JavaScript is disabled in your browser. Please enable JavaScript to view this website.
AB151998

Anti-Fumarylacetoacetate hydrolase/FAA antibody

Be the first to review this product! Submit a review

|

(4 Publications)

Rabbit Polyclonal Fumarylacetoacetate hydrolase/FAA antibody. Suitable for WB, ICC/IF, IHC-P and reacts with Human, Mouse, Rat samples. Cited in 4 publications. Immunogen corresponding to Recombinant Fragment Protein within Human FAH aa 150 to C-terminus.

View Alternative Names

Fumarylacetoacetase, FAA, Beta-diketonase, Fumarylacetoacetate hydrolase, FAH

5 Images
Immunohistochemistry (Formalin/PFA-fixed paraffin-embedded sections) - Anti-Fumarylacetoacetate hydrolase/FAA antibody (AB151998)
  • IHC-P

Supplier Data

Immunohistochemistry (Formalin/PFA-fixed paraffin-embedded sections) - Anti-Fumarylacetoacetate hydrolase/FAA antibody (AB151998)

Immunohistochemical analysis of paraffin embedded rat brain and liver tissue stained for FAH protein with ab151998 at a 1/500 dilution.

Antigen retrieval : Citrate buffer, pH 6.0, 15 min

Immunohistochemistry (Formalin/PFA-fixed paraffin-embedded sections) - Anti-Fumarylacetoacetate hydrolase/FAA antibody (AB151998)
  • IHC-P

Supplier Data

Immunohistochemistry (Formalin/PFA-fixed paraffin-embedded sections) - Anti-Fumarylacetoacetate hydrolase/FAA antibody (AB151998)

Immunohistochemical analysis of paraffin embedded mouse kidney and liver tissue stained for FAH protein with ab151998 at a 1/500 dilution.

Antigen retrieval : Citrate buffer, pH 6.0, 15 min

Western blot - Anti-Fumarylacetoacetate hydrolase/FAA antibody (AB151998)
  • WB

Supplier Data

Western blot - Anti-Fumarylacetoacetate hydrolase/FAA antibody (AB151998)

All lanes:

Western blot - Anti-Fumarylacetoacetate hydrolase/FAA antibody (ab151998) at 1/1000 dilution

All lanes:

Mouse liver lysate at 50 µg

Predicted band size: 46 kDa

false

Western blot - Anti-Fumarylacetoacetate hydrolase/FAA antibody (AB151998)
  • WB

Supplier Data

Western blot - Anti-Fumarylacetoacetate hydrolase/FAA antibody (AB151998)

All lanes:

Western blot - Anti-Fumarylacetoacetate hydrolase/FAA antibody (ab151998) at 1/1000 dilution

All lanes:

Mouse kidney lysate at 50 µg

Predicted band size: 46 kDa

false

Western blot - Anti-Fumarylacetoacetate hydrolase/FAA antibody (AB151998)
  • WB

Supplier Data

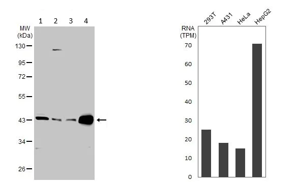
Western blot - Anti-Fumarylacetoacetate hydrolase/FAA antibody (AB151998)

Samples were separated by 10% SDS-PAGE. Corresponding RNA expression data for the same cell lines are based on Human Protein Atlas program.

All lanes:

Western blot - Anti-Fumarylacetoacetate hydrolase/FAA antibody (ab151998) at 1/1000 dilution

Lane 1:

293T whole cell extracts at 30 µg

Lane 2:

A431 whole cell extracts at 30 µg

Lane 3:

HeLa whole cell extracts at 30 µg

Lane 4:

HepG2 whole cell extracts at 30 µg

Secondary

All lanes:

HRP-conjugated anti-rabbit IgG antibody

false

Key facts

Host species

Rabbit

Clonality

Polyclonal

Isotype

IgG

Carrier free

No

Reacts with

Mouse, Rat, Human

Applications

IHC-P, ICC/IF, WB

applications

Immunogen

Recombinant Fragment Protein within Human FAH aa 150 to C-terminus. The exact immunogen used to generate this antibody is proprietary information.

