JavaScript is disabled in your browser. Please enable JavaScript to view this website.
AB181111

Anti-FUBP1/FBP antibody [EPR12327]

5

(2 Reviews)

|

(13 Publications)

Rabbit Recombinant Monoclonal FUBP1/FBP antibody. Suitable for WB, ICC/IF, Flow Cyt (Intra), IHC-P and reacts with Mouse, Rat, Human samples. Cited in 13 publications.

View Alternative Names

Far upstream element-binding protein 1, FBP, FUSE-binding protein 1, DNA helicase V, hDH V, FUBP1

13 Images
Immunocytochemistry/ Immunofluorescence - Anti-FUBP1/FBP antibody [EPR12327] (AB181111)
  • ICC/IF

Lab

Immunocytochemistry/ Immunofluorescence - Anti-FUBP1/FBP antibody [EPR12327] (AB181111)

Immunocytochemistry/Immunofluorescence analysis of HeLa cells labelling FUBP1/FBP with purified ab181111 at 1/500. Cells were fixed with 4% paraformaldehyde and permeabilized with 0.1% Triton X-100. ab150077, an Alexa Fluor® 488-conjugated goat anti-rabbit IgG (1/500) was used as the secondary antibody. DAPI (blue) was used as the nuclear counterstain. ab7291, a mouse anti-tubulin (1/1000) and ab150120, an Alexa Fluor® 594-conjugated goat anti-mouse IgG (1/500) were also used.

Control 1 : primary antibody (1/500) and secondary antibody, ab150120, an Alexa Fluor® 594-conjugated goat anti-mouse IgG (1/500).

Control 2 : ab7291 (1/1000) and secondary antibody, ab150077, an Alexa Fluor® 488-conjugated goat anti-rabbit IgG (1/500).

Immunohistochemistry (Formalin/PFA-fixed paraffin-embedded sections) - Anti-FUBP1/FBP antibody [EPR12327] (AB181111)
  • IHC-P

Supplier Data

Immunohistochemistry (Formalin/PFA-fixed paraffin-embedded sections) - Anti-FUBP1/FBP antibody [EPR12327] (AB181111)

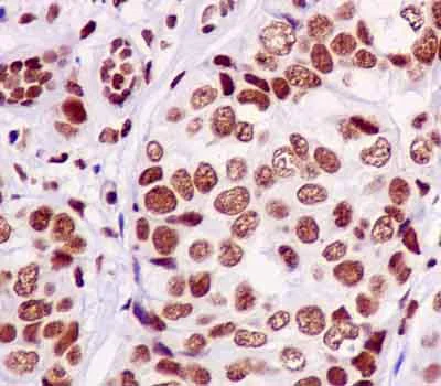
Immunohistochemistry (Formalin/PFA-fixed paraffin-embedded sections) analysis of human breast carcinoma tissue labeling FUBP1/FBP with unpurified ab181111 at a dilution of 1/500 followed by prediluted HRP Polymer for rabbit IgG. Counterstained with Hematoxylin.

Perform heat mediated antigen retrieval with Tris/EDTA buffer pH 9.0 before commencing with IHC staining protocol.

Flow Cytometry (Intracellular) - Anti-FUBP1/FBP antibody [EPR12327] (AB181111)
  • Flow Cyt (Intra)

Supplier Data

Flow Cytometry (Intracellular) - Anti-FUBP1/FBP antibody [EPR12327] (AB181111)

Intracellular flow cytometric analysis of2% paraformaldehyde-fixed Jurkat cells labeling FUBP1/FBP with unpurified ab181111 at a dilution of 1/90 (pink), compared to a rabbit monoclonal IgG isotype control (green), followed by goat anti rabbit IgG (FITC) secondary antibody at a dilution of 1/150.

Immunocytochemistry/ Immunofluorescence - Anti-FUBP1/FBP antibody [EPR12327] (AB181111)
  • ICC/IF

Supplier Data

Immunocytochemistry/ Immunofluorescence - Anti-FUBP1/FBP antibody [EPR12327] (AB181111)

Immunocytochemistry/Immunofluorescent analysis of 4% paraformaldehyde-fixed HepG2 cells labeling FUBP1/FBP with unpurified ab181111 at 1/500 dilution (red) followed by Alexa Fluor® 555-conjugated goat anti rabbit IgG secondary antibody at 1/200 dilution. Counter stained with Dapi (blue).

