JavaScript is disabled in your browser. Please enable JavaScript to view this website.
AB231561

Anti-FUT4 antibody

Be the first to review this product! Submit a review

|

(3 Publications)

Rabbit Polyclonal FUT4 antibody. Suitable for WB, IHC-P and reacts with Mouse, Human samples. Cited in 3 publications. Immunogen corresponding to Recombinant Fragment Protein within Mouse Fut4 aa 100-400.

View Alternative Names

ELFT, FCT3A, FUT4, 4-galactosyl-N-acetylglucosaminide 3-alpha-L-fucosyltransferase, ELAM-1 ligand fucosyltransferase, Fucosyltransferase 4, Fucosyltransferase IV, Galactoside 3-L-fucosyltransferase, Fuc-TIV, FucT-IV

9 Images
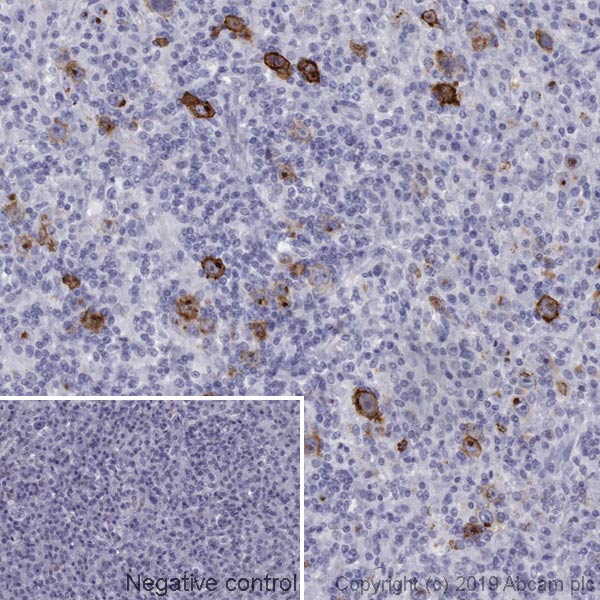
Immunohistochemistry (Formalin/PFA-fixed paraffin-embedded sections) - Anti-FUT4 antibody (AB231561)
  • IHC-P

Supplier Data

Immunohistochemistry (Formalin/PFA-fixed paraffin-embedded sections) - Anti-FUT4 antibody (AB231561)

Paraffin-embedded mouse kidney tissue stained for CD15 using ab231561 at 20 μg/ml in immunohistochemical analysis. DAB staining.

Immunohistochemistry (Formalin/PFA-fixed paraffin-embedded sections) - Anti-FUT4 antibody (AB231561)
  • IHC-P

Supplier Data

Immunohistochemistry (Formalin/PFA-fixed paraffin-embedded sections) - Anti-FUT4 antibody (AB231561)

Paraffin-embedded mouse lung tissue stained for CD15 using ab231561 at 20 μg/ml in immunohistochemical analysis. DAB staining.

Immunohistochemistry (Formalin/PFA-fixed paraffin-embedded sections) - Anti-FUT4 antibody (AB231561)
  • IHC-P

Supplier Data

Immunohistochemistry (Formalin/PFA-fixed paraffin-embedded sections) - Anti-FUT4 antibody (AB231561)

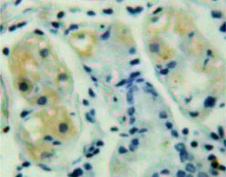
Formalin-fixed, paraffin-embedded mouse stomach tissue stained for CD15 using ab231561 at 20 μg/ml in immunohistochemical analysis. DAB staining.

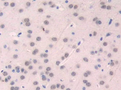
Immunohistochemistry (Formalin/PFA-fixed paraffin-embedded sections) - Anti-FUT4 antibody (AB231561)
  • IHC-P

Supplier Data

Immunohistochemistry (Formalin/PFA-fixed paraffin-embedded sections) - Anti-FUT4 antibody (AB231561)

Paraffin-embedded mouse brain tissue stained for CD15 using ab231561 at 20 μg/ml in immunohistochemical analysis. DAB staining.

