JavaScript is disabled in your browser. Please enable JavaScript to view this website.
AB316012

Anti-FYCO1 antibody [EPR28361-79]

  • BOND RX™ Validated
  • 20ul selling size
  • RabMAb
  • Recombinant
  • What is this?

Be the first to review this product! Submit a review

|

(0 Publication)

Rabbit Recombinant Monoclonal FYCO1 antibody. Suitable for WB, IHC-Fr, IP, IHC-P and reacts with Mouse, Rat samples.

View Alternative Names

FYVE and coiled-coil domain-containing protein 1, Ap4b1

12 Images
Immunohistochemistry (Frozen sections) - Anti-FYCO1 antibody [EPR28361-79] (AB316012)
  • IHC-Fr

Supplier Data

Immunohistochemistry (Frozen sections) - Anti-FYCO1 antibody [EPR28361-79] (AB316012)

Immunohistochemical analysis of 4% PFA-fixed, 0.2% Triton X-100 permeabilized frozen Mouse cerebrum (fresh frozen) tissue labeling FYCO1 with ab316012 at 1/100 (5.16 ug/ml) dilution followed by ab150081 Goat Anti-Rabbit IgG H&L (Alexa Fluor® 488) preadsorbed at 1/1000 (2 ug/mL) dilution (Green).

Low expression : confocal image showing no staining on mouse cerebrum (PMID : 34215815). The nuclear counterstain was DAPI (Blue). The section was incubated with ab316012 for 60 mins at room temperature. The section was then mounted using Fluoromount®.The immunostaining was performed on a Leica Biosystems BOND® RX instrument. Image was taken with a confocal microscope (Leica-Microsystems, TCS SP8).

Secondary antibody control : Secondary antibody is ab150081 Goat Anti-Rabbit IgG H&L (Alexa Fluor® 488) preadsorbedat 1/1000 (2 ug/mL) dilution.

Immunohistochemistry (Formalin/PFA-fixed paraffin-embedded sections) - Anti-FYCO1 antibody [EPR28361-79] (AB316012)
  • IHC-P

Supplier Data

Immunohistochemistry (Formalin/PFA-fixed paraffin-embedded sections) - Anti-FYCO1 antibody [EPR28361-79] (AB316012)

Immunohistochemical analysis of paraffin-embedded Rat cardiac muscle tissue labeling FYCO1 with ab316012 at 1/2000 (0.258 ug/ml) dilution, followed by a ready to use LeicaDS9800 (Bond™ Polymer Refine Detection).

Positive staining on rat cardiac muscle. The section was incubated with ab316012 for 30 mins at room temperature.
The immunostaining was performed on a Leica Biosystems BOND® RX instrument
Incubate slides with 3% Hydrogen Peroxide for 10 mins at room temperature after secondary antibody incubation to reduce the background

Counterstained with Hematoxylin.

Secondary antibody only control : Secondary antibody is a ready to use LeicaDS9800 (Bond™ Polymer Refine Detection).

Heat mediated antigen retrieval was performed with Tris-EDTA buffer (pH 9.0, Epitope Retrieval Solution2) for 20 mins

Immunohistochemistry (Formalin/PFA-fixed paraffin-embedded sections) - Anti-FYCO1 antibody [EPR28361-79] (AB316012)
  • IHC-P

Supplier Data

Immunohistochemistry (Formalin/PFA-fixed paraffin-embedded sections) - Anti-FYCO1 antibody [EPR28361-79] (AB316012)

Immunohistochemical analysis of paraffin-embedded Mouse cardiac muscle tissue labeling FYCO1 with ab316012 at 1/2000 (0.258 ug/ml) dilution, followed by a ready to use LeicaDS9800 (Bond™ Polymer Refine Detection).

Positive staining on mouse cardiac muscle (PMID : 34215815; PMID : 33997522). The section was incubated with ab316012 for 30 mins at room temperature.
The immunostaining was performed on a Leica Biosystems BOND® RX instrument
Incubate slides with 3% Hydrogen Peroxide for 10 mins at room temperature after secondary antibody incubation to reduce the background

Counterstained with Hematoxylin.

Secondary antibody only control : Secondary antibody is a ready to use LeicaDS9800 (Bond™ Polymer Refine Detection).

