JavaScript is disabled in your browser. Please enable JavaScript to view this website.
AB76103

Anti-FYB antibody [EP2546Y]

5

(2 Reviews)

|

(2 Publications)

Rabbit Recombinant Monoclonal FYB antibody. Suitable for IHC-P, WB, Flow Cyt (Intra) and reacts with Human samples. Cited in 2 publications.

View Alternative Names

FYB, SLAP130, FYB1, FYN-binding protein 1, Adhesion and degranulation promoting adaptor protein, FYB-120/130, FYN-T-binding protein, SLAP-130, SLP-76-associated phosphoprotein, ADAP, p120/p130

3 Images
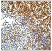
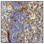
Immunohistochemistry (Formalin/PFA-fixed paraffin-embedded sections) - Anti-FYB antibody [EP2546Y] (AB76103)
  • IHC-P

Unknown

Immunohistochemistry (Formalin/PFA-fixed paraffin-embedded sections) - Anti-FYB antibody [EP2546Y] (AB76103)

ab76103 at 1/250 dilution staining FYB in paraffin-embedded human tonsil tissue by Immunohistochemistry.

Perform heat mediated antigen retrieval before commencing with IHC staining protocol.

Flow Cytometry (Intracellular) - Anti-FYB antibody [EP2546Y] (AB76103)
  • Flow Cyt (Intra)

Lab

Flow Cytometry (Intracellular) - Anti-FYB antibody [EP2546Y] (AB76103)

Intracellular Flow Cytometry analysis of TF-1 (Human Erythroleukemia erythroblast) cells labeling FYB with purified ab76103 at 1/100 dilution (10 μg/mL) (Red). Cells were fixed with 4% Paraformaldehyde and permeabilised with 90% Methanol. A Goat anti rabbit IgG (Alexa Fluor® 488, ab150077) secondary antibody was used at 1/2000. Isotype control - Rabbit monoclonal IgG (Black). Unlabeled control - Cells without incubation with primary antibody and secondary antibody (Blue).

Western blot - Anti-FYB antibody [EP2546Y] (AB76103)
  • WB

Unknown

Western blot - Anti-FYB antibody [EP2546Y] (AB76103)

All lanes:

Western blot - Anti-FYB antibody [EP2546Y] (ab76103) at 1/10000 dilution

All lanes:

TF-1 cell lysate at 10 µg

Secondary

All lanes:

HRP labelled goat anti-rabbit at 1/2000 dilution

Predicted band size: 85 kDa

Observed band size: 110 kDa

false

Key facts

Host species

Rabbit

Clonality

Monoclonal

Clone number

EP2546Y

Isotype

IgG

Carrier free

No

Reacts with

Human

Applications

Flow Cyt (Intra), WB, IHC-P

applications

Immunogen

The exact immunogen used to generate this antibody is proprietary information.

Reactivity data

{ "title": "Reactivity Data", "filters": { "stats": ["", "Species", "Dilution Info", "Notes"], "tabs": { "all-applications": {"fullname" : "All Applications", "shortname": "All Applications"}, "IHCP" : {"fullname" : "Immunohistochemistry (Formalin/PFA-fixed paraffin-embedded sections)", "shortname":"IHC-P"}, "IP" : {"fullname" : "Immunoprecipitation", "shortname":"IP"}, "WB" : {"fullname" : "Western blot", "shortname":"WB"}, "FlowCytIntra" : {"fullname" : "Flow Cytometry (Intracellular)", "shortname":"Flow Cyt (Intra)"} }, "product-promise": { "all": "all", "testedAndGuaranteed": "tested", "guaranteed": "expected", "predicted": "predicted", "notRecommended": "not-recommended" } }, "values": { "Human": { "IHCP-species-checked": "testedAndGuaranteed", "IHCP-species-dilution-info": "1/250 - 1/500", "IHCP-species-notes": "<p></p>", "IP-species-checked": "notRecommended", "IP-species-dilution-info": "", "IP-species-notes": "<p></p>", "WB-species-checked": "testedAndGuaranteed", "WB-species-dilution-info": "1/5000 - 1/10000", "WB-species-notes": "<p></p>", "FlowCytIntra-species-checked": "testedAndGuaranteed", "FlowCytIntra-species-dilution-info": "1/100", "FlowCytIntra-species-notes": "<p><a href='/en-us/products/primary-antibodies/rabbit-igg-monoclonal-epr25a-isotype-control-ab172730'>ab172730</a> - Rabbit monoclonal IgG, is suitable for use as an isotype control with this antibody.</p>" } } }

Product details

Species reactivity
Mouse, Rat: We have preliminary internal testing data to indicate this antibody may not react with these species.
Please contact us for more information.

Patented technology
Our RabMAb® technology is a patented hybridoma-based technology for making rabbit monoclonal antibodies. For details on our patents, please refer to RabMAb® patents.

What are the advantages of a recombinant monoclonal antibody?
This product is a recombinant monoclonal antibody, which offers several advantages including:

  • - High batch-to-batch consistency and reproducibility
  • - Improved sensitivity and specificity
  • - Long-term security of supply
  • - Animal-free batch production

For more information, read more on recombinant antibodies.

