JavaScript is disabled in your browser. Please enable JavaScript to view this website.
AB273587

Anti-FRZB antibody [EPR23904-20] - BSA and Azide free

Be the first to review this product! Submit a review

|

(1 Publication)

Rabbit Recombinant Monoclonal FRZB antibody. Carrier free. Suitable for IP, WB, ICC/IF, Flow Cyt (Intra) and reacts with Mouse samples. Cited in 1 publication.

View Alternative Names

Fiz, Fre, Frzb1, Sfrp3, Frzb, Secreted frizzled-related protein 3, sFRP-3, Frezzled, Fritz, Frizzled-related protein 1, FrzB-1

3 Images
Flow Cytometry (Intracellular) - Anti-FRZB antibody [EPR23904-20] - BSA and Azide free (AB273587)
  • Flow Cyt (Intra)

Unknown

Flow Cytometry (Intracellular) - Anti-FRZB antibody [EPR23904-20] - BSA and Azide free (AB273587)

Intracellular flow cytometric analysis of 4% paraformaldehyde fixed, 90% methanol permeabilized Neuro-2a (Mouse neuroblastoma neuroblast) cells labelling FRZB with ab273582 at 1/50 dilution (1ug) (Red) (Red) compared with a Rabbit monoclonal IgG (ab172730) (Black) isotype control and an unlabelled control (cells without incubation with primary antibody and secondary antibody) (Blue).

A Goat anti rabbit IgG (Alexa Fluor®488, ab150077) at 1/2000 dilution was used as the secondary antibody.

This data was developed using the same antibody clone in a different buffer formulation containing PBS, BSA, glycerol, and sodium azide (abab273582).

Immunocytochemistry/ Immunofluorescence - Anti-FRZB antibody [EPR23904-20] - BSA and Azide free (AB273587)
  • ICC/IF

Unknown

Immunocytochemistry/ Immunofluorescence - Anti-FRZB antibody [EPR23904-20] - BSA and Azide free (AB273587)

Immunofluorescent analysis of 4% Paraformaldehyde-fixed, 0.1% TritonX-100 permeabilized Neuro-2a cells labelling FRZB with ab273582 at 1/50 dilution, followed by ab150077 Goat Anti-Rabbit IgG H&L (Alexa Fluor® 488) antibody at 1/1000 dilution (Green). Confocal image showing cytoplasmic staining in Neuro-2a cell line. ab195889 Anti-alpha Tubulin mouse monoclonal antibody - Microtubule Marker (Alexa Fluor® 594) was used to counterstain tubulin at 1/200 dilution (Red). The Nuclear counterstain was DAPI (Blue).

This data was developed using the same antibody clone in a different buffer formulation containing PBS, BSA, glycerol, and sodium azide (abab273582).

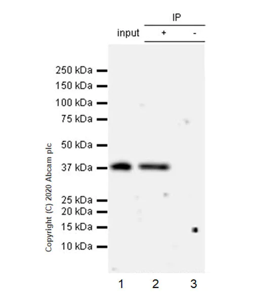
Immunoprecipitation - Anti-FRZB antibody [EPR23904-20] - BSA and Azide free (AB273587)
  • IP

Unknown

Immunoprecipitation - Anti-FRZB antibody [EPR23904-20] - BSA and Azide free (AB273587)

FRZB was immunoprecipitated from 0.35 mg Mouse testis tissue lysate with ab273582 at 1/30 dilution (2ug in 0.35mg lysates). Western blot was performed on the immunoprecipitate using ab273582 at 1/1000 dilution. VeriBlot for IP Detection Reagent (HRP)(ab131366) was used at 1/5000 dilution.

Lane 1 : Mouse testis tissue lysate 10 ug

Lane 2 : ab273582 IP in Mouse testis tissue lysate

Lane 3 : Rabbit monoclonal IgG (ab172730) instead of ab273582 in mouse testis tissue lysate

Blocking and dilution buffer and concentration : 5% NFDM/TBST.

Exposure time : 3 minutes.

This data was developed using the same antibody clone in a different buffer formulation containing PBS, BSA, glycerol, and sodium azide (abab273582).

