JavaScript is disabled in your browser. Please enable JavaScript to view this website.
AB280081

Anti-FTO antibody [EPR24440-12]

  • 20ul selling size
  • RabMAb
  • Recombinant
  • KO Validated
  • What is this?

Be the first to review this product! Submit a review

|

(16 Publications)

Rabbit Recombinant Monoclonal FTO antibody. Suitable for ICC/IF, Flow Cyt (Intra), WB and reacts with Mouse, Rat, Human samples. Cited in 16 publications.

View Alternative Names

KIAA1752, FTO, Alpha-ketoglutarate-dependent dioxygenase FTO, Fat mass and obesity-associated protein, U6 small nuclear RNA (2'-O-methyladenosine-N(6)-)-demethylase FTO, U6 small nuclear RNA N(6)-methyladenosine-demethylase FTO, mRNA (2'-O-methyladenosine-N(6)-)-demethylase FTO, mRNA N(6)-methyladenosine demethylase FTO, tRNA N1-methyl adenine demethylase FTO, m6A(m)-demethylase FTO

6 Images
Immunocytochemistry/ Immunofluorescence - Anti-FTO antibody [EPR24440-12] (AB280081)
  • ICC/IF

Supplier Data

Immunocytochemistry/ Immunofluorescence - Anti-FTO antibody [EPR24440-12] (AB280081)

Immunofluorescent analysis of 4% Paraformaldehyde-fixed, 0.1% TritonX-100 permeabilized NIH/3T3 cells labelling FTO with ab280081 at 1/50 (11.98 ug/ml) dilution, followed by ab150077 Goat Anti-Rabbit IgG H&L (Alexa Fluor® 488) antibody at 1/1000 dilution (Green). Confocal image showing nuclear and weak cytoplasmic staining in NIH/3T3 cell line is observed.

ab195889 Anti-alpha Tubulin mouse monoclonal antibody - Microtubule Marker (Alexa Fluor® 594) was used to counterstain tubulin at 1/200 dilution (Red). The Nuclear counterstain was DAPI (Blue).

Secondary antibody only control : Secondary antibody is ab150077 Goat Anti-Rabbit IgG H&L (Alexa Fluor® 488) at 1/1000 dilution.

Flow Cytometry (Intracellular) - Anti-FTO antibody [EPR24440-12] (AB280081)
  • Flow Cyt (Intra)

Supplier Data

Flow Cytometry (Intracellular) - Anti-FTO antibody [EPR24440-12] (AB280081)

Flow cytometric analysis of 4% paraformaldehyde fixed 90% methanol permeabilized NIH/3T3 (Mouse embryonic fibroblast) cells labelling FTO with ab280081 at 1/500 dilution (0.1ug)/ (Red) compared with a Rabbit monoclonal IgG (ab172730) (Black) isotype control and an unlabelled control (cells without incubation with primary antibody and secondary antibody) (Blue). A Goat anti rabbit IgG (Alexa Fluor® 488, ab150077) at 1/2000 dilution was used as the secondary antibody.

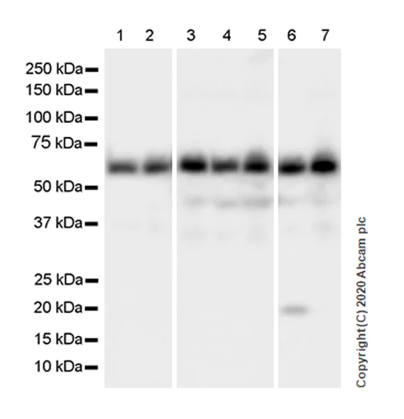
Western blot - Anti-FTO antibody [EPR24440-12] (AB280081)
  • WB

Lab

Western blot - Anti-FTO antibody [EPR24440-12] (AB280081)

Blocking and diluting buffer and concentration : 5% NFDM/TBST

Exposure time : Lanes 1-2 : 15 seconds; Lanes 3-5 : 6 seconds; Lanes : 6-7 : 15 seconds.