Immunohistochemistry (Formalin/PFA-fixed paraffin-embedded sections) - Anti-FUBP1/FBP antibody [EPR12327] (AB181111)
  • IHC-P

Lab

Immunohistochemistry (Formalin/PFA-fixed paraffin-embedded sections) - Anti-FUBP1/FBP antibody [EPR12327] (AB181111)

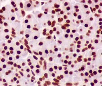
Immunohistochemistry (Formalin/PFA-fixed paraffin-embedded sections) analysis of human breast carcinoma tissue labelling FUBP1/FBP with purified ab181111 at 1/500. Heat mediated antigen retrieval was performed using Tris/EDTA buffer pH 9. ab97051, a HRP-conjugated goat anti-rabbit IgG (H+L) was used as the secondary antibody (1/500). Negative control using PBS instead of primary antibody. Counterstained with hematoxylin.

Immunohistochemistry (Formalin/PFA-fixed paraffin-embedded sections) - Anti-FUBP1/FBP antibody [EPR12327] (AB181111)
  • IHC-P

Supplier Data

Immunohistochemistry (Formalin/PFA-fixed paraffin-embedded sections) - Anti-FUBP1/FBP antibody [EPR12327] (AB181111)

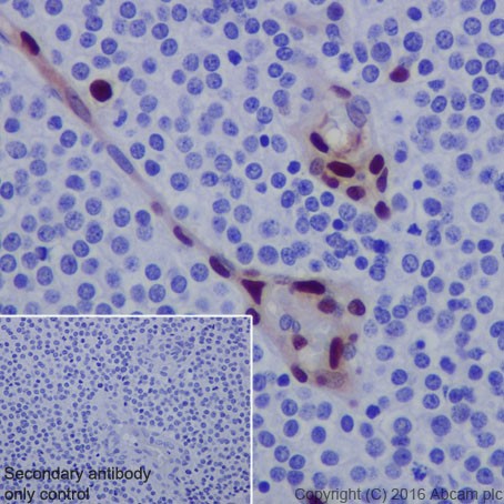
Immunohistochemistry (Formalin/PFA-fixed paraffin-embedded sections) analysis of human pancreas tissue labeling FUBP1/FBP with unpurified ab181111 at a dilution of 1/500 followed by prediluted HRP Polymer for rabbit IgG. Counterstained with Hematoxylin.

Perform heat mediated antigen retrieval with Tris/EDTA buffer pH 9.0 before commencing with IHC staining protocol.

Flow Cytometry (Intracellular) - Anti-FUBP1/FBP antibody [EPR12327] (AB181111)
  • Flow Cyt (Intra)

Lab

Flow Cytometry (Intracellular) - Anti-FUBP1/FBP antibody [EPR12327] (AB181111)

Intracellular Flow Cytometry analysis of Jurkat cells labelling FUBP1 / FBP with purified ab181111 at 1/60 (red). Cells were fixed with 80% methanol. A FITC-conjugated goat anti-rabbit IgG (1/150) was used as the secondary antibody. Black - Isotype control, rabbit monoclonal IgG. Blue - Unlabelled control, cells without incubation with primary and secondary antibodies.

Western blot - Anti-FUBP1/FBP antibody [EPR12327] (AB181111)
  • WB

Lab

Western blot - Anti-FUBP1/FBP antibody [EPR12327] (AB181111)

Blocking and dilution buffer : 5% NFDM/TBST.

All lanes:

Western blot - Anti-FUBP1/FBP antibody [EPR12327] (ab181111) at 1/5000 dilution

All lanes:

HepG2 cell lysate at 20 µg

Secondary

All lanes:

Peroxidase-conjugated goat anti-rabbit IgG, (H+L) at 1/1000 dilution

Predicted band size: 68 kDa

Observed band size: 74 kDa

false

Western blot - Anti-FUBP1/FBP antibody [EPR12327] (AB181111)
  • WB

Lab

Western blot - Anti-FUBP1/FBP antibody [EPR12327] (AB181111)

Blocking and dilution buffer : 5% NFDM/TBST.

All lanes:

Western blot - Anti-FUBP1/FBP antibody [EPR12327] (ab181111) at 1/20000 dilution

Lane 1:

Jurkat cell lysate at 20 µg

Lane 2:

HeLa cell lysate at 20 µg

Lane 3:

Raji cell lysate at 20 µg

Lane 4:

K562 cell lysate at 20 µg

Secondary

All lanes:

Peroxidase-conjugated goat anti-rabbit IgG, (H+L) at 1/1000 dilution

Predicted band size: 68 kDa

Observed band size: 74 kDa

false

Western blot - Anti-FUBP1/FBP antibody [EPR12327] (AB181111)
  • WB

Lab

Western blot - Anti-FUBP1/FBP antibody [EPR12327] (AB181111)

Blocking and dilution buffer : 5% NFDM/TBST.

