JavaScript is disabled in your browser. Please enable JavaScript to view this website.
AB320727

Anti-FRS2 antibody [EPR28714-126]

Be the first to review this product! Submit a review

|

(0 Publication)

Rabbit Recombinant Monoclonal FRS2 antibody. Suitable for WB and reacts with Mouse samples.

View Alternative Names

Frs2a, Fibroblast growth factor receptor substrate 2, FGFR substrate 2, FGFR-signaling adaptor SNT, FRS2-alpha, Suc1-associated neurotrophic factor target 1, SNT-1

2 Images
Western blot - Anti-FRS2 antibody [EPR28714-126] (AB320727)
  • WB

Supplier Data

Western blot - Anti-FRS2 antibody [EPR28714-126] (AB320727)

Blocking and diluting buffer and concentration : 5% NFDM/TBST.

The identity of the bands higher than 150 kDa and lower than 50 kDa are unknown.

In Western blot, Anti-Integrin alpha V antibody [EPR16800] (ab179475) staining at 1/5000 dilution.

All lanes:

Western blot - Anti-FRS2 antibody [EPR28714-126] (ab320727) at 1/1000 dilution

Lane 1:

F9 (mouse embryonal carcinoma epithelial cell) non-membrane fraction at 20 µg

Lane 2:

F9 (mouse embryonal carcinoma epithelial cell) membrane fraction at 20 µg

Secondary

All lanes:

Western blot - Goat Anti-Rabbit IgG H&L (HRP) (<a href='/en-us/products/secondary-antibodies/goat-rabbit-igg-h-l-hrp-ab97051'>ab97051</a>) at 1/20000 dilution

Observed band size: 74 kDa,116 kDa,135 kDa

false

Exposure time: 180s

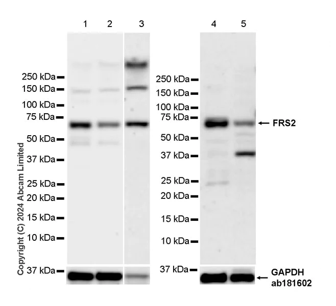
Western blot - Anti-FRS2 antibody [EPR28714-126] (AB320727)
  • WB

Supplier Data

Western blot - Anti-FRS2 antibody [EPR28714-126] (AB320727)

Blocking and diluting buffer and concentration : 5% NFDM/TBST.

The identity of the bands higher than 150 kDa and lower than 50 kDa are unknown.

In Western blot, Anti-GAPDH antibody [EPR16891] - Loading Control (ab181602) staining at 1/200000 dilution.

Exposure time : Lanes 1-2 : 15 seconds, lanes 3-5 : 180 seconds

All lanes:

Western blot - Anti-FRS2 antibody [EPR28714-126] (ab320727) at 1/1000 dilution

Lane 1:

NIH/3T3 (mouse embryonic fibroblast) transfected with scrambled siRNA control whole cell lysate at 20 µg

Lane 2:

NIH/3T3 transfected with siRNA specifically targeting FRS2 whole cell lysate at 20 µg

Lane 3:

4T1 (mouse mammary gland carcinoma epithelial cell) whole cell lysate at 20 µg

Lane 4:

Mouse brain tissue lysate at 20 µg

Lane 5:

Mouse liver tissue lysate at 20 µg

Secondary

All lanes:

Western blot - Goat Anti-Rabbit IgG H&L (HRP) (<a href='/en-us/products/secondary-antibodies/goat-rabbit-igg-h-l-hrp-ab97051'>ab97051</a>) at 1/20000 dilution

Observed band size: 74 kDa,36 kDa

false

  • Carrier free

    Anti-FRS2 antibody [EPR28714-126] - BSA and Azide free

Key facts

Host species

Rabbit

Clonality

Monoclonal

Clone number

EPR28714-126

Isotype

IgG

Carrier free

No

Reacts with

Mouse

Applications

WB

applications

Immunogen

The exact immunogen used to generate this antibody is proprietary information.