Western blot - Anti-FUT4 antibody (AB231561)
  • WB

Supplier Data

Western blot - Anti-FUT4 antibody (AB231561)

All lanes:

Western blot - Anti-FUT4 antibody (ab231561) at 2 µg/mL

All lanes:

Jurkat (human T cell leukemia cell line from peripheral blood) cell lysate

Predicted band size: 59 kDa,70 kDa

false

Western blot - Anti-FUT4 antibody (AB231561)
  • WB

Supplier Data

Western blot - Anti-FUT4 antibody (AB231561)

All lanes:

Western blot - Anti-FUT4 antibody (ab231561) at 2 µg/mL

All lanes:

HepG2 (human liver hepatocellular carcinoma cell line) cell lysate

Predicted band size: 59 kDa

false

Western blot - Anti-FUT4 antibody (AB231561)
  • WB

Supplier Data

Western blot - Anti-FUT4 antibody (AB231561)

All lanes:

Western blot - Anti-FUT4 antibody (ab231561) at 2 µg/mL

All lanes:

HeLa (human epithelial cell line from cervix adenocarcinoma) cell lysate

Predicted band size: 59 kDa

false

Western blot - Anti-FUT4 antibody (AB231561)
  • WB

Supplier Data

Western blot - Anti-FUT4 antibody (AB231561)

All lanes:

Western blot - Anti-FUT4 antibody (ab231561) at 2 µg/mL

All lanes:

Mouse stomach lysate

Predicted band size: 59 kDa

false

Western blot - Anti-FUT4 antibody (AB231561)
  • WB

Supplier Data

Western blot - Anti-FUT4 antibody (AB231561)

All lanes:

Western blot - Anti-FUT4 antibody (ab231561) at 2 µg/mL

All lanes:

Recombinant mouse CD15 protein

Predicted band size: 59 kDa

false

Key facts

Host species

Rabbit

Clonality

Polyclonal

Isotype

IgG

Carrier free

No

Reacts with

Mouse, Human

Applications

IHC-P, WB

applications

Immunogen

Recombinant Fragment Protein within Mouse Fut4 aa 100-400. The exact immunogen used to generate this antibody is proprietary information.

Q11127

Reactivity data

{ "title": "Reactivity Data", "filters": { "stats": ["", "Species", "Dilution Info", "Notes"], "tabs": { "all-applications": {"fullname" : "All Applications", "shortname": "All Applications"}, "WB" : {"fullname" : "Western blot", "shortname":"WB"}, "IHCP" : {"fullname" : "Immunohistochemistry (Formalin/PFA-fixed paraffin-embedded sections)", "shortname":"IHC-P"} }, "product-promise": { "all": "all", "testedAndGuaranteed": "tested", "guaranteed": "expected", "predicted": "predicted", "notRecommended": "not-recommended" } }, "values": { "Human": { "WB-species-checked": "testedAndGuaranteed", "WB-species-dilution-info": "0.2-2 µg/mL", "WB-species-notes": "<p></p>", "IHCP-species-checked": "guaranteed", "IHCP-species-dilution-info": "", "IHCP-species-notes": "" }, "Mouse": { "WB-species-checked": "testedAndGuaranteed", "WB-species-dilution-info": "0.2-2 µg/mL", "WB-species-notes": "<p></p>", "IHCP-species-checked": "testedAndGuaranteed", "IHCP-species-dilution-info": "5-20 µg/mL", "IHCP-species-notes": "<p></p>" } } }

Properties and storage information

Form
Liquid
Purification technique
Affinity purification Immunogen
Purification notes
ab231561 was purified by antigen-specific affinity chromatography followed by Protein A affinity chromatography.
Storage buffer
pH: 7.4 Preservative: 0.011% Proclin 300 Constituents: PBS, 55.77% Glycerol (glycerin, glycerine)
Shipped at conditions
Blue Ice
Appropriate short-term storage duration
1-2 weeks
Appropriate short-term storage conditions
+4°C
Appropriate long-term storage conditions
-20°C
Aliquoting information
Upon delivery aliquot
Storage information
Avoid freeze / thaw cycle

Supplementary information

This supplementary information is collated from multiple sources and compiled automatically.

The FUT4 protein also known as fucosyltransferase 4 or CD15 plays an essential role in glycosylation processes by adding fucose to glycolipids and glycoproteins. This enzyme is responsible for the synthesis of Lewis X antigens. FUT4 has a molecular mass of around 44 kDa and is expressed prominently in myeloid cells such as neutrophils and monocytes. It exhibits a significant presence in the bone marrow and expressed on the surface of certain leukocytes.
Biological function summary

The activity of FUT4 is important for cell adhesion migration and immune response modulation. It helps in the formation of selectin ligands which mediate cell-to-cell interactions through the binding of selectins on endothelial cells. FUT4 does not form a larger protein complex but interacts with substrates and cofactors to achieve its function. Its role is particularly significant in the context of inflammation and hematopoiesis.

