JavaScript is disabled in your browser. Please enable JavaScript to view this website.
AB240239

Anti-FUBP1/FBP antibody [EPR12327] - BSA and Azide free

Be the first to review this product! Submit a review

|

(1 Publication)

Rabbit Recombinant Monoclonal FUBP1/FBP antibody. Carrier free. Suitable for WB, ICC/IF, Flow Cyt (Intra), IHC-P and reacts with Mouse, Rat, Human samples. Cited in 1 publication.

View Alternative Names

Far upstream element-binding protein 1, FBP, FUSE-binding protein 1, DNA helicase V, hDH V, FUBP1

7 Images
Immunocytochemistry/ Immunofluorescence - Anti-FUBP1/FBP antibody [EPR12327] - BSA and Azide free (AB240239)
  • ICC/IF

Lab

Immunocytochemistry/ Immunofluorescence - Anti-FUBP1/FBP antibody [EPR12327] - BSA and Azide free (AB240239)

Immunocytochemistry/Immunofluorescence analysis of HeLa cells labelling FUBP1/FBP with purified ab181111 at 1/500. Cells were fixed with 4% paraformaldehyde and permeabilized with 0.1% Triton X-100. ab150077, an Alexa Fluor® 488-conjugated goat anti-rabbit IgG (1/500) was used as the secondary antibody. DAPI (blue) was used as the nuclear counterstain. ab7291, a mouse anti-tubulin (1/1000) and ab150120, an Alexa Fluor® 594-conjugated goat anti-mouse IgG (1/500) were also used.

Control 1 : primary antibody (1/500) and secondary antibody, ab150120, an Alexa Fluor® 594-conjugated goat anti-mouse IgG (1/500).

Control 2 : ab7291 (1/1000) and secondary antibody, ab150077, an Alexa Fluor® 488-conjugated goat anti-rabbit IgG (1/500).

This data was developed using the same antibody clone in a different buffer formulation containing PBS, BSA, glycerol, and sodium azide (ab181111).

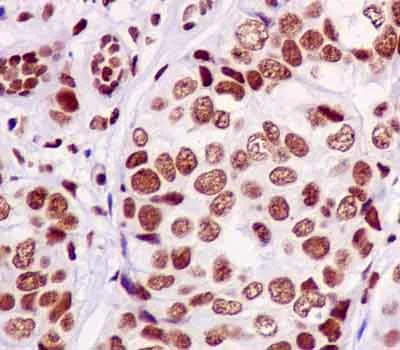
Immunohistochemistry (Formalin/PFA-fixed paraffin-embedded sections) - Anti-FUBP1/FBP antibody [EPR12327] - BSA and Azide free (AB240239)
  • IHC-P

Supplier Data

Immunohistochemistry (Formalin/PFA-fixed paraffin-embedded sections) - Anti-FUBP1/FBP antibody [EPR12327] - BSA and Azide free (AB240239)

Immunohistochemistry (Formalin/PFA-fixed paraffin-embedded sections) analysis of human breast carcinoma tissue labeling FUBP1/FBP with unpurified ab181111 at a dilution of 1/500 followed by prediluted HRP Polymer for rabbit IgG. Counterstained with Hematoxylin.

This data was developed using the same antibody clone in a different buffer formulation containing PBS, BSA, glycerol, and sodium azide (ab181111).

Perform heat mediated antigen retrieval with Tris/EDTA buffer pH 9.0 before commencing with IHC staining protocol.

Flow Cytometry (Intracellular) - Anti-FUBP1/FBP antibody [EPR12327] - BSA and Azide free (AB240239)
  • Flow Cyt (Intra)

Supplier Data

Flow Cytometry (Intracellular) - Anti-FUBP1/FBP antibody [EPR12327] - BSA and Azide free (AB240239)

Intracellular flow cytometric analysis of2% paraformaldehyde-fixed Jurkat cells labeling FUBP1/FBP with unpurified ab181111 at a dilution of 1/90 (pink), compared to a rabbit monoclonal IgG isotype control (green), followed by goat anti rabbit IgG (FITC) secondary antibody at a dilution of 1/150.