Reactivity data

{ "title": "Reactivity Data", "filters": { "stats": ["", "Species", "Dilution Info", "Notes"], "tabs": { "all-applications": {"fullname" : "All Applications", "shortname": "All Applications"}, "WB" : {"fullname" : "Western blot", "shortname":"WB"}, "IHCP" : {"fullname" : "Immunohistochemistry (Formalin/PFA-fixed paraffin-embedded sections)", "shortname":"IHC-P"} }, "product-promise": { "all": "all", "testedAndGuaranteed": "tested", "guaranteed": "expected", "predicted": "predicted", "notRecommended": "not-recommended" } }, "values": { "Human": { "WB-species-checked": "notRecommended", "WB-species-dilution-info": "", "WB-species-notes": "", "IHCP-species-checked": "notRecommended", "IHCP-species-dilution-info": "", "IHCP-species-notes": "<p></p>" }, "Mouse": { "WB-species-checked": "testedAndGuaranteed", "WB-species-dilution-info": "1/1000", "WB-species-notes": "<p></p>", "IHCP-species-checked": "notRecommended", "IHCP-species-dilution-info": "", "IHCP-species-notes": "<p></p>" } } }

Product details

Patented technology
Our RabMAb® technology is a patented hybridoma-based technology for making rabbit monoclonal antibodies. For details on our patents, please refer to RabMAb® patents.

What are the advantages of a recombinant monoclonal antibody?
This product is a recombinant monoclonal antibody, which offers several advantages including:

  • - High batch-to-batch consistency and reproducibility
  • - Improved sensitivity and specificity
  • - Long-term security of supply
  • - Animal-free batch production

For more information, read more on recombinant antibodies.

Properties and storage information

Form
Liquid
Purification technique
Affinity purification Protein A
Storage buffer
pH: 7.2 - 7.4 Preservative: 0.01% Sodium azide Constituents: PBS, 40% Glycerol (glycerin, glycerine), 0.05% BSA
Shipped at conditions
Blue Ice
Appropriate short-term storage duration
1-2 weeks
Appropriate short-term storage conditions
+4°C
Appropriate long-term storage conditions
-20°C
Aliquoting information
Upon delivery aliquot
Storage information
Avoid freeze / thaw cycle

Supplementary information

This supplementary information is collated from multiple sources and compiled automatically.

FRS2 also known as Fibroblast growth factor receptor substrate 2 functions as an adaptor protein in cellular signal transduction. This protein with a molecular mass of approximately 60 kDa plays a critical role in linking receptor tyrosine kinases specifically FGFR (Fibroblast Growth Factor Receptor) to downstream signaling pathways. FRS2 primarily expresses in various tissues with notable expression in neural and epithelial cells. Its function involves phosphorylation and the recruitment of downstream signaling molecules which propagate cellular response signals.
Biological function summary

FRS2 integrates into several signaling complexes that regulate key cellular processes. It acts as a scaffold protein creating platforms for the assembly of signaling complexes such as those involving Grb2 (Growth factor receptor-bound protein 2) and Sos (Son of Sevenless). These complexes mediate processes related to cell differentiation proliferation and survival. The protein's ability to anchor and direct these signaling molecules highlights its importance within cellular mechanisms where it influences signaling cascades leading to specific cellular outcomes.

Pathways

The role of FRS2 is essential in the FGFR and MAPK/ERK pathways. Within these pathways FRS2 interacts closely with proteins like FGFR facilitating their activation and consequent downstream signaling events. Through these interactions the protein influences pathways involved in developmental processes and cellular maintenance. FRS2 by enabling FGFR signal transduction significantly impacts cellular responses to external growth stimuli making it an important player in normal cellular function and development.

Abnormalities in FRS2 function or expression link to certain pathologies including cancer and neurological disorders. For instance overactivation of FRS2-mediated signaling pathways can contribute to oncogenic processes leading to uncontrolled cell growth and proliferation. Furthermore mutations affecting FRS2 interaction with FGFR have implications in developmental disorders characterized by neural defects. Understanding FRS2 connections in these diseases helps in identifying potential therapeutic targets for treatment interventions.

Product protocols

For this product, it's our understanding that no specific protocols are required. You can visit:

Target data

Adapter protein that links activated FGR and NGF receptors to downstream signaling pathways. Plays an important role in the activation of MAP kinases and in the phosphorylation of PIK3R1, the regulatory subunit of phosphatidylinositol 3-kinase, in response to ligand-mediated activation of FGFR1. Modulates signaling via SHC1 by competing for a common binding site on NTRK1.
See full target information Frs2

Product promise

We are committed to supporting your work with high-quality reagents, and we're here for you every step of the way. In the unlikely event that one of our products does not perform as expected, you're protected by our Product Promise.
For full details, please see our Terms & Conditions

Please note: All products are 'FOR RESEARCH USE ONLY. NOT FOR USE IN DIAGNOSTIC OR THERAPEUTIC PROCEDURES'.

For licensing inquiries, please contact partnerships@abcam.com