JavaScript is disabled in your browser. Please enable JavaScript to view this website.
AB230324

Anti-FUCA1 antibody

1

(1 Review)

|

(1 Publication)

Rabbit Polyclonal FUCA1 antibody. Suitable for IHC-P, WB, Flow Cyt (Intra) and reacts with Human samples. Cited in 1 publication. Immunogen corresponding to Synthetic Peptide within Human FUCA1 aa 250-300 conjugated to Keyhole Limpet Haemocyanin.

View Alternative Names

Nbla10230, FUCA1, Tissue alpha-L-fucosidase, Alpha-L-fucosidase I, Alpha-L-fucoside fucohydrolase 1, Alpha-L-fucosidase 1

3 Images
Flow Cytometry (Intracellular) - Anti-FUCA1 antibody (AB230324)
  • Flow Cyt (Intra)

Supplier Data

Flow Cytometry (Intracellular) - Anti-FUCA1 antibody (AB230324)

Intracellular flow cytometric analysis ofHepG2 (human liver hepatocellular carcinoma cell line) cells labeling FUCA1 with ab230324 at 1/10 dilution (green) compared with a negative control (blue).

FITC-conjugated goat-anti-rabbit secondary antibodies were used for the analysis.

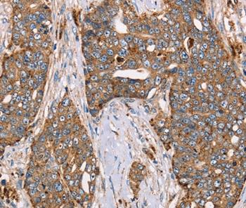
Immunohistochemistry (Formalin/PFA-fixed paraffin-embedded sections) - Anti-FUCA1 antibody (AB230324)
  • IHC-P

Supplier Data

Immunohistochemistry (Formalin/PFA-fixed paraffin-embedded sections) - Anti-FUCA1 antibody (AB230324)

Formalin-fixed, paraffin-embedded human kidney tissue stained for FUCA1 using ab230324 (5 μg/ml) in immunohistochemical analysis.

Western blot - Anti-FUCA1 antibody (AB230324)
  • WB

Supplier Data

Western blot - Anti-FUCA1 antibody (AB230324)

All lanes:

Western blot - Anti-FUCA1 antibody (ab230324) at 1/1000 dilution

All lanes:

HepG2 (human liver hepatocellular carcinoma cell line) cell lysate at 35 µg

Predicted band size: 54 kDa

false

Key facts

Host species

Rabbit

Clonality

Polyclonal

Isotype

IgG

Carrier free

No

Reacts with

Human

Applications

IHC-P, WB, Flow Cyt (Intra)

applications

Immunogen

Synthetic Peptide within Human FUCA1 aa 250-300 conjugated to Keyhole Limpet Haemocyanin. The exact immunogen used to generate this antibody is proprietary information.

P04066

Reactivity data

{ "title": "Reactivity Data", "filters": { "stats": ["", "Species", "Dilution Info", "Notes"], "tabs": { "all-applications": {"fullname" : "All Applications", "shortname": "All Applications"}, "IHCP" : {"fullname" : "Immunohistochemistry (Formalin/PFA-fixed paraffin-embedded sections)", "shortname":"IHC-P"}, "WB" : {"fullname" : "Western blot", "shortname":"WB"}, "FlowCytIntra" : {"fullname" : "Flow Cytometry (Intracellular)", "shortname":"Flow Cyt (Intra)"} }, "product-promise": { "all": "all", "testedAndGuaranteed": "tested", "guaranteed": "expected", "predicted": "predicted", "notRecommended": "not-recommended" } }, "values": { "Human": { "IHCP-species-checked": "testedAndGuaranteed", "IHCP-species-dilution-info": "5 µg/mL", "IHCP-species-notes": "<p></p>", "WB-species-checked": "testedAndGuaranteed", "WB-species-dilution-info": "1/1000", "WB-species-notes": "<p></p>", "FlowCytIntra-species-checked": "testedAndGuaranteed", "FlowCytIntra-species-dilution-info": "", "FlowCytIntra-species-notes": "<p></p>" }, "Mouse": { "IHCP-species-checked": "predicted", "IHCP-species-dilution-info": "", "IHCP-species-notes": "", "WB-species-checked": "predicted", "WB-species-dilution-info": "", "WB-species-notes": "", "FlowCytIntra-species-checked": "predicted", "FlowCytIntra-species-dilution-info": "", "FlowCytIntra-species-notes": "" }, "Cynomolgus monkey": { "IHCP-species-checked": "predicted", "IHCP-species-dilution-info": "", "IHCP-species-notes": "", "WB-species-checked": "predicted", "WB-species-dilution-info": "", "WB-species-notes": "", "FlowCytIntra-species-checked": "predicted", "FlowCytIntra-species-dilution-info": "", "FlowCytIntra-species-notes": "" } } }

