JavaScript is disabled in your browser. Please enable JavaScript to view this website.
AB319054

Anti-G-6-Pase antibody [EPR28793-52] - BSA and Azide free

Be the first to review this product! Submit a review

|

(0 Publication)

Rabbit Recombinant Monoclonal G-6-Pase antibody. Carrier free. Suitable for Dot, I-ELISA, IHC-P, ICC/IF, WB, IP and reacts with Recombinant fragment - Human, Human, Mouse, Rat samples.

View Alternative Names

G6PC, G6PT, G6PC1, Glucose-6-phosphatase catalytic subunit 1, Glucose-6-phosphatase, Glucose-6-phosphatase alpha, G-6-Pase, G6Pase, G6Pase-alpha

15 Images
Immunohistochemistry (Formalin/PFA-fixed paraffin-embedded sections) - Anti-G-6-Pase antibody [EPR28793-52] - BSA and Azide free (AB319054)
  • IHC-P

Supplier Data

Immunohistochemistry (Formalin/PFA-fixed paraffin-embedded sections) - Anti-G-6-Pase antibody [EPR28793-52] - BSA and Azide free (AB319054)

This data was developed using ab319053, the same antibody clone in a different buffer formulation.

Immunohistochemical analysis of paraffin-embedded Human liver tissue labeling G-6-Pase with ab319053 at 1/100 (5.01 ug/ml) dilution, followed by a ready to use LeicaDS9800 (Bond™ Polymer Refine Detection).

Positive staining on human liver.
The section was incubated with ab319053 for 30 mins at room temperature.
The immunostaining was performed on a Leica Biosystems BOND® RX instrument
Incubate slides with 3% Hydrogen Peroxide for 10 mins at room temperature after secondary antibody incubation to reduce the background

Counterstained with Hematoxylin.

Secondary antibody only control : Secondary antibody is a ready to use LeicaDS9800 (Bond™ Polymer Refine Detection).

Heat mediated antigen retrieval was performed with Tris-EDTA buffer (pH 9.0, Epitope Retrieval Solution2) for 20 mins

Immunohistochemistry (Formalin/PFA-fixed paraffin-embedded sections) - Anti-G-6-Pase antibody [EPR28793-52] - BSA and Azide free (AB319054)
  • IHC-P

Supplier Data

Immunohistochemistry (Formalin/PFA-fixed paraffin-embedded sections) - Anti-G-6-Pase antibody [EPR28793-52] - BSA and Azide free (AB319054)

This data was developed using ab319053, the same antibody clone in a different buffer formulation.

Immunohistochemical analysis of paraffin-embedded Human skeletal muscle tissue labeling G-6-Pase with ab319053 at 1/100 (5.01 ug/ml) dilution, followed by a ready to use LeicaDS9800 (Bond™ Polymer Refine Detection).

Negative control : no staining on human skeletal muscle.
The section was incubated with ab319053 for 30 mins at room temperature.
The immunostaining was performed on a Leica Biosystems BOND® RX instrument
Incubate slides with 3% Hydrogen Peroxide for 10 mins at room temperature after secondary antibody incubation to reduce the background

Counterstained with Hematoxylin.

Secondary antibody only control : Secondary antibody is a ready to use LeicaDS9800 (Bond™ Polymer Refine Detection).

Heat mediated antigen retrieval was performed with Tris-EDTA buffer (pH 9.0, Epitope Retrieval Solution2) for 20 mins