Pathways

FUT4 is involved in the biosynthesis of glycoconjugates especially influencing the E-selectin and P-selectin pathways. These pathways are integral to leukocyte trafficking during inflammatory responses. FUT4 activity shows a functional relationship with other fucosyltransferases including FUT3 and FUT5 which also participate in modifying glycolipids and glycoproteins. This makes FUT4 a part of the larger network regulating cell-surface carbohydrate structures.

FUT4 has been linked to chronic inflammatory diseases and Leukocyte Adhesion Deficiency II. Aberrations in FUT4 expression can lead to altered selectin-mediated adhesion impacting immune cell recruitment. Additionally FUT4 involvement in cancer has attracted attention as changes in its activity can impact tumor cell metastasis. It is also worthwhile to note pathways with E-selectin can influence its disease association highlighting possible therapeutic targets in E-selectin-related disorders.

Product protocols

For this product, it's our understanding that no specific protocols are required. You can visit:

Target data

Isoform Short. Catalyzes alpha(1->3) linkage of fucosyl moiety transferred from GDP-beta-L-fucose to N-acetyl glucosamine (GlcNAc) within type 2 lactosamine (LacNAc, Gal-beta(1->4)GlcNAc) glycan attached to N- or O-linked glycoproteins (PubMed : 1702034, PubMed : 1716630, PubMed : 29593094). Robustly fucosylates nonsialylated distal LacNAc unit of the polylactosamine chain to form Lewis X antigen (CD15), a glycan determinant known to mediate important cellular functions in development and immunity. Fucosylates with lower efficiency sialylated LacNAc acceptors to form sialyl Lewis X and 6-sulfo sialyl Lewis X determinants that serve as recognition epitopes for C-type lectins (PubMed : 1716630, PubMed : 29593094). Together with FUT7 contributes to SELE, SELL and SELP selectin ligand biosynthesis and selectin-dependent lymphocyte homing, leukocyte migration and blood leukocyte homeostasis (By similarity). In a cell type specific manner, may also fucosylate the internal LacNAc unit of the polylactosamine chain to form VIM-2 antigen that serves as recognition epitope for SELE (PubMed : 11278338, PubMed : 1716630).. Isoform Long. Does not generate Lewis X antigens.
See full target information FUT4

Publications (3)

Recent publications for all applications. Explore the full list and refine your search

Journal of Cancer 16:2388-2400 PubMed40302797

2025

MiR-371b-5p reduces osteosarcoma cell migration and proliferation to induce apoptosis by targeting FUT4.

Applications

Unspecified application

Species

Unspecified reactive species

Qiang Xue,Ruicong Ma,YueYuan Chen,Xiaodi Yan,Jiajia Liu,Jianhua Xue,Yang Yang,Xianchen Liu

Journal of thoracic disease 13:5973-5985 PubMed34795945

2021

Autophagic tumor-associated macrophages promote the endothelial mesenchymal transition in lung adenocarcinomas through the FUT4/p-ezrin pathway.

Applications

Unspecified application

Species

Unspecified reactive species

Kangwu Wang,Xiao Chen

Bioengineered 12:9561-9574 PubMed34719307

2021

Protein tyrosine phosphatase receptor type O (PTPRO) knockdown enhances the proliferative, invasive and angiogenic activities of trophoblast cells by suppressing ER resident protein 44 (ERp44) expression in preeclampsia.

Applications

Unspecified application

Species

Unspecified reactive species

Yang Yang,Xiaoxia Qiu,Fang Wang
View all publications

Product promise

We are committed to supporting your work with high-quality reagents, and we're here for you every step of the way. In the unlikely event that one of our products does not perform as expected, you're protected by our Product Promise.
For full details, please see our Terms & Conditions

Please note: All products are 'FOR RESEARCH USE ONLY. NOT FOR USE IN DIAGNOSTIC OR THERAPEUTIC PROCEDURES'.

For licensing inquiries, please contact partnerships@abcam.com