JavaScript is disabled in your browser. Please enable JavaScript to view this website.
AB235831

Anti-FUT3 antibody

Be the first to review this product! Submit a review

|

(2 Publications)

Rabbit Polyclonal FUT3 antibody. Suitable for WB, IHC-P and reacts with Rat, Human samples. Cited in 2 publications. Immunogen corresponding to Recombinant Fragment Protein within Human FUT3 aa 50-200.

View Alternative Names

FT3B, LE, FUT3, 3-galactosyl-N-acetylglucosaminide 4-alpha-L-fucosyltransferase FUT3, 4-galactosyl-N-acetylglucosaminide 3-alpha-L-fucosyltransferase, Alpha-3-fucosyltransferase FUT3, Blood group Lewis alpha-4-fucosyltransferase, Fucosyltransferase 3, Fucosyltransferase III, Lewis FT, FucT-III

2 Images
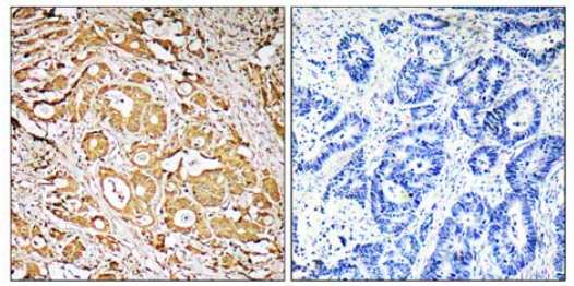
Immunohistochemistry (Formalin/PFA-fixed paraffin-embedded sections) - Anti-FUT3 antibody (AB235831)
  • IHC-P

Supplier Data

Immunohistochemistry (Formalin/PFA-fixed paraffin-embedded sections) - Anti-FUT3 antibody (AB235831)

Paraffin-embedded human small intestine tissue stained for FUT3 using ab235831 at 1/300 dilution in immunohistochemical analysis.

After dewaxing and hydration, antigen retrieval was mediated by high pressure in a citrate buffer (pH 6.0). Section was blocked with 10% normal goat serum 30 minutes at RT. Then primary antibody (1% BSA) was incubated at 4°C overnight. The primary is detected by a biotinylated secondary antibody and visualized tissue using an HRP conjugated SP system.

Western blot - Anti-FUT3 antibody (AB235831)
  • WB

Supplier Data

Western blot - Anti-FUT3 antibody (AB235831)

All lanes:

Western blot - Anti-FUT3 antibody (ab235831) at 1/500 dilution

All lanes:

Rat lung tissue lysate

Secondary

All lanes:

Goat polyclonal to rabbit IgG at 1/50000 dilution

Predicted band size: 42 kDa

false

Key facts

Host species

Rabbit

Clonality

Polyclonal

Isotype

IgG

Carrier free

No

Reacts with

Rat, Human

Applications

IHC-P, WB

applications

Immunogen

Recombinant Fragment Protein within Human FUT3 aa 50-200. The exact immunogen used to generate this antibody is proprietary information.

P21217

Reactivity data

{ "title": "Reactivity Data", "filters": { "stats": ["", "Species", "Dilution Info", "Notes"], "tabs": { "all-applications": {"fullname" : "All Applications", "shortname": "All Applications"}, "WB" : {"fullname" : "Western blot", "shortname":"WB"}, "IHCP" : {"fullname" : "Immunohistochemistry (Formalin/PFA-fixed paraffin-embedded sections)", "shortname":"IHC-P"} }, "product-promise": { "all": "all", "testedAndGuaranteed": "tested", "guaranteed": "expected", "predicted": "predicted", "notRecommended": "not-recommended" } }, "values": { "Human": { "WB-species-checked": "guaranteed", "WB-species-dilution-info": "", "WB-species-notes": "", "IHCP-species-checked": "testedAndGuaranteed", "IHCP-species-dilution-info": "1/100 - 1/300", "IHCP-species-notes": "<p></p>" }, "Rat": { "WB-species-checked": "testedAndGuaranteed", "WB-species-dilution-info": "1/500 - 1/5000", "WB-species-notes": "<p></p>", "IHCP-species-checked": "guaranteed", "IHCP-species-dilution-info": "", "IHCP-species-notes": "" }, "Chimpanzee": { "WB-species-checked": "predicted", "WB-species-dilution-info": "", "WB-species-notes": "", "IHCP-species-checked": "predicted", "IHCP-species-dilution-info": "", "IHCP-species-notes": "" } } }

Properties and storage information

Form
Liquid
Purification technique
Affinity purification Protein G
Purification notes
Purity >95%
Storage buffer
pH: 7.4 Preservative: 0.03% Proclin 300 Constituents: PBS, 50% Glycerol (glycerin, glycerine)
Shipped at conditions
Blue Ice
Appropriate short-term storage duration
1-2 weeks
Appropriate short-term storage conditions
+4°C
Appropriate long-term storage conditions
-20°C
Aliquoting information
Upon delivery aliquot
Storage information
Avoid freeze / thaw cycle

Supplementary information

This supplementary information is collated from multiple sources and compiled automatically.