Heat mediated antigen retrieval was performed with Tris-EDTA buffer (pH 9.0, Epitope Retrieval Solution2) for 20 mins

Immunohistochemistry (Formalin/PFA-fixed paraffin-embedded sections) - Anti-FYCO1 antibody [EPR28361-79] (AB316012)
  • IHC-P

Supplier Data

Immunohistochemistry (Formalin/PFA-fixed paraffin-embedded sections) - Anti-FYCO1 antibody [EPR28361-79] (AB316012)

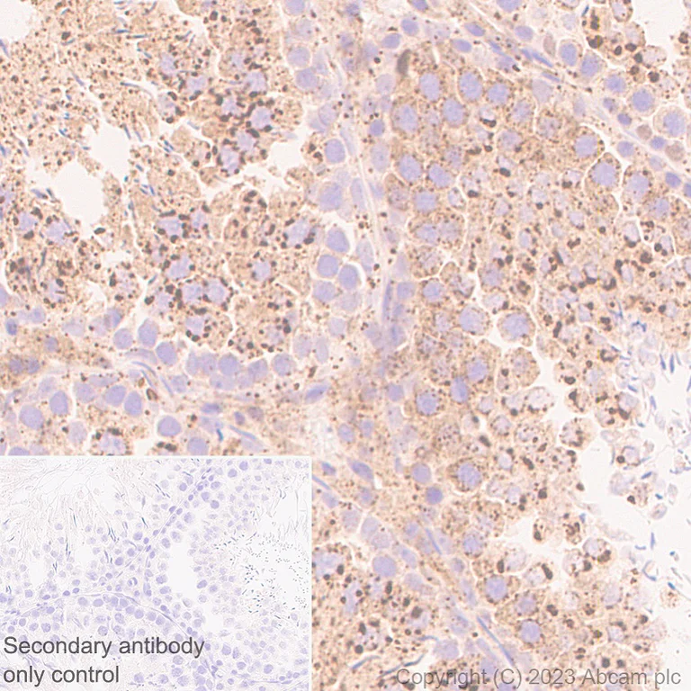
Immunohistochemical analysis of paraffin-embedded Mouse testis tissue labeling FYCO1 with ab316012 at 1/2000 (0.258 ug/ml) dilution, followed by a ready to use LeicaDS9800 (Bond™ Polymer Refine Detection).

Positive staining on mouse testis. The section was incubated with ab316012 for 30 mins at room temperature.
The immunostaining was performed on a Leica Biosystems BOND® RX instrument
Incubate slides with 3% Hydrogen Peroxide for 10 mins at room temperature after secondary antibody incubation to reduce the background

Counterstained with Hematoxylin.

Secondary antibody only control : Secondary antibody is a ready to use LeicaDS9800 (Bond™ Polymer Refine Detection).

Heat mediated antigen retrieval was performed with Tris-EDTA buffer (pH 9.0, Epitope Retrieval Solution2) for 20 mins

Immunohistochemistry (Formalin/PFA-fixed paraffin-embedded sections) - Anti-FYCO1 antibody [EPR28361-79] (AB316012)
  • IHC-P

Supplier Data

Immunohistochemistry (Formalin/PFA-fixed paraffin-embedded sections) - Anti-FYCO1 antibody [EPR28361-79] (AB316012)

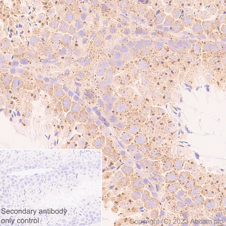
Immunohistochemical analysis of paraffin-embedded Rat testis tissue labeling FYCO1 with ab316012 at 1/2000 (0.258 ug/ml) dilution, followed by a ready to use LeicaDS9800 (Bond™ Polymer Refine Detection).

Positive staining on rat testis. The section was incubated with ab316012 for 30 mins at room temperature.
The immunostaining was performed on a Leica Biosystems BOND® RX instrument
Incubate slides with 3% Hydrogen Peroxide for 10 mins at room temperature after secondary antibody incubation to reduce the background

Counterstained with Hematoxylin.

Secondary antibody only control : Secondary antibody is a ready to use LeicaDS9800 (Bond™ Polymer Refine Detection).

Heat mediated antigen retrieval was performed with Tris-EDTA buffer (pH 9.0, Epitope Retrieval Solution2) for 20 mins

Immunohistochemistry (Frozen sections) - Anti-FYCO1 antibody [EPR28361-79] (AB316012)
  • IHC-Fr

Supplier Data

Immunohistochemistry (Frozen sections) - Anti-FYCO1 antibody [EPR28361-79] (AB316012)

Immunohistochemical analysis of 4% PFA-fixed, 0.2% Triton X-100 permeabilized frozen Mouse heart (fresh frozen) tissue labeling FYCO1 with ab316012 at 1/100 (5.16 ug/ml) dilution followed by ab150081 Goat Anti-Rabbit IgG H&L (Alexa Fluor® 488) preadsorbed at 1/1000 (2 ug/mL) dilution (Green).

