JavaScript is disabled in your browser. Please enable JavaScript to view this website.
AB250363

Anti-FUBP3 antibody [EPR13174-61] - BSA and Azide free

Be the first to review this product! Submit a review

|

(1 Publication)

Rabbit Recombinant Monoclonal FUBP3 antibody. Carrier free. Suitable for IHC-P, ICC/IF, WB and reacts with Human samples. Cited in 1 publication.

View Alternative Names

FBP3, FUBP3, Far upstream element-binding protein 3, FUSE-binding protein 3

5 Images
Immunohistochemistry (Formalin/PFA-fixed paraffin-embedded sections) - Anti-FUBP3 antibody [EPR13174-61] - BSA and Azide free (AB250363)
  • IHC-P

Supplier Data

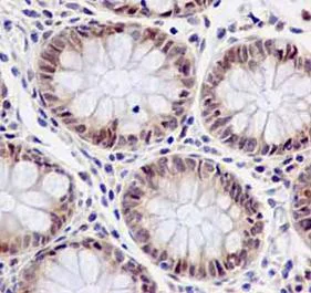
Immunohistochemistry (Formalin/PFA-fixed paraffin-embedded sections) - Anti-FUBP3 antibody [EPR13174-61] - BSA and Azide free (AB250363)

This data was developed using ab181122, the same antibody clone in a different buffer formulation.

Immunohistochemical analysis of paraffin embedded Human colon tissue labeling FUBP3 with ab181122 at a 1/100 dilution. Prediluted HRP Polymer for Rabbit IgG secondary used. Counterstained with Hematoxylin.

Perform heat mediated antigen retrieval with EDTA buffer pH 9 before commencing with IHC staining protocol.

Immunohistochemistry (Formalin/PFA-fixed paraffin-embedded sections) - Anti-FUBP3 antibody [EPR13174-61] - BSA and Azide free (AB250363)
  • IHC-P

Supplier Data

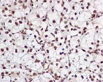
Immunohistochemistry (Formalin/PFA-fixed paraffin-embedded sections) - Anti-FUBP3 antibody [EPR13174-61] - BSA and Azide free (AB250363)

This data was developed using ab181122, the same antibody clone in a different buffer formulation.

Immunohistochemical analysis of paraffin embedded Human kidney clear cell carcinoma tissue labeling FUBP3 with ab181122 at a 1/100 dilution. Prediluted HRP Polymer for Rabbit IgG secondary used. Counterstained with Hematoxylin.

Perform heat mediated antigen retrieval with EDTA buffer pH 9 before commencing with IHC staining protocol.

Immunocytochemistry/ Immunofluorescence - Anti-FUBP3 antibody [EPR13174-61] - BSA and Azide free (AB250363)
  • ICC/IF

Supplier Data

Immunocytochemistry/ Immunofluorescence - Anti-FUBP3 antibody [EPR13174-61] - BSA and Azide free (AB250363)

This data was developed using ab181122, the same antibody clone in a different buffer formulation.

Immunofluorescence analysis of HepG2 cells (fixative 4% paraformaldehyde) labeling FUBP3 with ab181122 at a 1/100 dilution. Goat anti rabbit IgG (Alexa Fluor® 555) secondary used at a 1/200 diution.

Western blot - Anti-FUBP3 antibody [EPR13174-61] - BSA and Azide free (AB250363)
  • WB

Supplier Data

Western blot - Anti-FUBP3 antibody [EPR13174-61] - BSA and Azide free (AB250363)

This data was developed using ab181122, the same antibody clone in a different buffer formulation.

All lanes:

Western blot - Anti-FUBP3 antibody [EPR13174-61] (<a href='/en-us/products/primary-antibodies/fubp3-antibody-epr13174-61-ab181122'>ab181122</a>) at 1/5000 dilution

All lanes:

HepG2 lysate at 20 µg

Secondary

All lanes:

Goat Anti-Rabbit IgG, (H+L), Peroxidase conjugated at 1/1000 dilution

Predicted band size: 62 kDa

false

Western blot - Anti-FUBP3 antibody [EPR13174-61] - BSA and Azide free (AB250363)
  • WB

Supplier Data

Western blot - Anti-FUBP3 antibody [EPR13174-61] - BSA and Azide free (AB250363)

This data was developed using ab181122, the same antibody clone in a different buffer formulation.

All lanes:

Western blot - Anti-FUBP3 antibody [EPR13174-61] (<a href='/en-us/products/primary-antibodies/fubp3-antibody-epr13174-61-ab181122'>ab181122</a>) at 1/20000 dilution

Lane 1:

MCF7 lysate at 20 µg

Lane 2:

U87-MG lysate at 20 µg

Secondary

All lanes:

Goat Anti-Rabbit IgG, (H+L), Peroxidase conjugated at 1/1000 dilution

Predicted band size: 62 kDa

false

Key facts

Host species

Rabbit

Clonality

Monoclonal

Clone number

EPR13174-61

Isotype

IgG

Carrier free

Yes

Reacts with

Human

Applications

ICC/IF, WB, IHC-P

applications

Immunogen

The exact immunogen used to generate this antibody is proprietary information.

