JavaScript is disabled in your browser. Please enable JavaScript to view this website.
AB281562

Anti-FSH beta antibody [EPR24439-141]

  • BOND RX™ Validated
  • 20ul selling size
  • RabMAb
  • Recombinant
  • Advanced Validation
  • What is this?

3

(1 Review)

|

(4 Publications)

Rabbit Recombinant Monoclonal FSH beta antibody. Suitable for WB, IHC-Fr, IHC-P, mIHC and reacts with Mouse, Rat, Human samples. Cited in 4 publications.

View Alternative Names

Follitropin subunit beta, Follicle-stimulating hormone beta subunit, Follitropin beta chain, FSH-B, FSH-beta, FSHB

9 Images
Immunohistochemistry (Formalin/PFA-fixed paraffin-embedded sections) - Anti-FSH beta antibody [EPR24439-141] (AB281562)
  • IHC-P

Supplier Data

Immunohistochemistry (Formalin/PFA-fixed paraffin-embedded sections) - Anti-FSH beta antibody [EPR24439-141] (AB281562)

Immunohistochemical analysis of paraffin-embedded Human cardiac muscle tissue labelling FSH beta with ab281562 at 1/4000 dilution (0.119 ug/ml) followed by a ready to use LeicaDS9800 (Bond™ Polymer Refine Detection). Negative control : No staining on human cardiac muscle. The section was incubated with ab281562 for 30 mins at room temperature. The immunostaining was performed on a Leica Biosystems BOND® RX instrument. Counterstained with Hematoxylin.

Secondary antibody only control : Secondary antibody is a ready to use LeicaDS9800 (Bond™ Polymer Refine Detection).

Heat mediated antigen retrieval with Tris-EDTA buffer (pH 9.0, epitope retrieval solution2) for 20 mins.

Immunohistochemistry (Formalin/PFA-fixed paraffin-embedded sections) - Anti-FSH beta antibody [EPR24439-141] (AB281562)
  • IHC-P

Supplier Data

Immunohistochemistry (Formalin/PFA-fixed paraffin-embedded sections) - Anti-FSH beta antibody [EPR24439-141] (AB281562)

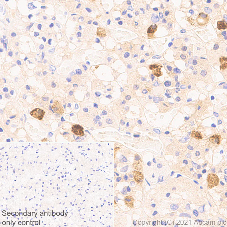
Immunohistochemical analysis of paraffin-embedded Human pituitary tissue labelling FSH beta with ab281562 at 1/2000 dilution (0.119 ug/ml) followed by a ready to use LeicaDS9800 (Bond™ Polymer Refine Detection). Positive staining on human pituitary (PMID : 8930609). The section was incubated with ab281562 for 30 mins at room temperature. The immunostaining was performed on a Leica Biosystems BOND® RX instrument. Counterstained with Hematoxylin.

Secondary antibody only control : Secondary antibody is a ready to use LeicaDS9800 (Bond™ Polymer Refine Detection).

Heat mediated antigen retrieval with Tris-EDTA buffer (pH 9.0, epitope retrieval solution2) for 20 mins.

Immunohistochemistry (Formalin/PFA-fixed paraffin-embedded sections) - Anti-FSH beta antibody [EPR24439-141] (AB281562)
  • IHC-P

Supplier Data

Immunohistochemistry (Formalin/PFA-fixed paraffin-embedded sections) - Anti-FSH beta antibody [EPR24439-141] (AB281562)

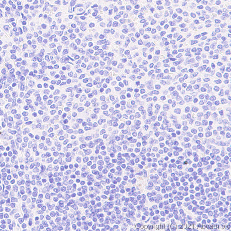
Immunohistochemical analysis of paraffin-embedded Human spleen tissue labelling FSH beta with ab281562 at 1/4000 dilution (0.119 ug/ml) followed by a ready to use LeicaDS9800 (Bond™ Polymer Refine Detection). Negative control : No staining on human spleen. The section was incubated with ab281562 for 30 mins at room temperature. The immunostaining was performed on a Leica Biosystems BOND® RX instrument. Counterstained with Hematoxylin.

Secondary antibody only control : Secondary antibody is a ready to use LeicaDS9800 (Bond™ Polymer Refine Detection).

Heat mediated antigen retrieval with Tris-EDTA buffer (pH 9.0, epitope retrieval solution2) for 20 mins.