This data was developed using the same antibody clone in a different buffer formulation containing PBS, BSA, glycerol, and sodium azide (ab181111).

Immunocytochemistry/ Immunofluorescence - Anti-FUBP1/FBP antibody [EPR12327] - BSA and Azide free (AB240239)
  • ICC/IF

Supplier Data

Immunocytochemistry/ Immunofluorescence - Anti-FUBP1/FBP antibody [EPR12327] - BSA and Azide free (AB240239)

Immunocytochemistry/Immunofluorescent analysis of 4% paraformaldehyde-fixed HepG2 cells labeling FUBP1/FBP with unpurified ab181111 at 1/500 dilution (red) followed by Alexa Fluor® 555-conjugated goat anti rabbit IgG secondary antibody at 1/200 dilution. Counter stained with Dapi (blue).

This data was developed using the same antibody clone in a different buffer formulation containing PBS, BSA, glycerol, and sodium azide (ab181111).

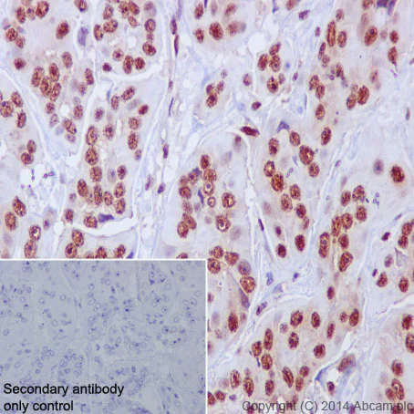
Immunohistochemistry (Formalin/PFA-fixed paraffin-embedded sections) - Anti-FUBP1/FBP antibody [EPR12327] - BSA and Azide free (AB240239)
  • IHC-P

Lab

Immunohistochemistry (Formalin/PFA-fixed paraffin-embedded sections) - Anti-FUBP1/FBP antibody [EPR12327] - BSA and Azide free (AB240239)

Immunohistochemistry (Formalin/PFA-fixed paraffin-embedded sections) analysis of human breast carcinoma tissue labelling FUBP1/FBP with purified ab181111 at 1/500. Heat mediated antigen retrieval was performed using Tris/EDTA buffer pH 9. ab97051, a HRP-conjugated goat anti-rabbit IgG (H+L) was used as the secondary antibody (1/500). Negative control using PBS instead of primary antibody. Counterstained with hematoxylin.

This data was developed using the same antibody clone in a different buffer formulation containing PBS, BSA, glycerol, and sodium azide (ab181111).

Immunohistochemistry (Formalin/PFA-fixed paraffin-embedded sections) - Anti-FUBP1/FBP antibody [EPR12327] - BSA and Azide free (AB240239)
  • IHC-P

Supplier Data

Immunohistochemistry (Formalin/PFA-fixed paraffin-embedded sections) - Anti-FUBP1/FBP antibody [EPR12327] - BSA and Azide free (AB240239)

Immunohistochemistry (Formalin/PFA-fixed paraffin-embedded sections) analysis of human pancreas tissue labeling FUBP1/FBP with unpurified ab181111 at a dilution of 1/500 followed by prediluted HRP Polymer for rabbit IgG. Counterstained with Hematoxylin.

This data was developed using the same antibody clone in a different buffer formulation containing PBS, BSA, glycerol, and sodium azide (ab181111).

Perform heat mediated antigen retrieval with Tris/EDTA buffer pH 9.0 before commencing with IHC staining protocol.

Flow Cytometry (Intracellular) - Anti-FUBP1/FBP antibody [EPR12327] - BSA and Azide free (AB240239)
  • Flow Cyt (Intra)

Lab

Flow Cytometry (Intracellular) - Anti-FUBP1/FBP antibody [EPR12327] - BSA and Azide free (AB240239)

Intracellular Flow Cytometry analysis of Jurkat cells labelling FUBP1/FBP with purified ab181111 at 1/60 (red). Cells were fixed with 80% methanol. A FITC-conjugated goat anti-rabbit IgG (1/150) was used as the secondary antibody. Black - Isotype control, rabbit monoclonal IgG. Blue - Unlabelled control, cells without incubation with primary and secondary antibodies.

