JavaScript is disabled in your browser. Please enable JavaScript to view this website.
AB240021

Anti-FTO antibody [EPR6894] - BSA and Azide free

Be the first to review this product! Submit a review

|

(1 Publication)

Knockout Tested Rabbit Recombinant Monoclonal FTO antibody. Carrier free. Suitable for WB, ICC/IF, IHC-P and reacts with Human samples. Cited in 1 publication.

View Alternative Names

KIAA1752, FTO, Alpha-ketoglutarate-dependent dioxygenase FTO, Fat mass and obesity-associated protein, U6 small nuclear RNA (2'-O-methyladenosine-N(6)-)-demethylase FTO, U6 small nuclear RNA N(6)-methyladenosine-demethylase FTO, mRNA (2'-O-methyladenosine-N(6)-)-demethylase FTO, mRNA N(6)-methyladenosine demethylase FTO, tRNA N1-methyl adenine demethylase FTO, m6A(m)-demethylase FTO

5 Images
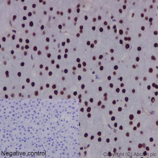
Immunohistochemistry (Formalin/PFA-fixed paraffin-embedded sections) - Anti-FTO antibody [EPR6894] - BSA and Azide free (AB240021)
  • IHC-P

Lab

Immunohistochemistry (Formalin/PFA-fixed paraffin-embedded sections) - Anti-FTO antibody [EPR6894] - BSA and Azide free (AB240021)

Immunohistochemical staining of paraffin embedded human hepatocellular carcinoma with purified ab126605 at a working dilution of 1 in 500. The secondary antibody used is a HRP polymer for rabbit IgG. The sample is counter-stained with hematoxylin. Antigen retrieval was perfomed using Tris-EDTA buffer, pH 9.0. PBS was used instead of the primary antibody as the negative control, and is shown in the inset.

This data was developed using the same antibody clone in a different buffer formulation containing PBS, BSA, glycerol, and sodium azide (ab126605).

Immunocytochemistry/ Immunofluorescence - Anti-FTO antibody [EPR6894] - BSA and Azide free (AB240021)
  • ICC/IF

Lab

Immunocytochemistry/ Immunofluorescence - Anti-FTO antibody [EPR6894] - BSA and Azide free (AB240021)

Immunofluorescence staining of BxPC-3 cells with purified ab126605 at a working dilution of 1 in 250, counter-stained with DAPI. The secondary antibody was Alexa Fluor® 555 goat anti rabbit, used at a dilution of 1 in 500. The cells were fixed in 4% PFA and permeabilized using 0.1% Triton X 100. The negative control is shown in bottom right hand panel - for the negative control, purified ab126605 was used at a dilution of 1/200 followed by an Alexa Fluor® 488 goat anti-mouse antibody at a dilution of 1/500.

This data was developed using the same antibody clone in a different buffer formulation containing PBS, BSA, glycerol, and sodium azide (ab126605).

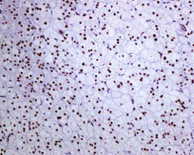
Immunohistochemistry (Formalin/PFA-fixed paraffin-embedded sections) - Anti-FTO antibody [EPR6894] - BSA and Azide free (AB240021)
  • IHC-P

Unknown

Immunohistochemistry (Formalin/PFA-fixed paraffin-embedded sections) - Anti-FTO antibody [EPR6894] - BSA and Azide free (AB240021)

Immunohistochemical staining of FTO in paraffin embedded human adrenal gland tissue using unpurified ab126605 at a 1/50 dilution.

This data was developed using the same antibody clone in a different buffer formulation containing PBS, BSA, glycerol, and sodium azide (ab126605).

Immunocytochemistry/ Immunofluorescence - Anti-FTO antibody [EPR6894] - BSA and Azide free (AB240021)
  • ICC/IF

Unknown

Immunocytochemistry/ Immunofluorescence - Anti-FTO antibody [EPR6894] - BSA and Azide free (AB240021)

Unpurified ab126605 at a 1/50 dilution staining FTO in BxPC3 cells by immunofluorescence.

This data was developed using the same antibody clone in a different buffer formulation containing PBS, BSA, glycerol, and sodium azide (ab126605).

Western blot - Anti-FTO antibody [EPR6894] - BSA and Azide free (AB240021)
  • WB

Supplier Data

Western blot - Anti-FTO antibody [EPR6894] - BSA and Azide free (AB240021)

False colour image of Western blot : Anti-FTO antibody [EPR6894] staining at 1/1000 dilution, shown in green; Mouse anti-GAPDH antibody [6C5] (ab8245) loading control staining at 1/20000 dilution, shown in red. In Western blot, ab126605 was shown to bind specifically to FTO. A band was observed at 58 kDa in wild-type MCF7 cell lysates with no signal observed at this size in FTO knockout cell line. To generate this image, wild-type and FTO knockout MCF7 cell lysates were analysed. First, samples were run on an SDS-PAGE gel then transferred onto a nitrocellulose membrane. Membranes were blocked in 3 % milk in TBS-0.1 % Tween® 20 (TBS-T) before incubation with primary antibodies overnight at 4 °C. Blots were washed four times in TBS-T, incubated with secondary antibodies for 1 h at room temperature, washed again four times then imaged. Secondary antibodies used were Goat anti-Rabbit IgG H&L 800CW and Goat anti-Mouse IgG H&L 680RD at 1/20000 dilution. This data was developed using the same antibody clone in a different buffer formulation containing PBS, BSA, glycerol, and sodium azide (ab126605).