Immunohistochemistry (Formalin/PFA-fixed paraffin-embedded sections) - Anti-FSH beta antibody [EPR24439-141] (AB281562)
  • IHC-P

Supplier Data

Immunohistochemistry (Formalin/PFA-fixed paraffin-embedded sections) - Anti-FSH beta antibody [EPR24439-141] (AB281562)

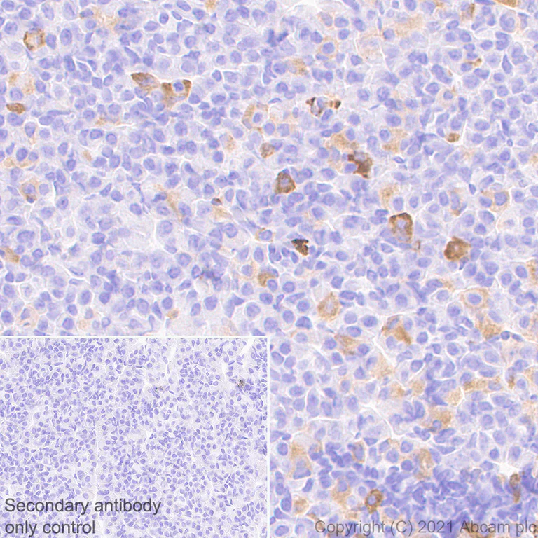
Immunohistochemical analysis of paraffin-embedded Rat pituitary tissue labelling FSH beta with ab281562 at 1/4000 dilution (0.119 ug/ml) followed by a ready to use LeicaDS9800 (Bond™ Polymer Refine Detection). Positive staining on rat pituitary. The section was incubated with ab281562 for 30 mins at room temperature. The immunostaining was performed on a Leica Biosystems BOND® RX instrument. Counterstained with Hematoxylin.

Secondary antibody only control : Secondary antibody is a ready to use LeicaDS9800 (Bond™ Polymer Refine Detection).

Heat mediated antigen retrieval with Tris-EDTA buffer (pH 9.0, epitope retrieval solution2) for 20 mins.

Multiplex immunohistochemistry - Anti-FSH beta antibody [EPR24439-141] (AB281562)
  • mIHC

Lab

Multiplex immunohistochemistry - Anti-FSH beta antibody [EPR24439-141] (AB281562)

Multiplex immunohistochemistry analysis of formalin/PFA-fixed paraffin-embedded Mouse pituitary gland staining of VGF with ab313783 at a 1/500 (0.96 µg/ml) dilution and FSH-beta with ab281562 at a 1/4000 (0.126 µg/ml) dilution followed by a ready to use secondary antibody Opal Polymer HRP Ms + Rb.

Panel A : merged staining of anti-VGF (green; Opal™520), anti-FSH-beta (magenta; Opal™570) on mouse pituitary gland.
Panel B : anti-VGF staining endocrine cells in mouse pituitary gland.
Panel C : anti-FSH-beta staining corticotrophs in mouse pituitary gland.
Panel D : Nuclear DNA was labelled with DAPI (shown in blue).

The section was incubated in three rounds of staining : in the order of ab313783 and ab281562 for 30 mins at room temperature. Each round was followed by a separate fluorescent tyramide signal amplification system.

Heat mediated antigen retrieval with Tris-EDTA buffer (pH 9.0, epitope retrieval solution2) for 20 mins.

Immunohistochemistry (Frozen sections) - Anti-FSH beta antibody [EPR24439-141] (AB281562)
  • IHC-Fr

Supplier Data

Immunohistochemistry (Frozen sections) - Anti-FSH beta antibody [EPR24439-141] (AB281562)

Immunohistochemical analysis of 4% PFA-fixed, 0.2% Triton X-100 permeabilized frozen Rat pituitary tissue labeling FSH beta with ab281562 at 1/100 dilution (4.75 ug/ml) followed by ab150077 Goat Anti-Rabbit IgG H&L (Alexa Fluor® 488) at 1/1000 dilution (Green). Cytoplasmic staining on rat pituitary is observed. The nuclear counterstain was DAPI (Blue).

Secondary antibody control : Secondary antibody is ab150077 Goat Anti-Rabbit IgG H&L (Alexa Fluor® 488) at 1/1000 dilution.

Heat mediated antigen retrieval using sodium citrate buffer (10mM citrate pH 6.0 + 0.05% Tween-20).

