polymer Refine Detection) was used. Cytoplasmic staining on human endometrial carcinoma. The section was incubated with ab290728 for 30 mins at room temperature.The immunostaining was performed on a Leica Biosystems BOND® RX instrument Counterstained with Hematoxylin. Secondary antibody only control : Secondary antibody is a ready to use LeicaDS9800 (Bond™ Polymer Refine Detection) was used. Heat mediated antigen retrieval with Tris-EDTA buffer (pH 9.0, epitope retrieval solution2) for 20 mins

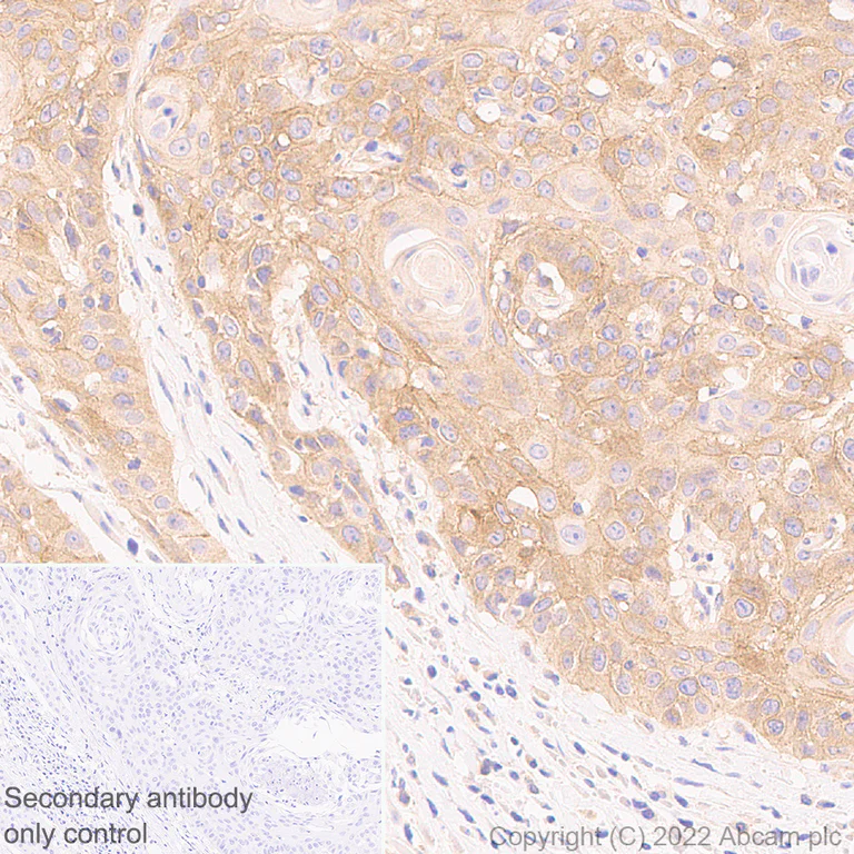
Immunohistochemistry (Formalin/PFA-fixed paraffin-embedded sections) - Anti-Frizzled 6 antibody [EPR25319-149] (BSA and Azide free) (AB290743)
  • IHC-P

Supplier Data

Immunohistochemistry (Formalin/PFA-fixed paraffin-embedded sections) - Anti-Frizzled 6 antibody [EPR25319-149] (BSA and Azide free) (AB290743)

This data was developed using ab290728, the same antibody clone in a different buffer formulation. Immunohistochemical analysis of paraffin-embedded Human cervical carci tissue labeling Frizzled 6 with ab290728 at 1/100 (4.94 ug/ml) followed by a ready to use LeicaDS9800 (Bond™ Polymer Refine Detection) was used. Cytoplasmic staining on human cervical carcinoma. The section was incubated with ab290728 for 30 mins at room temperature.The immunostaining was performed on a Leica Biosystems BOND® RX instrument Counterstained with Hematoxylin. Secondary antibody only control : Secondary antibody is a ready to use LeicaDS9800 (Bond™ Polymer Refine Detection) was used. Heat mediated antigen retrieval with Tris-EDTA buffer (pH 9.0, epitope retrieval solution2) for 20 mins

Western blot - Anti-Frizzled 6 antibody [EPR25319-149] (BSA and Azide free) (AB290743)
  • WB

Supplier Data

Western blot - Anti-Frizzled 6 antibody [EPR25319-149] (BSA and Azide free) (AB290743)

