JavaScript is disabled in your browser. Please enable JavaScript to view this website.
AB197984

Anti-FUCA1 antibody - C-terminal

Be the first to review this product! Submit a review

|

(1 Publication)

Rabbit Polyclonal FUCA1 antibody. C-terminal. Suitable for WB, IHC-P and reacts with Human samples. Cited in 1 publication. Immunogen corresponding to Recombinant Fragment Protein within Human FUCA1.

View Alternative Names

Nbla10230, FUCA1, Tissue alpha-L-fucosidase, Alpha-L-fucosidase I, Alpha-L-fucoside fucohydrolase 1, Alpha-L-fucosidase 1

2 Images
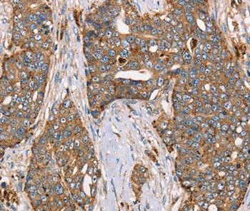
Immunohistochemistry (Formalin/PFA-fixed paraffin-embedded sections) - Anti-FUCA1 antibody - C-terminal (AB197984)
  • IHC-P

Supplier Data

Immunohistochemistry (Formalin/PFA-fixed paraffin-embedded sections) - Anti-FUCA1 antibody - C-terminal (AB197984)

Immunohistochemical analysis of paraffin-embedded Human cervical cancer tissue labeling FUCA1 with ab197984 at 1/30 dilution.

Western blot - Anti-FUCA1 antibody - C-terminal (AB197984)
  • WB

Supplier Data

Western blot - Anti-FUCA1 antibody - C-terminal (AB197984)

8% SDS-PAGE

All lanes:

Western blot - Anti-FUCA1 antibody - C-terminal (ab197984) at 1/500 dilution

All lanes:

Human placenta tissue lysate at 60 µg

Predicted band size: 54 kDa

false

Key facts

Host species

Rabbit

Clonality

Polyclonal

Isotype

IgG

Carrier free

No

Reacts with

Human

Applications

WB, IHC-P

applications

Immunogen

Recombinant Fragment Protein within Human FUCA1. The exact immunogen used to generate this antibody is proprietary information.

P04066

Reactivity data

{ "title": "Reactivity Data", "filters": { "stats": ["", "Species", "Dilution Info", "Notes"], "tabs": { "all-applications": {"fullname" : "All Applications", "shortname": "All Applications"}, "WB" : {"fullname" : "Western blot", "shortname":"WB"}, "IHCP" : {"fullname" : "Immunohistochemistry (Formalin/PFA-fixed paraffin-embedded sections)", "shortname":"IHC-P"} }, "product-promise": { "all": "all", "testedAndGuaranteed": "tested", "guaranteed": "expected", "predicted": "predicted", "notRecommended": "not-recommended" } }, "values": { "Human": { "WB-species-checked": "testedAndGuaranteed", "WB-species-dilution-info": "1/500 - 1/2000", "WB-species-notes": "<p></p>", "IHCP-species-checked": "testedAndGuaranteed", "IHCP-species-dilution-info": "1/30 - 1/200", "IHCP-species-notes": "<p></p>" } } }

Properties and storage information

Form
Liquid
Purification technique
Affinity purification Immunogen
Storage buffer
pH: 7.4 Preservative: 0.05% Sodium azide Constituents: PBS, 50% Glycerol (glycerin, glycerine)
Shipped at conditions
Blue Ice
Appropriate short-term storage duration
1-2 weeks
Appropriate short-term storage conditions
+4°C
Appropriate long-term storage conditions
-20°C
Aliquoting information
Upon delivery aliquot
Storage information
Avoid freeze / thaw cycle

Supplementary information

This supplementary information is collated from multiple sources and compiled automatically.

The protein known as 'alpha-L-fucosidase' or more commonly 'FUCA1' works as an enzyme breaking down complex carbohydrates by removing terminal alpha-L-fucose residues. This enzyme weighs approximately 51 kDa. It mainly expresses in tissues such as the liver pancreas and kidney playing a role in glycoprotein metabolism. Sometimes researchers refer to it simply as 'fucosidase' reflecting its central activity in fucose metabolism.
Biological function summary

FUCA1 impacts various cellular functions through its role in glycan processing. This enzyme is not typically part of a larger complex working independently to hydrolyze glycosidic bonds. Its action is important in the catabolism of fucosylated glycoproteins and glycolipids influencing cell signaling and recognition. Alterations in FUCA1 activity can disrupt these processes affecting cellular homeostasis.

Pathways

FUCA1 plays a role in the metabolism of glycosaminoglycans and glycoproteins. It contributes to the lysosomal degradation pathway alongside related enzymes such as beta-galactosidase. FUCA1's activity ensures the correct recycling of glycoproteins maintaining the balance of cellular components. The defect or overactivity of FUCA1 may have cascading effects throughout these pathways linking it with potential metabolic imbalances.

FUCA1 connects closely with fucosidosis a lysosomal storage disorder caused by FUCA1 deficiency. This leads to an accumulation of fucose-containing compounds resulting in progressive neurological decline. Additionally some studies suggest a link between altered FUCA1 expression and certain cancers due to its role in cellular recognition and signaling. In cancer this enzyme's interaction with other glycoprotein-processing enzymes becomes highlighted highlighting the complex interplay within disease contexts.

Product protocols

For this product, it's our understanding that no specific protocols are required. You can visit:

Target data

Alpha-L-fucosidase is responsible for hydrolyzing the alpha-1,6-linked fucose joined to the reducing-end N-acetylglucosamine of the carbohydrate moieties of glycoproteins.
See full target information FUCA1

Publications (1)

Recent publications for all applications. Explore the full list and refine your search

Nature 608:778-783 PubMed35922516

2022

A non-canonical vitamin K cycle is a potent ferroptosis suppressor.

Applications

Unspecified application

Species

Unspecified reactive species

Eikan Mishima,Junya Ito,Zijun Wu,Toshitaka Nakamura,Adam Wahida,Sebastian Doll,Wulf Tonnus,Palina Nepachalovich,Elke Eggenhofer,Maceler Aldrovandi,Bernhard Henkelmann,Ken-Ichi Yamada,Jonas Wanninger,Omkar Zilka,Emiko Sato,Regina Feederle,Daniela Hass,Adriano Maida,André Santos Dias Mourão,Andreas Linkermann,Edward K Geissler,Kiyotaka Nakagawa,Takaaki Abe,Maria Fedorova,Bettina Proneth,Derek A Pratt,Marcus Conrad
View all publications

Product promise

We are committed to supporting your work with high-quality reagents, and we're here for you every step of the way. In the unlikely event that one of our products does not perform as expected, you're protected by our Product Promise.
For full details, please see our Terms & Conditions

Please note: All products are 'FOR RESEARCH USE ONLY. NOT FOR USE IN DIAGNOSTIC OR THERAPEUTIC PROCEDURES'.

For licensing inquiries, please contact partnerships@abcam.com