JavaScript is disabled in your browser. Please enable JavaScript to view this website.
AB246333

Anti-Fyn antibody [EPR19636] - BSA and Azide free

Be the first to review this product! Submit a review

|

(1 Publication)

Rabbit Recombinant Monoclonal FYN antibody. Carrier free. Suitable for IP, WB, Flow Cyt (Intra), IHC-P and reacts with Mouse, Human, Rat samples. Cited in 1 publication.

View Alternative Names

Tyrosine-protein kinase Fyn, Proto-oncogene Syn, Proto-oncogene c-Fyn, Src-like kinase, p59-Fyn, SLK, FYN

8 Images
Immunohistochemistry (Formalin/PFA-fixed paraffin-embedded sections) - Anti-Fyn antibody [EPR19636] - BSA and Azide free (AB246333)
  • IHC-P

Supplier Data

Immunohistochemistry (Formalin/PFA-fixed paraffin-embedded sections) - Anti-Fyn antibody [EPR19636] - BSA and Azide free (AB246333)

Immunohistochemical analysis of paraffin-embedded human tonsil tissue labeling Fyn with ab184276 at 1/500 dilution, followed by Goat Anti-Rabbit IgG H&L (HRP) Ready to use. Cytoplasmic staining on T cells of human tonsil (PMID : 10523617). Counter stained with Hematoxylin.

Secondary antibody only control : Used PBS instead of primary antibody, secondary antibody is Goat Anti-Rabbit IgG H&L (HRP) Ready to use.

This data was developed using the same antibody clone in a different buffer formulation containing PBS, BSA, glycerol, and sodium azide (ab184276).

Perform heat mediated antigen retrieval with Tris/EDTA buffer pH 9.0 before commencing with IHC staining protocol.

Immunohistochemistry (Formalin/PFA-fixed paraffin-embedded sections) - Anti-Fyn antibody [EPR19636] - BSA and Azide free (AB246333)
  • IHC-P

Supplier Data

Immunohistochemistry (Formalin/PFA-fixed paraffin-embedded sections) - Anti-Fyn antibody [EPR19636] - BSA and Azide free (AB246333)

Immunohistochemical analysis of paraffin-embedded human cerebral cortex tissue labeling Fyn with ab184276 at 1/500 dilution, followed by Goat Anti-Rabbit IgG H&L (HRP) Ready to use. Cytoplasmic staining on human cerebral cortex (PMID : 7544314). Counter stained with Hematoxylin.

Secondary antibody only control : Used PBS instead of primary antibody, secondary antibody is Goat Anti-Rabbit IgG H&L (HRP) Ready to use.

This data was developed using the same antibody clone in a different buffer formulation containing PBS, BSA, glycerol, and sodium azide (ab184276).

Perform heat mediated antigen retrieval with Tris/EDTA buffer pH 9.0 before commencing with IHC staining protocol.

Immunohistochemistry (Formalin/PFA-fixed paraffin-embedded sections) - Anti-Fyn antibody [EPR19636] - BSA and Azide free (AB246333)
  • IHC-P

Supplier Data

Immunohistochemistry (Formalin/PFA-fixed paraffin-embedded sections) - Anti-Fyn antibody [EPR19636] - BSA and Azide free (AB246333)

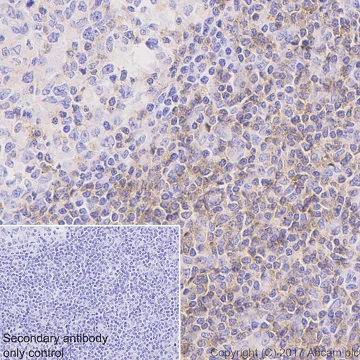
Immunohistochemical analysis of paraffin-embedded mouse spleen tissue labeling Fyn with ab184276 at 1/500 dilution, followed by Goat Anti-Rabbit IgG H&L (HRP) Ready to use. Cytoplasmic staining on T cells of mouse spleen (PMID : 7544314, PMID : 10523617). Counter stained with Hematoxylin.

Secondary antibody only control : Used PBS instead of primary antibody, secondary antibody is Goat Anti-Rabbit IgG H&L (HRP) Ready to use.

This data was developed using the same antibody clone in a different buffer formulation containing PBS, BSA, glycerol, and sodium azide (ab184276).

