JavaScript is disabled in your browser. Please enable JavaScript to view this website.
AB169933

Anti-FRMD8 antibody

Be the first to review this product! Submit a review

|

(1 Publication)

Rabbit Polyclonal FRMD8 antibody. Suitable for WB, IHC-P and reacts with Human samples. Cited in 1 publication. Immunogen corresponding to Recombinant Fragment Protein within Human FRMD8 aa 1-200.

View Alternative Names

FKSG44, FRMD8, FERM domain-containing protein 8, Band4.1 inhibitor LRP interactor, iRhom tail-associated protein, Bili, iTAP

2 Images
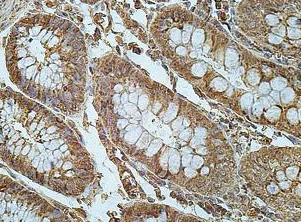
Immunohistochemistry (Formalin/PFA-fixed paraffin-embedded sections) - Anti-FRMD8 antibody (AB169933)
  • IHC-P

Supplier Data

Immunohistochemistry (Formalin/PFA-fixed paraffin-embedded sections) - Anti-FRMD8 antibody (AB169933)

Immunohistochemistry (Formalin/PFA-fixed paraffin-embedded sections) analysis of human fetal colon labelling FRMD8 with ab169933 at a dilution of 1/100.

Western blot - Anti-FRMD8 antibody (AB169933)
  • WB

Supplier Data

Western blot - Anti-FRMD8 antibody (AB169933)

All lanes:

Western blot - Anti-FRMD8 antibody (ab169933) at 1/1000 dilution

Lane 1:

HeLa cell lysate

Lane 2:

Jurkat cell lysate

Predicted band size: 41 kDa,51 kDa

false

Key facts

Host species

Rabbit

Clonality

Polyclonal

Isotype

IgG

Carrier free

No

Reacts with

Human

Applications

IHC-P, WB

applications

Immunogen

Recombinant Fragment Protein within Human FRMD8 aa 1-200. The exact immunogen used to generate this antibody is proprietary information.

Q9BZ67

Reactivity data

{ "title": "Reactivity Data", "filters": { "stats": ["", "Species", "Dilution Info", "Notes"], "tabs": { "all-applications": {"fullname" : "All Applications", "shortname": "All Applications"}, "WB" : {"fullname" : "Western blot", "shortname":"WB"}, "IHCP" : {"fullname" : "Immunohistochemistry (Formalin/PFA-fixed paraffin-embedded sections)", "shortname":"IHC-P"} }, "product-promise": { "all": "all", "testedAndGuaranteed": "tested", "guaranteed": "expected", "predicted": "predicted", "notRecommended": "not-recommended" } }, "values": { "Human": { "WB-species-checked": "testedAndGuaranteed", "WB-species-dilution-info": "1/1000 - 1/2000", "WB-species-notes": "<p></p>", "IHCP-species-checked": "testedAndGuaranteed", "IHCP-species-dilution-info": "1/100 - 1/500", "IHCP-species-notes": "<p></p>" }, "Mouse": { "WB-species-checked": "predicted", "WB-species-dilution-info": "", "WB-species-notes": "", "IHCP-species-checked": "predicted", "IHCP-species-dilution-info": "", "IHCP-species-notes": "" }, "Rat": { "WB-species-checked": "predicted", "WB-species-dilution-info": "", "WB-species-notes": "", "IHCP-species-checked": "predicted", "IHCP-species-dilution-info": "", "IHCP-species-notes": "" } } }

Properties and storage information

Form
Lyophilized
Reconstitution
reconstitute with water, 50% glycerol at 200µL
Purification technique
Affinity purification Immunogen
Storage buffer
pH: 7.2 Preservative: 0.02% Sodium azide Constituents: PBS, 1% BSA
Shipped at conditions
Blue Ice
Appropriate short-term storage duration
1-2 weeks
Appropriate short-term storage conditions
+4°C
Appropriate long-term storage conditions
-20°C
Aliquoting information
Upon delivery aliquot
Storage information
Avoid freeze / thaw cycle

Supplementary information

This supplementary information is collated from multiple sources and compiled automatically.

FRMD8 also known as FERM domain-containing protein 8 has an approximate molecular mass of 76 kDa. This protein belongs to the FERM domain protein family characterized by having domains linked to cytoskeletal arrangements and membrane interactions. It expresses in various human tissues including the brain and the liver suggesting it performs functions necessary in multiple systems. It plays a structural or signaling role linked to its FERM domain capabilities.
Biological function summary

FRMD8 plays an essential role in cellular signaling and structure. It interacts with CYTH3 a protein significant for intracellular signaling and cytoskeletal dynamics. By interacting with proteins that regulate actin cytoskeleton FRMD8 helps maintain cellular architecture and motility. FRMD8 may also participate in protein complexes that influence cellular morphology and signaling cascades.

Pathways

FRMD8 engages in essential cellular pathways such as actin polymerization and Rho GTPase-mediated signaling. These pathways are important for cell shape migration and division. FRMD8 interacts with members of the Rho GTPase family like Rac1 further linking it to actin cytoskeletal rearrangements. In this way FRMD8 influences cellular behaviors that depend on cytoskeletal dynamics and intracellular communication.

FRMD8 associates with certain cancers and neurological conditions. In cancer it may interact with proteins like TKT that influence tumor cell metabolism and survival. Regarding neurological disorders the connection with proteins such as Alpha-synuclein links FRMD8 to synaptic function regulation and aggregation processes implicated in neurodegenerative diseases. This budding research area suggests that FRMD8 plays a significant role in disease biological mechanisms.

Product protocols

For this product, it's our understanding that no specific protocols are required. You can visit:

Target data

Promotes the cell surface stability of iRhom1/RHBDF1 and iRhom2/RHBDF2 and prevents their degradation via the endolysosomal pathway. By acting on iRhoms, involved in ADAM17-mediated shedding of TNF, amphiregulin/AREG, HBEGF and TGFA from the cell surface (PubMed : 29897333, PubMed : 29897336). Negatively regulates Wnt signaling, possibly by antagonizing the recruitment of AXIN1 to LRP6 (PubMed : 19572019).
See full target information FRMD8

Publications (1)

Recent publications for all applications. Explore the full list and refine your search

eLife 7: PubMed29897336

2018

FRMD8 promotes inflammatory and growth factor signalling by stabilising the iRhom/ADAM17 sheddase complex.

Applications

Unspecified application

Species

Unspecified reactive species

Ulrike Künzel,Adam Graham Grieve,Yao Meng,Boris Sieber,Sally A Cowley,Matthew Freeman
View all publications

Product promise

We are committed to supporting your work with high-quality reagents, and we're here for you every step of the way. In the unlikely event that one of our products does not perform as expected, you're protected by our Product Promise.
For full details, please see our Terms & Conditions

Please note: All products are 'FOR RESEARCH USE ONLY. NOT FOR USE IN DIAGNOSTIC OR THERAPEUTIC PROCEDURES'.

For licensing inquiries, please contact partnerships@abcam.com