JavaScript is disabled in your browser. Please enable JavaScript to view this website.
AB110082

Anti-FUT3 antibody

5

(1 Review)

|

(3 Publications)

Rabbit Polyclonal FUT3 antibody. Suitable for IHC-P, WB and reacts with Human samples. Cited in 3 publications. Immunogen corresponding to Synthetic Peptide within Human FUT3.

View Alternative Names

FT3B, LE, FUT3, 3-galactosyl-N-acetylglucosaminide 4-alpha-L-fucosyltransferase FUT3, 4-galactosyl-N-acetylglucosaminide 3-alpha-L-fucosyltransferase, Alpha-3-fucosyltransferase FUT3, Blood group Lewis alpha-4-fucosyltransferase, Fucosyltransferase 3, Fucosyltransferase III, Lewis FT, FucT-III

2 Images
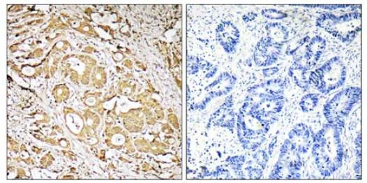
Immunohistochemistry (Formalin/PFA-fixed paraffin-embedded sections) - Anti-FUT3 antibody (AB110082)
  • IHC-P

Unknown

Immunohistochemistry (Formalin/PFA-fixed paraffin-embedded sections) - Anti-FUT3 antibody (AB110082)

Immunohistochemical analysis of Blood Group Lewis b in paraffin embedded Human colon carcinoma tissue, using a 1/50 dilution of ab110082 with (right image) or without (left image) immunizig peptide.

Western blot - Anti-FUT3 antibody (AB110082)
  • WB

Unknown

Western blot - Anti-FUT3 antibody (AB110082)

All lanes:

Western blot - Anti-FUT3 antibody (ab110082) at 1/500 dilution

Lane 1:

extracts from K562 cells at 30 µg

Lane 2:

extracts from Jurkat cells at 30 µg

Lane 3:

extracts from Jurkat cells at 30 µg with immunizing peptide

Predicted band size: 42 kDa

false

Key facts

Host species

Rabbit

Clonality

Polyclonal

Isotype

IgG

Carrier free

No

Reacts with

Human

Applications

WB, IHC-P

applications

Immunogen

Synthetic Peptide within Human FUT3. The exact immunogen used to generate this antibody is proprietary information.

P21217

Reactivity data

{ "title": "Reactivity Data", "filters": { "stats": ["", "Species", "Dilution Info", "Notes"], "tabs": { "all-applications": {"fullname" : "All Applications", "shortname": "All Applications"}, "IHCP" : {"fullname" : "Immunohistochemistry (Formalin/PFA-fixed paraffin-embedded sections)", "shortname":"IHC-P"}, "WB" : {"fullname" : "Western blot", "shortname":"WB"} }, "product-promise": { "all": "all", "testedAndGuaranteed": "tested", "guaranteed": "expected", "predicted": "predicted", "notRecommended": "not-recommended" } }, "values": { "Human": { "IHCP-species-checked": "testedAndGuaranteed", "IHCP-species-dilution-info": "1/50.00000 - 1/100.00000", "IHCP-species-notes": "<p></p> Perform heat-mediated antigen retrieval with citrate buffer pH 6 before commencing with IHC staining protocol.", "WB-species-checked": "testedAndGuaranteed", "WB-species-dilution-info": "1/500.00000 - 1/1000.00000", "WB-species-notes": "<p></p>" } } }

Properties and storage information

Form
Liquid
Purification technique
Affinity purification Immunogen
Storage buffer
pH: 7.4 Preservative: 0.02% Sodium azide Constituents: PBS, 50% Glycerol (glycerin, glycerine), 0.88% Sodium chloride
Shipped at conditions
Blue Ice
Appropriate short-term storage conditions
+4°C
Appropriate long-term storage conditions
-20°C
Storage information
Stable for 12 months at -20°C

Supplementary information

This supplementary information is collated from multiple sources and compiled automatically.

The FUT3 protein also known as fucosyltransferase 3 plays an important role in catalyzing the addition of fucose a type of sugar to precursor carbohydrates. This process is essential for the synthesis of Lewis blood group antigens. The molecular mass of FUT3 is approximately 43 kDa. It is mainly expressed in the gastrointestinal tract and liver though its presence is also noted in other tissues to a lesser extent.
Biological function summary

FUT3 contributes to the formation of fucosylated oligosaccharide structures on glycoproteins and glycolipids. It is not strictly part of a multi-protein complex but works closely intertwined with other glycosyltransferases for effective oligosaccharide biosynthesis. FUT3's activity influences cell-cell recognition and signaling processes by modifying cell surface carbohydrate structures.