All lanes:

Immunoprecipitation - Anti-FRZB antibody [EPR23904-20] (<a href='/en-us/products/primary-antibodies/frzb-antibody-epr23904-20-ab273582'>ab273582</a>)

Predicted band size: 36 kDa

Observed band size: 36 kDa

false

Key facts

Host species

Rabbit

Clonality

Monoclonal

Clone number

EPR23904-20

Isotype

IgG

Carrier free

Yes

Reacts with

Mouse

Applications

WB, Flow Cyt (Intra), IP, ICC/IF

applications

Immunogen

The exact immunogen used to generate this antibody is proprietary information.

Reactivity data

{ "title": "Reactivity Data", "filters": { "stats": ["", "Species", "Dilution Info", "Notes"], "tabs": { "all-applications": {"fullname" : "All Applications", "shortname": "All Applications"}, "IP" : {"fullname" : "Immunoprecipitation", "shortname":"IP"}, "WB" : {"fullname" : "Western blot", "shortname":"WB"}, "IHCP" : {"fullname" : "Immunohistochemistry (Formalin/PFA-fixed paraffin-embedded sections)", "shortname":"IHC-P"}, "ICCIF" : {"fullname" : "Immunocytochemistry/ Immunofluorescence", "shortname":"ICC/IF"}, "IHCFr" : {"fullname" : "Immunohistochemistry (Frozen sections)", "shortname":"IHC-Fr"}, "FlowCytIntra" : {"fullname" : "Flow Cytometry (Intracellular)", "shortname":"Flow Cyt (Intra)"} }, "product-promise": { "all": "all", "testedAndGuaranteed": "tested", "guaranteed": "expected", "predicted": "predicted", "notRecommended": "not-recommended" } }, "values": { "Human": { "IP-species-checked": "notRecommended", "IP-species-dilution-info": "", "IP-species-notes": "", "WB-species-checked": "notRecommended", "WB-species-dilution-info": "", "WB-species-notes": "<p></p>", "IHCP-species-checked": "notRecommended", "IHCP-species-dilution-info": "", "IHCP-species-notes": "<p></p>", "ICCIF-species-checked": "notRecommended", "ICCIF-species-dilution-info": "", "ICCIF-species-notes": "", "IHCFr-species-checked": "notRecommended", "IHCFr-species-dilution-info": "", "IHCFr-species-notes": "", "FlowCytIntra-species-checked": "notRecommended", "FlowCytIntra-species-dilution-info": "", "FlowCytIntra-species-notes": "" }, "Mouse": { "IP-species-checked": "testedAndGuaranteed", "IP-species-dilution-info": "", "IP-species-notes": "<p></p>", "WB-species-checked": "guaranteed", "WB-species-dilution-info": "", "WB-species-notes": "<p></p>", "IHCP-species-checked": "notRecommended", "IHCP-species-dilution-info": "", "IHCP-species-notes": "<p></p>", "ICCIF-species-checked": "testedAndGuaranteed", "ICCIF-species-dilution-info": "", "ICCIF-species-notes": "<p></p>", "IHCFr-species-checked": "notRecommended", "IHCFr-species-dilution-info": "", "IHCFr-species-notes": "<p></p>", "FlowCytIntra-species-checked": "testedAndGuaranteed", "FlowCytIntra-species-dilution-info": "", "FlowCytIntra-species-notes": "<p></p>" }, "Rat": { "IP-species-checked": "notRecommended", "IP-species-dilution-info": "", "IP-species-notes": "", "WB-species-checked": "notRecommended", "WB-species-dilution-info": "", "WB-species-notes": "<p></p>", "IHCP-species-checked": "notRecommended", "IHCP-species-dilution-info": "", "IHCP-species-notes": "<p></p>", "ICCIF-species-checked": "notRecommended", "ICCIF-species-dilution-info": "", "ICCIF-species-notes": "", "IHCFr-species-checked": "notRecommended", "IHCFr-species-dilution-info": "", "IHCFr-species-notes": "<p></p>", "FlowCytIntra-species-checked": "notRecommended", "FlowCytIntra-species-dilution-info": "", "FlowCytIntra-species-notes": "" } } }

Product details

ab273587 is the carrier-free version of ab273582.

