JavaScript is disabled in your browser. Please enable JavaScript to view this website.
AB323450

Anti-FXI antibody [EPR29204-87]

Be the first to review this product! Submit a review

|

(0 Publication)

Rabbit Recombinant Monoclonal FXI antibody. Suitable for WB, Dot and reacts with Human, Recombinant fragment - Human samples.

View Alternative Names

Coagulation factor XI, FXI, Plasma thromboplastin antecedent, PTA, F11

5 Images
Western blot - Anti-FXI antibody [EPR29204-87] (AB323450)
  • WB

Supplier Data

Western blot - Anti-FXI antibody [EPR29204-87] (AB323450)

Blocking and diluting buffer and concentration : 5% NFDM/TBST.

The expression profile/ molecular weight observed is consistent with what has been described in the literature. The antibody detects the pro (XI) and active form (XIa) of FXI. PMID : 23515926, PMID : 23515926.

In Western blot, Anti-GAPDH antibody [EPR16891] - Loading Control (ab181602) staining at 1/200000 dilution.

All lanes:

Western blot - Anti-FXI antibody [EPR29204-87] (ab323450) at 1/1000 dilution

Lane 1:

Untreated HepG2 whole cell lysate at 80 µg

Lane 2:

HepG2 treated with 300ng/ml BFA for 18 hours whole cell lysate at 80 µg

Secondary

All lanes:

Goat Anti-Rabbit IgG (HRP) with minimal cross-reactivity with human IgG at 1/2000 dilution

Observed band size: 30-37 kDa,70-75 kDa,36 kDa

false

Exposure time: 15s

Western blot - Anti-FXI antibody [EPR29204-87] (AB323450)
  • WB

Supplier Data

Western blot - Anti-FXI antibody [EPR29204-87] (AB323450)

Blocking and diluting buffer and concentration : 5% NFDM/TBST.

Low expression : HeLa, MCF7.

The expression profile/ molecular weight observed is consistent with what has been described in the literature (PMID : 29223926).

In Western blot, Anti-GAPDH antibody [EPR16891] - Loading Control (ab181602) staining at 1/200000 dilution.

All lanes:

Western blot - Anti-FXI antibody [EPR29204-87] (ab323450) at 1/1000 dilution

Lane 1:

HepG2 (human hepatocellular carcinoma epithelial cell) whole cell lysate at 80 µg

Lane 2:

HeLa (human cervical adenocarcinoma epithelial cell) whole cell lysate at 80 µg

Lane 3:

MCF7 (human breast adenocarcinoma epithelial cell) whole cell lysate at 80 µg

Secondary

All lanes:

Western blot - Goat Anti-Rabbit IgG H&L (HRP) (<a href='/en-us/products/secondary-antibodies/goat-rabbit-igg-h-l-hrp-ab97051'>ab97051</a>) at 1/20000 dilution

Observed band size: 30-37 kDa,70-75 kDa,36 kDa

false

Exposure time: 70s

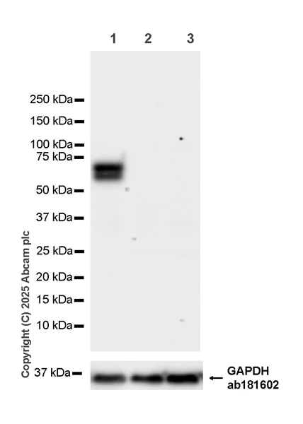
Western blot - Anti-FXI antibody [EPR29204-87] (AB323450)
  • WB

Supplier Data

Western blot - Anti-FXI antibody [EPR29204-87] (AB323450)

Blocking and diluting buffer and concentration : 5% NFDM/TBST.

The expression profile/ molecular weight observed is consistent with what has been described in the literature (PMID : 29223926).

The identity of the band higher 250 kDa (in lanes 1-2) is unknown.