Perform heat mediated antigen retrieval with Tris/EDTA buffer pH 9.0 before commencing with IHC staining protocol.

Flow Cytometry (Intracellular) - Anti-Fyn antibody [EPR19636] - BSA and Azide free (AB246333)
  • Flow Cyt (Intra)

Supplier Data

Flow Cytometry (Intracellular) - Anti-Fyn antibody [EPR19636] - BSA and Azide free (AB246333)

Intracellular flow cytometric analysis of 4% paraformaldehyde-fixed RAW 264.7 (mouse macrophage cell line transformed with Abelson murine leukemia virus) cell line labeling Fyn with ab184276 at 1/50 dilution (red) compared with a Rabbit IgG, monoclonal [EPR25A] - Isotype Control (ab172730) (black) and an unlabeled control (cells without incubation with primary antibody and secondary antibody) (blue). Goat Anti-Rabbit IgG H&L (Alexa Fluor® 488) at 1/2000 dilution was used as the secondary antibody.

This data was developed using the same antibody clone in a different buffer formulation containing PBS, BSA, glycerol, and sodium azide (ab184276).

Immunohistochemistry (Formalin/PFA-fixed paraffin-embedded sections) - Anti-Fyn antibody [EPR19636] - BSA and Azide free (AB246333)
  • IHC-P

Supplier Data

Immunohistochemistry (Formalin/PFA-fixed paraffin-embedded sections) - Anti-Fyn antibody [EPR19636] - BSA and Azide free (AB246333)

Immunohistochemical analysis of paraffin-embedded rat testis tissue labeling Fyn with ab184276 at 1/500 dilution, followed by Goat Anti-Rabbit IgG H&L (HRP) Ready to use. Membranous staining on rat testis (PMID : 7544314). Counter stained with Hematoxylin.

Secondary antibody only control : Used PBS instead of primary antibody, secondary antibody is Goat Anti-Rabbit IgG H&L (HRP) Ready to use.

This data was developed using the same antibody clone in a different buffer formulation containing PBS, BSA, glycerol, and sodium azide (ab184276).

Perform heat mediated antigen retrieval with Tris/EDTA buffer pH 9.0 before commencing with IHC staining protocol.

Immunoprecipitation - Anti-Fyn antibody [EPR19636] - BSA and Azide free (AB246333)
  • IP

Supplier Data

Immunoprecipitation - Anti-Fyn antibody [EPR19636] - BSA and Azide free (AB246333)

Fyn was immunoprecipitated from 0.35 mg of P0 mouse brain lysate with ab184276 at 1/40 dilution. Western blot was performed from the immunoprecipitate using ab184276 at 1/1000 dilution. VeriBlot for IP Detection Reagent (HRP) (ab131366), was used for detection at 1/10000 dilution.

Lane 1 : P0 mouse brain lysate 10 μg (Input).

Lane 2 : ab184276 IP in P0 mouse brain lysate.

Lane 3 : Rabbit monoclonal IgG (ab172730) instead of ab184276 in P0 mouse brain lysate.

Blocking and dilution buffer and concentration : 5% NFDM/TBST.

Exposure time : 3 minutes.

This data was developed using the same antibody clone in a different buffer formulation containing PBS, BSA, glycerol, and sodium azide (ab184276).

All lanes:

Immunoprecipitation - Anti-Fyn antibody [EPR19636] (<a href='/en-us/products/primary-antibodies/fyn-antibody-epr19636-ab184276'>ab184276</a>)

Predicted band size: 60 kDa

false

Western blot - Anti-Fyn antibody [EPR19636] - BSA and Azide free (AB246333)
  • WB

Lab

Western blot - Anti-Fyn antibody [EPR19636] - BSA and Azide free (AB246333)

False colour image of Western blot : Anti-Fyn antibody [EPR19636] staining at 1/1000 dilution, shown in green; Mouse anti-GAPDH antibody [6C5] (ab8245) loading control staining at 1/20000 dilution, shown in red. In Western blot, ab184276 was shown to bind specifically to Fyn. A band was observed at 60 kDa in wild-type HEK-293 cell lysates with no signal observed at this size in FYN knockout cell line ab269630 (knockout cell lysate ab272440). To generate this image, wild-type and FYN knockout HEK-293 cell lysates were analysed. First, samples were run on an SDS-PAGE gel then transferred onto a nitrocellulose membrane. Membranes were blocked in 3 % milk in TBS-0.1 % Tween® 20 (TBS-T) before incubation with primary antibodies overnight at 4 °C. Blots were washed four times in TBS-T, incubated with secondary antibodies for 1 h at room temperature, washed again four times then imaged. Secondary antibodies used were Goat anti-Rabbit IgG H&L (IRDye® 800CW) preabsorbed (ab216773) and Goat anti-Mouse IgG H&L (IRDye® 680RD) preabsorbed (ab216776) at 1/20000 dilution.