All lanes:

Western blot - Anti-FTO antibody [EPR24440-12] (ab280081) at 1/1000 dilution

Lane 1:

NIH/3T3 (mouse embryonic fibroblast) whole cell lysate at 20 µg

Lane 2:

C2C12 (mouse myoblasts myoblast) whole cell lysate at 20 µg

Lane 3:

HEK-293 (human embryonic kidney epithelial cell) whole cell lysate at 20 µg

Lane 4:

HeLa (human cervix adenocarcinoma epithelial cell) whole cell lysate at 20 µg

Lane 5:

HAP1 (human chronic myelogenous leukemia near-haploid cell line) whole cell lysate at 20 µg

Lane 6:

PC-12 (rat adrenal gland pheochromocytoma) whole cell lysate at 20 µg

Lane 7:

L6 (rat skeletal muscle myoblast) whole cell lysate at 20 µg

Secondary

All lanes:

Western blot - Goat Anti-Rabbit IgG H&L (HRP) (<a href='/en-us/products/secondary-antibodies/goat-rabbit-igg-h-l-hrp-ab97051'>ab97051</a>) at 1/50000 dilution

Predicted band size: 58 kDa

Observed band size: 60 kDa

false

Western blot - Anti-FTO antibody [EPR24440-12] (AB280081)
  • WB

Lab

Western blot - Anti-FTO antibody [EPR24440-12] (AB280081)

Blocking and diluting buffer and concentration : 5% NFDM/TBST

Exposure time : 3 minutes.

All lanes:

Western blot - Anti-FTO antibody [EPR24440-12] (ab280081) at 1/1000 dilution

Lane 1:

Mouse brain tissue lysate at 20 µg

Lane 2:

Mouse heart tissue lysate at 20 µg

Lane 3:

Rat brain tissue lysate at 20 µg

Secondary

All lanes:

Western blot - Goat Anti-Rabbit IgG H&L (HRP) (<a href='/en-us/products/secondary-antibodies/goat-rabbit-igg-h-l-hrp-ab97051'>ab97051</a>) at 1/50000 dilution

Predicted band size: 58 kDa

Observed band size: 60 kDa

false

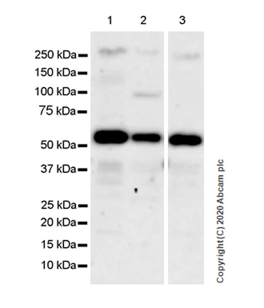
Western blot - Anti-FTO antibody [EPR24440-12] (AB280081)
  • WB

Lab

Western blot - Anti-FTO antibody [EPR24440-12] (AB280081)

Blocking and diluting buffer and concentration : 5% NFDM/TBST

Exposure time : Lanes 1-2 : 15 seconds;Lane 3 : 48 seconds.

All lanes:

Western blot - Anti-FTO antibody [EPR24440-12] (ab280081) at 1/1000 dilution

Lane 1:

Human lung tissue lysate 20 at 20 µg

Lane 2:

Human kidney tissue lysate at 20 µg

Lane 3:

Human skeletal muscle tissue lysate at 20 µg

Secondary

All lanes:

Western blot - VeriBlot for IP Detection Reagent (HRP) (<a href='/en-us/products/reagents/veriblot-for-ip-detection-reagent-hrp-ab131366'>ab131366</a>) at 1/1000 dilution

Predicted band size: 58 kDa

Observed band size: 60 kDa

false

Western blot - Anti-FTO antibody [EPR24440-12] (AB280081)
  • WB

Lab

Western blot - Anti-FTO antibody [EPR24440-12] (AB280081)

Blocking and diluting buffer and concentration : 3% NFDM/TBST

Lanes 1-3 : Merged signal (red and green). Green - ab280081 observed at 60 kDa. Red - loading control ab8245 observed at 36 kDa.

ab280081 Anti-FTO antibody [EPR24440-12] was shown to specifically react with FTO in wild-type HAP1 cells. Loss of signal was observed when the knockout cell line was used. Wild-type and FTO knockout samples were subjected to SDS-PAGE. ab280081 and Anti-GAPDH antibody [6C5] - Loading Control (ab8245) were incubated at 4℃ overnight at 1 in 1000 dilution and 1 in 20000 dilution respectively. Blots were developed with Goat anti-Rabbit IgG H&L (IRDye® 800CW) preadsorbed (ab216773) and Goat anti-Mouse IgG H&L (IRDye® 680RD) preadsorbed (ab216776) secondary antibodies at 1 in 10000 dilution for 1 hour at room temperature before imaging.

