JavaScript is disabled in your browser. Please enable JavaScript to view this website.
AB242390

Anti-FTO antibody [EPR6895] - BSA and Azide free

Be the first to review this product! Submit a review

|

(1 Publication)

Rabbit Recombinant Monoclonal FTO antibody. Carrier free. Suitable for IHC-P, WB and reacts with Human samples. Cited in 1 publication.

View Alternative Names

KIAA1752, FTO, Alpha-ketoglutarate-dependent dioxygenase FTO, Fat mass and obesity-associated protein, U6 small nuclear RNA (2'-O-methyladenosine-N(6)-)-demethylase FTO, U6 small nuclear RNA N(6)-methyladenosine-demethylase FTO, mRNA (2'-O-methyladenosine-N(6)-)-demethylase FTO, mRNA N(6)-methyladenosine demethylase FTO, tRNA N1-methyl adenine demethylase FTO, m6A(m)-demethylase FTO

6 Images
Immunohistochemistry (Formalin/PFA-fixed paraffin-embedded sections) - Anti-FTO antibody [EPR6895] - BSA and Azide free (AB242390)
  • IHC-P

Unknown

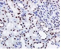
Immunohistochemistry (Formalin/PFA-fixed paraffin-embedded sections) - Anti-FTO antibody [EPR6895] - BSA and Azide free (AB242390)

ab124892, at 1/100 dilution, staining FTO in Paraffin-embedded Human kidney tissue by Immunohistochemistry.

This data was developed using the same antibody clone in a different buffer formulation containing PBS, BSA, glycerol, and sodium azide (ab124892).

Heat mediated antigen retrieval was performed before commencing with IHC staining protocol.

Immunohistochemistry (Formalin/PFA-fixed paraffin-embedded sections) - Anti-FTO antibody [EPR6895] - BSA and Azide free (AB242390)
  • IHC-P

Unknown

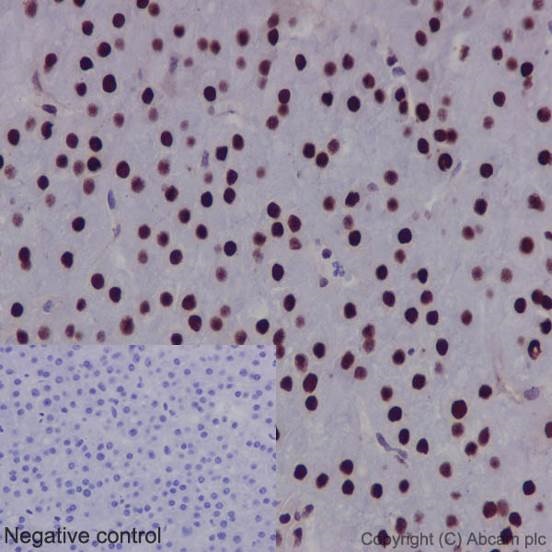
Immunohistochemistry (Formalin/PFA-fixed paraffin-embedded sections) - Anti-FTO antibody [EPR6895] - BSA and Azide free (AB242390)

Immunohistochemistry (Formalin/PFA-fixed paraffin-embedded sections) analysis of Human lung carcinoma tissue sections labeling FTO with purified ab124892 at 1 : 100 dilution (1.66 μg/ml). Heat mediated antigen retrieval was performed using ab93684 (Tris/EDTA buffer, pH 9.0). ImmunoHistoProbe one step HRP Polymer (ready to use)was used as the secondary antibody. Negative control : PBS instead of the primary antibody. Hematoxylin was used as a counterstain.

Immunohistochemistry (Formalin/PFA-fixed paraffin-embedded sections) - Anti-FTO antibody [EPR6895] - BSA and Azide free (AB242390)
  • IHC-P

Unknown

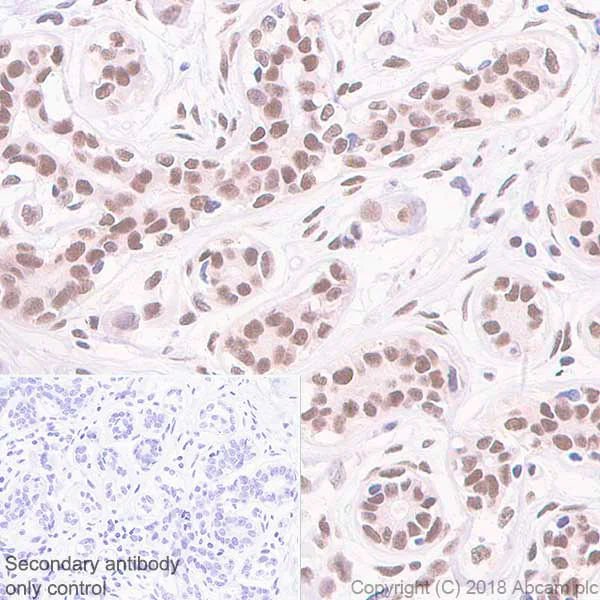
Immunohistochemistry (Formalin/PFA-fixed paraffin-embedded sections) - Anti-FTO antibody [EPR6895] - BSA and Azide free (AB242390)