All lanes:

Western blot - Anti-Fyn antibody [EPR19636] - BSA and Azide free (ab246333) at 1/1000 dilution

Lane 1:

Wild-type HEK-293 cell lysate at 20 µg

Lane 2:

FYN knockout HEK-293 cell lysate at 20 µg

Predicted band size: 60 kDa

Observed band size: 60 kDa

false

Western blot - Anti-Fyn antibody [EPR19636] - BSA and Azide free (AB246333)
  • WB

Lab

Western blot - Anti-Fyn antibody [EPR19636] - BSA and Azide free (AB246333)

This data was developed using the same antibody clone in a different buffer formulation (ab184276).

Lanes 1-3 : Merged signal (red and green). Green - ab184276 observed at 60 kDa. Red - loading control, ab8245 observed at 37 kDa.

ab184276 Anti-Fyn antibody [EPR19636] was shown to specifically react with Fyn in wild-type HEK293T cells. Loss of signal was observed when knockout cell line ab266133 (knockout cell lysate ab257071) was used. Wild-type and Fyn knockout samples were subjected to SDS-PAGE. ab184276 and Anti-GAPDH antibody [6C5] - Loading Control (ab8245) were incubated overnight at 4°C at 1 in 1000 dilution and 1 in 20000 dilution respectively. Blots were developed with Goat anti-Rabbit IgG H&L (IRDye® 800CW) preadsorbed (ab216773) and Goat anti-Mouse IgG H&L (IRDye® 680RD) preadsorbed (ab216776) secondary antibodies at 1 in 10000 dilution for 1 hour at room temperature before imaging.

All lanes:

Western blot - Anti-Fyn antibody [EPR19636] (<a href='/en-us/products/primary-antibodies/fyn-antibody-epr19636-ab184276'>ab184276</a>) at 1/1000 dilution

Lane 1:

Wild-type HEK-293T cell lysate at 20 µg

Lane 2:

FYN knockout HEK-293T cell lysate at 20 µg

Lane 2:

Western blot - Human FYN knockout HEK-293T cell line (<a href='/en-us/products/cell-lines/human-fyn-knockout-hek-293t-cell-line-ab266133'>ab266133</a>)

Lane 3:

Human brain tissue lysate at 20 µg

Predicted band size: 60 kDa

Observed band size: 159 kDa

false

Key facts

Host species

Rabbit

Clonality

Monoclonal

Clone number

EPR19636

Isotype

IgG

Carrier free

Yes

Reacts with

Mouse, Rat, Human

Applications

IHC-P, WB, Flow Cyt (Intra), IP

applications

Immunogen

The exact immunogen used to generate this antibody is proprietary information.