All lanes:

Western blot - Anti-FTO antibody [EPR6894] (<a href='/en-us/products/primary-antibodies/fto-antibody-epr6894-ab126605'>ab126605</a>) at 1/1000 dilution

Lane 1:

Wild-type MCF7 cell lysate at 20 µg

Lane 2:

Western blot - Human FTO knockout MCF7 cell line (<a href='/en-us/products/cell-lines/human-fto-knockout-mcf7-cell-line-ab282631'>ab282631</a>)

Lane 2:

FTO knockout MCF7 cell lysate at 20 µg

Lane 3:

HEK-293 cell lysate at 20 µg

Lane 4:

MOLT-4 cell lysate at 20 µg

Secondary

All lanes:

Goat anti-Rabbit IgG H&L 800CW and Goat anti-Mouse IgG H&L 680RD at 1/20000 dilution

Predicted band size: 58 kDa

Observed band size: 58 kDa

false

Key facts

Host species

Rabbit

Clonality

Monoclonal

Clone number

EPR6894

Isotype

IgG

Carrier free

Yes

Reacts with

Human

Applications

WB, IHC-P, ICC/IF

applications

Immunogen

The exact immunogen used to generate this antibody is proprietary information.

Reactivity data

{ "title": "Reactivity Data", "filters": { "stats": ["", "Species", "Dilution Info", "Notes"], "tabs": { "all-applications": {"fullname" : "All Applications", "shortname": "All Applications"}, "WB" : {"fullname" : "Western blot", "shortname":"WB"}, "FlowCyt" : {"fullname" : "Flow Cytometry", "shortname":"Flow Cyt"}, "ICCIF" : {"fullname" : "Immunocytochemistry/ Immunofluorescence", "shortname":"ICC/IF"}, "IHCP" : {"fullname" : "Immunohistochemistry (Formalin/PFA-fixed paraffin-embedded sections)", "shortname":"IHC-P"} }, "product-promise": { "all": "all", "testedAndGuaranteed": "tested", "guaranteed": "expected", "predicted": "predicted", "notRecommended": "not-recommended" } }, "values": { "Human": { "WB-species-checked": "testedAndGuaranteed", "WB-species-dilution-info": "", "WB-species-notes": "<p></p>", "FlowCyt-species-checked": "notRecommended", "FlowCyt-species-dilution-info": "", "FlowCyt-species-notes": "<p><a href='/en-us/products/primary-antibodies/rabbit-igg-monoclonal-epr25a-isotype-control-low-endotoxin-azide-free-ab199376'>ab199376</a> - Rabbit monoclonal IgG, is suitable for use as an isotype control with this antibody.</p>", "ICCIF-species-checked": "testedAndGuaranteed", "ICCIF-species-dilution-info": "", "ICCIF-species-notes": "<p></p>", "IHCP-species-checked": "testedAndGuaranteed", "IHCP-species-dilution-info": "", "IHCP-species-notes": "<p></p>" } } }

Product details

ab240021 is the carrier-free version of ab126605.

Species reactivity
Mouse, Rat: We have preliminary internal testing data to indicate this antibody may not react with these species.
Please contact us for more information.

Patented technology
Our RabMAb® technology is a patented hybridoma-based technology for making rabbit monoclonal antibodies. For details on our patents, please refer to RabMAb® patents.

What are the advantages of a recombinant monoclonal antibody?
This product is a recombinant monoclonal antibody, which offers several advantages including:

  • - High batch-to-batch consistency and reproducibility
  • - Improved sensitivity and specificity
  • - Long-term security of supply
  • - Animal-free batch production

For more information, read more on recombinant antibodies.

Conjugation ready
Our carrier-free antibodies are typically supplied in a PBS-only formulation, purified and free of BSA, sodium azide and glycerol. This conjugation-ready format is designed for use with fluorochromes, metal isotopes, oligonucleotides, and enzymes, which makes them ideal for antibody labelling, functional and cell-based assays, flow-based assays (e.g. mass cytometry) and Multiplex Imaging applications.

Use our conjugation kits for antibody conjugates that are ready-to-use in as little as 20 minutes with 1 minute hands-on-time and 100% antibody recovery: available for fluorescent dyes, HRP, biotin and gold.

Compatibility
This product is compatible with the Maxpar® Antibody Labeling Kit from Fluidigm, without the need for antibody preparation. Maxpar® is a trademark of Fluidigm Canada Inc.

Properties and storage information

Form
Liquid
Purification technique
Affinity purification Protein A
Storage buffer
pH: 7.2 - 7.4 Constituents: PBS
Shipped at conditions
Blue Ice
Appropriate short-term storage conditions
+4°C
Appropriate long-term storage conditions
+4°C
Storage information
Do Not Freeze

Supplementary information

This supplementary information is collated from multiple sources and compiled automatically.

