JavaScript is disabled in your browser. Please enable JavaScript to view this website.
AB251543

Anti-FUBP1/FBP antibody [EPR19208] - BSA and Azide free

Be the first to review this product! Submit a review

|

(0 Publication)

Rabbit Recombinant Monoclonal FUBP1/FBP antibody. Carrier free. Suitable for ICC/IF, IP, WB, Flow Cyt (Intra), IHC-P and reacts with Mouse, Human, Rat samples.

View Alternative Names

Far upstream element-binding protein 1, FBP, FUSE-binding protein 1, DNA helicase V, hDH V, FUBP1

10 Images
Flow Cytometry (Intracellular) - Anti-FUBP1/FBP antibody [EPR19208] - BSA and Azide free (AB251543)
  • Flow Cyt (Intra)

Supplier Data

Flow Cytometry (Intracellular) - Anti-FUBP1/FBP antibody [EPR19208] - BSA and Azide free (AB251543)

This data was developed using ab213525, the same antibody clone in a different buffer formulation.

Intracellular flow cytometric analysis of 4% paraformaldehyde-fixed HeLa (Human epithelial cell line from cervix adenocarcinoma) cells labeling FUBP1/FBP with ab213525 at 1/600 dilution (red) compared with a rabbit monoclonal IgG isotype control (ab172730; black) and an unlabelled control (cells without incubation with primary antibody and secondary antibody; blue). Goat Anti-Rabbit IgG (Alexa Fluor® 488) at 1/2000 dilution was used as the secondary antibody.

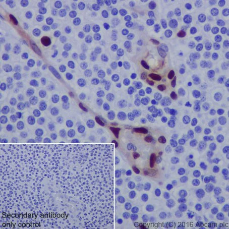
Immunohistochemistry (Formalin/PFA-fixed paraffin-embedded sections) - Anti-FUBP1/FBP antibody [EPR19208] - BSA and Azide free (AB251543)
  • IHC-P

Supplier Data

Immunohistochemistry (Formalin/PFA-fixed paraffin-embedded sections) - Anti-FUBP1/FBP antibody [EPR19208] - BSA and Azide free (AB251543)

This data was developed using ab213525, the same antibody clone in a different buffer formulation.

Immunohistochemical analysis of paraffin-embedded human oligodendroglioma tissue labeling FUBP1/FBP with ab213525 at 1/16000 dilution, followed by Goat Anti-Rabbit IgG H&L (HRP). Nuclear staining on the vascular endothelium of human oligodendroglioma is observed. Counter stained with Hematoxylin.

Secondary antibody only control : Used PBS instead of primary antibody, secondary antibody is Goat Anti-Rabbit IgG H&L (HRP).

Perform heat mediated antigen retrieval with Tris/EDTA buffer pH 9.0 before commencing with IHC staining protocol.

Immunocytochemistry/ Immunofluorescence - Anti-FUBP1/FBP antibody [EPR19208] - BSA and Azide free (AB251543)
  • ICC/IF

Supplier Data

Immunocytochemistry/ Immunofluorescence - Anti-FUBP1/FBP antibody [EPR19208] - BSA and Azide free (AB251543)

This data was developed using ab213525, the same antibody clone in a different buffer formulation.

Immunofluorescent analysis of 4% paraformaldehyde-fixed, 0.1% Triton X-100 permeabilized HeLa (Human epithelial cell line from cervix adenocarcinoma) cells labeling FUBP1/FBP with ab213525 at 1/500 dilution, followed by Goat Anti-Rabbit IgG H&L (Alexa Fluor® 488) (ab150077) secondary antibody at 1/1000 dilution (green). Confocal image showing nuclear staining on HeLa cells.

The nuclear counter stain is DAPI (blue). Tubulin is detected with Anti-alpha Tubulin antibody [DM1A] - Microtubule Marker (Alexa Fluor® 594) (ab195889) at 1/200 dilution (red).

Secondary antibody only control : Used PBS instead of primary antibody, secondary antibody is Goat Anti-Rabbit IgG H&L (Alexa Fluor® 488) (ab150077) at 1/1000 dilution.