This data was developed using ab290728, the same antibody clone in a different buffer formulation. Blocking and diluting buffer and concentration : Intercept® (TBS) Blocking Buffer diluted with an equal volume of 0.1% TBSSamples are non-boiled as boiling may cause protein aggregates. Lysates/proteins at 20 µg per lane. Performed under reducing conditions. False colour image of Western blot : Anti-FZD6 antibody [EPR25319-149] staining at 1/1000 dilution, shown in green; Mouse anti-GAPDH antibody 6C5 loading control staining at 1/20000 dilution, shown in red. In Western blot, ab290728 was shown to bind specifically to FZD6. A band was observed at 79 kDa in wild-type Hela cell lysates with no signal observed at this size in FZD6 knockout cell line ab265280 (knockout cell lysate ab258874). To generate this image, wild-type and FZD6 knockout Hela cell lysates were analyzed. First, samples were run on an SDS-PAGE gel then transferred onto an immobilon-FL PVDF membrane. Membranes were blocked in Intercept® (TBS) Blocking Buffer diluted with an equal volume of 0.1% TBS before incubation with primary antibodies overnight at 4 °C. Blots were washed four times in TBS-T, incubated with secondary antibodies for 1 h at room temperature, washed again four times then imaged. Secondary antibodies used were Goat anti-Rabbit IgG H&L (IRDye® 800CW) preabsorbed (ab216773) and Goat anti-Mouse IgG H&L (IRDye® 680RD) preabsorbed (ab216776) at 1/10000 dilution.

All lanes:

Western blot - Anti-Frizzled 6 antibody [EPR25319-149] (<a href='/en-us/products/primary-antibodies/frizzled-6-antibody-epr25319-149-ab290728'>ab290728</a>) at 1/1000 dilution

Lane 1:

Wild-type HeLa (human cervix adenocarcinoma epithelial cell) whole cell lysate 20 µg

Lane 2:

FZD6 knockout HeLa (<a href='/en-us/products/cell-lines/human-fzd6-frizzled-6-knockout-hela-cell-line-ab265280'>ab265280</a>) whole cell lysate 20 µg

Secondary

Lanes 1 - 2:

Western blot - Goat anti-Mouse IgG H&L (IRDye® 680RD) preadsorbed (<a href='/en-us/products/secondary-antibodies/goat-mouse-igg-h-l-irdye-680rd-preadsorbed-ab216776'>ab216776</a>) at 1/10000 dilution

Lanes 1 - 2:

Western blot - Goat anti-Rabbit IgG H&L (IRDye® 800CW) preadsorbed (<a href='/en-us/products/secondary-antibodies/goat-rabbit-igg-h-l-irdye-800cw-preadsorbed-ab216773'>ab216773</a>) at 1/10000 dilution

Observed band size: 79 kDa

false

Western blot - Anti-Frizzled 6 antibody [EPR25319-149] (BSA and Azide free) (AB290743)
  • WB

Supplier Data

Western blot - Anti-Frizzled 6 antibody [EPR25319-149] (BSA and Azide free) (AB290743)

This data was developed using ab290728, the same antibody clone in a different buffer formulation. Blocking and diluting buffer and concentration : Intercept® (TBS) Blocking Buffer diluted with an equal volume of 0.1% TBSLow expression : Daudi, Raji, K562 (PMID : 9480858). Samples are non-boiled as boiling may cause protein aggregates. Lysates/proteins at 20 µg per lane. Performed under reducing conditions. False colour image of Western blot : Anti-FZD6 antibody [EPR25319-149] staining at 1/1000 dilution, shown in green; Mouse anti-GAPDH antibody 6C5 loading control staining at 1/20000 dilution, shown in red. First, samples were run on an SDS-PAGE gel then transferred onto an immobilon-FL PVDF membrane. Membranes were blocked in Intercept® (TBS) Blocking Buffer diluted with an equal volume of 0.1% TBS before incubation with primary antibodies overnight at 4 °C. Blots were washed four times in TBS-T, incubated with secondary antibodies for 1 h at room temperature, washed again four times then imaged. Secondary antibodies used were Goat anti-Rabbit IgG H&L (IRDye® 800CW) preabsorbed (ab216773) and Goat anti-Mouse IgG H&L (IRDye® 680RD) preabsorbed (ab216776) at 1/10000 dilution.