All lanes:

Western blot - Anti-FUBP1/FBP antibody [EPR12327] (ab181111) at 1/5000 dilution

All lanes:

Rat brain tissue lysate at 20 µg

Secondary

All lanes:

Peroxidase-conjugated goat anti-rabbit IgG, (H+L) at 1/1000 dilution

Predicted band size: 68 kDa

Observed band size: 74 kDa

false

Western blot - Anti-FUBP1/FBP antibody [EPR12327] (AB181111)
  • WB

Lab

Western blot - Anti-FUBP1/FBP antibody [EPR12327] (AB181111)

Blocking and dilution buffer : 5% NFDM/TBST.

All lanes:

Western blot - Anti-FUBP1/FBP antibody [EPR12327] (ab181111) at 1/2000 dilution

Lane 1:

Mouse brain tissue lysate at 20 µg

Lane 2:

Mouse spleen tissue lysate at 20 µg

Secondary

All lanes:

Peroxidase-conjugated goat anti-rabbit IgG, (H+L) at 1/1000 dilution

Predicted band size: 132 kDa,68 kDa

Observed band size: 74 kDa

false

Western blot - Anti-FUBP1/FBP antibody [EPR12327] (AB181111)
  • WB

Supplier Data

Western blot - Anti-FUBP1/FBP antibody [EPR12327] (AB181111)

All lanes:

Western blot - Anti-FUBP1/FBP antibody [EPR12327] (ab181111) at 1/5000 dilution

All lanes:

Jurkat cell lysate at 20 µg

Secondary

All lanes:

Goat anti-rabbit IgG, (H+L), Peroxidase conjugate at 1/1000 dilution

Predicted band size: 68 kDa

Observed band size: 74 kDa

false

Western blot - Anti-FUBP1/FBP antibody [EPR12327] (AB181111)
  • WB

Supplier Data

Western blot - Anti-FUBP1/FBP antibody [EPR12327] (AB181111)

All lanes:

Western blot - Anti-FUBP1/FBP antibody [EPR12327] (ab181111) at 1/20000 dilution

Lane 1:

HeLa cell lysate at 20 µg

Lane 2:

HepG2 cell lysate at 20 µg

Secondary

All lanes:

Goat anti-rabbit IgG, (H+L), Peroxidase conjugate at 1/1000 dilution

Predicted band size: 68 kDa

Observed band size: 74 kDa

false

Key facts

Host species

Rabbit

Clonality

Monoclonal

Clone number

EPR12327

Isotype

IgG

Carrier free

No

Reacts with

Mouse, Rat, Human

Applications

IHC-P, WB, Flow Cyt (Intra), ICC/IF

applications

Immunogen

The exact immunogen used to generate this antibody is proprietary information.

Reactivity data

{ "title": "Reactivity Data", "filters": { "stats": ["", "Species", "Dilution Info", "Notes"], "tabs": { "all-applications": {"fullname" : "All Applications", "shortname": "All Applications"}, "WB" : {"fullname" : "Western blot", "shortname":"WB"}, "ICCIF" : {"fullname" : "Immunocytochemistry/ Immunofluorescence", "shortname":"ICC/IF"}, "FlowCytIntra" : {"fullname" : "Flow Cytometry (Intracellular)", "shortname":"Flow Cyt (Intra)"}, "IHCP" : {"fullname" : "Immunohistochemistry (Formalin/PFA-fixed paraffin-embedded sections)", "shortname":"IHC-P"} }, "product-promise": { "all": "all", "testedAndGuaranteed": "tested", "guaranteed": "expected", "predicted": "predicted", "notRecommended": "not-recommended" } }, "values": { "Human": { "WB-species-checked": "testedAndGuaranteed", "WB-species-dilution-info": "1/2000", "WB-species-notes": "<p><strong>For unpurified use at 1/1000 - 1/20000.</strong></p>", "ICCIF-species-checked": "testedAndGuaranteed", "ICCIF-species-dilution-info": "1/250 - 1/500", "ICCIF-species-notes": "<p></p>", "FlowCytIntra-species-checked": "testedAndGuaranteed", "FlowCytIntra-species-dilution-info": "1/60 - 1/90", "FlowCytIntra-species-notes": "<p><a href='/en-us/products/primary-antibodies/rabbit-igg-monoclonal-epr25a-isotype-control-ab172730'>ab172730</a> - Rabbit monoclonal IgG, is suitable for use as an isotype control with this antibody.</p>", "IHCP-species-checked": "testedAndGuaranteed", "IHCP-species-dilution-info": "1/250 - 1/500", "IHCP-species-notes": "<p>See IHC antigen retrieval protocols.</p> Perform heat-mediated antigen retrieval with Tris/EDTA buffer pH 9.0 before commencing with IHC staining protocol." }, "Mouse": { "WB-species-checked": "testedAndGuaranteed", "WB-species-dilution-info": "1/2000", "WB-species-notes": "<p><strong>For unpurified use at 1/1000 - 1/20000.</strong></p>", "ICCIF-species-checked": "guaranteed", "ICCIF-species-dilution-info": "", "ICCIF-species-notes": "", "FlowCytIntra-species-checked": "guaranteed", "FlowCytIntra-species-dilution-info": "", "FlowCytIntra-species-notes": "", "IHCP-species-checked": "guaranteed", "IHCP-species-dilution-info": "", "IHCP-species-notes": "" }, "Rat": { "WB-species-checked": "testedAndGuaranteed", "WB-species-dilution-info": "1/2000", "WB-species-notes": "<p><strong>For unpurified use at 1/1000 - 1/20000.</strong></p>", "ICCIF-species-checked": "guaranteed", "ICCIF-species-dilution-info": "", "ICCIF-species-notes": "", "FlowCytIntra-species-checked": "guaranteed", "FlowCytIntra-species-dilution-info": "", "FlowCytIntra-species-notes": "", "IHCP-species-checked": "guaranteed", "IHCP-species-dilution-info": "", "IHCP-species-notes": "" } } }