Immunohistochemistry (Formalin/PFA-fixed paraffin-embedded sections) - Anti-FSH beta antibody [EPR24439-141] (AB281562)
  • IHC-P

Supplier Data

Immunohistochemistry (Formalin/PFA-fixed paraffin-embedded sections) - Anti-FSH beta antibody [EPR24439-141] (AB281562)

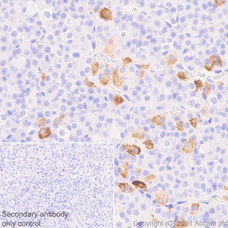
Immunohistochemical analysis of paraffin-embedded Mouse pituitary tissue labelling FSH beta with ab281562 at 1/4000 dilution (0.119 ug/ml) followed by a ready to use LeicaDS9800 (Bond™ Polymer Refine Detection). Positive staining on mouse pituitary. The section was incubated with ab281562 for 30 mins at room temperature. The immunostaining was performed on a Leica Biosystems BOND® RX instrument. Counterstained with Hematoxylin.

Secondary antibody only control : Secondary antibody is a ready to use LeicaDS9800 (Bond™ Polymer Refine Detection).

Heat mediated antigen retrieval with Tris-EDTA buffer (pH 9.0, epitope retrieval solution2) for 20 mins.

Western blot - Anti-FSH beta antibody [EPR24439-141] (AB281562)
  • WB

Lab

Western blot - Anti-FSH beta antibody [EPR24439-141] (AB281562)

Blocking and diluting buffer and concentration : 5% NFDM/TBST

The expression profile observed is consistent with what has been described in the literature (PMID : 29090093, 11502795).

Negative control : heart, spleen (PMID : 29090093).

Exposure time : 81 seconds

All lanes:

Western blot - Anti-FSH beta antibody [EPR24439-141] (ab281562) at 1/1000 dilution

Lane 1:

Human pituitary tissue lysate at 20 µg

Lane 2:

Human heart tissue lysate at 20 µg

Lane 3:

Human spleen tissue lysate at 20 µg

Secondary

All lanes:

Western blot - VeriBlot for IP Detection Reagent (HRP) (<a href='/en-us/products/reagents/veriblot-for-ip-detection-reagent-hrp-ab131366'>ab131366</a>) at 1/1000 dilution

Predicted band size: 15 kDa

Observed band size: 19 kDa,23 kDa

false

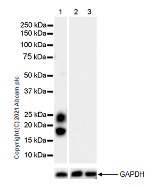
Western blot - Anti-FSH beta antibody [EPR24439-141] (AB281562)
  • WB

Lab

Western blot - Anti-FSH beta antibody [EPR24439-141] (AB281562)

Blocking and diluting buffer and concentration : 5% NFDM/TBST

The expression profile observed is consistent with what has been described in the literature (PMID : 29090093, 11502795).

Negative control : heart, spleen (PMID : 29090093).

Exposure time : Lanes 1-3 : 3 minutes; Lanes 4-5 : 26 seconds.

All lanes:

Western blot - Anti-FSH beta antibody [EPR24439-141] (ab281562) at 1/1000 dilution

Lane 1:

Mouse pituitary tissue lysate at 20 µg

Lane 2:

Mouse heart tissue lysate at 20 µg

Lane 3:

Mouse spleen tissue lysate at 20 µg

Lane 4:

Rat pituitary tissue lysate at 20 µg

Lane 5:

Rat heart tissue lysate at 20 µg

Secondary

All lanes:

Western blot - Goat Anti-Rabbit IgG H&L (HRP) (<a href='/en-us/products/secondary-antibodies/goat-rabbit-igg-h-l-hrp-ab97051'>ab97051</a>) at 1/50000 dilution

Predicted band size: 15 kDa

Observed band size: 19 kDa,23 kDa

false

  • Carrier free

    Anti-FSH beta antibody [EPR24439-141] - BSA and Azide free

Key facts

Host species

Rabbit

Clonality

Monoclonal

Clone number

EPR24439-141

Isotype

IgG

Carrier free

No

Reacts with

Mouse, Rat, Human

Applications

IHC-Fr, IHC-P, mIHC, WB

applications

Immunogen

The exact immunogen used to generate this antibody is proprietary information.