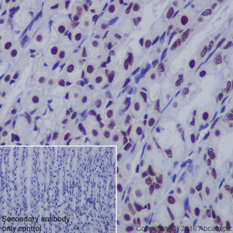
Immunohistochemistry (Formalin/PFA-fixed paraffin-embedded sections) - Anti-FUBP1/FBP antibody [EPR19208] - BSA and Azide free (AB251543)
  • IHC-P

Supplier Data

Immunohistochemistry (Formalin/PFA-fixed paraffin-embedded sections) - Anti-FUBP1/FBP antibody [EPR19208] - BSA and Azide free (AB251543)

This data was developed using ab213525, the same antibody clone in a different buffer formulation.

Immunohistochemical analysis of paraffin-embedded human cerebral cortex tissue labeling FUBP1/FBP with ab213525 at 1/16000 dilution, followed by Goat Anti-Rabbit IgG H&L (HRP). Nuclear staining on the neurons of human cerebral cortex is observed. Counter stained with Hematoxylin.

Secondary antibody only control : Used PBS instead of primary antibody, secondary antibody is Goat Anti-Rabbit IgG H&L (HRP).

Perform heat mediated antigen retrieval with Tris/EDTA buffer pH 9.0 before commencing with IHC staining protocol.

Immunoprecipitation - Anti-FUBP1/FBP antibody [EPR19208] - BSA and Azide free (AB251543)
  • IP

Supplier Data

Immunoprecipitation - Anti-FUBP1/FBP antibody [EPR19208] - BSA and Azide free (AB251543)

This data was developed using ab213525, the same antibody clone in a different buffer formulation.

FUBP1/FBP was immunoprecipitated from 0.35 mg of HeLa (Human epithelial cell line from cervix adenocarcinoma) whole cell lysate with ab213525 at 1/30 dilution. Western blot was performed from the immunoprecipitate using ab213525 at 1/1000 dilution. VeriBlot for IP Detection Reagent (HRP) (ab131366), was used for detection at 1/10,000 dilution.

Lane 1 : HeLa whole cell lysate 10μg (Input).
Lane 2 : ab213525 IP in HeLa whole cell lysate.
Lane 3 : Rabbit monoclonal IgG (ab172730) instead of ab213525 in HeLa whole cell lysate.

Blocking and dilution buffer and concentration : 5% NFDM/TBST.

Exposure time : 1 second.

The expression pattern observed is consistent with the literature (PMID : 24963357).

All lanes:

Immunoprecipitation - Anti-FUBP1/FBP antibody [EPR19208] (<a href='/en-us/products/primary-antibodies/fubp1-fbp-antibody-epr19208-ab213525'>ab213525</a>)

Predicted band size: 68 kDa

false

Immunohistochemistry (Formalin/PFA-fixed paraffin-embedded sections) - Anti-FUBP1/FBP antibody [EPR19208] - BSA and Azide free (AB251543)
  • IHC-P

Supplier Data

Immunohistochemistry (Formalin/PFA-fixed paraffin-embedded sections) - Anti-FUBP1/FBP antibody [EPR19208] - BSA and Azide free (AB251543)

This data was developed using ab213525, the same antibody clone in a different buffer formulation.

Immunohistochemical analysis of paraffin-embedded mouse cerebral cortex tissue labeling FUBP1/FBP with ab213525 at 1/16000 dilution, followed by Goat Anti-Rabbit IgG H&L (HRP). Nuclear staining on the neurons of mouse cerebral cortex is observed. Counter stained with Hematoxylin.

Secondary antibody only control : Used PBS instead of primary antibody, secondary antibody is Goat Anti-Rabbit IgG H&L (HRP).

Perform heat mediated antigen retrieval with Tris/EDTA buffer pH 9.0 before commencing with IHC staining protocol.

Immunocytochemistry/ Immunofluorescence - Anti-FUBP1/FBP antibody [EPR19208] - BSA and Azide free (AB251543)
  • ICC/IF

Supplier Data

Immunocytochemistry/ Immunofluorescence - Anti-FUBP1/FBP antibody [EPR19208] - BSA and Azide free (AB251543)

This data was developed using ab213525, the same antibody clone in a different buffer formulation.