Reactivity data

{ "title": "Reactivity Data", "filters": { "stats": ["", "Species", "Dilution Info", "Notes"], "tabs": { "all-applications": {"fullname" : "All Applications", "shortname": "All Applications"}, "IP" : {"fullname" : "Immunoprecipitation", "shortname":"IP"}, "WB" : {"fullname" : "Western blot", "shortname":"WB"}, "FlowCytIntra" : {"fullname" : "Flow Cytometry (Intracellular)", "shortname":"Flow Cyt (Intra)"}, "IHCP" : {"fullname" : "Immunohistochemistry (Formalin/PFA-fixed paraffin-embedded sections)", "shortname":"IHC-P"} }, "product-promise": { "all": "all", "testedAndGuaranteed": "tested", "guaranteed": "expected", "predicted": "predicted", "notRecommended": "not-recommended" } }, "values": { "Human": { "IP-species-checked": "guaranteed", "IP-species-dilution-info": "", "IP-species-notes": "", "WB-species-checked": "testedAndGuaranteed", "WB-species-dilution-info": "", "WB-species-notes": "<p></p>", "FlowCytIntra-species-checked": "guaranteed", "FlowCytIntra-species-dilution-info": "", "FlowCytIntra-species-notes": "", "IHCP-species-checked": "testedAndGuaranteed", "IHCP-species-dilution-info": "", "IHCP-species-notes": "<p></p>" }, "Mouse": { "IP-species-checked": "testedAndGuaranteed", "IP-species-dilution-info": "", "IP-species-notes": "<p></p>", "WB-species-checked": "testedAndGuaranteed", "WB-species-dilution-info": "", "WB-species-notes": "<p></p>", "FlowCytIntra-species-checked": "testedAndGuaranteed", "FlowCytIntra-species-dilution-info": "", "FlowCytIntra-species-notes": "<p></p>", "IHCP-species-checked": "testedAndGuaranteed", "IHCP-species-dilution-info": "", "IHCP-species-notes": "<p></p>" }, "Rat": { "IP-species-checked": "guaranteed", "IP-species-dilution-info": "", "IP-species-notes": "", "WB-species-checked": "testedAndGuaranteed", "WB-species-dilution-info": "", "WB-species-notes": "<p></p>", "FlowCytIntra-species-checked": "guaranteed", "FlowCytIntra-species-dilution-info": "", "FlowCytIntra-species-notes": "", "IHCP-species-checked": "testedAndGuaranteed", "IHCP-species-dilution-info": "", "IHCP-species-notes": "<p></p>" } } }

Product details

ab246333 is the carrier-free version of ab184276.

Patented technology
Our RabMAb® technology is a patented hybridoma-based technology for making rabbit monoclonal antibodies. For details on our patents, please refer to RabMAb® patents.

What are the advantages of a recombinant monoclonal antibody?
This product is a recombinant monoclonal antibody, which offers several advantages including:

  • - High batch-to-batch consistency and reproducibility
  • - Improved sensitivity and specificity
  • - Long-term security of supply
  • - Animal-free batch production

For more information, read more on recombinant antibodies.

Conjugation ready
Our carrier-free antibodies are typically supplied in a PBS-only formulation, purified and free of BSA, sodium azide and glycerol. This conjugation-ready format is designed for use with fluorochromes, metal isotopes, oligonucleotides, and enzymes, which makes them ideal for antibody labelling, functional and cell-based assays, flow-based assays (e.g. mass cytometry) and Multiplex Imaging applications.

Use our conjugation kits for antibody conjugates that are ready-to-use in as little as 20 minutes with 1 minute hands-on-time and 100% antibody recovery: available for fluorescent dyes, HRP, biotin and gold.

Compatibility
This product is compatible with the Maxpar® Antibody Labeling Kit from Fluidigm, without the need for antibody preparation. Maxpar® is a trademark of Fluidigm Canada Inc.

Properties and storage information

Form
Liquid
Purification technique
Affinity purification Protein A
Storage buffer
pH: 7.2 - 7.4 Constituents: PBS
Shipped at conditions
Blue Ice
Appropriate short-term storage conditions
+4°C
Appropriate long-term storage conditions
+4°C
Storage information
Do Not Freeze

Supplementary information

This supplementary information is collated from multiple sources and compiled automatically.

Fyn is a Src family tyrosine kinase with a molecular weight of approximately 59 kDa. It is often referred to as Fyn kinase and plays a significant role in signal transduction processes. This protein is observed in various tissues with high expression in the brain T cells and platelets. Fyn kinase is known for its function in cell communication and regulates different cellular processes in these tissues.
Biological function summary

Fyn kinase influences cell growth differentiation and survival. It is a part of larger signaling complexes including those accountable for the development and function of the central nervous system. The protein's activity is important for neural plasticity and supports synaptic communication particularly within the brain. Fyn can interact with other proteins in these complexes to help direct cellular responses to external signals.

Pathways

Fyn kinase is central to several intracellular signaling pathways such as the T cell receptor (TCR) signaling pathway and the integrin signaling pathway. The TCR signaling pathway involves the regulation of immune responses while the integrin signaling pathway contributes to cell adhesion and migration. Other proteins like Lck and Yes interact with Fyn within these pathways adding another layer of regulation and response in various cell types.

