JavaScript is disabled in your browser. Please enable JavaScript to view this website.
AB181053

Anti-G-CSF antibody [EPR3203(N)(B)]

4

(1 Review)

|

(16 Publications)

Rabbit Recombinant Monoclonal G-CSF antibody. Suitable for IP, WB, ICC/IF, Flow Cyt (Intra) and reacts with Human, Mouse, Rat samples. Cited in 16 publications.

View Alternative Names

C17orf33, GCSF, CSF3, Granulocyte colony-stimulating factor, G-CSF, Pluripoietin

8 Images
Flow Cytometry (Intracellular) - Anti-G-CSF antibody [EPR3203(N)(B)] (AB181053)
  • Flow Cyt (Intra)

Unknown

Flow Cytometry (Intracellular) - Anti-G-CSF antibody [EPR3203(N)(B)] (AB181053)

Intracellular Flow Cytometry analysis of K562 (human chronic myelogenous leukemia) cells labeling G-CSF with purified ab181053 at 1/200 dilution (10ug/mL) (red). Cells were fixed with 4% paraformaldehyde and permeabilised with 90% methanol. A Goat anti rabbit IgG (Alexa Fluor® 488) at 1/2000 dilution was used as the secondary antibody. Rabbit monoclonal IgG (Black) was used as the isotype control, cells without incubation with primary antibody and secondary antibody (Blue) were used as the unlabeled control.

Immunocytochemistry/ Immunofluorescence - Anti-G-CSF antibody [EPR3203(N)(B)] (AB181053)
  • ICC/IF

Lab

Immunocytochemistry/ Immunofluorescence - Anti-G-CSF antibody [EPR3203(N)(B)] (AB181053)

Immunocytochemistry/ Immunofluorescence analysis of BxPC-3 (Human pancreas adenocarcinoma epithelial cell) cells labeling G-CSF with Purified ab181053 at 1 : 500 dilution (4.0μg/ml). Cells were fixed in 100% Methanol. ab150077 Goat anti rabbit IgG(Alexa Fluor® 488) was used as the secondary antibody at 1 : 1000 dilution. DAPI nuclear was used as a counterstain. PBS instead of the primary antibody was used as the secondary antibody only control.

Immunocytochemistry/ Immunofluorescence - Anti-G-CSF antibody [EPR3203(N)(B)] (AB181053)
  • ICC/IF

Supplier Data

Immunocytochemistry/ Immunofluorescence - Anti-G-CSF antibody [EPR3203(N)(B)] (AB181053)

Immunofluorescent analysis of HT-1376 cells (paraformaldehyde-fixed, 4%) labeling G-CSF with unpurified ab181053 at 1/100 dilution followed by Goat anti rabbit IgG (Alexa Fluor® 488) secondary at 1/200 dilution and counter-stained with DAPI (blue).

Immunoprecipitation - Anti-G-CSF antibody [EPR3203(N)(B)] (AB181053)
  • IP

Supplier Data

Immunoprecipitation - Anti-G-CSF antibody [EPR3203(N)(B)] (AB181053)

Western blot analysis of immunoprecipitation pellet from K562 cell lysate (lane 1) or a Negative control (lane 2) immunoprecipitated using unpurified ab181053 at 1/20 dilution.

Secondary : Anti-Rabbit IgG (HRP), specific to the non-reduced form of IgG at 1/1500 dilution.

All lanes:

Immunoprecipitation - Anti-G-CSF antibody [EPR3203(N)(B)] (ab181053)

Predicted band size: 22 kDa

false

Immunoprecipitation - Anti-G-CSF antibody [EPR3203(N)(B)] (AB181053)
  • IP

Lab

Immunoprecipitation - Anti-G-CSF antibody [EPR3203(N)(B)] (AB181053)

ab181053 (purified) at 1 : 100 dilution (2ug) immunoprecipitating G-CSF in K562 (Human chronic myelogenous leukemia lymphoblast) whole cell lysate.
Lane 1 (input) : K562 (Human chronic myelogenous leukemia lymphoblast) whole cell lysate 10ug
Lane 2 (+) : ab181053 & K562 (Human chronic myelogenous leukemia lymphoblast) whole cell lysate
Lane 3 (-) : Rabbit monoclonal IgG (ab172730) instead of ab181053 in K562 (Human chronic myelogenous leukemia lymphoblast) whole cell lysate.
For western blotting, VeriBlot for IP Detection Reagent (HRP) (ab131366) was used for detection at 1 : 1000 dilution.
Blocking and diluting buffer : 5% NFDM/TBST."