Immunofluorescent analysis of 4% paraformaldehyde-fixed, 0.1% Triton X-100 permeabilized NIH/3T3 (Mouse embryonic fibroblast cell line) cells labeling FUBP1/FBP with ab213525 at 1/500 dilution, followed by Goat Anti-Rabbit IgG H&L (Alexa Fluor® 488) (ab150077) secondary antibody at 1/1000 dilution (green). Confocal image showing nuclear staining on NIH/3T3 cells.

The nuclear counter stain is DAPI (blue). Tubulin is detected with Anti-alpha Tubulin antibody [DM1A] - Microtubule Marker (Alexa Fluor® 594) (ab195889) at 1/200 dilution (red).

Secondary antibody only control : Used PBS instead of primary antibody, secondary antibody is Goat Anti-Rabbit IgG H&L (Alexa Fluor® 488) (ab150077) at 1/1000 dilution.

Immunohistochemistry (Formalin/PFA-fixed paraffin-embedded sections) - Anti-FUBP1/FBP antibody [EPR19208] - BSA and Azide free (AB251543)
  • IHC-P

Supplier Data

Immunohistochemistry (Formalin/PFA-fixed paraffin-embedded sections) - Anti-FUBP1/FBP antibody [EPR19208] - BSA and Azide free (AB251543)

This data was developed using ab213525, the same antibody clone in a different buffer formulation.

Immunohistochemical analysis of paraffin-embedded rat stomach tissue labeling FUBP1/FBP with ab213525 at 1/16000 dilution, followed by Goat Anti-Rabbit IgG H&L (HRP). Nuclear staining on the neurons of rat stomach is observed. Counter stained with Hematoxylin.

Secondary antibody only control : Used PBS instead of primary antibody, secondary antibody is Goat Anti-Rabbit IgG H&L (HRP).

Perform heat mediated antigen retrieval with Tris/EDTA buffer pH 9.0 before commencing with IHC staining protocol.

Western blot - Anti-FUBP1/FBP antibody [EPR19208] - BSA and Azide free (AB251543)
  • WB

Supplier Data

Western blot - Anti-FUBP1/FBP antibody [EPR19208] - BSA and Azide free (AB251543)

This data was developed using ab213525, the same antibody clone in a different buffer formulation.

Blocking and dilution buffer : 5% NFDM/TBST.

The expression pattern observed is consistent with the literature (PMID : 24963357).

All lanes:

Western blot - Anti-FUBP1/FBP antibody [EPR19208] (<a href='/en-us/products/primary-antibodies/fubp1-fbp-antibody-epr19208-ab213525'>ab213525</a>) at 1/5000 dilution

Lane 1:

Jurkat (Human T cell leukemia cell line from peripheral blood) whole cell lysate at 10 µg

Lane 2:

HeLa (Human epithelial cell line from cervix adenocarcinoma) whole cell lysate at 10 µg

Lane 3:

Raji (Human Burkitt's lymphoma cell line) whole cell lysate at 10 µg

Secondary

All lanes:

Western blot - Goat Anti-Rabbit IgG H&L (HRP) (<a href='/en-us/products/secondary-antibodies/goat-rabbit-igg-h-l-hrp-ab97051'>ab97051</a>) at 1/100000 dilution

Predicted band size: 68 kDa

Observed band size: 74 kDa

false

Exposure time: 1s

Western blot - Anti-FUBP1/FBP antibody [EPR19208] - BSA and Azide free (AB251543)
  • WB

Supplier Data

Western blot - Anti-FUBP1/FBP antibody [EPR19208] - BSA and Azide free (AB251543)

This data was developed using ab213525, the same antibody clone in a different buffer formulation.

Blocking and dilution buffer : 5% NFDM/TBST.

Exposure times : Lanes 1-3, 5, and 6 : 1 second; Lane 4 : 3 seconds.

The expression pattern observed is consistent with the literature (PMID : 24963357).

