JavaScript is disabled in your browser. Please enable JavaScript to view this website.
AB232761

Anti-FSTL3 antibody

Be the first to review this product! Submit a review

|

(2 Publications)

Rabbit Polyclonal FSTL3 antibody. Suitable for WB, IHC-P and reacts with Mouse samples. Cited in 2 publications. Immunogen corresponding to Recombinant Full Length Protein corresponding to Mouse Fstl3.

View Alternative Names

Flrg, Fstl3, Follistatin-related protein 3, Follistatin-like protein 3, Follistatin-related gene protein

3 Images
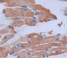
Immunohistochemistry (Formalin/PFA-fixed paraffin-embedded sections) - Anti-FSTL3 antibody (AB232761)
  • IHC-P

Supplier Data

Immunohistochemistry (Formalin/PFA-fixed paraffin-embedded sections) - Anti-FSTL3 antibody (AB232761)

Formalin-fixed, paraffin-embedded mouse heart tissue stained for FSTL3 using ab232761 at 20 μg/ml in immunohistochemical analysis. DAB staining.

Western blot - Anti-FSTL3 antibody (AB232761)
  • WB

Supplier Data

Western blot - Anti-FSTL3 antibody (AB232761)

All lanes:

Western blot - Anti-FSTL3 antibody (ab232761) at 2 µg/mL

All lanes:

Mouse lung lysate

Predicted band size: 28 kDa

false

Western blot - Anti-FSTL3 antibody (AB232761)
  • WB

Supplier Data

Western blot - Anti-FSTL3 antibody (AB232761)

All lanes:

Western blot - Anti-FSTL3 antibody (ab232761) at 2 µg/mL

All lanes:

Recombinant mouse FSTL3 protein

Predicted band size: 28 kDa

false

Key facts

Host species

Rabbit

Clonality

Polyclonal

Isotype

IgG

Carrier free

No

Reacts with

Mouse

Applications

WB, IHC-P

applications

Immunogen

Recombinant Full Length Protein corresponding to Mouse Fstl3.

Q9EQC7

Reactivity data

{ "title": "Reactivity Data", "filters": { "stats": ["", "Species", "Dilution Info", "Notes"], "tabs": { "all-applications": {"fullname" : "All Applications", "shortname": "All Applications"}, "WB" : {"fullname" : "Western blot", "shortname":"WB"}, "IHCP" : {"fullname" : "Immunohistochemistry (Formalin/PFA-fixed paraffin-embedded sections)", "shortname":"IHC-P"} }, "product-promise": { "all": "all", "testedAndGuaranteed": "tested", "guaranteed": "expected", "predicted": "predicted", "notRecommended": "not-recommended" } }, "values": { "Mouse": { "WB-species-checked": "testedAndGuaranteed", "WB-species-dilution-info": "0.2-2 µg/mL", "WB-species-notes": "<p></p>", "IHCP-species-checked": "testedAndGuaranteed", "IHCP-species-dilution-info": "5-20 µg/mL", "IHCP-species-notes": "<p></p>" }, "Rat": { "WB-species-checked": "predicted", "WB-species-dilution-info": "", "WB-species-notes": "", "IHCP-species-checked": "predicted", "IHCP-species-dilution-info": "", "IHCP-species-notes": "" } } }

Properties and storage information

Form
Liquid
Purification technique
Affinity purification Immunogen
Purification notes
Antigen-specific affinity chromatography followed by Protein A affinity chromatography.
Storage buffer
pH: 7.4 Preservative: 0.011% Proclin 300 Constituents: PBS, 55.77% Glycerol (glycerin, glycerine)
Shipped at conditions
Blue Ice
Appropriate short-term storage duration
1-2 weeks
Appropriate short-term storage conditions
+4°C
Appropriate long-term storage conditions
-20°C
Aliquoting information
Upon delivery aliquot
Storage information
Avoid freeze / thaw cycle

Supplementary information

This supplementary information is collated from multiple sources and compiled automatically.

The protein FSTL3 also known as Follistatin-like 3 has a molecular mass of approximately 26 kDa. Mechanically FSTL3 acts by binding and neutralizing specific members of the TGF-beta superfamily influencing cellular processes like growth differentiation and apoptosis. It is mostly expressed in tissues such as the placenta pancreas and muscle where it plays a role in various developmental and physiological events.
Biological function summary

FSTL3 serves an important function in regulating cellular dynamics by modulating activity of ligands in the TGF-beta signaling pathway. It forms a complex with activins and other growth factors to inhibit their signaling capabilities. This interaction is key in processes like managing fetal development ensuring proper organogenesis and maintaining metabolic activities.

Pathways

Extensive research places FSTL3 within the TGF-beta signaling pathway and the insulin-like growth factor (IGF) system. These pathways are critical for managing cellular growth and metabolism. FSTL3 interacts with proteins such as activins and inhibins which share roles in regulating cell proliferation and differentiation linking FSTL3 directly to these essential cellular pathways.

FSTL3 links to pathologies like type 2 diabetes and muscle wasting. FSTL3 influences insulin signaling therefore its dysregulation can contribute to insulin resistance a hallmark of type 2 diabetes. It also associates with muscle protein wasting through its interaction with activin suggesting a potential therapeutic target in conditions like cachexia.

Product protocols

For this product, it's our understanding that no specific protocols are required. You can visit:

Target data

The secreted form is a binding and antagonizing protein for members of the TGF-beta family, such as activin, BMP2 and MSTN. Inhibits activin A-, activin B-, BMP2- and MSDT-induced cellular signaling; more effective on activin A than on activin B. Involved in bone formation; inhibits osteoclast differentiation. Involved in hematopoiesis; involved in differentiation of hemopoietic progenitor cells, increases hematopoietic cell adhesion to fibronectin and seems to contribute to the adhesion of hematopoietic precursor cells to the bone marrow stroma. The nuclear form is probably involved in transcriptional regulation via interaction with MLLT10 (By similarity).
See full target information Fstl3

Publications (2)

Recent publications for all applications. Explore the full list and refine your search

Frontiers in pharmacology 14:1127931 PubMed37006994

2023

Kumatakenin inhibited iron-ferroptosis in epithelial cells from colitis mice by regulating the Eno3-IRP1-axis.

Applications

Unspecified application

Species

Unspecified reactive species

Arenbaoligao,Xinrui Guo,Jiahao Xiong,Shuangshuang Zhang,Yuewen Yang,Dapeng Chen,Yu Xie

Aging 13:20302-20318 PubMed34425560

2021

Regulation of follistatin-like 3 expression by miR-486-5p modulates gastric cancer cell proliferation, migration and tumor progression.

Applications

Unspecified application

Species

Unspecified reactive species

Zhou-Tong Dai,Yuan Xiang,Xiao-Yu Zhang,Qi-Bei Zong,Qi-Fang Wu,You Huang,Chao Shen,Jia-Peng Li,Sreenivasan Ponnambalam,Xing-Hua Liao
View all publications

Product promise

We are committed to supporting your work with high-quality reagents, and we're here for you every step of the way. In the unlikely event that one of our products does not perform as expected, you're protected by our Product Promise.
For full details, please see our Terms & Conditions

Please note: All products are 'FOR RESEARCH USE ONLY. NOT FOR USE IN DIAGNOSTIC OR THERAPEUTIC PROCEDURES'.

For licensing inquiries, please contact partnerships@abcam.com