Fyn kinase has associations with Alzheimer's disease and certain types of cancer. In Alzheimer's dysregulation of Fyn activity contributes to synaptic dysfunction and neuronal damage. In cancer aberrant Fyn signaling can affect cellular proliferation and metastasis. Proteins such as Tau in Alzheimer's disease and Src in cancer relate to Fyn through their respective pathological processes.

Product protocols

For this product, it's our understanding that no specific protocols are required. You can visit:

Target data

Non-receptor tyrosine-protein kinase that plays a role in many biological processes including regulation of cell growth and survival, cell adhesion, integrin-mediated signaling, cytoskeletal remodeling, cell motility, immune response and axon guidance (PubMed : 11536198, PubMed : 15489916, PubMed : 15557120, PubMed : 16387660, PubMed : 20100835, PubMed : 7568038, PubMed : 7822789). Inactive FYN is phosphorylated on its C-terminal tail within the catalytic domain (PubMed : 15489916). Following activation by PKA, the protein subsequently associates with PTK2/FAK1, allowing PTK2/FAK1 phosphorylation, activation and targeting to focal adhesions (PubMed : 15489916). Involved in the regulation of cell adhesion and motility through phosphorylation of CTNNB1 (beta-catenin) and CTNND1 (delta-catenin) (PubMed : 17194753). Regulates cytoskeletal remodeling by phosphorylating several proteins including the actin regulator WAS and the microtubule-associated proteins MAP2 and MAPT (PubMed : 14707117, PubMed : 15536091). Promotes cell survival by phosphorylating AGAP2/PIKE-A and preventing its apoptotic cleavage (PubMed : 16841086). Participates in signal transduction pathways that regulate the integrity of the glomerular slit diaphragm (an essential part of the glomerular filter of the kidney) by phosphorylating several slit diaphragm components including NPHS1, KIRREL1 and TRPC6 (PubMed : 14761972, PubMed : 18258597, PubMed : 19179337). Plays a role in neural processes by phosphorylating DPYSL2, a multifunctional adapter protein within the central nervous system, ARHGAP32, a regulator for Rho family GTPases implicated in various neural functions, and SNCA, a small pre-synaptic protein (PubMed : 11162638, PubMed : 12788081, PubMed : 19652227). Involved in reelin signaling by mediating phosphorylation of DAB1 following reelin (RELN)-binding to its receptor (By similarity). Participates in the downstream signaling pathways that lead to T-cell differentiation and proliferation following T-cell receptor (TCR) stimulation (PubMed : 22080863). Phosphorylates PTK2B/PYK2 in response to T-cell receptor activation (PubMed : 20028775). Also participates in negative feedback regulation of TCR signaling through phosphorylation of PAG1, thereby promoting interaction between PAG1 and CSK and recruitment of CSK to lipid rafts (PubMed : 18056706). CSK maintains LCK and FYN in an inactive form (By similarity). Promotes CD28-induced phosphorylation of VAV1 (PubMed : 11005864). In mast cells, phosphorylates CLNK after activation of immunoglobulin epsilon receptor signaling (By similarity). Can also promote CD244-mediated NK cell activation (PubMed : 15713798).
See full target information Tyrosine-protein kinase Fyn

Publications (1)

Recent publications for all applications. Explore the full list and refine your search

eLife 9: PubMed32163370

2020

ATR expands embryonic stem cell fate potential in response to replication stress.

Applications

Unspecified application

Species

Unspecified reactive species

Sina Atashpaz,Sara Samadi Shams,Javier Martin Gonzalez,Endre Sebestyén,Negar Arghavanifard,Andrea Gnocchi,Eliene Albers,Simone Minardi,Giovanni Faga,Paolo Soffientini,Elisa Allievi,Valeria Cancila,Angela Bachi,Óscar Fernández-Capetillo,Claudio Tripodo,Francesco Ferrari,Andrés Joaquin López-Contreras,Vincenzo Costanzo
View all publications

Product promise

We are committed to supporting your work with high-quality reagents, and we're here for you every step of the way. In the unlikely event that one of our products does not perform as expected, you're protected by our Product Promise.
For full details, please see our Terms & Conditions

Please note: All products are 'FOR RESEARCH USE ONLY. NOT FOR USE IN DIAGNOSTIC OR THERAPEUTIC PROCEDURES'.

For licensing inquiries, please contact partnerships@abcam.com