Properties and storage information

Form
Liquid
Purification technique
Affinity purification Protein A
Storage buffer
pH: 7.2 - 7.4 Preservative: 0.05% Sodium azide Constituents: 50% Tissue culture supernatant, 40% Glycerol (glycerin, glycerine), 9.85% Tris glycine, 0.1% BSA
Shipped at conditions
Blue Ice
Appropriate short-term storage duration
1-2 weeks
Appropriate short-term storage conditions
+4°C
Appropriate long-term storage conditions
-20°C
Aliquoting information
Upon delivery aliquot
Storage information
Avoid freeze / thaw cycle

Supplementary information

This supplementary information is collated from multiple sources and compiled automatically.

The protein 'FYB' also known as Fyn-binding protein or ADAP (Adhesion and Degranulation-promoting Adapter Protein) is a cytosolic adaptor protein with a molecular mass of approximately 85 kDa. This protein is important for intracellular signaling pathways as it acts as a link between various surface receptors and downstream signaling molecules. FYB is prominently expressed in hematopoietic cells with its presence noted in T-cells where it facilitates effective immune responses. This makes anti-FYB antibodies valuable tools for studying T-cell signaling and immune regulation.
Biological function summary

The Fyn-binding protein plays significant roles in modulating immune responses by interacting with the cytoskeleton and various signaling components. FYB does not normally function alone but exists as part of the LAT (Linker for Activation of T-cells) signalosome complex a multi-protein structure essential for T-cell receptor (TCR) signaling. It influences cytoskeletal rearrangement cell adhesion and migration impacting the immune cell's ability to reach sites of inflammation or infection. Its interaction with integrins further enhances these cellular processes.

Pathways

FYB is integral to T-cell receptor signaling and integrin-mediated signal transduction pathways. In TCR signaling FYB works alongside core proteins such as SLP-76 and Vav1 to propagate activation signals necessary for T-cell activation and proliferation. Within integrin signaling FYB collaborates with Talin and Kindlin to regulate cell adhesion and motility fundamental for immune surveillance and response tasks. The tight regulation of these pathways ensures that immune cells can properly adapt to various immune challenges.

Irregular FYB function associates with defective immune responses and autoimmune conditions such as systemic lupus erythematosus and rheumatoid arthritis. These conditions arise from aberrant activation or suppression of T-cell signaling where FYB as part of the LAT signalosome indirectly contributes to the pathophysiology. Furthermore FYB interactions with proteins like SLP-76 and Vav1 highlight its potential role in these diseases making it a target for research into therapeutic interventions for T-cell mediated disorders.

Product protocols

For this product, it's our understanding that no specific protocols are required. You can visit:

Target data

Acts as an adapter protein of the FYN and LCP2 signaling cascades in T-cells (By similarity). May play a role in linking T-cell signaling to remodeling of the actin cytoskeleton (PubMed : 10747096, PubMed : 16980616). Modulates the expression of IL2 (By similarity). Involved in platelet activation (By similarity). Prevents the degradation of SKAP1 and SKAP2 (PubMed : 15849195). May be involved in high affinity immunoglobulin epsilon receptor signaling in mast cells (By similarity).
See full target information FYB1

Publications (2)

Recent publications for all applications. Explore the full list and refine your search

Acta neuropathologica communications 13:108 PubMed40390134

2025

hiPSC-neurons recapitulate the subtype-specific cell intrinsic nature of susceptibility to neurodegenerative disease-relevant aggregation.

Applications

Unspecified application

Species

Unspecified reactive species

Ian Weidling,Christina N Preiss,Sarah E Chancellor,Gyan Srivastava,Lauren Gibilisco,Gen Lin,Melanie Shackett Brennan,Janice Lee,Lindsay M Roth,Olga Morozova,Kyong Nyon Nam,Nehal R Patel,Qing Liu,J K Thomas,Peter Reinhardt,Ruven Wilkens,Dagmar E Ehrnhoefer,Andreas Striebinger,Stefan Barghorn,Christina Xanthopoulos,Marie-Theres Weil,Sandra Biesinger,Miroslav Cik,Nandini Romanul,Kiran Yanamandra,Alessandra M Welker,Jessica Wu,Laura Gasparini,Jan Stöhr,Xavier Langlois,Justine D Manos

Journal of immunology research 2023:3804605 PubMed37767202

2023

Super Enhancer Regulatory Gene FYB1 Promotes the Progression of T Cell Acute Lymphoblastic Leukemia by Activating IGLL1.

Applications

Unspecified application

Species

Unspecified reactive species

Kunlong Zhang,Jun Lu,Fang Fang,Yongping Zhang,Juanjuan Yu,Yanfang Tao,Wenyuan Liu,Lihui Lu,Zimu Zhang,Xinran Chu,Jianwei Wang,Xiaolu Li,Yuanyuan Tian,Zhiheng Li,Qian Li,Xu Sang,Li Ma,Ningling Wang,Jian Pan,Shaoyan Hu
View all publications

Product promise

We are committed to supporting your work with high-quality reagents, and we're here for you every step of the way. In the unlikely event that one of our products does not perform as expected, you're protected by our Product Promise.
For full details, please see our Terms & Conditions

Please note: All products are 'FOR RESEARCH USE ONLY. NOT FOR USE IN DIAGNOSTIC OR THERAPEUTIC PROCEDURES'.

For licensing inquiries, please contact partnerships@abcam.com