All lanes:

Western blot - Anti-FXI antibody [EPR29204-87] (ab323450) at 1/1000 dilution

Lane 1:

Human plasma lysate at 20 µg

Lane 2:

Human serum lysate at 20 µg

Lane 3:

Human liver tissue lysate at 80 µg

Secondary

All lanes:

Goat Anti-Rabbit IgG (HRP) with minimal cross-reactivity with human IgG at 1/2000 dilution

Observed band size: 30-37 kDa,70-75 kDa

false

Exposure time: 26s

Western blot - Anti-FXI antibody [EPR29204-87] (AB323450)
  • WB

Supplier Data

Western blot - Anti-FXI antibody [EPR29204-87] (AB323450)

Blocking and diluting buffer and concentration : 5% NFDM/TBST.

FXI is a glycoprotein of approximately 30-37, 70-75 kDa and is detected at a slightly lower molecular weight following N-glycosidase F (PNGase F) treatment.

The expression profile/ molecular weight observed is consistent with what has been described in the literature (PMID : 29223926).

For deglycosylation experiments, cells were incubated at 100°C for 10 mins, followed by incubation at 37°C for 1hr with or without N-glycosidase F (PNGase F).

In Western blot, Anti-GAPDH antibody [EPR16891] - Loading Control (ab181602) staining at 1/200000 dilution.

All lanes:

Western blot - Anti-FXI antibody [EPR29204-87] (ab323450) at 1/1000 dilution

Lane 1:

Untreated HepG2 (human hepatocellular carcinoma epithelial cell) whole cell lysate at 80 µg

Lane 2:

HepG2 whole cell lysate treated with Peptide: N-glycosidase F (PNGase F) at 80 µg

Secondary

All lanes:

Western blot - Goat Anti-Rabbit IgG H&L (HRP) (<a href='/en-us/products/secondary-antibodies/goat-rabbit-igg-h-l-hrp-ab97051'>ab97051</a>) at 1/20000 dilution

Observed band size: 30-37 kDa,70-75 kDa,36 kDa

false

Exposure time: 70s

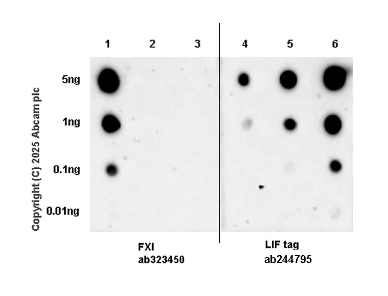
Dot Blot - Anti-FXI antibody [EPR29204-87] (AB323450)
  • Dot

Supplier Data

Dot Blot - Anti-FXI antibody [EPR29204-87] (AB323450)

Dot blot analysis of FXI using ab323450 at 1000 (0.493 ug/ml) followed by a Goat Anti-Rabbit IgG, (H+L), Peroxidase conjugated (ab97051) at 1 : 100,000 dilution.

Lane1 : LIF-tagged Human FXI light chain fragment
Lane2 : LIF-tagged Human FXI heavy chain fragment
Lane3 : LIF-tagged Human KLKB1 fragment

Exposure time : 180 seconds.

Blocking and diluting buffer and concentration : 5% NFDM/TBST.

This antibody does not cross-react with human FX1 heavy chain and Human KLKB1.

Total protein control : Anti-LIF antibody [EPR21713-25] - BSA and Azide free (Capture) (ab244795) (1 : 1000).

All lanes:

Dot Blot - Anti-FXI antibody [EPR29204-87] (ab323450) at 1/1000 dilution

Lane 1:

LIF-tagged Human FXI light chain fragment

Lane 2:

LIF-tagged Human FXI heavy chain fragment

Lane 3:

LIF-tagged Human KLKB1 fragment

Secondary

All lanes:

Dot Blot - Goat Anti-Rabbit IgG H&L (HRP) (<a href='/en-us/products/secondary-antibodies/goat-rabbit-igg-h-l-hrp-ab97051'>ab97051</a>) at 1/100000 dilution

false

Exposure time: 180s

Key facts

Host species

Rabbit

Clonality

Monoclonal

Clone number

EPR29204-87

Isotype

IgG

Carrier free

No

Reacts with

Human

Applications

Dot, WB

applications

Immunogen

The exact immunogen used to generate this antibody is proprietary information.