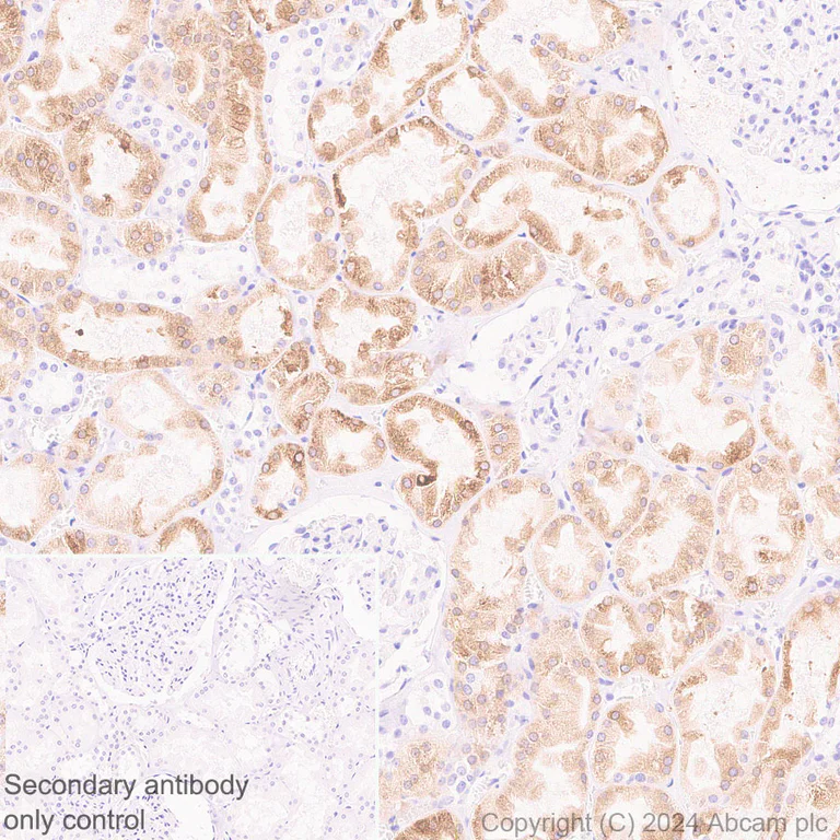
Immunohistochemistry (Formalin/PFA-fixed paraffin-embedded sections) - Anti-G-6-Pase antibody [EPR28793-52] - BSA and Azide free (AB319054)
  • IHC-P

Supplier Data

Immunohistochemistry (Formalin/PFA-fixed paraffin-embedded sections) - Anti-G-6-Pase antibody [EPR28793-52] - BSA and Azide free (AB319054)

This data was developed using ab319053, the same antibody clone in a different buffer formulation.

Immunohistochemical analysis of paraffin-embedded Human kidney tissue labeling G-6-Pase with ab319053 at 1/100 (5.01 ug/ml) dilution, followed by a ready to use LeicaDS9800 (Bond™ Polymer Refine Detection).

Positive staining on human kidney.
The section was incubated with ab319053 for 30 mins at room temperature.
The immunostaining was performed on a Leica Biosystems BOND® RX instrument
Incubate slides with 3% Hydrogen Peroxide for 10 mins at room temperature after secondary antibody incubation to reduce the background

Counterstained with Hematoxylin.

Secondary antibody only control : Secondary antibody is a ready to use LeicaDS9800 (Bond™ Polymer Refine Detection).

Heat mediated antigen retrieval was performed with Tris-EDTA buffer (pH 9.0, Epitope Retrieval Solution2) for 20 mins

Immunocytochemistry/ Immunofluorescence - Anti-G-6-Pase antibody [EPR28793-52] - BSA and Azide free (AB319054)
  • ICC/IF

Supplier Data

Immunocytochemistry/ Immunofluorescence - Anti-G-6-Pase antibody [EPR28793-52] - BSA and Azide free (AB319054)

This data was developed using ab319053, the same antibody clone in a different buffer formulation.

Immunofluorescent analysis of 4% Paraformaldehyde-fixed, 0.1% TritonX-100 permeabilized HepG2 (human hepatocellular carcinoma epithelial cell) cells labelling G-6-Pase with ab319053 at 1/50 (10.02 μg/ml) dilution, followed by ab150081 Goat Anti-Rabbit IgG H&L (Alexa Fluor® 488) preadsorbed antibody at 1/1000 2 μg/ml dilution (Green).

Confocal image showing cytoplasmic staining in HepG2 cell line (shown in green). The counterstain was observed in magenta. Nuclear DNA was labeled with DAPI (shown in blue).
Negative control : THP-1 (PMID : 9822626).
Image was taken with a confocal microscope (Leica-Microsystems, TCS SP8).

ab195889 Anti-alpha Tubulin mouse monoclonal antibody - Microtubule Marker (Alexa Fluor® 594) was used to counterstain tubulin at 1/200 2.5 μg/ml dilution (Magenta). The Nuclear counterstain was DAPI (Blue).

Secondary antibody only control : Secondary antibody is ab150081 Goat Anti-Rabbit IgG H&L (Alexa Fluor® 488) preadsorbed at 1/1000 2 μg/ml dilution.

Immunoprecipitation - Anti-G-6-Pase antibody [EPR28793-52] - BSA and Azide free (AB319054)
  • IP

Supplier Data

Immunoprecipitation - Anti-G-6-Pase antibody [EPR28793-52] - BSA and Azide free (AB319054)

This data was developed using ab319053, the same antibody clone in a different buffer formulation.