The FTO protein also referred to as Alpha-Ketoglutarate-Dependent Dioxygenase or Fat Mass and Obesity-Associated protein functions as an enzyme involved in demethylating nucleic acids specifically N6-methyladenosine (m6A) in RNA. This process impacts RNA stability and translation. FTO has a molecular weight of approximately 58 kDa. Higher expression levels of FTO are found in the brain including the hypothalamus which is an area known for regulating energy balance and appetite.
Biological function summary

FTO influences energy homeostasis and adipogenesis. It acts as an important player in metabolic regulation and gene expression by modulating the m6A RNA modification. While FTO operates largely on its own its demethylation activity may interact with other RNA binding proteins that recognize m6A-modified RNAs integrating it into larger regulatory frameworks for RNA metabolism and cellular responses.

Pathways

FTO is an important component in the regulation of energy balance and metabolism. The protein is closely associated with the mTOR signaling pathway which is essential for controlling cell growth proliferation and survival in response to nutrient availability. FTO also interacts with the leptin signaling pathway relating to its role in appetite regulation and energy expenditure.

FTO has significant connections to obesity and Type 2 diabetes. Genetic variants within the FTO gene correlate with risk for these conditions linking its enzymatic activity to alterations in energy balance and insulin sensitivity. FTO's role in Type 2 diabetes also highlights its interaction with insulin signaling proteins demonstrating its broader influence on glucose metabolism.

Product protocols

For this product, it's our understanding that no specific protocols are required. You can visit:

Target data

RNA demethylase that mediates oxidative demethylation of different RNA species, such as mRNAs, tRNAs and snRNAs, and acts as a regulator of fat mass, adipogenesis and energy homeostasis (PubMed : 22002720, PubMed : 25452335, PubMed : 26457839, PubMed : 26458103, PubMed : 28002401, PubMed : 30197295). Specifically demethylates N(6)-methyladenosine (m6A) RNA, the most prevalent internal modification of messenger RNA (mRNA) in higher eukaryotes (PubMed : 22002720, PubMed : 25452335, PubMed : 26457839, PubMed : 26458103, PubMed : 30197295). M6A demethylation by FTO affects mRNA expression and stability (PubMed : 30197295). Also able to demethylate m6A in U6 small nuclear RNA (snRNA) (PubMed : 30197295). Mediates demethylation of N(6),2'-O-dimethyladenosine cap (m6A(m)), by demethylating the N(6)-methyladenosine at the second transcribed position of mRNAs and U6 snRNA (PubMed : 28002401, PubMed : 30197295). Demethylation of m6A(m) in the 5'-cap by FTO affects mRNA stability by promoting susceptibility to decapping (PubMed : 28002401). Also acts as a tRNA demethylase by removing N(1)-methyladenine from various tRNAs (PubMed : 30197295). Has no activity towards 1-methylguanine (PubMed : 20376003). Has no detectable activity towards double-stranded DNA (PubMed : 20376003). Also able to repair alkylated DNA and RNA by oxidative demethylation : demethylates single-stranded RNA containing 3-methyluracil, single-stranded DNA containing 3-methylthymine and has low demethylase activity towards single-stranded DNA containing 1-methyladenine or 3-methylcytosine (PubMed : 18775698, PubMed : 20376003). Ability to repair alkylated DNA and RNA is however unsure in vivo (PubMed : 18775698, PubMed : 20376003). Involved in the regulation of fat mass, adipogenesis and body weight, thereby contributing to the regulation of body size and body fat accumulation (PubMed : 18775698, PubMed : 20376003). Involved in the regulation of thermogenesis and the control of adipocyte differentiation into brown or white fat cells (PubMed : 26287746). Regulates activity of the dopaminergic midbrain circuitry via its ability to demethylate m6A in mRNAs (By similarity). Plays an oncogenic role in a number of acute myeloid leukemias by enhancing leukemic oncogene-mediated cell transformation : acts by mediating m6A demethylation of target transcripts such as MYC, CEBPA, ASB2 and RARA, leading to promote their expression (PubMed : 28017614, PubMed : 29249359).
See full target information FTO

Publications (1)

Recent publications for all applications. Explore the full list and refine your search

Autophagy 19:2575-2577 PubMed37194363

2023

Knockout validation of LAMP2A antibodies for immunostaining in human cancer cells.

Applications

Unspecified application

Species

Unspecified reactive species

Xun Zhou,Vera Shirokova,Vitaliy O Kaminskyy,Eva Berenger,Elena Kochetkova,Erik Norberg,Maria Genander,Helin Vakifahmetoglu-Norberg
View all publications

Product promise

We are committed to supporting your work with high-quality reagents, and we're here for you every step of the way. In the unlikely event that one of our products does not perform as expected, you're protected by our Product Promise.
For full details, please see our Terms & Conditions

Please note: All products are 'FOR RESEARCH USE ONLY. NOT FOR USE IN DIAGNOSTIC OR THERAPEUTIC PROCEDURES'.

For licensing inquiries, please contact partnerships@abcam.com