All lanes:

Western blot - Anti-FTO antibody [EPR24440-12] (ab280081) at 1/1000 dilution

Lane 1:

Wild-type HAP1 (human chronic myelogenous leukemia near-haploid cell) whole cell lysate at 20 µg

Lane 2:

FTO knockout HAP1 (human chronic myelogenous leukemia near-haploid cell) whole cell lysate at 20 µg

Lane 3:

HEK-293 (human embryonic kidney epithelial cell) whole cell lysate at 20 µg

Secondary

All lanes:

Goat Anti-Rabbit IgG H&L (IRDye® 800CW) (<a href='/en-us/products/secondary-antibodies/goat-rabbit-igg-h-l-irdye-800cw-preadsorbed-ab216773'>ab216773</a>) and Goat Anti-Mouse IgG H&L (IRDye® 680RD) (<a href='/en-us/products/secondary-antibodies/goat-mouse-igg-h-l-irdye-680rd-preadsorbed-ab216776'>ab216776</a>) at 1/10000 dilution

Predicted band size: 58 kDa

Observed band size: 60 kDa

false

  • Carrier free

    Anti-FTO antibody [EPR24440-12] - BSA and Azide free

Key facts

Host species

Rabbit

Clonality

Monoclonal

Clone number

EPR24440-12

Isotype

IgG

Carrier free

No

Reacts with

Human, Mouse, Rat

Applications

WB, Flow Cyt (Intra), ICC/IF

applications

Immunogen

The exact immunogen used to generate this antibody is proprietary information.

Reactivity data

{ "title": "Reactivity Data", "filters": { "stats": ["", "Species", "Dilution Info", "Notes"], "tabs": { "all-applications": {"fullname" : "All Applications", "shortname": "All Applications"}, "ICCIF" : {"fullname" : "Immunocytochemistry/ Immunofluorescence", "shortname":"ICC/IF"}, "IP" : {"fullname" : "Immunoprecipitation", "shortname":"IP"}, "FlowCytIntra" : {"fullname" : "Flow Cytometry (Intracellular)", "shortname":"Flow Cyt (Intra)"}, "WB" : {"fullname" : "Western blot", "shortname":"WB"}, "IHCP" : {"fullname" : "Immunohistochemistry (Formalin/PFA-fixed paraffin-embedded sections)", "shortname":"IHC-P"} }, "product-promise": { "all": "all", "testedAndGuaranteed": "tested", "guaranteed": "expected", "predicted": "predicted", "notRecommended": "not-recommended" } }, "values": { "Human": { "ICCIF-species-checked": "notRecommended", "ICCIF-species-dilution-info": "1/50", "ICCIF-species-notes": "<p></p>", "IP-species-checked": "notRecommended", "IP-species-dilution-info": "", "IP-species-notes": "<p></p>", "FlowCytIntra-species-checked": "guaranteed", "FlowCytIntra-species-dilution-info": "", "FlowCytIntra-species-notes": "", "WB-species-checked": "testedAndGuaranteed", "WB-species-dilution-info": "1/1000", "WB-species-notes": "<p></p>", "IHCP-species-checked": "notRecommended", "IHCP-species-dilution-info": "", "IHCP-species-notes": "<p></p>" }, "Mouse": { "ICCIF-species-checked": "testedAndGuaranteed", "ICCIF-species-dilution-info": "1/50", "ICCIF-species-notes": "<p></p>", "IP-species-checked": "notRecommended", "IP-species-dilution-info": "", "IP-species-notes": "<p></p>", "FlowCytIntra-species-checked": "testedAndGuaranteed", "FlowCytIntra-species-dilution-info": "1/500", "FlowCytIntra-species-notes": "<p></p>", "WB-species-checked": "testedAndGuaranteed", "WB-species-dilution-info": "1/1000", "WB-species-notes": "<p></p>", "IHCP-species-checked": "notRecommended", "IHCP-species-dilution-info": "", "IHCP-species-notes": "<p></p>" }, "Rat": { "ICCIF-species-checked": "guaranteed", "ICCIF-species-dilution-info": "", "ICCIF-species-notes": "", "IP-species-checked": "notRecommended", "IP-species-dilution-info": "", "IP-species-notes": "<p></p>", "FlowCytIntra-species-checked": "guaranteed", "FlowCytIntra-species-dilution-info": "", "FlowCytIntra-species-notes": "", "WB-species-checked": "testedAndGuaranteed", "WB-species-dilution-info": "1/1000", "WB-species-notes": "<p></p>", "IHCP-species-checked": "notRecommended", "IHCP-species-dilution-info": "", "IHCP-species-notes": "<p></p>" } } }

Product details

Patented technology
Our RabMAb® technology is a patented hybridoma-based technology for making rabbit monoclonal antibodies. For details on our patents, please refer to RabMAb® patents.

What are the advantages of a recombinant monoclonal antibody?
This product is a recombinant monoclonal antibody, which offers several advantages including:

  • - High batch-to-batch consistency and reproducibility
  • - Improved sensitivity and specificity
  • - Long-term security of supply
  • - Animal-free batch production

For more information, read more on recombinant antibodies.