Confocal image showing positive staining on mouse heart. The nuclear counterstain was DAPI (Blue). The section was incubated with ab316012 for 60 mins at room temperature. The section was then mounted using Fluoromount®.The immunostaining was performed on a Leica Biosystems BOND® RX instrument. Image was taken with a confocal microscope (Leica-Microsystems, TCS SP8).

Secondary antibody control : Secondary antibody is ab150081 Goat Anti-Rabbit IgG H&L (Alexa Fluor® 488) preadsorbedat 1/1000 (2 ug/mL) dilution.

Immunoprecipitation - Anti-FYCO1 antibody [EPR28361-79] (AB316012)
  • IP

Supplier Data

Immunoprecipitation - Anti-FYCO1 antibody [EPR28361-79] (AB316012)

Blocking and diluting buffer and concentration : 5% NFDM/TBST.

FYCO1 was immunoprecipitated from 0.35 mg Mouse skeletal muscle tissue lysate with ab316012 at 1/30 dilution (2ug in 0.35mg lysates). Western blot was performed on the immunoprecipitate using ab316012 at 1/1000 dilution. VeriBlot for IP secondary antibody(HRP)(ab131366) was used at 1/5000 dilution.

Lane 1 : Mouse skeletal muscle tissue lysate
Lane 2 : ab316012 IP in Mouse skeletal muscle tissue lysate
Lane 3 : Rabbit monoclonal IgG (ab172730) instead of ab316012 in mouse skeletal muscle tissue lysate.

All lanes:

Immunoprecipitation - Anti-FYCO1 antibody [EPR28361-79] (ab316012) at 1/30 dilution

All lanes:

Mouse skeletal muscle tissue lysate

Secondary

All lanes:

Immunoprecipitation - VeriBlot for IP Detection Reagent (HRP) (<a href='/en-us/products/reagents/veriblot-for-ip-detection-reagent-hrp-ab131366'>ab131366</a>) at 1/5000 dilution

false

Exposure time: 180s

Western blot - Anti-FYCO1 antibody [EPR28361-79] (AB316012)
  • WB

Supplier Data

Western blot - Anti-FYCO1 antibody [EPR28361-79] (AB316012)

Blocking and diluting buffer and concentration : 5% NFDM/TBST.

Low expression : brain (PMID : 34215815).

In Western blot, Anti-GAPDH antibody [EPR16891] - Loading Control (ab181602) staining at 1/200000 dilution.

All lanes:

Western blot - Anti-FYCO1 antibody [EPR28361-79] (ab316012) at 1/1000 dilution

Lane 1:

Rat heart tissue lysate at 20 µg

Lane 2:

Rat skeletal muscle tissue lysate at 20 µg

Lane 3:

Rat brain tissue lysate at 20 µg

Secondary

All lanes:

Western blot - Goat Anti-Rabbit IgG H&L (HRP) (<a href='/en-us/products/secondary-antibodies/goat-rabbit-igg-h-l-hrp-ab97051'>ab97051</a>) at 1/20000 dilution

Observed band size: 162 kDa,36 kDa

false

Exposure time: 180s

Western blot - Anti-FYCO1 antibody [EPR28361-79] (AB316012)
  • WB

Supplier Data

Western blot - Anti-FYCO1 antibody [EPR28361-79] (AB316012)

Blocking and diluting buffer and concentration : 5% NFDM/TBST.

Low expression : Neuro-2a.

The lysate of lane 1 was stored at -80℃ prior to Western Blotting. The band beneath the target band (162 kDa) are likey to be degradation products.

In Western blot, Anti-GAPDH antibody [EPR16891] - Loading Control (ab181602) staining at 1/200000 dilution.