This data was developed using the same antibody clone in a different buffer formulation containing PBS, BSA, glycerol, and sodium azide (ab181111).

Key facts

Host species

Rabbit

Clonality

Monoclonal

Clone number

EPR12327

Isotype

IgG

Carrier free

Yes

Reacts with

Mouse, Rat, Human

Applications

WB, ICC/IF, IHC-P, Flow Cyt (Intra)

applications

Immunogen

The exact immunogen used to generate this antibody is proprietary information.

Reactivity data

{ "title": "Reactivity Data", "filters": { "stats": ["", "Species", "Dilution Info", "Notes"], "tabs": { "all-applications": {"fullname" : "All Applications", "shortname": "All Applications"}, "WB" : {"fullname" : "Western blot", "shortname":"WB"}, "ICCIF" : {"fullname" : "Immunocytochemistry/ Immunofluorescence", "shortname":"ICC/IF"}, "FlowCytIntra" : {"fullname" : "Flow Cytometry (Intracellular)", "shortname":"Flow Cyt (Intra)"}, "IHCP" : {"fullname" : "Immunohistochemistry (Formalin/PFA-fixed paraffin-embedded sections)", "shortname":"IHC-P"} }, "product-promise": { "all": "all", "testedAndGuaranteed": "tested", "guaranteed": "expected", "predicted": "predicted", "notRecommended": "not-recommended" } }, "values": { "Human": { "WB-species-checked": "guaranteed", "WB-species-dilution-info": "", "WB-species-notes": "<p></p>", "ICCIF-species-checked": "testedAndGuaranteed", "ICCIF-species-dilution-info": "", "ICCIF-species-notes": "<p></p>", "FlowCytIntra-species-checked": "testedAndGuaranteed", "FlowCytIntra-species-dilution-info": "", "FlowCytIntra-species-notes": "<p><a href='/en-us/products/primary-antibodies/rabbit-igg-monoclonal-epr25a-isotype-control-low-endotoxin-azide-free-ab199376'>ab199376</a> - Rabbit monoclonal IgG, is suitable for use as an isotype control with this antibody.</p>", "IHCP-species-checked": "testedAndGuaranteed", "IHCP-species-dilution-info": "", "IHCP-species-notes": "<p></p>" }, "Mouse": { "WB-species-checked": "guaranteed", "WB-species-dilution-info": "", "WB-species-notes": "<p></p>", "ICCIF-species-checked": "predicted", "ICCIF-species-dilution-info": "", "ICCIF-species-notes": "", "FlowCytIntra-species-checked": "predicted", "FlowCytIntra-species-dilution-info": "", "FlowCytIntra-species-notes": "", "IHCP-species-checked": "predicted", "IHCP-species-dilution-info": "", "IHCP-species-notes": "" }, "Rat": { "WB-species-checked": "guaranteed", "WB-species-dilution-info": "", "WB-species-notes": "<p></p>", "ICCIF-species-checked": "predicted", "ICCIF-species-dilution-info": "", "ICCIF-species-notes": "", "FlowCytIntra-species-checked": "predicted", "FlowCytIntra-species-dilution-info": "", "FlowCytIntra-species-notes": "", "IHCP-species-checked": "predicted", "IHCP-species-dilution-info": "", "IHCP-species-notes": "" } } }

Product details

ab240239 is the carrier-free version of ab181111.

Patented technology
Our RabMAb® technology is a patented hybridoma-based technology for making rabbit monoclonal antibodies. For details on our patents, please refer to RabMAb® patents.

What are the advantages of a recombinant monoclonal antibody?
This product is a recombinant monoclonal antibody, which offers several advantages including:

  • - High batch-to-batch consistency and reproducibility
  • - Improved sensitivity and specificity
  • - Long-term security of supply
  • - Animal-free batch production

For more information, read more on recombinant antibodies.

