JavaScript is disabled in your browser. Please enable JavaScript to view this website.
AB150545

Anti-Frizzled 6 antibody - N-terminal

Be the first to review this product! Submit a review

|

(6 Publications)

Rabbit Polyclonal Frizzled 6 antibody. Suitable for IHC-P, ICC and reacts with Human, Primates samples. Cited in 6 publications. Immunogen corresponding to Synthetic Peptide within Human FZD6.

View Alternative Names

Frizzled-6, Fz-6, hFz6, FZD6

2 Images
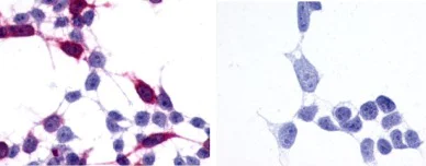
Immunocytochemistry - Anti-Frizzled 6 antibody - N-terminal (AB150545)
  • ICC

Unknown

Immunocytochemistry - Anti-Frizzled 6 antibody - N-terminal (AB150545)

Immunocytochemical analysis of HEK293 cells transfected with Frizzled 6 (left panel) and non-transfected cells (right panel).

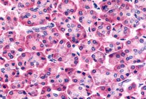
Immunohistochemistry (Formalin/PFA-fixed paraffin-embedded sections) - Anti-Frizzled 6 antibody - N-terminal (AB150545)
  • IHC-P

Unknown

Immunohistochemistry (Formalin/PFA-fixed paraffin-embedded sections) - Anti-Frizzled 6 antibody - N-terminal (AB150545)

Immunohistochemical analysis of formalin-fixed, paraffin-embedded Human pancreas tissue labeling Frizzled 6 with ab150545 at 6 µg/ml.

Key facts

Host species

Rabbit

Clonality

Polyclonal

Isotype

IgG

Carrier free

No

Reacts with

Human, Primates

Applications

ICC, IHC-P

applications

Immunogen

Synthetic Peptide within Human FZD6. The exact immunogen used to generate this antibody is proprietary information.

O60353

Reactivity data

{ "title": "Reactivity Data", "filters": { "stats": ["", "Species", "Dilution Info", "Notes"], "tabs": { "all-applications": {"fullname" : "All Applications", "shortname": "All Applications"}, "IHCP" : {"fullname" : "Immunohistochemistry (Formalin/PFA-fixed paraffin-embedded sections)", "shortname":"IHC-P"}, "ICC" : {"fullname" : "Immunocytochemistry", "shortname":"ICC"} }, "product-promise": { "all": "all", "testedAndGuaranteed": "tested", "guaranteed": "expected", "predicted": "predicted", "notRecommended": "not-recommended" } }, "values": { "Human": { "IHCP-species-checked": "testedAndGuaranteed", "IHCP-species-dilution-info": "6-14 µg/mL", "IHCP-species-notes": "<p></p> Perform heat-mediated antigen retrieval with citrate buffer pH 6 before commencing with IHC staining protocol.", "ICC-species-checked": "testedAndGuaranteed", "ICC-species-dilution-info": "3 µg/mL", "ICC-species-notes": "<p></p>" }, "Mouse": { "IHCP-species-checked": "predicted", "IHCP-species-dilution-info": "", "IHCP-species-notes": "", "ICC-species-checked": "predicted", "ICC-species-dilution-info": "", "ICC-species-notes": "" }, "Cow": { "IHCP-species-checked": "predicted", "IHCP-species-dilution-info": "", "IHCP-species-notes": "", "ICC-species-checked": "predicted", "ICC-species-dilution-info": "", "ICC-species-notes": "" }, "Dog": { "IHCP-species-checked": "predicted", "IHCP-species-dilution-info": "", "IHCP-species-notes": "", "ICC-species-checked": "predicted", "ICC-species-dilution-info": "", "ICC-species-notes": "" }, "Horse": { "IHCP-species-checked": "predicted", "IHCP-species-dilution-info": "", "IHCP-species-notes": "", "ICC-species-checked": "predicted", "ICC-species-dilution-info": "", "ICC-species-notes": "" }, "Pig": { "IHCP-species-checked": "predicted", "IHCP-species-dilution-info": "", "IHCP-species-notes": "", "ICC-species-checked": "predicted", "ICC-species-dilution-info": "", "ICC-species-notes": "" }, "Primates": { "IHCP-species-checked": "guaranteed", "IHCP-species-dilution-info": "6-14 µg/mL", "IHCP-species-notes": "<p></p> Perform heat-mediated antigen retrieval with citrate buffer pH 6 before commencing with IHC staining protocol.", "ICC-species-checked": "guaranteed", "ICC-species-dilution-info": "3 µg/mL", "ICC-species-notes": "<p></p>" }, "Rabbit": { "IHCP-species-checked": "predicted", "IHCP-species-dilution-info": "", "IHCP-species-notes": "", "ICC-species-checked": "predicted", "ICC-species-dilution-info": "", "ICC-species-notes": "" } } }

Properties and storage information

Form
Liquid
Purification technique
Affinity purification Immunogen
Storage buffer
pH: 7.4 Preservative: 0.1% Sodium azide Constituents: PBS
Shipped at conditions
Blue Ice
Appropriate short-term storage conditions
+4°C
Appropriate long-term storage conditions
-20°C

Supplementary information

This supplementary information is collated from multiple sources and compiled automatically.