All lanes:

Western blot - Anti-FYCO1 antibody [EPR28361-79] (ab316012) at 1/1000 dilution

Lane 1:

Hepa1-6 (mouse hepatoma epithelial cell) whole cell lysate at 20 µg

Lane 2:

Neuro-2a (mouse neuroblastoma neuroblast) whole cell lysate at 20 µg

Secondary

All lanes:

Western blot - Goat Anti-Rabbit IgG H&L (HRP) (<a href='/en-us/products/secondary-antibodies/goat-rabbit-igg-h-l-hrp-ab97051'>ab97051</a>) at 1/20000 dilution

Observed band size: 162 kDa,36 kDa

false

Exposure time: 180s

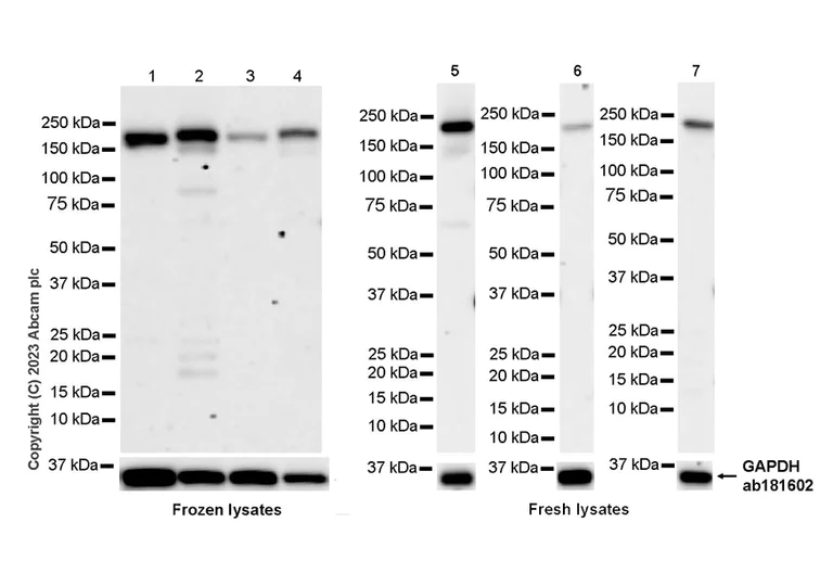
Western blot - Anti-FYCO1 antibody [EPR28361-79] (AB316012)
  • WB

Supplier Data

Western blot - Anti-FYCO1 antibody [EPR28361-79] (AB316012)

Blocking and diluting buffer and concentration : 5% NFDM/TBST.

Low expression : brain (PMID : 34215815), spleen (PMID : 34215815).

In lane 1-4, the lysates were stored at -80℃ prior to Western Blotting. The bands beneath the target band (162 kDa) are likey to be degradation products. In lanes 5-7, the lysates were freshly made and used for Western Blotting immediately to minimize protein degradation.

In Western blot, Anti-GAPDH antibody [EPR16891] - Loading Control (ab181602) staining at 1/200000 dilution.

Exposure time : Lanes 1-4 : 180 seconds, lanes 5-7 : 48 seconds.

All lanes:

Western blot - Anti-FYCO1 antibody [EPR28361-79] (ab316012) at 1/1000 dilution

Lane 1:

Mouse skeletal muscle tissue lysate at 20 µg

Lanes 2 and 5:

Mouse heart tissue lysate at 20 µg

Lanes 3 and 6:

Mouse brain tissue lysate at 20 µg

Lanes 4 and 7:

Mouse spleen tissue lysate at 20 µg

Secondary

All lanes:

Western blot - Goat Anti-Rabbit IgG H&L (HRP) (<a href='/en-us/products/secondary-antibodies/goat-rabbit-igg-h-l-hrp-ab97051'>ab97051</a>) at 1/20000 dilution

Observed band size: 162 kDa,36 kDa

false

Immunohistochemistry (Formalin/PFA-fixed paraffin-embedded sections) - Anti-FYCO1 antibody [EPR28361-79] (AB316012)
  • IHC-P

Supplier Data

Immunohistochemistry (Formalin/PFA-fixed paraffin-embedded sections) - Anti-FYCO1 antibody [EPR28361-79] (AB316012)

Immunohistochemical analysis of paraffin-embedded Rat cerebrum tissue labeling FYCO1 with ab316012 at 1/2000 (0.258 ug/ml) dilution, followed by a ready to use LeicaDS9800 (Bond™ Polymer Refine Detection).

Low expression : nearly negative staining on rat cerebrum. The section was incubated with ab316012 for 30 mins at room temperature.
The immunostaining was performed on a Leica Biosystems BOND® RX instrument
Incubate slides with 3% Hydrogen Peroxide for 10 mins at room temperature after secondary antibody incubation to reduce the background

Counterstained with Hematoxylin.

Secondary antibody only control : Secondary antibody is a ready to use LeicaDS9800 (Bond™ Polymer Refine Detection).