All lanes:

Immunoprecipitation - Anti-G-CSF antibody [EPR3203(N)(B)] (ab181053)

Predicted band size: 22 kDa

false

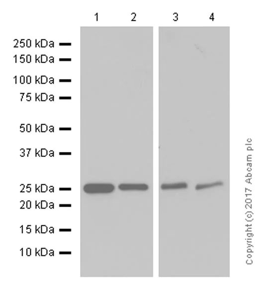
Western blot - Anti-G-CSF antibody [EPR3203(N)(B)] (AB181053)
  • WB

Lab

Western blot - Anti-G-CSF antibody [EPR3203(N)(B)] (AB181053)

Blocking and diluting buffer : 5% NFDM/TBST

All lanes:

Western blot - Anti-G-CSF antibody [EPR3203(N)(B)] (ab181053) at 1/2000 dilution

Lane 1:

K-562 (Human chronic myelogenous leukemia lymphoblast) whole cell lysates at 20 µg

Lane 2:

HT-1376 (Human urinary bladder carcinoma epithelial cell) whole cell lysates at 20 µg

Lane 3:

Mouse brain lysates at 20 µg

Lane 4:

Rat brain lysates at 20 µg

Secondary

All lanes:

Western blot - Goat Anti-Rabbit IgG H&L (HRP) (<a href='/en-us/products/secondary-antibodies/goat-rabbit-igg-h-l-hrp-ab97051'>ab97051</a>) at 1/20000 dilution

Predicted band size: 22 kDa

Observed band size: 25 kDa

false

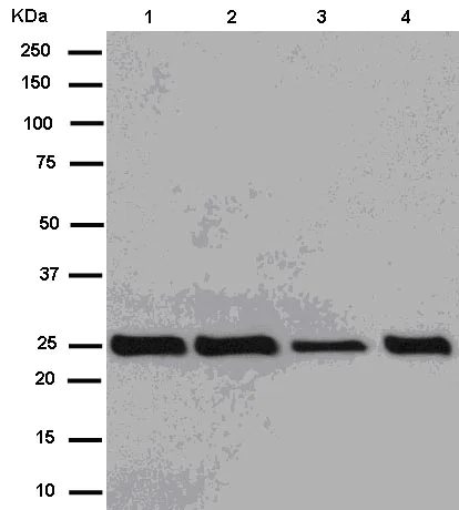
Western blot - Anti-G-CSF antibody [EPR3203(N)(B)] (AB181053)
  • WB

Supplier Data

Western blot - Anti-G-CSF antibody [EPR3203(N)(B)] (AB181053)

All lanes:

Western blot - Anti-G-CSF antibody [EPR3203(N)(B)] (ab181053) at 1/2000 dilution

Lane 1:

K562 cell lysate at 20 µg

Lane 2:

KM3 cell lysate at 20 µg

Lane 3:

NCI-H460 cell lysate at 20 µg

Lane 4:

HT-1376 cell lysate at 20 µg

Secondary

All lanes:

Goat Anti-Rabbit IgG, (H+L) HRP at 1/1000 dilution

Predicted band size: 22 kDa

false

Western blot - Anti-G-CSF antibody [EPR3203(N)(B)] (AB181053)
  • WB

Lab

Western blot - Anti-G-CSF antibody [EPR3203(N)(B)] (AB181053)

Blocking and diluting buffer and concentration : 5% NFDM/TBST

Exposure time : 4 s

All lanes:

Western blot - Anti-G-CSF antibody [EPR3203(N)(B)] (ab181053) at 1/1000 dilution

Lane 1:

A549 (Human lung carcinoma epithelial cell) cell lysate at 10 µg

Lane 2:

K-562 (Human chronic myelogenous leukemia lymphoblast) cell lysate at 10 µg

Lane 3:

HepG2 (Human hepatocellular carcinoma epithelial cell) cell lysate at 10 µg

Lane 4:

HeLa (Human cervix adenocarcinoma epithelial cell) cell lysate at 10 µg

Lane 5:

MCF7 (Human breast adenocarcinoma epithelial cell) cell lysate at 10 µg

Lane 6:

MOLT-4 (Human lymphoblastic leukemia T lymphoblast) cell lysate at 10 µg

Lane 7:

PC-3 (Human prostate adenocarcinoma epithelial cell) cell lysate at 10 µg

Secondary

All lanes:

Western blot - Goat Anti-Rabbit IgG H&L (HRP) (<a href='/en-us/products/secondary-antibodies/goat-rabbit-igg-h-l-hrp-ab97051'>ab97051</a>) at 1/20000 dilution

Predicted band size: 22 kDa

Observed band size: 25 kDa

false

  • HRP

    HRP Anti-G-CSF antibody [EPR3203(N)(B)]

  • Carrier free

    Anti-G-CSF antibody [EPR3203(N)(B)] - BSA and Azide free

  • 519 Alexa Fluor® 488

    Alexa Fluor® 488 Anti-G-CSF antibody [EPR3203(N)(B)]