Frizzled 6 also known as FZD6 is a receptor encoded by the FZD6 gene that plays an important role in Wnt signaling. Frizzled 6 is a transmembrane protein part of the Frizzled family which typically contains seven transmembrane domains. It has a molecular mass of approximately 75 kDa. Expression of Frizzled 6 occurs in various tissues including the brain lung pancreas and kidney highlighting its diverse functional significance within the body.
Biological function summary

Frizzled 6 acts as a receptor in the Wnt signaling pathway which is important in cellular communication and regulation. It does not function alone; it is part of a complex network involving other Frizzled proteins and Wnt ligands that are key for processes such as cell proliferation differentiation and migration. This signaling is important for maintaining proper cellular responses and is integral to developmental processes.

Pathways

Frizzled 6 integrates into the non-canonical Wnt signaling pathway which diverges from the canonical pathway by not involving β-catenin. In this pathway it cooperates with key proteins like Disheveled (DVL) and forms complexes with Wnt ligands to elicit specific cellular responses. This engagement is essential for tailoring responses to external cellular cues especially in processes like tissue polarity and neural tube closure during embryonic development.

Frizzled 6 relates to diseases such as neural tube defects and some forms of cancer. Alterations in Frizzled 6 expression or function can interfere with Wnt signaling integrity leading to such conditions. In these disease states interactions with Wnt ligands and other proteins involved in this signaling pathway including Disheveled underline the receptor’s importance and the risk related to its dysregulation. Understanding Frizzled 6's involvement could lead to targeted therapeutic approaches for these conditions.

Product protocols

For this product, it's our understanding that no specific protocols are required. You can visit:

Target data

Receptor for Wnt proteins. Most of frizzled receptors are coupled to the beta-catenin canonical signaling pathway, which leads to the activation of disheveled proteins, inhibition of GSK-3 kinase, nuclear accumulation of beta-catenin and activation of Wnt target genes. A second signaling pathway involving PKC and calcium fluxes has been seen for some family members, but it is not yet clear if it represents a distinct pathway or if it can be integrated in the canonical pathway, as PKC seems to be required for Wnt-mediated inactivation of GSK-3 kinase. Both pathways seem to involve interactions with G-proteins. May be involved in transduction and intercellular transmission of polarity information during tissue morphogenesis and/or in differentiated tissues. Together with FZD3, is involved in the neural tube closure and plays a role in the regulation of the establishment of planar cell polarity (PCP), particularly in the orientation of asymmetric bundles of stereocilia on the apical faces of a subset of auditory and vestibular sensory cells located in the inner ear (By similarity).
See full target information FZD6

Publications (6)

Recent publications for all applications. Explore the full list and refine your search

Translational neuroscience 14:20220294 PubMed37554539

2023

Knockdown of circEXOC6 inhibits cell progression and glycolysis by sponging miR-433-3p and mediating FZD6 in glioma.

Applications

Unspecified application

Species

Unspecified reactive species

Yu Deng,Liu Xu,Yuqiang Li

Oncogene 42:99-112 PubMed36376513

2022

Adaptive activation of EFNB2/EPHB4 axis promotes post-metastatic growth of colorectal cancer liver metastases by LDLR-mediated cholesterol uptake.

Applications

Unspecified application

Species

Unspecified reactive species

Chunjie Xu,Lei Gu,Manzila Kuerbanjiang,Chunhui Jiang,Lipeng Hu,Ye Liu,Hanbing Xue,Jun Li,Zhigang Zhang,Qing Xu

Frontiers in molecular biosciences 9:783735 PubMed35237656

2022

The Prognostic Value of the Developmental Gene FZD6 in Young Saudi Breast Cancer Patients: A Biomarkers Discovery and Cancer Inducers OncoScreen Approach.

Applications

Unspecified application

Species

Unspecified reactive species

Mourad Assidi,Abdelbaset Buhmeida,Maryam H Al-Zahrani,Jaudah Al-Maghrabi,Mahmood Rasool,Muhammad I Naseer,Heba Alkhatabi,Abdulmajeed F Alrefaei,Ali Zari,Razan Elkhatib,Adel Abuzenadah,Peter N Pushparaj,Muhammad Abu-Elmagd

Cellular and molecular life sciences : CMLS 77:4631-4662 PubMed31900623

2020

Frizzled 1 and Wnt1 as new potential therapeutic targets in the traumatically injured spinal cord.

Applications

Unspecified application

Species

Unspecified reactive species

Pau González,Carlos González-Fernández,Yolanda Campos-Martín,Manuela Mollejo,Melissa Carballosa-Gautam,Alexander Marcillo,Michael Norenberg,Francisco Javier Rodríguez

Development (Cambridge, England) 146: PubMed30952667

2019

The ciliary GTPase Arl3 maintains tissue architecture by directing planar spindle orientation during epidermal morphogenesis.

Applications

Unspecified application

Species

Unspecified reactive species

Samip R Bhattarai,Salma Begum,Rachel Popow,Ellen J Ezratty

Cell death & disease 10:217 PubMed30833544

2019

NPTX2 promotes colorectal cancer growth and liver metastasis by the activation of the canonical Wnt/β-catenin pathway via FZD6.

Applications

Unspecified application

Species

Unspecified reactive species

Chunjie Xu,Guangang Tian,Chunhui Jiang,Hanbing Xue,Manzila Kuerbanjiang,Longci Sun,Lei Gu,Hong Zhou,Ye Liu,Zhigang Zhang,Qing Xu
View all publications

Product promise

We are committed to supporting your work with high-quality reagents, and we're here for you every step of the way. In the unlikely event that one of our products does not perform as expected, you're protected by our Product Promise.
For full details, please see our Terms & Conditions

Please note: All products are 'FOR RESEARCH USE ONLY. NOT FOR USE IN DIAGNOSTIC OR THERAPEUTIC PROCEDURES'.

For licensing inquiries, please contact partnerships@abcam.com