Reactivity data

{ "title": "Reactivity Data", "filters": { "stats": ["", "Species", "Dilution Info", "Notes"], "tabs": { "all-applications": {"fullname" : "All Applications", "shortname": "All Applications"}, "IHCP" : {"fullname" : "Immunohistochemistry (Formalin/PFA-fixed paraffin-embedded sections)", "shortname":"IHC-P"}, "ICCIF" : {"fullname" : "Immunocytochemistry/ Immunofluorescence", "shortname":"ICC/IF"}, "WB" : {"fullname" : "Western blot", "shortname":"WB"} }, "product-promise": { "all": "all", "testedAndGuaranteed": "tested", "guaranteed": "expected", "predicted": "predicted", "notRecommended": "not-recommended" } }, "values": { "Human": { "IHCP-species-checked": "testedAndGuaranteed", "IHCP-species-dilution-info": "", "IHCP-species-notes": "<p>For antigen retrieval, heat up to 98 degree C, below boiling, and then let cool for 10-20 minutes.</p>", "ICCIF-species-checked": "testedAndGuaranteed", "ICCIF-species-dilution-info": "", "ICCIF-species-notes": "<p></p>", "WB-species-checked": "testedAndGuaranteed", "WB-species-dilution-info": "", "WB-species-notes": "<p></p>" }, "Mouse": { "IHCP-species-checked": "predicted", "IHCP-species-dilution-info": "", "IHCP-species-notes": "", "ICCIF-species-checked": "predicted", "ICCIF-species-dilution-info": "", "ICCIF-species-notes": "", "WB-species-checked": "predicted", "WB-species-dilution-info": "", "WB-species-notes": "" }, "Rat": { "IHCP-species-checked": "predicted", "IHCP-species-dilution-info": "", "IHCP-species-notes": "", "ICCIF-species-checked": "predicted", "ICCIF-species-dilution-info": "", "ICCIF-species-notes": "", "WB-species-checked": "predicted", "WB-species-dilution-info": "", "WB-species-notes": "" } } }

Product details

ab250363 is the carrier-free version of ab181122.

Patented technology
Our RabMAb® technology is a patented hybridoma-based technology for making rabbit monoclonal antibodies. For details on our patents, please refer to RabMAb® patents.

What are the advantages of a recombinant monoclonal antibody?
This product is a recombinant monoclonal antibody, which offers several advantages including:

  • - High batch-to-batch consistency and reproducibility
  • - Improved sensitivity and specificity
  • - Long-term security of supply
  • - Animal-free batch production

For more information, read more on recombinant antibodies.

Conjugation ready
Our carrier-free antibodies are typically supplied in a PBS-only formulation, purified and free of BSA, sodium azide and glycerol. This conjugation-ready format is designed for use with fluorochromes, metal isotopes, oligonucleotides, and enzymes, which makes them ideal for antibody labelling, functional and cell-based assays, flow-based assays (e.g. mass cytometry) and Multiplex Imaging applications.

Use our conjugation kits for antibody conjugates that are ready-to-use in as little as 20 minutes with 1 minute hands-on-time and 100% antibody recovery: available for fluorescent dyes, HRP, biotin and gold.

Compatibility
This product is compatible with the Maxpar® Antibody Labeling Kit from Fluidigm, without the need for antibody preparation. Maxpar® is a trademark of Fluidigm Canada Inc.

Properties and storage information

Form
Liquid
Purification technique
Affinity purification
Storage buffer
pH: 7.2 - 7.4 Constituents: PBS
Shipped at conditions
Blue Ice
Appropriate short-term storage conditions
+4°C
Appropriate long-term storage conditions
+4°C
Storage information
Do Not Freeze

Supplementary information

This supplementary information is collated from multiple sources and compiled automatically.

FUBP3 also known as Far Upstream Element Binding Protein 3 plays a mechanical role in cellular functions through binding to DNA and RNA. This protein belongs to the family of FUSE-binding proteins that regulate gene expression at the transcriptional and translational level. It has a molecular mass of about 65 kDa. FUBP3 is highly expressed in the nucleus of various cell types including neurons and immune cells reflecting its role in cellular processes.
Biological function summary

FUBP3 acts as a regulator of gene expression by interacting with RNA and influencing RNA stability and translation. It usually functions as part of a complex with other proteins modulating transcription factors that control cell growth and differentiation. Through these interactions FUBP3 can switch genes on and off significantly affecting cellular behavior and the cellular response to environmental changes.

Pathways

The function of FUBP3 contributes to the control of the cell cycle and apoptosis pathways. Within the cell cycle it acts alongside proteins like p53 to ensure cells progress correctly through various phase transitions. In the context of apoptosis FUBP3 interacts with Bcl-2 family proteins influencing cell survival and programmed cell death. These pathways show how FUBP3 coordinates with other proteins to maintain cellular equilibrium.

Deregulation of FUBP3 has connections to cancer and neurodegenerative diseases. Its abnormal expression can lead to tumor development by disrupting normal cell cycle and apoptotic control often involving interactions with the tumor suppressor protein p53. Furthermore alterations in FUBP3 function have links to neurodegenerative disorders potentially through interactions with tau proteins which are central to diseases like Alzheimer's disease.

Product protocols

For this product, it's our understanding that no specific protocols are required. You can visit:

Target data

May interact with single-stranded DNA from the far-upstream element (FUSE). May activate gene expression.
See full target information FUBP3

Publications (1)

Recent publications for all applications. Explore the full list and refine your search

Evidence-based complementary and alternative medicine : eCAM 2022:7757833 PubMed36091585

2022

Esculentoside A Alleviates Intestinal Dysmotility in Ulcerative Colitis by Regulating HS/CSE and NO/nNOS Systems.

Applications

Unspecified application

Species

Unspecified reactive species

Ying Liu,Wenhua Wei,Shiwei Liang,Haicheng Fang,Jie Cao
View all publications

Product promise

We are committed to supporting your work with high-quality reagents, and we're here for you every step of the way. In the unlikely event that one of our products does not perform as expected, you're protected by our Product Promise.
For full details, please see our Terms & Conditions

Please note: All products are 'FOR RESEARCH USE ONLY. NOT FOR USE IN DIAGNOSTIC OR THERAPEUTIC PROCEDURES'.

For licensing inquiries, please contact partnerships@abcam.com