Immunohistochemistry (Formalin/PFA-fixed paraffin-embedded sections) analysis of Human breast tissue sections labeling FTO with purified ab124892 at 1 : 100 dilution (1.66 μg/ml). Heat mediated antigen retrieval was performed using ab93684 (Tris/EDTA buffer, pH 9.0). ImmunoHistoProbe one step HRP Polymer (ready to use)was used as the secondary antibody. Negative control : PBS instead of the primary antibody. Hematoxylin was used as a counterstain.

Immunohistochemistry (Formalin/PFA-fixed paraffin-embedded sections) - Anti-FTO antibody [EPR6895] - BSA and Azide free (AB242390)
  • IHC-P

Unknown

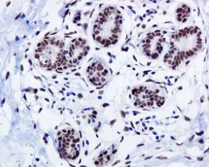
Immunohistochemistry (Formalin/PFA-fixed paraffin-embedded sections) - Anti-FTO antibody [EPR6895] - BSA and Azide free (AB242390)

ab124892, at 1/100 dilution, staining FTO in Paraffin-embedded Human Breast tissue by Immunohistochemistry.

This data was developed using the same antibody clone in a different buffer formulation containing PBS, BSA, glycerol, and sodium azide (ab124892).

Heat mediated antigen retrieval was performed before commencing with IHC staining protocol.

Western blot - Anti-FTO antibody [EPR6895] - BSA and Azide free (AB242390)
  • WB

Lab

Western blot - Anti-FTO antibody [EPR6895] - BSA and Azide free (AB242390)

Lane 1 : Wild-type HAP1 whole cell lysate (20 μg)
Lane 2 : FTO knockout HAP1 whole cell lysate (20 μg)
Lane 3 : HEK293 whole cell lysate (20 μg)
Lane 4 : MOLT4 whole cell lysate (20 μg)

Lanes 1 - 4 : Merged signal (red and green). Green - ab124892 observed at 58 kDa. Red - loading control, ab8245, observed at 37 kDa.

ab124892 was shown to specifically react with FTO in wild-type HAP1 cells. No band was observed when FTO knockout samples were examined. Wild-type and FTO knockout samples were subjected to SDS-PAGE. ab124892 and ab8245 (Mouse anti-GAPDH loading control) were incubated overnight at 4°C at a 1/1000 dilution and 1/10,000 dilution respectively. Blots were developed with Goat anti-Rabbit IgG H&L (IRDye® 800CW) preabsorbed (ab216773) and Goat anti-Mouse IgG H&L (IRDye® 680RD) preabsorbed (ab216776) secondary antibodies at 1/10,000 dilution for 1 hour at room temperature before imaging.

This data was developed using the same antibody clone in a different buffer formulation containing PBS, BSA, glycerol, and sodium azide (ab124892).

All lanes:

Western blot - Anti-FTO antibody [EPR6895] (<a href='/en-us/products/primary-antibodies/fto-antibody-epr6895-ab124892'>ab124892</a>)

Predicted band size: 58 kDa

false

OI-RD Scanning - Anti-FTO antibody [EPR6895] - BSA and Azide free (AB242390)
  • OI-RD Scanning

Unknown

OI-RD Scanning - Anti-FTO antibody [EPR6895] - BSA and Azide free (AB242390)

We have systematically measured KD (the equilibrium dissociation constant between the antibody and its antigen), of more than 840 recombinant antibodies to assess not only their individual KD values but also to see the average affinity of antibody. Based on the comparison with published literature values for mouse monoclonal antibodies, Recombinant antibodies appear to be on average 1-2 order of magnitude higher affinity.

Key facts

Host species

Rabbit

Clonality

Monoclonal

Clone number

EPR6895

Isotype

IgG

Carrier free

Yes

Reacts with

Human

Applications

WB, IHC-P

applications

Immunogen

The exact immunogen used to generate this antibody is proprietary information.