G-6-Pase was immunoprecipitated from 0.35 mg HepG2 (human hepatocellular carcinoma epithelial cell) whole cell lysate with ab319053 at 1/30 dilution (2ug in 0.35mg lysates). Western blot was performed on the immunoprecipitate using ab319053 at 1/1000 dilution. VeriBlot for IP secondary antibody(HRP)(ab131366) was used at 1/5000 dilution.

Lane 1 : HepG2 (human hepatocellular carcinoma epithelial cell) whole cell lysate
Lane 2 : ab319053 IP in HepG2 (human hepatocellular carcinoma epithelial cell) whole cell lysate
Lane 3 : Rabbit monoclonal IgG (ab172730) instead of ab319053 in HepG2 whole cell lysate

Blocking and diluting buffer and concentration : 5% NFDM/TBST.

All lanes:

Immunoprecipitation - Anti-G-6-Pase antibody [EPR28793-52] (<a href='/en-us/products/primary-antibodies/g-6-pase-antibody-epr28793-52-ab319053'>ab319053</a>) at 1/30 dilution

All lanes:

HepG2 (human hepatocellular carcinoma epithelial cell) whole cell lysate

Secondary

All lanes:

Immunoprecipitation - VeriBlot for IP Detection Reagent (HRP) (<a href='/en-us/products/reagents/veriblot-for-ip-detection-reagent-hrp-ab131366'>ab131366</a>) at 1/5000 dilution

false

Exposure time: 180s

Immunohistochemistry (Formalin/PFA-fixed paraffin-embedded sections) - Anti-G-6-Pase antibody [EPR28793-52] - BSA and Azide free (AB319054)
  • IHC-P

Supplier Data

Immunohistochemistry (Formalin/PFA-fixed paraffin-embedded sections) - Anti-G-6-Pase antibody [EPR28793-52] - BSA and Azide free (AB319054)

This data was developed using ab319053, the same antibody clone in a different buffer formulation.

Immunohistochemical analysis of paraffin-embedded Rat liver tissue labeling G-6-Pase with ab319053 at 1/100 (5.01 ug/ml) dilution, followed by a ready to use LeicaDS9800 (Bond™ Polymer Refine Detection).

Positive staining on rat liver (PMID : 9813078).
The section was incubated with ab319053 for 30 mins at room temperature.
The immunostaining was performed on a Leica Biosystems Bond™ Polymer Refine Detection
Incubate slides with 3% Hydrogen Peroxide for 10 mins at room temperature after secondary antibody incubation to reduce the background

Counterstained with Hematoxylin.

Secondary antibody only control : Secondary antibody is a ready to use LeicaDS9800 (Bond™ Polymer Refine Detection) .

Heat mediated antigen retrieval was performed with Tris-EDTA buffer (pH 9.0, Epitope Retrieval Solution2) for 20 mins

Immunohistochemistry (Formalin/PFA-fixed paraffin-embedded sections) - Anti-G-6-Pase antibody [EPR28793-52] - BSA and Azide free (AB319054)
  • IHC-P

Supplier Data

Immunohistochemistry (Formalin/PFA-fixed paraffin-embedded sections) - Anti-G-6-Pase antibody [EPR28793-52] - BSA and Azide free (AB319054)

This data was developed using ab319053, the same antibody clone in a different buffer formulation.

Immunohistochemical analysis of paraffin-embedded Rat skeletal muscle tissue labeling G-6-Pase with ab319053 at 1/100 (5.01 ug/ml) dilution, followed by a ready to use LeicaDS9800 LeicaDS9800 (Bond™ Polymer Refine Detection).

Negative control : no staining on rat skeletal muscle.
The section was incubated with ab319053 for 30 mins at room temperature.
The immunostaining was performed on a Leica Biosystems BOND® RX instrument
Incubate slides with 3% Hydrogen Peroxide for 10 mins at room temperature after secondary antibody incubation to reduce the background

Counterstained with Hematoxylin.

Secondary antibody only control : Secondary antibody is a ready to use LeicaDS9800 (Bond™ Polymer Refine Detection).

Heat mediated antigen retrieval was performed with Tris-EDTA buffer (pH 9.0, Epitope Retrieval Solution2) for 20 mins

Immunohistochemistry (Formalin/PFA-fixed paraffin-embedded sections) - Anti-G-6-Pase antibody [EPR28793-52] - BSA and Azide free (AB319054)
  • IHC-P

Supplier Data

Immunohistochemistry (Formalin/PFA-fixed paraffin-embedded sections) - Anti-G-6-Pase antibody [EPR28793-52] - BSA and Azide free (AB319054)

This data was developed using ab319053, the same antibody clone in a different buffer formulation.