Reactivity data

{ "title": "Reactivity Data", "filters": { "stats": ["", "Species", "Dilution Info", "Notes"], "tabs": { "all-applications": {"fullname" : "All Applications", "shortname": "All Applications"}, "ICCIF" : {"fullname" : "Immunocytochemistry/ Immunofluorescence", "shortname":"ICC/IF"}, "IP" : {"fullname" : "Immunoprecipitation", "shortname":"IP"}, "WB" : {"fullname" : "Western blot", "shortname":"WB"}, "IHCFr" : {"fullname" : "Immunohistochemistry (Frozen sections)", "shortname":"IHC-Fr"}, "IHCP" : {"fullname" : "Immunohistochemistry (Formalin/PFA-fixed paraffin-embedded sections)", "shortname":"IHC-P"}, "mIHC" : {"fullname" : "Multiplex immunohistochemistry", "shortname":"mIHC"} }, "product-promise": { "all": "all", "testedAndGuaranteed": "tested", "guaranteed": "expected", "predicted": "predicted", "notRecommended": "not-recommended" } }, "values": { "Human": { "ICCIF-species-checked": "notRecommended", "ICCIF-species-dilution-info": "", "ICCIF-species-notes": "", "IP-species-checked": "notRecommended", "IP-species-dilution-info": "", "IP-species-notes": "<p></p>", "WB-species-checked": "testedAndGuaranteed", "WB-species-dilution-info": "1/1000", "WB-species-notes": "<p></p>", "IHCFr-species-checked": "guaranteed", "IHCFr-species-dilution-info": "", "IHCFr-species-notes": "", "IHCP-species-checked": "testedAndGuaranteed", "IHCP-species-dilution-info": "1/2000", "IHCP-species-notes": "<p></p>", "mIHC-species-checked": "guaranteed", "mIHC-species-dilution-info": "", "mIHC-species-notes": "" }, "Mouse": { "ICCIF-species-checked": "notRecommended", "ICCIF-species-dilution-info": "", "ICCIF-species-notes": "", "IP-species-checked": "notRecommended", "IP-species-dilution-info": "", "IP-species-notes": "<p></p>", "WB-species-checked": "testedAndGuaranteed", "WB-species-dilution-info": "1/1000", "WB-species-notes": "<p></p>", "IHCFr-species-checked": "notRecommended", "IHCFr-species-dilution-info": "1/100", "IHCFr-species-notes": "<p>Heat mediated antigen retrieval using sodium citrate buffer (10mM citrate pH 6.0 + 0.05% Tween-20).</p>", "IHCP-species-checked": "testedAndGuaranteed", "IHCP-species-dilution-info": "1/2000", "IHCP-species-notes": "<p></p>", "mIHC-species-checked": "testedAndGuaranteed", "mIHC-species-dilution-info": "1/4000", "mIHC-species-notes": "<p></p>" }, "Rat": { "ICCIF-species-checked": "notRecommended", "ICCIF-species-dilution-info": "", "ICCIF-species-notes": "<p></p>", "IP-species-checked": "notRecommended", "IP-species-dilution-info": "", "IP-species-notes": "", "WB-species-checked": "testedAndGuaranteed", "WB-species-dilution-info": "1/1000", "WB-species-notes": "<p></p>", "IHCFr-species-checked": "testedAndGuaranteed", "IHCFr-species-dilution-info": "1/100", "IHCFr-species-notes": "<p>Heat mediated antigen retrieval using sodium citrate buffer (10mM citrate pH 6.0 + 0.05% Tween-20).</p>", "IHCP-species-checked": "testedAndGuaranteed", "IHCP-species-dilution-info": "1/2000", "IHCP-species-notes": "<p></p>", "mIHC-species-checked": "guaranteed", "mIHC-species-dilution-info": "", "mIHC-species-notes": "" } } }

Product details

Patented technology
Our RabMAb® technology is a patented hybridoma-based technology for making rabbit monoclonal antibodies. For details on our patents, please refer to RabMAb® patents.

What are the advantages of a recombinant monoclonal antibody?
This product is a recombinant monoclonal antibody, which offers several advantages including:

  • - High batch-to-batch consistency and reproducibility
  • - Improved sensitivity and specificity
  • - Long-term security of supply
  • - Animal-free batch production

For more information, read more on recombinant antibodies.

Properties and storage information

Form
Liquid
Purification technique
Affinity purification Protein A
Storage buffer
Preservative: 0.01% Sodium azide Constituents: PBS, 40% Glycerol (glycerin, glycerine), 0.05% BSA
Shipped at conditions
Blue Ice
Appropriate short-term storage duration
1-2 weeks
Appropriate short-term storage conditions
+4°C
Appropriate long-term storage conditions
-20°C
Aliquoting information
Upon delivery aliquot
Storage information
Avoid freeze / thaw cycle

Supplementary information

This supplementary information is collated from multiple sources and compiled automatically.