Lanes 1 - 2:

Western blot - Anti-FUBP1/FBP antibody [EPR19208] (<a href='/en-us/products/primary-antibodies/fubp1-fbp-antibody-epr19208-ab213525'>ab213525</a>) at 1/1000 dilution

Lanes 3 - 6:

Western blot - Anti-FUBP1/FBP antibody [EPR19208] (<a href='/en-us/products/primary-antibodies/fubp1-fbp-antibody-epr19208-ab213525'>ab213525</a>) at 1/5000 dilution

Lane 1:

Rat brain lysate at 10 µg

Lane 2:

Mouse brain lysate at 10 µg

Lane 3:

C6 (Rat glial tumor cell line) whole cell lysate at 10 µg

Lane 4:

PC-12 (Rat adrenal gland pheochromocytoma cell line) whole cell lysate at 10 µg

Lane 5:

NIH/3T3 (Mouse embryonic fibroblast cell line) whole cell lysate at 10 µg

Lane 6:

RAW 264.7 (Mouse macrophage cell line transformed with Abelson murine leukemia virus) whole cell lysate at 10 µg

Secondary

All lanes:

Western blot - Goat Anti-Rabbit IgG H&L (HRP) (<a href='/en-us/products/secondary-antibodies/goat-rabbit-igg-h-l-hrp-ab97051'>ab97051</a>) at 1/100000 dilution

Predicted band size: 68 kDa

Observed band size: 74 kDa

false

Key facts

Host species

Rabbit

Clonality

Monoclonal

Clone number

EPR19208

Isotype

IgG

Carrier free

Yes

Reacts with

Mouse, Rat, Human

Applications

ICC/IF, IP, IHC-P, WB, Flow Cyt (Intra)

applications

Immunogen

The exact immunogen used to generate this antibody is proprietary information.

Reactivity data

{ "title": "Reactivity Data", "filters": { "stats": ["", "Species", "Dilution Info", "Notes"], "tabs": { "all-applications": {"fullname" : "All Applications", "shortname": "All Applications"}, "ICCIF" : {"fullname" : "Immunocytochemistry/ Immunofluorescence", "shortname":"ICC/IF"}, "IP" : {"fullname" : "Immunoprecipitation", "shortname":"IP"}, "WB" : {"fullname" : "Western blot", "shortname":"WB"}, "FlowCytIntra" : {"fullname" : "Flow Cytometry (Intracellular)", "shortname":"Flow Cyt (Intra)"}, "IHCP" : {"fullname" : "Immunohistochemistry (Formalin/PFA-fixed paraffin-embedded sections)", "shortname":"IHC-P"} }, "product-promise": { "all": "all", "testedAndGuaranteed": "tested", "guaranteed": "expected", "predicted": "predicted", "notRecommended": "not-recommended" } }, "values": { "Human": { "ICCIF-species-checked": "testedAndGuaranteed", "ICCIF-species-dilution-info": "", "ICCIF-species-notes": "<p></p>", "IP-species-checked": "testedAndGuaranteed", "IP-species-dilution-info": "", "IP-species-notes": "<p></p>", "WB-species-checked": "testedAndGuaranteed", "WB-species-dilution-info": "", "WB-species-notes": "<p></p>", "FlowCytIntra-species-checked": "testedAndGuaranteed", "FlowCytIntra-species-dilution-info": "", "FlowCytIntra-species-notes": "<p></p>", "IHCP-species-checked": "testedAndGuaranteed", "IHCP-species-dilution-info": "", "IHCP-species-notes": "<p></p>" }, "Mouse": { "ICCIF-species-checked": "testedAndGuaranteed", "ICCIF-species-dilution-info": "", "ICCIF-species-notes": "<p></p>", "IP-species-checked": "guaranteed", "IP-species-dilution-info": "", "IP-species-notes": "", "WB-species-checked": "testedAndGuaranteed", "WB-species-dilution-info": "", "WB-species-notes": "<p></p>", "FlowCytIntra-species-checked": "guaranteed", "FlowCytIntra-species-dilution-info": "", "FlowCytIntra-species-notes": "", "IHCP-species-checked": "testedAndGuaranteed", "IHCP-species-dilution-info": "", "IHCP-species-notes": "<p></p>" }, "Rat": { "ICCIF-species-checked": "guaranteed", "ICCIF-species-dilution-info": "", "ICCIF-species-notes": "", "IP-species-checked": "guaranteed", "IP-species-dilution-info": "", "IP-species-notes": "", "WB-species-checked": "testedAndGuaranteed", "WB-species-dilution-info": "", "WB-species-notes": "<p></p>", "FlowCytIntra-species-checked": "guaranteed", "FlowCytIntra-species-dilution-info": "", "FlowCytIntra-species-notes": "", "IHCP-species-checked": "testedAndGuaranteed", "IHCP-species-dilution-info": "", "IHCP-species-notes": "<p></p>" } } }

Product details

ab251543 is the carrier-free version of ab213525.