Pathways

FUT3 is heavily involved in glycosphingolipid biosynthesis and the metabolic pathway of glycan structures. FUT3 works together with other fucosyltransferases such as FUT1 and FUT2 in these pathways dictating the structural diversity and functionality of various glycoconjugates. These pathways are important for cellular interactions and communication impacting blood group antigen expression.

Mutations or altered expression of FUT3 have connections with certain cancers and leukocyte adhesion deficiencies. In specific colorectal and gastric cancers changes in FUT3 expression levels correlate with tumor progression and metastasis. FUT3 also interacts with proteins like E-selectin in immune-related disorders affecting leukocyte extravasation and inflammation processes.

Product protocols

For this product, it's our understanding that no specific protocols are required. You can visit:

Target data

Catalyzes the transfer of L-fucose, from a guanosine diphosphate-beta-L-fucose, to both the subterminal N-acetyl glucosamine (GlcNAc) of type 1 chain (beta-D-Gal-(1->3)-beta-D-GlcNAc) glycolipids and oligosaccharides via an alpha(1,4) linkage, and the subterminal glucose (Glc) or GlcNAc of type 2 chain (beta-D-Gal-(1->4)-beta-D-GlcNAc) oligosaccharides via an alpha(1,3) linkage, independently of the presence of terminal alpha-L-fucosyl-(1,2) moieties on the terminal galactose of these acceptors (PubMed : 11058871, PubMed : 12668675, PubMed : 1977660). Through its catalytic activity, participates in the synthesis of antigens of the Lewis blood group system, i.e. Lewis a (Le(a)), lewis b (Le(b)), Lewis x/SSEA-1 (Le(x)) and lewis y (Le(y)) antigens (PubMed : 11058871, PubMed : 12668675, PubMed : 1977660). Also catalyzes the transfer of L-fucose to subterminal GlcNAc of sialyl- and disialyl-lactotetraosylceramide to produce sialyl Lewis a (sLe(a)) and disialyl Lewis a via an alpha(1,4) linkage and therefore may regulate cell surface sLe(a) expression and consequently regulates adhesive properties to E-selectin, cell proliferation and migration (PubMed : 11058871, PubMed : 12668675, PubMed : 27453266). Catalyzes the transfer of an L-fucose to 3'-sialyl-N-acetyllactosamine by an alpha(1,3) linkage, which allows the formation of sialyl-Lewis x structure and therefore may regulate the sialyl-Lewis x surface antigen expression and consequently adhesive properties to E-selectin (PubMed : 11058871, PubMed : 29593094). Prefers type 1 chain over type 2 acceptors (PubMed : 7721776). Type 1 tetrasaccharide is a better acceptor than type 1 disaccharide suggesting that a beta anomeric configuration of GlcNAc in the substrate is preferred (PubMed : 7721776). Lewis-positive (Le(+)) individuals have an active enzyme while Lewis-negative (Le(-)) individuals have an inactive enzyme (PubMed : 1977660).
See full target information FUT3

Publications (3)

Recent publications for all applications. Explore the full list and refine your search

Nature cell biology 21:627-639 PubMed30988423

2019

Bone vascular niche E-selectin induces mesenchymal-epithelial transition and Wnt activation in cancer cells to promote bone metastasis.

Applications

Unspecified application

Species

Unspecified reactive species

Mark Esposito,Nandini Mondal,Todd M Greco,Yong Wei,Chiara Spadazzi,Song-Chang Lin,Hanqiu Zheng,Corey Cheung,John L Magnani,Sue-Hwa Lin,Ileana M Cristea,Robert Sackstein,Yibin Kang

Oncology letters 16:924-930 PubMed29963165

2018

Knockdown of FUT3 disrupts the proliferation, migration, tumorigenesis and TGF-β induced EMT in pancreatic cancer cells.

Applications

Unspecified application

Species

Unspecified reactive species

Ling Zhan,Lianyu Chen,Zhen Chen

Oncotarget 8:61036-61047 PubMed28977844

2017

High expression of FUT3 is linked to poor prognosis in clear cell renal cell carcinoma.

Applications

Unspecified application

Species

Unspecified reactive species

Li Meng,Le Xu,Yuanfeng Yang,Lin Zhou,Yuan Chang,Tianming Shi,Cheng Tan,Huimin An,Yu Zhu,Jiejie Xu
View all publications

Product promise

We are committed to supporting your work with high-quality reagents, and we're here for you every step of the way. In the unlikely event that one of our products does not perform as expected, you're protected by our Product Promise.
For full details, please see our Terms & Conditions

Associated Products

Select an associated product type
Alternative Product
Primary Antibodies

AB235831

Anti-FUT3 antibody

primary-antibodies

fut3-antibody-ab235831

0

(0 reviews)

Please note: All products are 'FOR RESEARCH USE ONLY. NOT FOR USE IN DIAGNOSTIC OR THERAPEUTIC PROCEDURES'.

For licensing inquiries, please contact partnerships@abcam.com