P16930

Reactivity data

{ "title": "Reactivity Data", "filters": { "stats": ["", "Species", "Dilution Info", "Notes"], "tabs": { "all-applications": {"fullname" : "All Applications", "shortname": "All Applications"}, "WB" : {"fullname" : "Western blot", "shortname":"WB"}, "ICCIF" : {"fullname" : "Immunocytochemistry/ Immunofluorescence", "shortname":"ICC/IF"}, "IHCP" : {"fullname" : "Immunohistochemistry (Formalin/PFA-fixed paraffin-embedded sections)", "shortname":"IHC-P"} }, "product-promise": { "all": "all", "testedAndGuaranteed": "tested", "guaranteed": "expected", "predicted": "predicted", "notRecommended": "not-recommended" } }, "values": { "Human": { "WB-species-checked": "testedAndGuaranteed", "WB-species-dilution-info": "1/500 - 1/3000", "WB-species-notes": "<p></p>", "ICCIF-species-checked": "testedAndGuaranteed", "ICCIF-species-dilution-info": "1/100 - 1/1000", "ICCIF-species-notes": "<p></p>", "IHCP-species-checked": "guaranteed", "IHCP-species-dilution-info": "", "IHCP-species-notes": "" }, "Mouse": { "WB-species-checked": "testedAndGuaranteed", "WB-species-dilution-info": "1/500 - 1/3000", "WB-species-notes": "<p></p>", "ICCIF-species-checked": "guaranteed", "ICCIF-species-dilution-info": "", "ICCIF-species-notes": "", "IHCP-species-checked": "testedAndGuaranteed", "IHCP-species-dilution-info": "", "IHCP-species-notes": "<p></p>" }, "Rat": { "WB-species-checked": "guaranteed", "WB-species-dilution-info": "", "WB-species-notes": "", "ICCIF-species-checked": "guaranteed", "ICCIF-species-dilution-info": "", "ICCIF-species-notes": "", "IHCP-species-checked": "testedAndGuaranteed", "IHCP-species-dilution-info": "", "IHCP-species-notes": "<p></p>" }, "Cow": { "WB-species-checked": "predicted", "WB-species-dilution-info": "", "WB-species-notes": "", "ICCIF-species-checked": "predicted", "ICCIF-species-dilution-info": "", "ICCIF-species-notes": "", "IHCP-species-checked": "predicted", "IHCP-species-dilution-info": "", "IHCP-species-notes": "" } } }

Properties and storage information

Form
Liquid
Purification technique
Affinity purification Immunogen
Storage buffer
pH: 7 Preservative: 0.01% Thimerosal (merthiolate) Constituents: 20% Glycerol (glycerin, glycerine), 1.21% Tris, 0.75% Glycine
Shipped at conditions
Blue Ice
Appropriate short-term storage conditions
+4°C
Appropriate long-term storage conditions
-20°C
Aliquoting information
Upon delivery aliquot
Storage information
Avoid freeze / thaw cycle

Supplementary information

This supplementary information is collated from multiple sources and compiled automatically.

Fumarylacetoacetate hydrolase (FAH) sometimes known as FAA hydrolase is an enzyme involved in the last step of tyrosine degradation. It catalyzes the hydrolysis of fumarylacetoacetate into fumarate and acetoacetate facilitating the breakdown of amino acids. This enzyme typically has a molecular mass of around 46 kDa. FAH is mostly expressed in the liver and kidneys reflecting its role in detoxifying metabolic byproducts in these organs.
Biological function summary

FAH plays a critical role in the catabolism of the amino acid tyrosine. It functions as a monomer rather than part of a larger protein complex. The enzyme's activity ensures the conversion of potentially toxic intermediates into less harmful components that the body can either utilize or excrete. This conversion is essential for maintaining metabolic equilibrium and preventing the accumulation of toxic metabolites which can damage cells.