Patented technology
Our RabMAb® technology is a patented hybridoma-based technology for making rabbit monoclonal antibodies. For details on our patents, please refer to RabMAb® patents.

What are the advantages of a recombinant monoclonal antibody?
This product is a recombinant monoclonal antibody, which offers several advantages including:

  • - High batch-to-batch consistency and reproducibility
  • - Improved sensitivity and specificity
  • - Long-term security of supply
  • - Animal-free batch production

For more information, read more on recombinant antibodies.

Conjugation ready
Our carrier-free antibodies are typically supplied in a PBS-only formulation, purified and free of BSA, sodium azide and glycerol. This conjugation-ready format is designed for use with fluorochromes, metal isotopes, oligonucleotides, and enzymes, which makes them ideal for antibody labelling, functional and cell-based assays, flow-based assays (e.g. mass cytometry) and Multiplex Imaging applications.

Use our conjugation kits for antibody conjugates that are ready-to-use in as little as 20 minutes with 1 minute hands-on-time and 100% antibody recovery: available for fluorescent dyes, HRP, biotin and gold.

Compatibility
This product is compatible with the Maxpar® Antibody Labeling Kit from Fluidigm, without the need for antibody preparation. Maxpar® is a trademark of Fluidigm Canada Inc.

Properties and storage information

Form
Liquid
Purification technique
Affinity purification Protein A
Storage buffer
pH: 7.2 - 7.4 Constituents: PBS
Shipped at conditions
Blue Ice
Appropriate short-term storage conditions
+4°C
Appropriate long-term storage conditions
+4°C
Storage information
Do Not Freeze

Supplementary information

This supplementary information is collated from multiple sources and compiled automatically.

FRZB also known as secreted frizzled-related protein 3 (SFRP3) functions as a modulator of Wnt signaling pathways. This protein has a mass of approximately 36 kDa and serves as an antagonist to the Wnt proteins by binding to them preventing their interaction with cell surface receptors. FRZB is expressed in several tissues with notable levels in cartilage bone and the heart.
Biological function summary

The modulation of Wnt signaling by FRZB plays a significant role in embryonic development and tissue homeostasis. FRZB is not part of a protein complex but has important interactions with other components of the signaling cascade. It influences cell differentiation proliferation and apoptosis which are critical processes during development and tissue repair.

Pathways

FRZB influences both Wnt/β-catenin and non-canonical Wnt pathways. Its interaction with these pathways regulates signal transmission that affects cellular behaviors. Related proteins include Wnt ligands and frizzled receptors which are central to these signaling mechanisms.

Abnormalities in FRZB expression or function show a connection to osteoarthritis and certain cancers. In osteoarthritis FRZB interacts with Wnt proteins which contribute to the degradation of cartilage. In cancer dysregulation of Wnt signaling involving FRZB can lead to unchecked cell proliferation. Understanding its role in these diseases can aid in developing therapeutic strategies.

Product protocols

For this product, it's our understanding that no specific protocols are required. You can visit:

Target data

Soluble frizzled-related proteins (sFRPS) function as modulators of Wnt signaling through direct interaction with Wnts. They have a role in regulating cell growth and differentiation in specific cell types. SFRP3/FRZB appears to be involved in limb skeletogenesis. Antagonist of Wnt8 signaling. Regulates chondrocyte maturation and long bone development (By similarity).
See full target information Frzb

Publications (1)

Recent publications for all applications. Explore the full list and refine your search

Aging 13:11281-11295 PubMed33820867

2021

Secreted frizzled-related protein 3 was genetically and functionally associated with developmental dysplasia of the hip.

Applications

Unspecified application

Species

Unspecified reactive species

Renjie Xu,Fei Zhang,Junlan Lu,Kexin Wang,Peng Pan,Ye Sun,Yuxin Zhang
View all publications

Product promise

We are committed to supporting your work with high-quality reagents, and we're here for you every step of the way. In the unlikely event that one of our products does not perform as expected, you're protected by our Product Promise.
For full details, please see our Terms & Conditions

Please note: All products are 'FOR RESEARCH USE ONLY. NOT FOR USE IN DIAGNOSTIC OR THERAPEUTIC PROCEDURES'.

For licensing inquiries, please contact partnerships@abcam.com