Properties and storage information

Form
Liquid
Purification technique
Affinity purification Protein A
Storage buffer
pH: 7.2 - 7.4 Preservative: 0.01% Sodium azide Constituents: PBS, 40% Glycerol (glycerin, glycerine), 0.05% BSA
Shipped at conditions
Blue Ice
Appropriate short-term storage duration
1-2 weeks
Appropriate short-term storage conditions
+4°C
Appropriate long-term storage conditions
-20°C
Aliquoting information
Upon delivery aliquot
Storage information
Avoid freeze / thaw cycle

Supplementary information

This supplementary information is collated from multiple sources and compiled automatically.

The FTO protein also referred to as Alpha-Ketoglutarate-Dependent Dioxygenase or Fat Mass and Obesity-Associated protein functions as an enzyme involved in demethylating nucleic acids specifically N6-methyladenosine (m6A) in RNA. This process impacts RNA stability and translation. FTO has a molecular weight of approximately 58 kDa. Higher expression levels of FTO are found in the brain including the hypothalamus which is an area known for regulating energy balance and appetite.
Biological function summary

FTO influences energy homeostasis and adipogenesis. It acts as an important player in metabolic regulation and gene expression by modulating the m6A RNA modification. While FTO operates largely on its own its demethylation activity may interact with other RNA binding proteins that recognize m6A-modified RNAs integrating it into larger regulatory frameworks for RNA metabolism and cellular responses.

Pathways

FTO is an important component in the regulation of energy balance and metabolism. The protein is closely associated with the mTOR signaling pathway which is essential for controlling cell growth proliferation and survival in response to nutrient availability. FTO also interacts with the leptin signaling pathway relating to its role in appetite regulation and energy expenditure.

FTO has significant connections to obesity and Type 2 diabetes. Genetic variants within the FTO gene correlate with risk for these conditions linking its enzymatic activity to alterations in energy balance and insulin sensitivity. FTO's role in Type 2 diabetes also highlights its interaction with insulin signaling proteins demonstrating its broader influence on glucose metabolism.

Product protocols

For this product, it's our understanding that no specific protocols are required. You can visit:

Target data

RNA demethylase that mediates oxidative demethylation of different RNA species, such as mRNAs, tRNAs and snRNAs, and acts as a regulator of fat mass, adipogenesis and energy homeostasis (PubMed : 22002720, PubMed : 25452335, PubMed : 26457839, PubMed : 26458103, PubMed : 28002401, PubMed : 30197295). Specifically demethylates N(6)-methyladenosine (m6A) RNA, the most prevalent internal modification of messenger RNA (mRNA) in higher eukaryotes (PubMed : 22002720, PubMed : 25452335, PubMed : 26457839, PubMed : 26458103, PubMed : 30197295). M6A demethylation by FTO affects mRNA expression and stability (PubMed : 30197295). Also able to demethylate m6A in U6 small nuclear RNA (snRNA) (PubMed : 30197295). Mediates demethylation of N(6),2'-O-dimethyladenosine cap (m6A(m)), by demethylating the N(6)-methyladenosine at the second transcribed position of mRNAs and U6 snRNA (PubMed : 28002401, PubMed : 30197295). Demethylation of m6A(m) in the 5'-cap by FTO affects mRNA stability by promoting susceptibility to decapping (PubMed : 28002401). Also acts as a tRNA demethylase by removing N(1)-methyladenine from various tRNAs (PubMed : 30197295). Has no activity towards 1-methylguanine (PubMed : 20376003). Has no detectable activity towards double-stranded DNA (PubMed : 20376003). Also able to repair alkylated DNA and RNA by oxidative demethylation : demethylates single-stranded RNA containing 3-methyluracil, single-stranded DNA containing 3-methylthymine and has low demethylase activity towards single-stranded DNA containing 1-methyladenine or 3-methylcytosine (PubMed : 18775698, PubMed : 20376003). Ability to repair alkylated DNA and RNA is however unsure in vivo (PubMed : 18775698, PubMed : 20376003). Involved in the regulation of fat mass, adipogenesis and body weight, thereby contributing to the regulation of body size and body fat accumulation (PubMed : 18775698, PubMed : 20376003). Involved in the regulation of thermogenesis and the control of adipocyte differentiation into brown or white fat cells (PubMed : 26287746). Regulates activity of the dopaminergic midbrain circuitry via its ability to demethylate m6A in mRNAs (By similarity). Plays an oncogenic role in a number of acute myeloid leukemias by enhancing leukemic oncogene-mediated cell transformation : acts by mediating m6A demethylation of target transcripts such as MYC, CEBPA, ASB2 and RARA, leading to promote their expression (PubMed : 28017614, PubMed : 29249359).
See full target information FTO

Publications (16)

Recent publications for all applications. Explore the full list and refine your search

Cell & bioscience 15:124 PubMed40877964

2025

Enriched environment inhibits GLT-1 ubiquitination by downregulating SMURF1 to attenuate ischemic brain injury induced excitotoxicity.