Immunohistochemical analysis of paraffin-embedded Mouse skeletal muscle tissue labeling G-6-Pase with ab319053 at 1/100 (5.01 ug/ml) dilution, followed by a ready to use LeicaDS9800 (Bond™ Polymer Refine Detection).

Negative control : no staining on mouse skeletal muscle.
The section was incubated with ab319053 for 30 mins at room temperature.
The immunostaining was performed on a Leica Biosystems BOND® RX instrument
Incubate slides with 3% Hydrogen Peroxide for 10 mins at room temperature after secondary antibody incubation to reduce the background

Counterstained with Hematoxylin.

Secondary antibody only control : Secondary antibody is a ready to use LeicaDS9800 (Bond™ Polymer Refine Detection).

Heat mediated antigen retrieval was performed with Tris-EDTA buffer (pH 9.0, Epitope Retrieval Solution2) for 20 mins

Immunohistochemistry (Formalin/PFA-fixed paraffin-embedded sections) - Anti-G-6-Pase antibody [EPR28793-52] - BSA and Azide free (AB319054)
  • IHC-P

Supplier Data

Immunohistochemistry (Formalin/PFA-fixed paraffin-embedded sections) - Anti-G-6-Pase antibody [EPR28793-52] - BSA and Azide free (AB319054)

This data was developed using ab319053, the same antibody clone in a different buffer formulation.

Immunohistochemical analysis of paraffin-embedded Mouse liver tissue labeling G-6-Pase with ab319053 at 1/100 (5.01 ug/ml) dilution, followed by a ready to use LeicaDS9800 (Bond™Polymer Refine Detection).

Positive staining on mouse liver (PMID : 29428299, 25147289).
The section was incubated with ab319053 for 30 mins at room temperature.
The immunostaining was performed on a Leica Biosystems BOND® RX instrument
Incubate slides with 3% Hydrogen Peroxide for 10 mins at room temperature after secondary antibody incubation to reduce the background

Counterstained with Hematoxylin.

Secondary antibody only control : Secondary antibody is a ready to use LeicaDS9800 (Bond™Polymer Refine Detection).

Heat mediated antigen retrieval was performed with Tris-EDTA buffer (pH 9.0, Epitope Retrieval Solution2) for 20 mins

Immunoprecipitation - Anti-G-6-Pase antibody [EPR28793-52] - BSA and Azide free (AB319054)
  • IP

Supplier Data

Immunoprecipitation - Anti-G-6-Pase antibody [EPR28793-52] - BSA and Azide free (AB319054)

This data was developed using ab319053, the same antibody clone in a different buffer formulation.

G-6-Pase was immunoprecipitated from 0.35 mg Mouse liver tissue lysate with ab319053 at 1/30 dilution (2ug in 0.35mg lysates). Western blot was performed on the immunoprecipitate using ab319053 at 1/1000 dilution. VeriBlot for IP secondary antibody(HRP)(ab131366) was used at 1/5000 dilution.

Lane 1 : Mouse liver tissue lysate
Lane 2 : ab319053 IP in Mouse liver tissue lysate
Lane 3 : Rabbit monoclonal IgG (ab172730) instead of ab319053 in mouse liver tissue lysate

Blocking and diluting buffer and concentration : 5% NFDM/TBST.

All lanes:

Immunoprecipitation - Anti-G-6-Pase antibody [EPR28793-52] (<a href='/en-us/products/primary-antibodies/g-6-pase-antibody-epr28793-52-ab319053'>ab319053</a>) at 1/30 dilution

All lanes:

Mouse liver tissue lysate

Secondary

All lanes:

Immunoprecipitation - VeriBlot for IP Detection Reagent (HRP) (<a href='/en-us/products/reagents/veriblot-for-ip-detection-reagent-hrp-ab131366'>ab131366</a>) at 1/5000 dilution

false

Exposure time: 180s

Western blot - Anti-G-6-Pase antibody [EPR28793-52] - BSA and Azide free (AB319054)
  • WB

Supplier Data

Western blot - Anti-G-6-Pase antibody [EPR28793-52] - BSA and Azide free (AB319054)

This data was developed using ab319053, the same antibody clone in a different buffer formulation.

Blocking and diluting buffer and concentration : 5% NFDM/TBST.