Heat mediated antigen retrieval was performed with Tris-EDTA buffer (pH 9.0, Epitope Retrieval Solution2) for 20 mins

Immunohistochemistry (Formalin/PFA-fixed paraffin-embedded sections) - Anti-FYCO1 antibody [EPR28361-79] (AB316012)
  • IHC-P

Supplier Data

Immunohistochemistry (Formalin/PFA-fixed paraffin-embedded sections) - Anti-FYCO1 antibody [EPR28361-79] (AB316012)

Immunohistochemical analysis of paraffin-embedded Mouse cerebrum tissue labeling FYCO1 with ab316012 at 1/2000 (0.258 ug/ml) dilution, followed by a ready to use LeicaDS9800 (Bond™ Polymer Refine Detection).

Low expression : nearly negative staining on mouse cerebrum (PMID : 34215815). The section was incubated with ab316012 for 30 mins at room temperature.
The immunostaining was performed on a Leica Biosystems BOND® RX instrument
Incubate slides with 3% Hydrogen Peroxide for 10 mins at room temperature after secondary antibody incubation to reduce the background

Counterstained with Hematoxylin.

Secondary antibody only control : Secondary antibody is a ready to use LeicaDS9800 (Bond™ Polymer Refine Detection).

Heat mediated antigen retrieval was performed with Tris-EDTA buffer (pH 9.0, Epitope Retrieval Solution2) for 20 mins

Key facts

Host species

Rabbit

Clonality

Monoclonal

Clone number

EPR28361-79

Isotype

IgG

Carrier free

No

Reacts with

Mouse, Rat

Applications

IHC-Fr, WB, IP, IHC-P

applications

Immunogen

The exact immunogen used to generate this antibody is proprietary information.

Specificity

Unsuitable for rat IHC-FR.

Reactivity data

{ "title": "Reactivity Data", "filters": { "stats": ["", "Species", "Dilution Info", "Notes"], "tabs": { "all-applications": {"fullname" : "All Applications", "shortname": "All Applications"}, "WB" : {"fullname" : "Western blot", "shortname":"WB"}, "IHCFr" : {"fullname" : "Immunohistochemistry (Frozen sections)", "shortname":"IHC-Fr"}, "IP" : {"fullname" : "Immunoprecipitation", "shortname":"IP"}, "IHCP" : {"fullname" : "Immunohistochemistry (Formalin/PFA-fixed paraffin-embedded sections)", "shortname":"IHC-P"}, "ICCIF" : {"fullname" : "Immunocytochemistry/ Immunofluorescence", "shortname":"ICC/IF"}, "FlowCytIntra" : {"fullname" : "Flow Cytometry (Intracellular)", "shortname":"Flow Cyt (Intra)"} }, "product-promise": { "all": "all", "testedAndGuaranteed": "tested", "guaranteed": "expected", "predicted": "predicted", "notRecommended": "not-recommended" } }, "values": { "Human": { "WB-species-checked": "notRecommended", "WB-species-dilution-info": "", "WB-species-notes": "<p></p>", "IHCFr-species-checked": "notRecommended", "IHCFr-species-dilution-info": "", "IHCFr-species-notes": "", "IP-species-checked": "notRecommended", "IP-species-dilution-info": "", "IP-species-notes": "", "IHCP-species-checked": "notRecommended", "IHCP-species-dilution-info": "", "IHCP-species-notes": "<p></p>", "ICCIF-species-checked": "notRecommended", "ICCIF-species-dilution-info": "", "ICCIF-species-notes": "<p></p>", "FlowCytIntra-species-checked": "notRecommended", "FlowCytIntra-species-dilution-info": "", "FlowCytIntra-species-notes": "<p></p>" }, "Mouse": { "WB-species-checked": "testedAndGuaranteed", "WB-species-dilution-info": "1/1000", "WB-species-notes": "<p></p>", "IHCFr-species-checked": "testedAndGuaranteed", "IHCFr-species-dilution-info": "1/100", "IHCFr-species-notes": "<p></p>", "IP-species-checked": "testedAndGuaranteed", "IP-species-dilution-info": "1/30", "IP-species-notes": "<p></p>", "IHCP-species-checked": "testedAndGuaranteed", "IHCP-species-dilution-info": "1/2000", "IHCP-species-notes": "<p></p> Perform heat-mediated antigen retrieval with Tris/EDTA buffer pH 9.0 before commencing with IHC staining protocol.", "ICCIF-species-checked": "notRecommended", "ICCIF-species-dilution-info": "", "ICCIF-species-notes": "<p></p>", "FlowCytIntra-species-checked": "notRecommended", "FlowCytIntra-species-dilution-info": "", "FlowCytIntra-species-notes": "<p></p>" }, "Rat": { "WB-species-checked": "testedAndGuaranteed", "WB-species-dilution-info": "1/1000", "WB-species-notes": "<p></p>", "IHCFr-species-checked": "notRecommended", "IHCFr-species-dilution-info": "", "IHCFr-species-notes": "<p></p>", "IP-species-checked": "guaranteed", "IP-species-dilution-info": "", "IP-species-notes": "", "IHCP-species-checked": "testedAndGuaranteed", "IHCP-species-dilution-info": "1/2000", "IHCP-species-notes": "<p></p> Perform heat-mediated antigen retrieval with Tris/EDTA buffer pH 9.0 before commencing with IHC staining protocol.", "ICCIF-species-checked": "notRecommended", "ICCIF-species-dilution-info": "", "ICCIF-species-notes": "", "FlowCytIntra-species-checked": "notRecommended", "FlowCytIntra-species-dilution-info": "", "FlowCytIntra-species-notes": "" } } }