Reactivity data

{ "title": "Reactivity Data", "filters": { "stats": ["", "Species", "Dilution Info", "Notes"], "tabs": { "all-applications": {"fullname" : "All Applications", "shortname": "All Applications"}, "WB" : {"fullname" : "Western blot", "shortname":"WB"}, "IHCP" : {"fullname" : "Immunohistochemistry (Formalin/PFA-fixed paraffin-embedded sections)", "shortname":"IHC-P"}, "Dot" : {"fullname" : "Dot Blot", "shortname":"Dot"} }, "product-promise": { "all": "all", "testedAndGuaranteed": "tested", "guaranteed": "expected", "predicted": "predicted", "notRecommended": "not-recommended" } }, "values": { "Human": { "WB-species-checked": "testedAndGuaranteed", "WB-species-dilution-info": "1/1000", "WB-species-notes": "<p></p>", "IHCP-species-checked": "notRecommended", "IHCP-species-dilution-info": "", "IHCP-species-notes": "<p></p>", "Dot-species-checked": "guaranteed", "Dot-species-dilution-info": "", "Dot-species-notes": "" }, "Mouse": { "WB-species-checked": "notRecommended", "WB-species-dilution-info": "", "WB-species-notes": "<p></p>", "IHCP-species-checked": "notRecommended", "IHCP-species-dilution-info": "", "IHCP-species-notes": "<p></p>", "Dot-species-checked": "notRecommended", "Dot-species-dilution-info": "", "Dot-species-notes": "" }, "Rat": { "WB-species-checked": "notRecommended", "WB-species-dilution-info": "", "WB-species-notes": "<p></p>", "IHCP-species-checked": "notRecommended", "IHCP-species-dilution-info": "", "IHCP-species-notes": "<p></p>", "Dot-species-checked": "notRecommended", "Dot-species-dilution-info": "", "Dot-species-notes": "" }, "Recombinant fragment - Human": { "WB-species-checked": "notRecommended", "WB-species-dilution-info": "", "WB-species-notes": "", "IHCP-species-checked": "notRecommended", "IHCP-species-dilution-info": "", "IHCP-species-notes": "", "Dot-species-checked": "testedAndGuaranteed", "Dot-species-dilution-info": "1/1000", "Dot-species-notes": "<p></p>" } } }

Product details

Patented technology
Our RabMAb® technology is a patented hybridoma-based technology for making rabbit monoclonal antibodies. For details on our patents, please refer to RabMAb® patents.

What are the advantages of a recombinant monoclonal antibody?
This product is a recombinant monoclonal antibody, which offers several advantages including:

  • - High batch-to-batch consistency and reproducibility
  • - Improved sensitivity and specificity
  • - Long-term security of supply
  • - Animal-free batch production

For more information, read more on recombinant antibodies.

Properties and storage information

Form
Liquid
Purification technique
Affinity purification Protein A
Storage buffer
pH: 7.2 - 7.4 Preservative: 0.01% Sodium azide Constituents: PBS, 40% Glycerol (glycerin, glycerine), 0.05% BSA
Shipped at conditions
Blue Ice
Appropriate short-term storage duration
1-2 weeks
Appropriate short-term storage conditions
+4°C
Appropriate long-term storage conditions
-20°C
Aliquoting information
Upon delivery aliquot
Storage information
Avoid freeze / thaw cycle

Product protocols

For this product, it's our understanding that no specific protocols are required. You can visit:

Target data

Factor XI triggers the middle phase of the intrinsic pathway of blood coagulation by activating factor IX.
See full target information F11

Product promise

We are committed to supporting your work with high-quality reagents, and we're here for you every step of the way. In the unlikely event that one of our products does not perform as expected, you're protected by our Product Promise.
For full details, please see our Terms & Conditions

Please note: All products are 'FOR RESEARCH USE ONLY. NOT FOR USE IN DIAGNOSTIC OR THERAPEUTIC PROCEDURES'.

For licensing inquiries, please contact partnerships@abcam.com