All lanes:

Western blot - Anti-Frizzled 6 antibody [EPR25319-149] (<a href='/en-us/products/primary-antibodies/frizzled-6-antibody-epr25319-149-ab290728'>ab290728</a>) at 1/1000 dilution

Lane 1:

HeLa (human cervix adenocarcinoma epithelial cell) whole cell lysate 20 µg

Lane 2:

HCT 116 (human colorectal carcinoma epithelial cell) whole cell lysate 20 µg

Lane 3:

K562 (human chronic myelogenous leukemia lymphoblast) whole cell lysate 20 µg

Lane 4:

Daudi (human Burkitts lymphoma lymphoblast) whole cell lysate 20 µg

Lane 5:

Raji (human Burkitts lymphoma B lymphocyte) whole cell lysate 20 µg

Secondary

Lanes 1 - 5:

Western blot - Goat anti-Rabbit IgG H&L (IRDye® 800CW) preadsorbed (<a href='/en-us/products/secondary-antibodies/goat-rabbit-igg-h-l-irdye-800cw-preadsorbed-ab216773'>ab216773</a>) at 1/10000 dilution

Lanes 1 - 5:

Western blot - Goat anti-Mouse IgG H&L (IRDye® 680RD) preadsorbed (<a href='/en-us/products/secondary-antibodies/goat-mouse-igg-h-l-irdye-680rd-preadsorbed-ab216776'>ab216776</a>) at 1/10000 dilution

Observed band size: 79 kDa

false

Key facts

Host species

Rabbit

Clonality

Monoclonal

Clone number

EPR25319-149

Isotype

IgG

Carrier free

Yes

Reacts with

Human

Applications

IHC-P, WB

applications

Immunogen

The exact immunogen used to generate this antibody is proprietary information.

Reactivity data

{ "title": "Reactivity Data", "filters": { "stats": ["", "Species", "Dilution Info", "Notes"], "tabs": { "all-applications": {"fullname" : "All Applications", "shortname": "All Applications"}, "WB" : {"fullname" : "Western blot", "shortname":"WB"}, "IHCP" : {"fullname" : "Immunohistochemistry (Formalin/PFA-fixed paraffin-embedded sections)", "shortname":"IHC-P"}, "ICCIF" : {"fullname" : "Immunocytochemistry/ Immunofluorescence", "shortname":"ICC/IF"}, "IP" : {"fullname" : "Immunoprecipitation", "shortname":"IP"}, "FlowCyt" : {"fullname" : "Flow Cytometry", "shortname":"Flow Cyt"} }, "product-promise": { "all": "all", "testedAndGuaranteed": "tested", "guaranteed": "expected", "predicted": "predicted", "notRecommended": "not-recommended" } }, "values": { "Human": { "WB-species-checked": "testedAndGuaranteed", "WB-species-dilution-info": "", "WB-species-notes": "<p></p>", "IHCP-species-checked": "testedAndGuaranteed", "IHCP-species-dilution-info": "", "IHCP-species-notes": "<p></p>", "ICCIF-species-checked": "notRecommended", "ICCIF-species-dilution-info": "", "ICCIF-species-notes": "<p></p>", "IP-species-checked": "notRecommended", "IP-species-dilution-info": "", "IP-species-notes": "<p></p>", "FlowCyt-species-checked": "notRecommended", "FlowCyt-species-dilution-info": "", "FlowCyt-species-notes": "<p></p>" }, "Mouse": { "WB-species-checked": "notRecommended", "WB-species-dilution-info": "", "WB-species-notes": "<p></p>", "IHCP-species-checked": "notRecommended", "IHCP-species-dilution-info": "", "IHCP-species-notes": "<p></p>", "ICCIF-species-checked": "notRecommended", "ICCIF-species-dilution-info": "", "ICCIF-species-notes": "<p></p>", "IP-species-checked": "notRecommended", "IP-species-dilution-info": "", "IP-species-notes": "<p></p>", "FlowCyt-species-checked": "notRecommended", "FlowCyt-species-dilution-info": "", "FlowCyt-species-notes": "<p></p>" }, "Rat": { "WB-species-checked": "notRecommended", "WB-species-dilution-info": "", "WB-species-notes": "<p></p>", "IHCP-species-checked": "notRecommended", "IHCP-species-dilution-info": "", "IHCP-species-notes": "<p></p>", "ICCIF-species-checked": "notRecommended", "ICCIF-species-dilution-info": "", "ICCIF-species-notes": "", "IP-species-checked": "notRecommended", "IP-species-dilution-info": "", "IP-species-notes": "", "FlowCyt-species-checked": "notRecommended", "FlowCyt-species-dilution-info": "", "FlowCyt-species-notes": "" } } }

Product details

Patented technology
Our RabMAb® technology is a patented hybridoma-based technology for making rabbit monoclonal antibodies. For details on our patents, please refer to RabMAb® patents.