Reactivity data

{ "title": "Reactivity Data", "filters": { "stats": ["", "Species", "Dilution Info", "Notes"], "tabs": { "all-applications": {"fullname" : "All Applications", "shortname": "All Applications"}, "IHCP" : {"fullname" : "Immunohistochemistry (Formalin/PFA-fixed paraffin-embedded sections)", "shortname":"IHC-P"}, "IP" : {"fullname" : "Immunoprecipitation", "shortname":"IP"}, "FlowCyt" : {"fullname" : "Flow Cytometry", "shortname":"Flow Cyt"}, "WB" : {"fullname" : "Western blot", "shortname":"WB"}, "ICCIF" : {"fullname" : "Immunocytochemistry/ Immunofluorescence", "shortname":"ICC/IF"} }, "product-promise": { "all": "all", "testedAndGuaranteed": "tested", "guaranteed": "expected", "predicted": "predicted", "notRecommended": "not-recommended" } }, "values": { "Human": { "IHCP-species-checked": "testedAndGuaranteed", "IHCP-species-dilution-info": "", "IHCP-species-notes": "<p></p>", "IP-species-checked": "notRecommended", "IP-species-dilution-info": "", "IP-species-notes": "<p></p>", "FlowCyt-species-checked": "notRecommended", "FlowCyt-species-dilution-info": "", "FlowCyt-species-notes": "<p></p>", "WB-species-checked": "testedAndGuaranteed", "WB-species-dilution-info": "", "WB-species-notes": "<p></p>", "ICCIF-species-checked": "notRecommended", "ICCIF-species-dilution-info": "", "ICCIF-species-notes": "<p></p>" }, "Mouse": { "IHCP-species-checked": "notRecommended", "IHCP-species-dilution-info": "", "IHCP-species-notes": "<p></p>", "IP-species-checked": "notRecommended", "IP-species-dilution-info": "", "IP-species-notes": "<p></p>", "FlowCyt-species-checked": "notRecommended", "FlowCyt-species-dilution-info": "", "FlowCyt-species-notes": "<p></p>", "WB-species-checked": "notRecommended", "WB-species-dilution-info": "", "WB-species-notes": "<p></p>", "ICCIF-species-checked": "notRecommended", "ICCIF-species-dilution-info": "", "ICCIF-species-notes": "<p></p>" }, "Rat": { "IHCP-species-checked": "notRecommended", "IHCP-species-dilution-info": "", "IHCP-species-notes": "<p></p>", "IP-species-checked": "notRecommended", "IP-species-dilution-info": "", "IP-species-notes": "<p></p>", "FlowCyt-species-checked": "notRecommended", "FlowCyt-species-dilution-info": "", "FlowCyt-species-notes": "<p></p>", "WB-species-checked": "notRecommended", "WB-species-dilution-info": "", "WB-species-notes": "<p></p>", "ICCIF-species-checked": "notRecommended", "ICCIF-species-dilution-info": "", "ICCIF-species-notes": "<p></p>" } } }

Product details

ab242390 is the carrier-free version of ab124892.

Patented technology
Our RabMAb® technology is a patented hybridoma-based technology for making rabbit monoclonal antibodies. For details on our patents, please refer to RabMAb® patents.

What are the advantages of a recombinant monoclonal antibody?
This product is a recombinant monoclonal antibody, which offers several advantages including:

  • - High batch-to-batch consistency and reproducibility
  • - Improved sensitivity and specificity
  • - Long-term security of supply
  • - Animal-free batch production

For more information, read more on recombinant antibodies.

Conjugation ready
Our carrier-free antibodies are typically supplied in a PBS-only formulation, purified and free of BSA, sodium azide and glycerol. This conjugation-ready format is designed for use with fluorochromes, metal isotopes, oligonucleotides, and enzymes, which makes them ideal for antibody labelling, functional and cell-based assays, flow-based assays (e.g. mass cytometry) and Multiplex Imaging applications.

Use our conjugation kits for antibody conjugates that are ready-to-use in as little as 20 minutes with 1 minute hands-on-time and 100% antibody recovery: available for fluorescent dyes, HRP, biotin and gold.

Compatibility
This product is compatible with the Maxpar® Antibody Labeling Kit from Fluidigm, without the need for antibody preparation. Maxpar® is a trademark of Fluidigm Canada Inc.

Properties and storage information

Form
Liquid
Purification technique
Affinity purification Protein A
Storage buffer
pH: 7.2 - 7.4 Constituents: PBS
Shipped at conditions
Blue Ice
Appropriate short-term storage conditions
+4°C
Appropriate long-term storage conditions
+4°C
Storage information
Do Not Freeze

Supplementary information

This supplementary information is collated from multiple sources and compiled automatically.

The FTO protein also referred to as Alpha-Ketoglutarate-Dependent Dioxygenase or Fat Mass and Obesity-Associated protein functions as an enzyme involved in demethylating nucleic acids specifically N6-methyladenosine (m6A) in RNA. This process impacts RNA stability and translation. FTO has a molecular weight of approximately 58 kDa. Higher expression levels of FTO are found in the brain including the hypothalamus which is an area known for regulating energy balance and appetite.
Biological function summary

FTO influences energy homeostasis and adipogenesis. It acts as an important player in metabolic regulation and gene expression by modulating the m6A RNA modification. While FTO operates largely on its own its demethylation activity may interact with other RNA binding proteins that recognize m6A-modified RNAs integrating it into larger regulatory frameworks for RNA metabolism and cellular responses.