Applications

Unspecified application

Species

Unspecified reactive species

Yi Zhang,Wen Liu,Tao Huang,Lingling Liu,Xiuping Chen

BMC pharmacology & toxicology 26:79 PubMed40211323

2025

Saikosaponin D inhibits the inflammatory response of secretory otitis media through FTO-mediated N-methyladenosine modification of TLR4 mRNA.

Applications

Unspecified application

Species

Unspecified reactive species

Minjing Yin,Xiuli Han

FASEB journal : official publication of the Federation of American Societies for Experimental Biology 39:e70332 PubMed39831513

2025

m6A demethylase Fto inhibited macrophage activation and glycolysis in diabetic nephropathy via m6A/Npas2/Hif-1α axis.

Applications

Unspecified application

Species

Unspecified reactive species

Sai Zhu,Ling Jiang,Xinran Liu,Chaoyi Chen,Xiaomei Luo,Shan Jiang,Jiuyu Yin,Xueqi Liu,Yonggui Wu

Investigative ophthalmology & visual science 65:9 PubMed39504046

2024

Silencing METTL3 Increases HSP70 Expression and Alleviates Fibrosis in Keratocytes.

Applications

Unspecified application

Species

Unspecified reactive species

Yapeng Jing,Jun Li,Peng Hao,Shulei Xing,Xuan Li

Discover oncology 15:182 PubMed38782769

2024

GAS5 regulated by FTO-mediated m6A modification suppresses cell proliferation via the IGF2BP2/QKI axis in breast cancer.

Applications

Unspecified application

Species

Unspecified reactive species

Yuzhao Yan,Jing Ma,Qingqiu Chen,Ting Zhang,Rui Fan,Junze Du

BMC biology 22:104 PubMed38702712

2024

GnRH-driven FTO-mediated RNA mA modification promotes gonadotropin synthesis and secretion.

Applications

Unspecified application

Species

Unspecified reactive species

Hao-Qi Wang,Yi-Ran Ma,Yu-Xin Zhang,Fan-Hao Wei,Yi Zheng,Zhong-Hao Ji,Hai-Xiang Guo,Tian Wang,Jia-Bao Zhang,Bao Yuan

Cancer cell international 24:121 PubMed38555451

2024

β-hydroxybutyrate inhibits malignant phenotypes of prostate cancer cells through β-hydroxybutyrylation of indoleacetamide-N-methyltransferase.

Applications

Unspecified application

Species

Unspecified reactive species

Yifan Zhang,Yunlong Li

Cardiovascular diagnosis and therapy 14:158-173 PubMed38434564

2024

The mA demethylase fat mass and obesity-associated protein mitigates pyroptosis and inflammation in doxorubicin-induced heart failure via the toll-like receptor 4/NF-κB pathway.

Applications

Unspecified application

Species

Unspecified reactive species

Weiling Tu,Xiao Huang,Songtao Liu,Yuliang Zhan,Xinyong Cai,Liang Shao

CNS neuroscience & therapeutics 30:e14636 PubMed38430221

2024

Fat mass and obesity associated protein inhibits neuronal ferroptosis via the FYN/Drp1 axis and alleviate cerebral ischemia/reperfusion injury.

Applications

Unspecified application

Species

Unspecified reactive species

Yi Zhang,Xin Gong

PeerJ 12:e16740 PubMed38274331

2024

Regulation of lipid metabolism by APOE4 in intrahepatic cholangiocarcinoma the enhancement of ABCA1 membrane expression.

Applications

Unspecified application

Species

Unspecified reactive species

Liqiang Qian,Gang Wang,Bin Li,Haoyuan Su,Lei Qin
View all publications

Product promise

We are committed to supporting your work with high-quality reagents, and we're here for you every step of the way. In the unlikely event that one of our products does not perform as expected, you're protected by our Product Promise.
For full details, please see our Terms & Conditions

Please note: All products are 'FOR RESEARCH USE ONLY. NOT FOR USE IN DIAGNOSTIC OR THERAPEUTIC PROCEDURES'.

For licensing inquiries, please contact partnerships@abcam.com