Negative control : skeletal muscle, spleen, THP-1, JEG-3, U-937(PMID : 9822626), pancreas

The identity of the higher MW band at approximately 50 kDa is unknown

The identity of the lower MW band at approximately 20 kDa is unknown

The samples of lane2-8 are non-boiled as boiling may cause protein aggregation.

In Western blot, Anti-GAPDH antibody [EPR16891] - Loading Control (ab181602) staining at 1/200000 dilution.

All lanes:

Western blot - Anti-G-6-Pase antibody [EPR28793-52] (<a href='/en-us/products/primary-antibodies/g-6-pase-antibody-epr28793-52-ab319053'>ab319053</a>) at 1/1000 dilution

Lane 1:

Human kidney tissue lysate at 20 µg

Lane 2:

Human liver tissue lysate at 20 µg

Lane 3:

Human skeletal muscle tissue lysate at 20 µg

Lane 4:

Human spleen tissue lysate at 20 µg

Lane 5:

Human pancreas tissue lysate at 20 µg

Lane 6:

HepG2 (human hepatocellular carcinoma epithelial cell) whole cell lysate

Lane 7:

THP-1 (human monocytic leukemia monocyte) whole cell lysate at 20 µg

Lane 8:

JEG-3 (human placenta epithelial cell) whole cell lysate at 20 µg

Lane 9:

U-937 (human histiocytic lymphoma monocyte) whole cell lysate at 20 µg

Secondary

All lanes:

Goat Anti-Rabbit IgG (HRP) with minimal cross-reactivity with human IgG at 1/2000 dilution

Observed band size: 36 kDa

false

Exposure time: 180s

Dot Blot - Anti-G-6-Pase antibody [EPR28793-52] - BSA and Azide free (AB319054)
  • Dot

Supplier Data

Dot Blot - Anti-G-6-Pase antibody [EPR28793-52] - BSA and Azide free (AB319054)

This data was developed using ab319053, the same antibody clone in a different buffer formulation.

Dot blot analysis of G-6-Pase using ab319053 at 1 : 1000 (0.501 ug/ml) followed by a Goat Anti-Rabbit IgG, (H+L), Peroxidase conjugated (ab97051) at 1 : 100,000 dilution.

Lane 1 : His tagged human G-6-Pase protein
Lane 2 : Human G6PC2 peptide

Blocking and diluting buffer and concentration : 5% NFDM/TBST.

This antibody does not cross-react with human G6PC2.

All lanes:

Dot Blot - Anti-G-6-Pase antibody [EPR28793-52] (<a href='/en-us/products/primary-antibodies/g-6-pase-antibody-epr28793-52-ab319053'>ab319053</a>) at 1/1000 dilution

Lane 1:

His tagged human G-6-Pase protein

Lane 2:

Human G6PC2 peptide

Secondary

All lanes:

Dot Blot - Goat Anti-Rabbit IgG H&L (HRP) (<a href='/en-us/products/secondary-antibodies/goat-rabbit-igg-h-l-hrp-ab97051'>ab97051</a>) at 1/100000 dilution

false

Exposure time: 180s

Western blot - Anti-G-6-Pase antibody [EPR28793-52] - BSA and Azide free (AB319054)
  • WB

Supplier Data

Western blot - Anti-G-6-Pase antibody [EPR28793-52] - BSA and Azide free (AB319054)

This data was developed using ab319053, the same antibody clone in a different buffer formulation.

Blocking and diluting buffer and concentration : 5% NFDM/TBST.

Negative control : skeletal muscle, spleen(PMID : 9822626), pancreas

The identity of the higher MW band at approximately 50 kDa is unknown

Samples are non-boiled as boiling may cause protein aggregation.

In Western blot, Anti-GAPDH antibody [EPR16891] - Loading Control (ab181602) staining at 1/200000 dilution.

All lanes:

Western blot - Anti-G-6-Pase antibody [EPR28793-52] (<a href='/en-us/products/primary-antibodies/g-6-pase-antibody-epr28793-52-ab319053'>ab319053</a>) at 1/1000 dilution

Lane 1:

Rat liver tissue lysate at 20 µg

Lane 2:

Rat kidney tissue lysate at 20 µg

Lane 3:

Rat skeletal muscle tissue at 20 µg

Lane 4:

Rat spleen tissue lysate at 20 µg

Lane 5:

Rat pancreas tissue lysate at 20 µg

Secondary

All lanes:

Western blot - Goat Anti-Rabbit IgG H&L (HRP) (<a href='/en-us/products/secondary-antibodies/goat-rabbit-igg-h-l-hrp-ab97051'>ab97051</a>) at 1/20000 dilution

Observed band size: 36 kDa

false

Exposure time: 26s

Western blot - Anti-G-6-Pase antibody [EPR28793-52] - BSA and Azide free (AB319054)
  • WB

Supplier Data

Western blot - Anti-G-6-Pase antibody [EPR28793-52] - BSA and Azide free (AB319054)

This data was developed using ab319053, the same antibody clone in a different buffer formulation.