Product details

Patented technology
Our RabMAb® technology is a patented hybridoma-based technology for making rabbit monoclonal antibodies. For details on our patents, please refer to RabMAb® patents.

What are the advantages of a recombinant monoclonal antibody?
This product is a recombinant monoclonal antibody, which offers several advantages including:

  • - High batch-to-batch consistency and reproducibility
  • - Improved sensitivity and specificity
  • - Long-term security of supply
  • - Animal-free batch production

For more information, read more on recombinant antibodies.

Properties and storage information

Form
Liquid
Purification technique
Affinity purification Protein A
Storage buffer
pH: 7.2 - 7.4 Preservative: 0.01% Sodium azide Constituents: PBS, 40% Glycerol (glycerin, glycerine), 0.05% BSA
Shipped at conditions
Blue Ice
Appropriate short-term storage duration
1-2 weeks
Appropriate short-term storage conditions
+4°C
Appropriate long-term storage conditions
-20°C
Aliquoting information
Upon delivery aliquot
Storage information
Avoid freeze / thaw cycle

Supplementary information

This supplementary information is collated from multiple sources and compiled automatically.

FYCO1 also known as FYVE and coiled-coil domain autophagy adaptor 1 is a protein that functions as an adaptor for the transport of autophagosomes along microtubules. It has a mass of approximately 147 kDa. FYCO1 is expressed in several tissues including the eye retina and cells involved in immune response such as macrophages. The protein contains various domains that facilitate its binding to phosphatidylinositol 3-phosphate on endosomal membranes and interaction with light chain 3 (LC3) proteins to tether autophagosomes to the cytoskeleton.
Biological function summary

FYCO1 plays an important role in the regulation of autophagy by promoting the movement of autophagosomes to the cell periphery where they can fuse with lysosomes for degradation of their cargo. It functions as part of the autophagic transport machinery and it interacts with Rab7 a small GTPase involved in endosome and autophagosome maturation. This interaction enhances FYCO1's ability to facilitate autophagic flux and maintain cellular homeostasis.

Pathways

FYCO1 participates in the autophagy and lysosomal degradation pathway which is important for maintaining cellular health by clearing damaged organelles and proteins. The protein's action relates to the mTOR signaling pathway a central modulator of cellular growth and metabolism impacting processes like cell proliferation and survival. FYCO1 works closely with proteins such as LC3 and Rab7 which are integral to autophagosome-lysosome fusion and cellular cleanup processes.

FYCO1 has been linked to cataracts particularly autosomal recessive congenital cataracts. Mutations in FYCO1 can lead to abnormal autophagosome transport disrupting lens transparency and causing cataract formation. The protein's dysfunction in autophagic pathways also ties it to a broader spectrum of neurological disorders though ongoing research continues to uncover these connections. Its interactions with proteins like Rab7 highlight a network of molecular activities critical to maintaining cellular organization and function.

Product protocols

For this product, it's our understanding that no specific protocols are required. You can visit:

Target data

May mediate microtubule plus end-directed vesicle transport.
See full target information Fyco1

Product promise

We are committed to supporting your work with high-quality reagents, and we're here for you every step of the way. In the unlikely event that one of our products does not perform as expected, you're protected by our Product Promise.
For full details, please see our Terms & Conditions

Please note: All products are 'FOR RESEARCH USE ONLY. NOT FOR USE IN DIAGNOSTIC OR THERAPEUTIC PROCEDURES'.

For licensing inquiries, please contact partnerships@abcam.com