Conjugation ready
Our carrier-free antibodies are typically supplied in a PBS-only formulation, purified and free of BSA, sodium azide and glycerol. This conjugation-ready format is designed for use with fluorochromes, metal isotopes, oligonucleotides, and enzymes, which makes them ideal for antibody labelling, functional and cell-based assays, flow-based assays (e.g. mass cytometry) and Multiplex Imaging applications.

Use our conjugation kits for antibody conjugates that are ready-to-use in as little as 20 minutes with 1 minute hands-on-time and 100% antibody recovery: available for fluorescent dyes, HRP, biotin and gold.

Compatibility
This product is compatible with the Maxpar® Antibody Labeling Kit from Fluidigm, without the need for antibody preparation. Maxpar® is a trademark of Fluidigm Canada Inc.

Properties and storage information

Form
Liquid
Purification technique
Affinity purification Protein A
Storage buffer
pH: 7.2 - 7.4 Constituents: PBS
Shipped at conditions
Blue Ice
Appropriate short-term storage conditions
+4°C
Appropriate long-term storage conditions
+4°C
Storage information
Do Not Freeze

Supplementary information

This supplementary information is collated from multiple sources and compiled automatically.

The far upstream element-binding protein 1 (FUBP1) also known as FBP or FBP west is a single-stranded DNA-binding protein with a molecular mass of approximately 65 kDa. It is expressed in a range of tissues including the liver brain and hematopoietic cells. Mechanically FUBP1 regulates the transcription of genes by binding to the far upstream element (FUSE) located in proximity to transcription start sites. It plays an important role in modulating transcription factors and aids in the stability of mRNA.
Biological function summary

FUBP1 influences cellular proliferation and differentiation. It does not form part of a larger complex but interacts with different molecules to exert its function. The protein acts as an activator of transcription fostering interaction with RNA polymerase II and other factors to elevate gene expression. FUBP1's activity helps in controlling the cell cycle aiding in the switch between proliferation and cell growth arrest as needed.

Pathways

FUBP1 participates significantly in the c-Myc regulatory and p53 signaling pathways. In the context of the c-Myc pathway FUBP1 boosts the expression of c-Myc by stabilizing its mRNA a process also influenced by the U2 auxiliary factor (U2AF65). In the p53 signaling pathway FUBP1 indirectly influences p53's role in apoptosis and cellular stress responses as its regulatory balance shifts critical cellular processes depending on external and internal cues.

FUBP1's dysregulation relates to cancer and neurological disorders. Overexpression or aberrant regulation of FUBP1 links to tumorigenesis in cancers like liver cancer partially due to its interaction with c-Myc. Additionally mutations or alterations in FUBP1 are associated with oligodendrogliomas a type of brain tumor. Proteins such as p53 also link to these disorders due to FUBP1's involvement in complex signaling networks.

Product protocols

For this product, it's our understanding that no specific protocols are required. You can visit:

Target data

Regulates MYC expression by binding to a single-stranded far-upstream element (FUSE) upstream of the MYC promoter. May act both as activator and repressor of transcription.
See full target information FUBP1

Publications (1)

Recent publications for all applications. Explore the full list and refine your search

Journal of cellular and molecular medicine 26:5078-5094 PubMed36071546

2022

ISGylation of EMD promotes its interaction with PDHA to inhibit aerobic oxidation in lung adenocarcinoma.

Applications

Unspecified application

Species

Unspecified reactive species

Congcong Zhang,Jiangtao Cui,Leiqun Cao,Xiaoting Tian,Yayou Miao,Yikun Wang,Shiyu Qiu,Wanxin Guo,Lifang Ma,Jinjing Xia,Xiao Zhang
View all publications

Product promise

We are committed to supporting your work with high-quality reagents, and we're here for you every step of the way. In the unlikely event that one of our products does not perform as expected, you're protected by our Product Promise.
For full details, please see our Terms & Conditions

Please note: All products are 'FOR RESEARCH USE ONLY. NOT FOR USE IN DIAGNOSTIC OR THERAPEUTIC PROCEDURES'.

For licensing inquiries, please contact partnerships@abcam.com