The FSH beta subunit known as hFSH or beta FSH is a part of the follicle-stimulating hormone (FSH) which plays a critical role in reproductive processes. The FSH protein consists of two subunits alpha and beta where the beta subunit is responsible for its biological specificity and binding activity. The genes encoding these subunits are mapped on different chromosomes. The FSH beta gene is expressed mainly in the pituitary gland and produces a protein with a molecular mass around 22 kDa. Its expression can vary depending on the physiological needs of the body such as during different phases of the menstrual cycle.
Biological function summary

The hormone FSH stimulates ovarian follicle growth in females and spermatogenesis in males. It acts as part of a larger heterodimeric complex with the alpha subunit. The interactions of these subunits are essential for the function of FSH enabling it to bind to specific cell surface receptors present on target tissues like the gonads. This binding triggers intracellular signaling cascades that facilitate reproductive maturation and function. The intricate behavior of FSH highlights its role in fertility and reproductive health.

Pathways

FSH beta subunit contributes critically to the reproductive hormone signaling and MAPK pathways. It interacts with other reproductive hormones such as luteinizing hormone (LH) to regulate reproductive processes. Upon binding to its receptor FSH activates pathways involving cyclic adenosine monophosphate (cAMP) that mediate ovarian and testicular function. These interactions highlight the role of FSH in coordinating with other proteins to maintain reproductive health and hormonal balance.

FSH plays an important role in conditions like polycystic ovary syndrome (PCOS) and hypogonadism. Altered levels of FSH can lead to abnormal reproductive functions infertility and irregular menstrual cycles. Its interaction with proteins such as inhibin and activin affects its secretion and action. Therapies targeting FSH levels or its signaling pathways can be pivotal in managing these reproductive disorders highlighting its clinical significance.

Product protocols

For this product, it's our understanding that no specific protocols are required. You can visit:

Target data

Together with the alpha chain CGA constitutes follitropin, the follicle-stimulating hormone, and provides its biological specificity to the hormone heterodimer. Binds FSHR, a G protein-coupled receptor, on target cells to activate downstream signaling pathways (PubMed : 24692546, PubMed : 2494176). Follitropin is involved in follicle development and spermatogenesis in reproductive organs (PubMed : 407105, PubMed : 8220432).
See full target information FSHB

Additional targets

FSH beta

Publications (4)

Recent publications for all applications. Explore the full list and refine your search

Frontiers in endocrinology 16:1579031 PubMed40405980

2025

Interstitial fluid transport in linea alba is involved in acupuncture-induced attenuation of ovarian hypofunction in aged rats.

Applications

Unspecified application

Species

Unspecified reactive species

Yaoyao Zhu,Ge Lu,Weixin Li,Chenchen Su,Pengfei Du,Shuyou Wang,Li Yang,Huanfang Xu,Yigong Fang,Xiaojing Song

International journal of molecular sciences 25: PubMed38731915

2024

Single-Cell Transcriptional Profile Construction of Rat Pituitary Glands before and after Sexual Maturation and Identification of Novel Marker in Gonadotropes.

Applications

Unspecified application

Species

Unspecified reactive species

Qing-Hua Huang,Guo-Kun Zhao,Hao-Qi Wang,Fan-Hao Wei,Jin-Yu Zhang,Jia-Bao Zhang,Fei Gao,Bao Yuan

FASEB journal : official publication of the Federation of American Societies for Experimental Biology 38:e23469 PubMed38358361

2024

EGF-driven EGFR/miR-27b-3p/FOXO1 promotes rat FSH synthesis and secretion.

Applications

Unspecified application

Species

Unspecified reactive species

Yi-Ran Ma,Wei Gao,Hao-Qi Wang,Pei-Sen Zhao,Yu-Xin Zhang,Fan-Hao Wei,Hao Jiang,Jia-Bao Zhang,Bao Yuan,Fei Gao

Cell reports. Medicine 4:100934 PubMed36754052

2023

Single-cell sequencing identifies differentiation-related markers for molecular classification and recurrence prediction of PitNET.

Applications

Unspecified application

Species

Unspecified reactive species

Qilin Zhang,Boyuan Yao,Xin Long,Zhengyuan Chen,Min He,Yue Wu,Nidan Qiao,Zengyi Ma,Zhao Ye,Yichao Zhang,Shun Yao,Ye Wang,Haixia Cheng,Hong Chen,Hongying Ye,Yongfei Wang,Yimin Li,Jianhua Chen,Zhaoyun Zhang,Fan Guo,Yao Zhao
View all publications

Product promise

We are committed to supporting your work with high-quality reagents, and we're here for you every step of the way. In the unlikely event that one of our products does not perform as expected, you're protected by our Product Promise.
For full details, please see our Terms & Conditions

Please note: All products are 'FOR RESEARCH USE ONLY. NOT FOR USE IN DIAGNOSTIC OR THERAPEUTIC PROCEDURES'.

For licensing inquiries, please contact partnerships@abcam.com