Patented technology
Our RabMAb® technology is a patented hybridoma-based technology for making rabbit monoclonal antibodies. For details on our patents, please refer to RabMAb® patents.

What are the advantages of a recombinant monoclonal antibody?
This product is a recombinant monoclonal antibody, which offers several advantages including:

  • - High batch-to-batch consistency and reproducibility
  • - Improved sensitivity and specificity
  • - Long-term security of supply
  • - Animal-free batch production

For more information, read more on recombinant antibodies.

Conjugation ready
Our carrier-free antibodies are typically supplied in a PBS-only formulation, purified and free of BSA, sodium azide and glycerol. This conjugation-ready format is designed for use with fluorochromes, metal isotopes, oligonucleotides, and enzymes, which makes them ideal for antibody labelling, functional and cell-based assays, flow-based assays (e.g. mass cytometry) and Multiplex Imaging applications.

Use our conjugation kits for antibody conjugates that are ready-to-use in as little as 20 minutes with 1 minute hands-on-time and 100% antibody recovery: available for fluorescent dyes, HRP, biotin and gold.

Compatibility
This product is compatible with the Maxpar® Antibody Labeling Kit from Fluidigm, without the need for antibody preparation. Maxpar® is a trademark of Fluidigm Canada Inc.

Properties and storage information

Form
Liquid
Purification technique
Affinity purification Protein A
Storage buffer
pH: 7.2 - 7.4 Constituents: PBS
Shipped at conditions
Blue Ice
Appropriate short-term storage conditions
+4°C
Appropriate long-term storage conditions
+4°C
Storage information
Do Not Freeze

Supplementary information

This supplementary information is collated from multiple sources and compiled automatically.

The far upstream element-binding protein 1 (FUBP1) also known as FBP or FBP west is a single-stranded DNA-binding protein with a molecular mass of approximately 65 kDa. It is expressed in a range of tissues including the liver brain and hematopoietic cells. Mechanically FUBP1 regulates the transcription of genes by binding to the far upstream element (FUSE) located in proximity to transcription start sites. It plays an important role in modulating transcription factors and aids in the stability of mRNA.
Biological function summary

FUBP1 influences cellular proliferation and differentiation. It does not form part of a larger complex but interacts with different molecules to exert its function. The protein acts as an activator of transcription fostering interaction with RNA polymerase II and other factors to elevate gene expression. FUBP1's activity helps in controlling the cell cycle aiding in the switch between proliferation and cell growth arrest as needed.

Pathways

FUBP1 participates significantly in the c-Myc regulatory and p53 signaling pathways. In the context of the c-Myc pathway FUBP1 boosts the expression of c-Myc by stabilizing its mRNA a process also influenced by the U2 auxiliary factor (U2AF65). In the p53 signaling pathway FUBP1 indirectly influences p53's role in apoptosis and cellular stress responses as its regulatory balance shifts critical cellular processes depending on external and internal cues.

FUBP1's dysregulation relates to cancer and neurological disorders. Overexpression or aberrant regulation of FUBP1 links to tumorigenesis in cancers like liver cancer partially due to its interaction with c-Myc. Additionally mutations or alterations in FUBP1 are associated with oligodendrogliomas a type of brain tumor. Proteins such as p53 also link to these disorders due to FUBP1's involvement in complex signaling networks.

Product protocols

For this product, it's our understanding that no specific protocols are required. You can visit:

Target data

Regulates MYC expression by binding to a single-stranded far-upstream element (FUSE) upstream of the MYC promoter. May act both as activator and repressor of transcription.
See full target information FUBP1

Product promise

We are committed to supporting your work with high-quality reagents, and we're here for you every step of the way. In the unlikely event that one of our products does not perform as expected, you're protected by our Product Promise.
For full details, please see our Terms & Conditions

Please note: All products are 'FOR RESEARCH USE ONLY. NOT FOR USE IN DIAGNOSTIC OR THERAPEUTIC PROCEDURES'.

For licensing inquiries, please contact partnerships@abcam.com