JavaScript is disabled in your browser. Please enable JavaScript to view this website.
AB218209

Anti-FRMD6/Willin antibody

4

(1 Review)

|

(3 Publications)

Rabbit Polyclonal FRMD6/Willin antibody. Suitable for IHC-P and reacts with Human samples. Cited in 3 publications. Immunogen corresponding to Synthetic Peptide within Human FRMD6 aa 50-100 conjugated to Keyhole Limpet Haemocyanin.

View Alternative Names

C14orf31, FRMD6, FERM domain-containing protein 6, Willin

1 Images
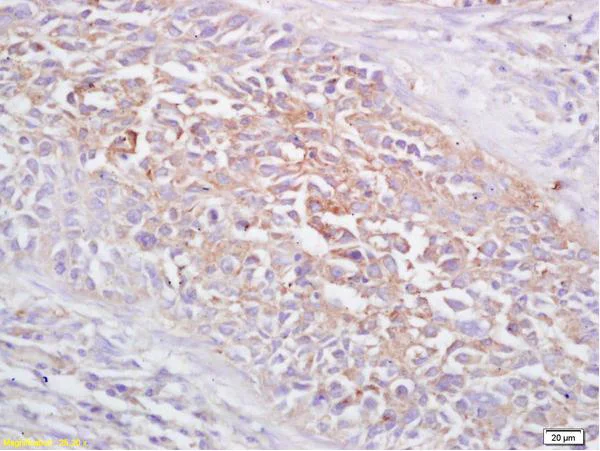
Immunohistochemistry (Formalin/PFA-fixed paraffin-embedded sections) - Anti-FRMD6/Willin antibody (AB218209)
  • IHC-P

Supplier Data

Immunohistochemistry (Formalin/PFA-fixed paraffin-embedded sections) - Anti-FRMD6/Willin antibody (AB218209)

Immunohistochemical analysis of formalin-fixed paraffin-embedded sections of human lung carcinoma tissue labeling FRMD6/Willin with ab218209 at a 1/200 dilution, followed by conjugation to a secondary antibody and DAB staining.

Key facts

Host species

Rabbit

Clonality

Polyclonal

Isotype

IgG

Carrier free

No

Reacts with

Human

Applications

IHC-P

applications

Immunogen

Synthetic Peptide within Human FRMD6 aa 50-100 conjugated to Keyhole Limpet Haemocyanin. The exact immunogen used to generate this antibody is proprietary information.

Q96NE9

Reactivity data

{ "title": "Reactivity Data", "filters": { "stats": ["", "Species", "Dilution Info", "Notes"], "tabs": { "all-applications": {"fullname" : "All Applications", "shortname": "All Applications"}, "IHCP" : {"fullname" : "Immunohistochemistry (Formalin/PFA-fixed paraffin-embedded sections)", "shortname":"IHC-P"} }, "product-promise": { "all": "all", "testedAndGuaranteed": "tested", "guaranteed": "expected", "predicted": "predicted", "notRecommended": "not-recommended" } }, "values": { "Human": { "IHCP-species-checked": "testedAndGuaranteed", "IHCP-species-dilution-info": "1/100 - 1/500", "IHCP-species-notes": "<p></p>" } } }

Properties and storage information

Form
Liquid
Purification technique
Affinity purification Protein A
Storage buffer
pH: 7.4 Preservative: 0.02% Proclin 300 Constituents: 50% Glycerol (glycerin, glycerine), 48.98% TBS, 1X, 1% BSA
Shipped at conditions
Blue Ice
Appropriate short-term storage duration
1-2 weeks
Appropriate short-term storage conditions
+4°C
Appropriate long-term storage conditions
-20°C
Aliquoting information
Upon delivery aliquot
Storage information
Avoid freeze / thaw cycle

Supplementary information

This supplementary information is collated from multiple sources and compiled automatically.

FRMD6 also known as Willin is a protein that functions by acting as a scaffold within cells influencing cell shape and motility. This protein has an approximate mass of 78 kDa. FRMD6 is expressed in multiple tissues including the brain with noticeable presence in neuronal cells. It plays a role in the organization of actin cytoskeleton impacting cell adhesion and polarity.
Biological function summary

FRMD6 influences signaling pathways that regulate growth and differentiation. It contributes as part of a regulatory complex that communicates signals from the extracellular matrix to intracellular pathways. The protein is not known to be part of a stable complex but it interacts dynamically with several cytoskeletal elements during cell signaling events. It assists in transducing signals necessary for maintaining cellular architecture and function.

Pathways

FRMD6 is significantly involved in the Hippo signaling pathway which regulates cell proliferation and apoptosis. This pathway controls tissue growth and cancer development through interaction with proteins like YAP and TAZ. FRMD6 operates upstream within this pathway contributing to the suppression of cell growth by modulating these transcriptional coactivators.

FRMD6 associates with diverse pathological conditions. In cancer aberrant expression or function of FRMD6 interrupts normal Hippo pathway signaling potentially promoting tumorigenesis. Additionally studies have linked FRMD6 with neurological disorders reflecting its expression in neuronal tissues. It connects with proteins like LATS1 and MOB1A in these disorders influencing their roles within the affected pathways.

Product protocols

For this product, it's our understanding that no specific protocols are required. You can visit:

Publications (3)

Recent publications for all applications. Explore the full list and refine your search

Molecular therapy. Methods & clinical development 31:101144 PubMed38027058

2023

Persistence of exon 2 skipping and dystrophin expression at 18 months after U7snRNA-mediated therapy in the Dup2 mouse model.

Applications

Unspecified application

Species

Unspecified reactive species

Liubov V Gushchina,Adrienne J Bradley,Tatyana A Vetter,Jacob W Lay,Natalie L Rohan,Emma C Frair,Nicolas Wein,Kevin M Flanigan

Frontiers in immunology 14:1160052 PubMed37404825

2023

Genomic landscape and expression profile of consensus molecular subtype four of colorectal cancer.

Applications

Unspecified application

Species

Unspecified reactive species

Yujie Lu,Dingyi Gu,Chenyi Zhao,Ying Sun,Wenjing Li,Lulu He,Xiaoyan Wang,Zhongyang Kou,Jiang Su,Feng Guo

Developmental cell 56:95-110.e10 PubMed33207226

2020

Stromal SOX2 Upregulation Promotes Tumorigenesis through the Generation of a SFRP1/2-Expressing Cancer-Associated Fibroblast Population.

Applications

Unspecified application

Species

Unspecified reactive species

Hiroaki Kasashima,Angeles Duran,Anxo Martinez-Ordoñez,Yuki Nakanishi,Hiroto Kinoshita,Juan F Linares,Miguel Reina-Campos,Yotaro Kudo,Antoine L'Hermitte,Masakazu Yashiro,Masaichi Ohira,Fei Bao,Daniele V F Tauriello,Eduard Batlle,Maria T Diaz-Meco,Jorge Moscat
View all publications

Product promise

We are committed to supporting your work with high-quality reagents, and we're here for you every step of the way. In the unlikely event that one of our products does not perform as expected, you're protected by our Product Promise.
For full details, please see our Terms & Conditions

Please note: All products are 'FOR RESEARCH USE ONLY. NOT FOR USE IN DIAGNOSTIC OR THERAPEUTIC PROCEDURES'.

For licensing inquiries, please contact partnerships@abcam.com