Pathways

FAH is integral to the tyrosine degradation pathway. The breakdown process involves several enzymes with FAH being the final step converting fumarylacetoacetate. Enzymes like homogentisate 12-dioxygenase which acts earlier in the pathway are related to FAH within this context. This pathway is important for energy production and the synthesis of important biomolecules making each step's function interconnected with cellular health and metabolism.

Defects in FAH activity lead to hereditary tyrosinemia type I a metabolic disorder characterized by the accumulation of toxic intermediates due to disrupted tyrosine degradation. This disorder results in severe liver and kidney damage if not managed appropriately. Other proteins such as tyrosine aminotransferase can also be affected by analogous disruptions in the same metabolic pathway contributing to metabolic diseases when their function becomes impaired through the pathway's imbalances.

Product protocols

For this product, it's our understanding that no specific protocols are required. You can visit:

Publications (4)

Recent publications for all applications. Explore the full list and refine your search

Stem cell reports 19:877-889 PubMed38729156

2024

Functional mouse hepatocytes derived from interspecies chimeric livers effectively mitigate chronic liver fibrosis.

Applications

Unspecified application

Species

Unspecified reactive species

Cheng Huang,Haiping Jiang,Jingxi Dong,Liyuan Jiang,Jie Li,Jing Xu,Tongtong Cui,Leyun Wang,Xin Li,Guihai Feng,Ying Zhang,Tianda Li,Wei Li,Qi Zhou

Frontiers in immunology 15:1386528 PubMed38590527

2024

The interplay of inflammation and placenta in maternal diabetes: insights into Hofbauer cell expression patterns.

Applications

Unspecified application

Species

Unspecified reactive species

Zdenek Tauber,Adela Burianova,Katerina Koubova,Max Mrstik,Marie Jirkovska,Katerina Cizkova

Science advances 9:eadf4490 PubMed37058568

2023

IL-6-GP130 signaling protects human hepatocytes against lipid droplet accumulation in humanized liver models.

Applications

Unspecified application

Species

Unspecified reactive species

Marisa Carbonaro,Kehui Wang,Hui Huang,Davor Frleta,Aditi Patel,Alexander Pennington,Mathieu Desclaux,Sven Moller-Tank,Justin Grindley,Judith Altarejos,Jun Zhong,Greg Polites,William Poueymirou,Stephen Jaspers,Christos Kyratsous,Brian Zambrowicz,Andrew Murphy,John C Lin,Lynn E Macdonald,Christopher Daly,Mark Sleeman,Gavin Thurston,Zhe Li

Scientific reports 12:14079 PubMed35982097

2022

Efficient engraftment and viral transduction of human hepatocytes in an FRG rat liver humanization model.

Applications

Unspecified application

Species

Unspecified reactive species

Marisa Carbonaro,Jeffrey Lee,Evangelos Pefanis,Mathieu Desclaux,Kehui Wang,Alexander Pennington,Hui Huang,Alejo Mujica,Jose Rojas,Roxanne Ally,Daniel Kennedy,Michael Brown,Vitaliy Rogulin,Sven Moller-Tank,Leah Sabin,Brian Zambrowicz,Gavin Thurston,Zhe Li
View all publications

Product promise

We are committed to supporting your work with high-quality reagents, and we're here for you every step of the way. In the unlikely event that one of our products does not perform as expected, you're protected by our Product Promise.
For full details, please see our Terms & Conditions

Please note: All products are 'FOR RESEARCH USE ONLY. NOT FOR USE IN DIAGNOSTIC OR THERAPEUTIC PROCEDURES'.

For licensing inquiries, please contact partnerships@abcam.com