Pathways

FTO is an important component in the regulation of energy balance and metabolism. The protein is closely associated with the mTOR signaling pathway which is essential for controlling cell growth proliferation and survival in response to nutrient availability. FTO also interacts with the leptin signaling pathway relating to its role in appetite regulation and energy expenditure.

FTO has significant connections to obesity and Type 2 diabetes. Genetic variants within the FTO gene correlate with risk for these conditions linking its enzymatic activity to alterations in energy balance and insulin sensitivity. FTO's role in Type 2 diabetes also highlights its interaction with insulin signaling proteins demonstrating its broader influence on glucose metabolism.

Product protocols

For this product, it's our understanding that no specific protocols are required. You can visit:

Target data

RNA demethylase that mediates oxidative demethylation of different RNA species, such as mRNAs, tRNAs and snRNAs, and acts as a regulator of fat mass, adipogenesis and energy homeostasis (PubMed : 22002720, PubMed : 25452335, PubMed : 26457839, PubMed : 26458103, PubMed : 28002401, PubMed : 30197295). Specifically demethylates N(6)-methyladenosine (m6A) RNA, the most prevalent internal modification of messenger RNA (mRNA) in higher eukaryotes (PubMed : 22002720, PubMed : 25452335, PubMed : 26457839, PubMed : 26458103, PubMed : 30197295). M6A demethylation by FTO affects mRNA expression and stability (PubMed : 30197295). Also able to demethylate m6A in U6 small nuclear RNA (snRNA) (PubMed : 30197295). Mediates demethylation of N(6),2'-O-dimethyladenosine cap (m6A(m)), by demethylating the N(6)-methyladenosine at the second transcribed position of mRNAs and U6 snRNA (PubMed : 28002401, PubMed : 30197295). Demethylation of m6A(m) in the 5'-cap by FTO affects mRNA stability by promoting susceptibility to decapping (PubMed : 28002401). Also acts as a tRNA demethylase by removing N(1)-methyladenine from various tRNAs (PubMed : 30197295). Has no activity towards 1-methylguanine (PubMed : 20376003). Has no detectable activity towards double-stranded DNA (PubMed : 20376003). Also able to repair alkylated DNA and RNA by oxidative demethylation : demethylates single-stranded RNA containing 3-methyluracil, single-stranded DNA containing 3-methylthymine and has low demethylase activity towards single-stranded DNA containing 1-methyladenine or 3-methylcytosine (PubMed : 18775698, PubMed : 20376003). Ability to repair alkylated DNA and RNA is however unsure in vivo (PubMed : 18775698, PubMed : 20376003). Involved in the regulation of fat mass, adipogenesis and body weight, thereby contributing to the regulation of body size and body fat accumulation (PubMed : 18775698, PubMed : 20376003). Involved in the regulation of thermogenesis and the control of adipocyte differentiation into brown or white fat cells (PubMed : 26287746). Regulates activity of the dopaminergic midbrain circuitry via its ability to demethylate m6A in mRNAs (By similarity). Plays an oncogenic role in a number of acute myeloid leukemias by enhancing leukemic oncogene-mediated cell transformation : acts by mediating m6A demethylation of target transcripts such as MYC, CEBPA, ASB2 and RARA, leading to promote their expression (PubMed : 28017614, PubMed : 29249359).
See full target information FTO

Publications (1)

Recent publications for all applications. Explore the full list and refine your search

Frontiers in cardiovascular medicine 11:1360364 PubMed38576426

2024

SARS-CoV-2 infection of endothelial cells, dependent on flow-induced ACE2 expression, drives hypercytokinemia in a vascularized microphysiological system.

Applications

Unspecified application

Species

Unspecified reactive species

Christopher J Hatch,Sebastian D Piombo,Jennifer S Fang,Johannes S Gach,Makena L Ewald,William K Van Trigt,Brian G Coon,Jay M Tong,Donald N Forthal,Christopher C W Hughes
View all publications

Product promise

We are committed to supporting your work with high-quality reagents, and we're here for you every step of the way. In the unlikely event that one of our products does not perform as expected, you're protected by our Product Promise.
For full details, please see our Terms & Conditions

Please note: All products are 'FOR RESEARCH USE ONLY. NOT FOR USE IN DIAGNOSTIC OR THERAPEUTIC PROCEDURES'.

For licensing inquiries, please contact partnerships@abcam.com