Blocking and diluting buffer and concentration : 5% NFDM/TBST.

Negative control : skeletal muscle, spleen(PMID : 9822626), pancreas

The identity of the higher MW bands above 36 kDa are unknown.

Samples are non-boiled as boiling may cause protein aggregation.

In Western blot, Anti-GAPDH antibody [EPR16891] - Loading Control (ab181602) staining at 1/200000 dilution.

All lanes:

Western blot - Anti-G-6-Pase antibody [EPR28793-52] (<a href='/en-us/products/primary-antibodies/g-6-pase-antibody-epr28793-52-ab319053'>ab319053</a>) at 1/1000 dilution

Lane 1:

Mouse liver tissue lysate at 20 µg

Lane 2:

Mouse kidney tissue lysate at 20 µg

Lane 3:

Mouse skeletal muscle tissue lysate at 20 µg

Lane 4:

Mouse spleen tissue lysate at 20 µg

Lane 5:

Mouse pancreas tissue lysate at 20 µg

Secondary

All lanes:

Western blot - Goat Anti-Rabbit IgG H&L (HRP) (<a href='/en-us/products/secondary-antibodies/goat-rabbit-igg-h-l-hrp-ab97051'>ab97051</a>) at 1/20000 dilution

Observed band size: 36 kDa

false

Exposure time: 26s

Indirect ELISA - Anti-G-6-Pase antibody [EPR28793-52] - BSA and Azide free (AB319054)
  • I-ELISA

Supplier Data

Indirect ELISA - Anti-G-6-Pase antibody [EPR28793-52] - BSA and Azide free (AB319054)

This data was developed using ab319053, the same antibody clone in a different buffer formulation.

Indirect ELISA analysis of ab319053 at 1000-0 ng/ml. The Secondary antibody used was Alkaline Phosphatase-conjugated AffiniPure Goat Anti-Rabbit IgG (H+L) at 1 : 2500 dilution.

Antigen : Human G-6-Pase.

Antigen concentration : 1000 ng/ml

Key facts

Host species

Rabbit

Clonality

Monoclonal

Clone number

EPR28793-52

Isotype

IgG

Carrier free

Yes

Reacts with

Human, Mouse, Rat

Applications

Dot, I-ELISA, IP, WB, IHC-P, ICC/IF

applications

Immunogen

The exact immunogen used to generate this antibody is proprietary information.