The FUT3 protein also known as fucosyltransferase 3 plays an important role in catalyzing the addition of fucose a type of sugar to precursor carbohydrates. This process is essential for the synthesis of Lewis blood group antigens. The molecular mass of FUT3 is approximately 43 kDa. It is mainly expressed in the gastrointestinal tract and liver though its presence is also noted in other tissues to a lesser extent.
Biological function summary

FUT3 contributes to the formation of fucosylated oligosaccharide structures on glycoproteins and glycolipids. It is not strictly part of a multi-protein complex but works closely intertwined with other glycosyltransferases for effective oligosaccharide biosynthesis. FUT3's activity influences cell-cell recognition and signaling processes by modifying cell surface carbohydrate structures.

Pathways

FUT3 is heavily involved in glycosphingolipid biosynthesis and the metabolic pathway of glycan structures. FUT3 works together with other fucosyltransferases such as FUT1 and FUT2 in these pathways dictating the structural diversity and functionality of various glycoconjugates. These pathways are important for cellular interactions and communication impacting blood group antigen expression.

Mutations or altered expression of FUT3 have connections with certain cancers and leukocyte adhesion deficiencies. In specific colorectal and gastric cancers changes in FUT3 expression levels correlate with tumor progression and metastasis. FUT3 also interacts with proteins like E-selectin in immune-related disorders affecting leukocyte extravasation and inflammation processes.

Product protocols

For this product, it's our understanding that no specific protocols are required. You can visit:

Target data

Catalyzes the transfer of L-fucose, from a guanosine diphosphate-beta-L-fucose, to both the subterminal N-acetyl glucosamine (GlcNAc) of type 1 chain (beta-D-Gal-(1->3)-beta-D-GlcNAc) glycolipids and oligosaccharides via an alpha(1,4) linkage, and the subterminal glucose (Glc) or GlcNAc of type 2 chain (beta-D-Gal-(1->4)-beta-D-GlcNAc) oligosaccharides via an alpha(1,3) linkage, independently of the presence of terminal alpha-L-fucosyl-(1,2) moieties on the terminal galactose of these acceptors (PubMed : 11058871, PubMed : 12668675, PubMed : 1977660). Through its catalytic activity, participates in the synthesis of antigens of the Lewis blood group system, i.e. Lewis a (Le(a)), lewis b (Le(b)), Lewis x/SSEA-1 (Le(x)) and lewis y (Le(y)) antigens (PubMed : 11058871, PubMed : 12668675, PubMed : 1977660). Also catalyzes the transfer of L-fucose to subterminal GlcNAc of sialyl- and disialyl-lactotetraosylceramide to produce sialyl Lewis a (sLe(a)) and disialyl Lewis a via an alpha(1,4) linkage and therefore may regulate cell surface sLe(a) expression and consequently regulates adhesive properties to E-selectin, cell proliferation and migration (PubMed : 11058871, PubMed : 12668675, PubMed : 27453266). Catalyzes the transfer of an L-fucose to 3'-sialyl-N-acetyllactosamine by an alpha(1,3) linkage, which allows the formation of sialyl-Lewis x structure and therefore may regulate the sialyl-Lewis x surface antigen expression and consequently adhesive properties to E-selectin (PubMed : 11058871, PubMed : 29593094). Prefers type 1 chain over type 2 acceptors (PubMed : 7721776). Type 1 tetrasaccharide is a better acceptor than type 1 disaccharide suggesting that a beta anomeric configuration of GlcNAc in the substrate is preferred (PubMed : 7721776). Lewis-positive (Le(+)) individuals have an active enzyme while Lewis-negative (Le(-)) individuals have an inactive enzyme (PubMed : 1977660).
See full target information FUT3

Publications (2)

Recent publications for all applications. Explore the full list and refine your search

Translational vision science & technology 12:5 PubMed37133840

2023

Attenuation of Laser-Induced Choroidal Neovascularization by Blockade of Prostaglandin D2 Receptor 2.

Applications

Unspecified application

Species

Unspecified reactive species

Hirotsugu Soga,Tatsuya Inoue,Yoshihiro Urade,Takashi Ueta,Hidetoshi Kawashima,Toshikatsu Kaburaki,Makoto Aihara

Journal of translational medicine 21:53 PubMed36709284

2023

Upregulation of HMGB1 in tumor-associated macrophages induced by tumor cell-derived lactate further promotes colorectal cancer progression.

Applications

Unspecified application

Species

Unspecified reactive species

Xinyi Gao,Shiqi Zhou,Zhaofu Qin,Dechuan Li,Yuping Zhu,Dening Ma
View all publications

Product promise

We are committed to supporting your work with high-quality reagents, and we're here for you every step of the way. In the unlikely event that one of our products does not perform as expected, you're protected by our Product Promise.
For full details, please see our Terms & Conditions

Please note: All products are 'FOR RESEARCH USE ONLY. NOT FOR USE IN DIAGNOSTIC OR THERAPEUTIC PROCEDURES'.

For licensing inquiries, please contact partnerships@abcam.com