  • 578 PE

    PE Anti-G-CSF antibody [EPR3203(N)(B)]

  • 617 Alexa Fluor® 594

    Alexa Fluor® 594 Anti-G-CSF antibody [EPR3203(N)(B)]

  • 565 Alexa Fluor® 555

    Alexa Fluor® 555 Anti-G-CSF antibody [EPR3203(N)(B)]

  • 665 Alexa Fluor® 647

    Alexa Fluor® 647 Anti-G-CSF antibody [EPR3203(N)(B)]

  • 660 APC

    APC Anti-G-CSF antibody [EPR3203(N)(B)]

  • Carrier free

    Anti-G-CSF antibody [EPR3203(N)(B)] - Low endotoxin, Azide free

Key facts

Host species

Rabbit

Clonality

Monoclonal

Clone number

EPR3203(N)(B)

Isotype

IgG

Carrier free

No

Reacts with

Mouse, Rat, Human

Applications

Flow Cyt (Intra), WB, ICC/IF, IP

applications

Immunogen

The exact immunogen used to generate this antibody is proprietary information.

Reactivity data

{ "title": "Reactivity Data", "filters": { "stats": ["", "Species", "Dilution Info", "Notes"], "tabs": { "all-applications": {"fullname" : "All Applications", "shortname": "All Applications"}, "IP" : {"fullname" : "Immunoprecipitation", "shortname":"IP"}, "WB" : {"fullname" : "Western blot", "shortname":"WB"}, "ICCIF" : {"fullname" : "Immunocytochemistry/ Immunofluorescence", "shortname":"ICC/IF"}, "FlowCytIntra" : {"fullname" : "Flow Cytometry (Intracellular)", "shortname":"Flow Cyt (Intra)"} }, "product-promise": { "all": "all", "testedAndGuaranteed": "tested", "guaranteed": "expected", "predicted": "predicted", "notRecommended": "not-recommended" } }, "values": { "Human": { "IP-species-checked": "testedAndGuaranteed", "IP-species-dilution-info": "1/100", "IP-species-notes": "<p><strong>For unpurified use at 1/20 dilution. </strong></p>", "WB-species-checked": "testedAndGuaranteed", "WB-species-dilution-info": "1/1000 - 1/10000", "WB-species-notes": "<p></p>", "ICCIF-species-checked": "testedAndGuaranteed", "ICCIF-species-dilution-info": "1/500", "ICCIF-species-notes": "<p><strong>For unpurified use at 1/50 - 1/100 dilution.</strong></p>", "FlowCytIntra-species-checked": "testedAndGuaranteed", "FlowCytIntra-species-dilution-info": "1/200", "FlowCytIntra-species-notes": "<p></p>" }, "Mouse": { "IP-species-checked": "guaranteed", "IP-species-dilution-info": "", "IP-species-notes": "", "WB-species-checked": "testedAndGuaranteed", "WB-species-dilution-info": "1/1000 - 1/10000", "WB-species-notes": "<p></p>", "ICCIF-species-checked": "guaranteed", "ICCIF-species-dilution-info": "", "ICCIF-species-notes": "", "FlowCytIntra-species-checked": "guaranteed", "FlowCytIntra-species-dilution-info": "", "FlowCytIntra-species-notes": "" }, "Rat": { "IP-species-checked": "guaranteed", "IP-species-dilution-info": "", "IP-species-notes": "", "WB-species-checked": "testedAndGuaranteed", "WB-species-dilution-info": "1/1000 - 1/10000", "WB-species-notes": "<p></p>", "ICCIF-species-checked": "guaranteed", "ICCIF-species-dilution-info": "", "ICCIF-species-notes": "", "FlowCytIntra-species-checked": "guaranteed", "FlowCytIntra-species-dilution-info": "", "FlowCytIntra-species-notes": "" } } }

Product details

Patented technology
Our RabMAb® technology is a patented hybridoma-based technology for making rabbit monoclonal antibodies. For details on our patents, please refer to RabMAb® patents.

What are the advantages of a recombinant monoclonal antibody?
This product is a recombinant monoclonal antibody, which offers several advantages including:

  • - High batch-to-batch consistency and reproducibility
  • - Improved sensitivity and specificity
  • - Long-term security of supply
  • - Animal-free batch production

For more information, read more on recombinant antibodies.