What are the advantages of a recombinant monoclonal antibody?
This product is a recombinant monoclonal antibody, which offers several advantages including:

  • - High batch-to-batch consistency and reproducibility
  • - Improved sensitivity and specificity
  • - Long-term security of supply
  • - Animal-free batch production

For more information, read more on recombinant antibodies.

Conjugation ready
Our carrier-free antibodies are typically supplied in a PBS-only formulation, purified and free of BSA, sodium azide and glycerol. This conjugation-ready format is designed for use with fluorochromes, metal isotopes, oligonucleotides, and enzymes, which makes them ideal for antibody labelling, functional and cell-based assays, flow-based assays (e.g. mass cytometry) and Multiplex Imaging applications.

Use our conjugation kits for antibody conjugates that are ready-to-use in as little as 20 minutes with 1 minute hands-on-time and 100% antibody recovery: available for fluorescent dyes, HRP, biotin and gold.

Compatibility
This product is compatible with the Maxpar® Antibody Labeling Kit from Fluidigm, without the need for antibody preparation. Maxpar® is a trademark of Fluidigm Canada Inc.

Properties and storage information

Form
Liquid
Purification technique
Affinity purification Protein A
Storage buffer
pH: 7.2 - 7.4 Constituents: PBS
Shipped at conditions
Blue Ice
Appropriate short-term storage conditions
+4°C
Appropriate long-term storage conditions
+4°C

Supplementary information

This supplementary information is collated from multiple sources and compiled automatically.

Frizzled 6 also known as FZD6 is a receptor encoded by the FZD6 gene that plays an important role in Wnt signaling. Frizzled 6 is a transmembrane protein part of the Frizzled family which typically contains seven transmembrane domains. It has a molecular mass of approximately 75 kDa. Expression of Frizzled 6 occurs in various tissues including the brain lung pancreas and kidney highlighting its diverse functional significance within the body.
Biological function summary

Frizzled 6 acts as a receptor in the Wnt signaling pathway which is important in cellular communication and regulation. It does not function alone; it is part of a complex network involving other Frizzled proteins and Wnt ligands that are key for processes such as cell proliferation differentiation and migration. This signaling is important for maintaining proper cellular responses and is integral to developmental processes.

Pathways

Frizzled 6 integrates into the non-canonical Wnt signaling pathway which diverges from the canonical pathway by not involving β-catenin. In this pathway it cooperates with key proteins like Disheveled (DVL) and forms complexes with Wnt ligands to elicit specific cellular responses. This engagement is essential for tailoring responses to external cellular cues especially in processes like tissue polarity and neural tube closure during embryonic development.

Frizzled 6 relates to diseases such as neural tube defects and some forms of cancer. Alterations in Frizzled 6 expression or function can interfere with Wnt signaling integrity leading to such conditions. In these disease states interactions with Wnt ligands and other proteins involved in this signaling pathway including Disheveled underline the receptor’s importance and the risk related to its dysregulation. Understanding Frizzled 6's involvement could lead to targeted therapeutic approaches for these conditions.

Product protocols

For this product, it's our understanding that no specific protocols are required. You can visit:

Target data

Receptor for Wnt proteins. Most of frizzled receptors are coupled to the beta-catenin canonical signaling pathway, which leads to the activation of disheveled proteins, inhibition of GSK-3 kinase, nuclear accumulation of beta-catenin and activation of Wnt target genes. A second signaling pathway involving PKC and calcium fluxes has been seen for some family members, but it is not yet clear if it represents a distinct pathway or if it can be integrated in the canonical pathway, as PKC seems to be required for Wnt-mediated inactivation of GSK-3 kinase. Both pathways seem to involve interactions with G-proteins. May be involved in transduction and intercellular transmission of polarity information during tissue morphogenesis and/or in differentiated tissues. Together with FZD3, is involved in the neural tube closure and plays a role in the regulation of the establishment of planar cell polarity (PCP), particularly in the orientation of asymmetric bundles of stereocilia on the apical faces of a subset of auditory and vestibular sensory cells located in the inner ear (By similarity).
See full target information FZD6

Product promise

We are committed to supporting your work with high-quality reagents, and we're here for you every step of the way. In the unlikely event that one of our products does not perform as expected, you're protected by our Product Promise.
For full details, please see our Terms & Conditions

Please note: All products are 'FOR RESEARCH USE ONLY. NOT FOR USE IN DIAGNOSTIC OR THERAPEUTIC PROCEDURES'.

For licensing inquiries, please contact partnerships@abcam.com