Product details

Patented technology
Our RabMAb® technology is a patented hybridoma-based technology for making rabbit monoclonal antibodies. For details on our patents, please refer to RabMAb® patents.

What are the advantages of a recombinant monoclonal antibody?
This product is a recombinant monoclonal antibody, which offers several advantages including:

  • - High batch-to-batch consistency and reproducibility
  • - Improved sensitivity and specificity
  • - Long-term security of supply
  • - Animal-free batch production

For more information, read more on recombinant antibodies.

Properties and storage information

Form
Liquid
Purification technique
Affinity purification Protein A
Storage buffer
Preservative: 0.01% Sodium azide Constituents: PBS, 40% Glycerol (glycerin, glycerine), 0.05% BSA
Shipped at conditions
Blue Ice
Appropriate short-term storage duration
1-2 weeks
Appropriate short-term storage conditions
+4°C
Appropriate long-term storage conditions
-20°C
Aliquoting information
Upon delivery aliquot
Storage information
Avoid freeze / thaw cycle

Supplementary information

This supplementary information is collated from multiple sources and compiled automatically.

The far upstream element-binding protein 1 (FUBP1) also known as FBP or FBP west is a single-stranded DNA-binding protein with a molecular mass of approximately 65 kDa. It is expressed in a range of tissues including the liver brain and hematopoietic cells. Mechanically FUBP1 regulates the transcription of genes by binding to the far upstream element (FUSE) located in proximity to transcription start sites. It plays an important role in modulating transcription factors and aids in the stability of mRNA.
Biological function summary

FUBP1 influences cellular proliferation and differentiation. It does not form part of a larger complex but interacts with different molecules to exert its function. The protein acts as an activator of transcription fostering interaction with RNA polymerase II and other factors to elevate gene expression. FUBP1's activity helps in controlling the cell cycle aiding in the switch between proliferation and cell growth arrest as needed.

Pathways

FUBP1 participates significantly in the c-Myc regulatory and p53 signaling pathways. In the context of the c-Myc pathway FUBP1 boosts the expression of c-Myc by stabilizing its mRNA a process also influenced by the U2 auxiliary factor (U2AF65). In the p53 signaling pathway FUBP1 indirectly influences p53's role in apoptosis and cellular stress responses as its regulatory balance shifts critical cellular processes depending on external and internal cues.

FUBP1's dysregulation relates to cancer and neurological disorders. Overexpression or aberrant regulation of FUBP1 links to tumorigenesis in cancers like liver cancer partially due to its interaction with c-Myc. Additionally mutations or alterations in FUBP1 are associated with oligodendrogliomas a type of brain tumor. Proteins such as p53 also link to these disorders due to FUBP1's involvement in complex signaling networks.

Product protocols

For this product, it's our understanding that no specific protocols are required. You can visit:

Target data

Regulates MYC expression by binding to a single-stranded far-upstream element (FUSE) upstream of the MYC promoter. May act both as activator and repressor of transcription.
See full target information FUBP1

Publications (13)

Recent publications for all applications. Explore the full list and refine your search

PeerJ 11:e15917 PubMed37637163

2023

Icariin activates far upstream element binding protein 1 to regulate hypoxia-inducible factor-1α and hypoxia-inducible factor-2α signaling and benefits chondrocytes.