Reactivity data

{ "title": "Reactivity Data", "filters": { "stats": ["", "Species", "Dilution Info", "Notes"], "tabs": { "all-applications": {"fullname" : "All Applications", "shortname": "All Applications"}, "Dot" : {"fullname" : "Dot Blot", "shortname":"Dot"}, "IELISA" : {"fullname" : "Indirect ELISA", "shortname":"I-ELISA"}, "IHCP" : {"fullname" : "Immunohistochemistry (Formalin/PFA-fixed paraffin-embedded sections)", "shortname":"IHC-P"}, "ICCIF" : {"fullname" : "Immunocytochemistry/ Immunofluorescence", "shortname":"ICC/IF"}, "WB" : {"fullname" : "Western blot", "shortname":"WB"}, "IP" : {"fullname" : "Immunoprecipitation", "shortname":"IP"}, "FlowCytIntra" : {"fullname" : "Flow Cytometry (Intracellular)", "shortname":"Flow Cyt (Intra)"} }, "product-promise": { "all": "all", "testedAndGuaranteed": "tested", "guaranteed": "expected", "predicted": "predicted", "notRecommended": "not-recommended" } }, "values": { "Human": { "Dot-species-checked": "guaranteed", "Dot-species-dilution-info": "", "Dot-species-notes": "", "IELISA-species-checked": "guaranteed", "IELISA-species-dilution-info": "", "IELISA-species-notes": "", "IHCP-species-checked": "testedAndGuaranteed", "IHCP-species-dilution-info": "1/100", "IHCP-species-notes": "<p></p>", "ICCIF-species-checked": "testedAndGuaranteed", "ICCIF-species-dilution-info": "1/50", "ICCIF-species-notes": "<p></p>", "WB-species-checked": "testedAndGuaranteed", "WB-species-dilution-info": "1/1000", "WB-species-notes": "<p>No/weak signal may be resolved by trying unboiled lysates as boiling may cause protein aggregation.</p>", "IP-species-checked": "testedAndGuaranteed", "IP-species-dilution-info": "1/30", "IP-species-notes": "<p></p>", "FlowCytIntra-species-checked": "notRecommended", "FlowCytIntra-species-dilution-info": "", "FlowCytIntra-species-notes": "<p></p>" }, "Mouse": { "Dot-species-checked": "guaranteed", "Dot-species-dilution-info": "", "Dot-species-notes": "", "IELISA-species-checked": "guaranteed", "IELISA-species-dilution-info": "", "IELISA-species-notes": "", "IHCP-species-checked": "testedAndGuaranteed", "IHCP-species-dilution-info": "1/100", "IHCP-species-notes": "<p></p>", "ICCIF-species-checked": "guaranteed", "ICCIF-species-dilution-info": "", "ICCIF-species-notes": "", "WB-species-checked": "testedAndGuaranteed", "WB-species-dilution-info": "1/1000", "WB-species-notes": "<p>No/weak signal may be resolved by trying unboiled lysates as boiling may cause protein aggregation.</p>", "IP-species-checked": "testedAndGuaranteed", "IP-species-dilution-info": "1/30", "IP-species-notes": "<p></p>", "FlowCytIntra-species-checked": "notRecommended", "FlowCytIntra-species-dilution-info": "", "FlowCytIntra-species-notes": "" }, "Rat": { "Dot-species-checked": "guaranteed", "Dot-species-dilution-info": "", "Dot-species-notes": "", "IELISA-species-checked": "guaranteed", "IELISA-species-dilution-info": "", "IELISA-species-notes": "", "IHCP-species-checked": "testedAndGuaranteed", "IHCP-species-dilution-info": "1/100", "IHCP-species-notes": "<p></p>", "ICCIF-species-checked": "guaranteed", "ICCIF-species-dilution-info": "", "ICCIF-species-notes": "", "WB-species-checked": "testedAndGuaranteed", "WB-species-dilution-info": "1/1000", "WB-species-notes": "<p>No/weak signal may be resolved by trying unboiled lysates as boiling may cause protein aggregation.</p>", "IP-species-checked": "guaranteed", "IP-species-dilution-info": "", "IP-species-notes": "", "FlowCytIntra-species-checked": "notRecommended", "FlowCytIntra-species-dilution-info": "", "FlowCytIntra-species-notes": "" }, "Recombinant fragment - Human": { "Dot-species-checked": "testedAndGuaranteed", "Dot-species-dilution-info": "", "Dot-species-notes": "<p></p>", "IELISA-species-checked": "testedAndGuaranteed", "IELISA-species-dilution-info": "", "IELISA-species-notes": "<p></p>", "IHCP-species-checked": "notRecommended", "IHCP-species-dilution-info": "", "IHCP-species-notes": "", "ICCIF-species-checked": "notRecommended", "ICCIF-species-dilution-info": "", "ICCIF-species-notes": "", "WB-species-checked": "notRecommended", "WB-species-dilution-info": "", "WB-species-notes": "", "IP-species-checked": "notRecommended", "IP-species-dilution-info": "", "IP-species-notes": "", "FlowCytIntra-species-checked": "notRecommended", "FlowCytIntra-species-dilution-info": "", "FlowCytIntra-species-notes": "" }, "Synthetic peptide - Human": { "Dot-species-checked": "notRecommended", "Dot-species-dilution-info": "", "Dot-species-notes": "<p></p>", "IELISA-species-checked": "notRecommended", "IELISA-species-dilution-info": "", "IELISA-species-notes": "", "IHCP-species-checked": "notRecommended", "IHCP-species-dilution-info": "", "IHCP-species-notes": "", "ICCIF-species-checked": "notRecommended", "ICCIF-species-dilution-info": "", "ICCIF-species-notes": "", "WB-species-checked": "notRecommended", "WB-species-dilution-info": "", "WB-species-notes": "", "IP-species-checked": "notRecommended", "IP-species-dilution-info": "", "IP-species-notes": "", "FlowCytIntra-species-checked": "notRecommended", "FlowCytIntra-species-dilution-info": "", "FlowCytIntra-species-notes": "" } } }

Product details

ab319054 is the carrier-free version of ab319053.