Properties and storage information

Form
Liquid
Purification technique
Precipitation Ammonium Sulphate
Storage buffer
pH: 7.4 Preservative: 0.09% Sodium azide Constituents: PBS
Shipped at conditions
Blue Ice
Appropriate short-term storage duration
1-2 weeks
Appropriate short-term storage conditions
+4°C
Appropriate long-term storage conditions
-20°C
Aliquoting information
Upon delivery aliquot
Storage information
Avoid freeze / thaw cycle

Supplementary information

This supplementary information is collated from multiple sources and compiled automatically.

The protein known as 'alpha-L-fucosidase' or more commonly 'FUCA1' works as an enzyme breaking down complex carbohydrates by removing terminal alpha-L-fucose residues. This enzyme weighs approximately 51 kDa. It mainly expresses in tissues such as the liver pancreas and kidney playing a role in glycoprotein metabolism. Sometimes researchers refer to it simply as 'fucosidase' reflecting its central activity in fucose metabolism.
Biological function summary

FUCA1 impacts various cellular functions through its role in glycan processing. This enzyme is not typically part of a larger complex working independently to hydrolyze glycosidic bonds. Its action is important in the catabolism of fucosylated glycoproteins and glycolipids influencing cell signaling and recognition. Alterations in FUCA1 activity can disrupt these processes affecting cellular homeostasis.

Pathways

FUCA1 plays a role in the metabolism of glycosaminoglycans and glycoproteins. It contributes to the lysosomal degradation pathway alongside related enzymes such as beta-galactosidase. FUCA1's activity ensures the correct recycling of glycoproteins maintaining the balance of cellular components. The defect or overactivity of FUCA1 may have cascading effects throughout these pathways linking it with potential metabolic imbalances.

FUCA1 connects closely with fucosidosis a lysosomal storage disorder caused by FUCA1 deficiency. This leads to an accumulation of fucose-containing compounds resulting in progressive neurological decline. Additionally some studies suggest a link between altered FUCA1 expression and certain cancers due to its role in cellular recognition and signaling. In cancer this enzyme's interaction with other glycoprotein-processing enzymes becomes highlighted highlighting the complex interplay within disease contexts.

Product protocols

For this product, it's our understanding that no specific protocols are required. You can visit:

Target data

Alpha-L-fucosidase is responsible for hydrolyzing the alpha-1,6-linked fucose joined to the reducing-end N-acetylglucosamine of the carbohydrate moieties of glycoproteins.
See full target information FUCA1

Publications (1)

Recent publications for all applications. Explore the full list and refine your search

BMC genomics 20:363 PubMed31072381

2019

Transcriptomic and proteomic analyses of genetic factors influencing adductor muscle coloration in QN Orange scallops.

Applications

Unspecified application

Species

Unspecified reactive species

Junlin Song,Chunde Wang
View all publications

Product promise

We are committed to supporting your work with high-quality reagents, and we're here for you every step of the way. In the unlikely event that one of our products does not perform as expected, you're protected by our Product Promise.
For full details, please see our Terms & Conditions

Please note: All products are 'FOR RESEARCH USE ONLY. NOT FOR USE IN DIAGNOSTIC OR THERAPEUTIC PROCEDURES'.

For licensing inquiries, please contact partnerships@abcam.com