Applications

Unspecified application

Species

Unspecified reactive species

Pengzhen Wang,Pingping Zhu,Shaoheng Zhang,Wei Yuan,Zhihe Liu

Communications biology 5:672 PubMed35798971

2022

KHSRP loss increases neuronal growth and synaptic transmission and alters memory consolidation through RNA stabilization.

Applications

Unspecified application

Species

Unspecified reactive species

Sarah L Olguin,Priyanka Patel,Courtney N Buchanan,Michela Dell'Orco,Amy S Gardiner,Robert Cole,Lauren S Vaughn,Anitha Sundararajan,Joann Mudge,Andrea M Allan,Pavel Ortinski,Jonathan L Brigman,Jeffery L Twiss,Nora I Perrone-Bizzozero

Journal of bone oncology 31:100392 PubMed34712553

2021

Long non-coding RNA KRT8P41/miR-193a-3p/FUBP1 axis modulates the proliferation and invasion of chordoma cells.

Applications

Unspecified application

Species

Unspecified reactive species

Hai Wen,Yang Fu,Yapeng Zhu,Siyue Tao,Xifu Shang,Zhongqi Li,Tao You,Wenzhi Zhang

Journal of immunology research 2021:9994004 PubMed33987449

2021

TNPO1-Mediated Nuclear Import of FUBP1 Contributes to Tumor Immune Evasion by Increasing NRP1 Expression in Cervical Cancer.

Applications

Unspecified application

Species

Unspecified reactive species

BiKang Yang,Jing Chen,YinCheng Teng

Frontiers in oncology 11:602712 PubMed33791202

2021

Protein and Signaling Pathway Responses to rhIL-6 Intervention Before Lobaplatin Treatment in Osteosarcoma Cells.

Applications

Unspecified application

Species

Unspecified reactive species

Huan Wang,Bin Li,Kang Yan,Yonghong Wu,Yanhua Wen,Yunyan Liu,Pei Fan,Qiong Ma

Communications biology 3:545 PubMed33005010

2020

FUBP1 and FUBP2 enforce distinct epigenetic setpoints for MYC expression in primary single murine cells.

Applications

Unspecified application

Species

Unspecified reactive species

Ying Zheng,Wendy Dubois,Craig Benham,Eric Batchelor,David Levens

Cells 9: PubMed32481602

2020

Multiple Functions of Fubp1 in Cell Cycle Progression and Cell Survival.

Applications

Unspecified application

Species

Unspecified reactive species

Mingyu Kang,Hyeon Ji Kim,Tae-Jun Kim,Jin-Seok Byun,Jae-Ho Lee,Deok Heon Lee,Wanil Kim,Do-Yeon Kim

Chinese medical journal 133:1211-1220 PubMed32433053

2020

Long non-coding RNA small nucleolar RNA host gene 6 aggravates pancreatic cancer through upregulation of far upstream element binding protein 1 by sponging microRNA-26a-5p.

Applications

Unspecified application

Species

Unspecified reactive species

Xing-Xing Zhang,Hua Chen,Hui-Ying Li,Rui Chen,Lei He,Juan-Li Yang,Lin-Lin Xiao,Jin-Lian Chen

Cancer biology & therapy 21:213-222 PubMed31651209

2019

GSK343 induces programmed cell death through the inhibition of EZH2 and FBP1 in osteosarcoma cells.

Applications

Unspecified application

Species

Unspecified reactive species

Xifeng Xiong,Jinli Zhang,Aiguo Li,Libing Dai,Shengnan Qin,Pengzhen Wang,Wei Liu,Zhi Zhang,Xiaojian Li,Zhihe Liu

Cell reports 28:3435-3449.e5 PubMed31553912

2019

Identification of FUBP1 as a Long Tail Cancer Driver and Widespread Regulator of Tumor Suppressor and Oncogene Alternative Splicing.

Applications

Unspecified application

Species

Unspecified reactive species

Jessica S Elman,Thomas K Ni,Kristen E Mengwasser,Dexter Jin,Ania Wronski,Stephen J Elledge,Charlotte Kuperwasser
View all publications

Product promise

We are committed to supporting your work with high-quality reagents, and we're here for you every step of the way. In the unlikely event that one of our products does not perform as expected, you're protected by our Product Promise.
For full details, please see our Terms & Conditions

Please note: All products are 'FOR RESEARCH USE ONLY. NOT FOR USE IN DIAGNOSTIC OR THERAPEUTIC PROCEDURES'.

For licensing inquiries, please contact partnerships@abcam.com