Patented technology
Our RabMAb® technology is a patented hybridoma-based technology for making rabbit monoclonal antibodies. For details on our patents, please refer to RabMAb® patents.

What are the advantages of a recombinant monoclonal antibody?
This product is a recombinant monoclonal antibody, which offers several advantages including:

  • - High batch-to-batch consistency and reproducibility
  • - Improved sensitivity and specificity
  • - Long-term security of supply
  • - Animal-free batch production

For more information, read more on recombinant antibodies.

Conjugation ready
Our carrier-free antibodies are typically supplied in a PBS-only formulation, purified and free of BSA, sodium azide and glycerol. This conjugation-ready format is designed for use with fluorochromes, metal isotopes, oligonucleotides, and enzymes, which makes them ideal for antibody labelling, functional and cell-based assays, flow-based assays (e.g. mass cytometry) and Multiplex Imaging applications.

Use our conjugation kits for antibody conjugates that are ready-to-use in as little as 20 minutes with 1 minute hands-on-time and 100% antibody recovery: available for fluorescent dyes, HRP, biotin and gold.

Compatibility
This product is compatible with the Maxpar® Antibody Labeling Kit from Fluidigm, without the need for antibody preparation. Maxpar® is a trademark of Fluidigm Canada Inc.

Properties and storage information

Form
Liquid
Purification technique
Affinity purification Protein A
Storage buffer
pH: 7.2 - 7.4 Constituents: PBS
Shipped at conditions
Blue Ice
Appropriate short-term storage conditions
+4°C
Appropriate long-term storage conditions
+4°C

Supplementary information

This supplementary information is collated from multiple sources and compiled automatically.

G-6-Pase also known as glucose-6-phosphatase is an enzyme with a significant role in glucose metabolism. It has a molecular mass of approximately 36 kDa. The enzyme is primarily expressed in the liver and kidneys where it catalyzes the hydrolysis of glucose-6-phosphate into glucose and inorganic phosphate. This reaction is important in the final steps of gluconeogenesis and glycogenolysis processes essential for maintaining blood sugar levels. G-6-Pase is sometimes referred to as the catalytic subunit of the glucose-6-phosphatase complex and is integral for energy homeostasis.
Biological function summary

The enzyme is fundamental in regulating endogenous glucose production. Apart from its standalone activity G-6-Pase works in conjunction with other proteins as part of a larger glucose-6-phosphatase complex located in the endoplasmic reticulum membrane. It interacts with glucose-6-phosphate transporter proteins to efficiently manage glucose output. This complex interplay is important for meeting the organism's energy needs especially during fasted states when glucose supply from dietary intake is low.

Pathways

G-6-Pase plays a major role in gluconeogenesis and glycogenolysis. In gluconeogenesis it helps generate glucose from non-carbohydrate substrates important for energy balance during fasting or exercise. In glycogenolysis it aids in breaking down glycogen into glucose ensuring a constant energy supply. Within these pathways G-6-Pase associates with proteins like glycogen synthase and PEP carboxykinase which coordinate to regulate glucose homeostasis and energy production.

G-6-Pase is tightly linked to glycogen storage disease type I (GSD I) also known as von Gierke disease. This disorder results from a deficiency or dysfunction of the enzyme leading to impaired glucose release and severe hypoglycemia. Additionally misregulation of G-6-Pase activity is implicated in the development of type 2 diabetes where it affects insulin sensitivity and glucose output in the liver. G-6-Pase’s interaction with insulin receptor substrates highlights its connection to these metabolic diseases influencing their progression and severity.

Product protocols

For this product, it's our understanding that no specific protocols are required. You can visit:

Target data

Hydrolyzes glucose-6-phosphate to glucose in the endoplasmic reticulum. Forms with the glucose-6-phosphate transporter (SLC37A4/G6PT) the complex responsible for glucose production in the terminal step of glycogenolysis and gluconeogenesis. Hence, it is the key enzyme in homeostatic regulation of blood glucose levels.
See full target information G6PC1

Product promise

We are committed to supporting your work with high-quality reagents, and we're here for you every step of the way. In the unlikely event that one of our products does not perform as expected, you're protected by our Product Promise.
For full details, please see our Terms & Conditions

Please note: All products are 'FOR RESEARCH USE ONLY. NOT FOR USE IN DIAGNOSTIC OR THERAPEUTIC PROCEDURES'.

For licensing inquiries, please contact partnerships@abcam.com