Properties and storage information

Form
Liquid
Purification technique
Affinity purification Protein A
Storage buffer
Preservative: 0.01% Sodium azide Constituents: PBS, 40% Glycerol (glycerin, glycerine), 0.05% BSA
Shipped at conditions
Blue Ice
Appropriate short-term storage duration
1-2 weeks
Appropriate short-term storage conditions
+4°C
Appropriate long-term storage conditions
-20°C
Aliquoting information
Upon delivery aliquot
Storage information
Avoid freeze / thaw cycle

Product protocols

For this product, it's our understanding that no specific protocols are required. You can visit:

Target data

Granulocyte/macrophage colony-stimulating factors are cytokines that act in hematopoiesis by controlling the production, differentiation, and function of 2 related white cell populations of the blood, the granulocytes and the monocytes-macrophages. This CSF induces granulocytes.
See full target information CSF3

Publications (16)

Recent publications for all applications. Explore the full list and refine your search

Translational oncology 53:102310 PubMed39929064

2025

CSF3 promotes colorectal cancer progression by activating p65/NF-κB signaling pathway and inducing an immunosuppressive microenvironment.

Applications

Unspecified application

Species

Unspecified reactive species

Junfeng Xu,Na Li,Hui Xie,Changwei Duan,Xingchen Liao,Ruoran Li,Heng Zhang,Yuanming Pan,Xianzong Ma,Shuwen Du,Jianqiu Sheng,Xin Wang,Lang Yang,Peng Jin

Investigative ophthalmology & visual science 65:17 PubMed39652067

2024

Mefunidone Inhibits Inflammation, Oxidative Stress, and Epithelial-Mesenchymal Transition in Lens Epithelial Cells.

Applications

Unspecified application

Species

Unspecified reactive species

Cong Fan,Yu Yang,Mengling You,Zhuo Chen,Jian Jiang

The Journal of pharmacology and experimental therapeutics : PubMed38955493

2024

.

Applications

Unspecified application

Species

Unspecified reactive species

Ingrid L Peterson,Natalie E Scholpa,Kiara J Bachtle,Jennifer B Frye,Sanna H Loppi,Austin D Thompson,Kristian Doyle,Tally Marie Largent-Milnes,Rick G Schnellmann

Cellular and molecular life sciences : CMLS 80:184 PubMed37340199

2023

Macrophage Dectin-1 mediates Ang II renal injury through neutrophil migration and TGF-β1 secretion.

Applications

Unspecified application

Species

Unspecified reactive species

Shiju Ye,He Huang,Yun Xiao,Xue Han,Fengjie Shi,Wu Luo,Jiawen Chen,Yang Ye,Xia Zhao,Weijian Huang,Yi Wang,Dongwu Lai,Guang Liang,Guosheng Fu

Genes to cells : devoted to molecular & cellular mechanisms 28:573-584 PubMed37248626

2023

Squamous cell carcinoma-derived G-CSF promotes tumor growth and metastasis in mice through neutrophil recruitment and tumor cell proliferation, associated with poor prognosis of the patients.

Applications

Unspecified application

Species

Unspecified reactive species

Kohei Kemuriyama,Jianbo An,Satoru Motoyama,Yushi Nagaki,Tomokazu Yamaguchi,Yusuke Sato,Akiyuki Wakita,Yoshihiro Minamiya,Keiji Kuba

Cancer gene therapy 29:1742-1750 PubMed35768562

2022

Combination regimen of granulocyte colony-stimulating factor and recombinant human thrombopoietin improves the curative effect on elderly patients with leukemia through inducing pyroptosis and ferroptosis of leukemia cells.

Applications

Unspecified application

Species

Unspecified reactive species

Xiaobin Wang,Xiaoyu Liu,Huihan Wang

Frontiers in microbiology 13:837776 PubMed35572651

2022

Suppression of Germination by Neutrophils Is Enhanced by Endothelial-Derived CSF3 Production.

Applications

Unspecified application

Species

Unspecified reactive species

Wenxin Zhang,Dan He,Yunyun Wei,Shumi Shang,Dong Li,Li Wang

Oxidative medicine and cellular longevity 2022:4877275 PubMed35308175

2022

Ruscogenins Improve CD-Like Enteritis by Inhibiting Apoptosis of Intestinal Epithelial Cells and Activating Nrf2/NQO1 Pathway.

Applications

Unspecified application

Species

Unspecified reactive species

Hexin Wen,Xiaofeng Zhang,Qingqing Li,Ju Huang,Guangyong Liu,Jingyue Zhao,Yiran Liu,Li Shen,Yuyang Li,Kun Yang,Lugen Zuo,Jing Li,Jing Nian,Ping Xiang,Hao Zhao,Liang Yu,Mulin Liu,Zhijun Geng,Xue Song

The Journal of investigative dermatology 142:692-704.e14 PubMed34517005

2021

IL-10 Dysregulation Underlies Chemokine Insufficiency, Delayed Macrophage Response, and Impaired Healing in Diabetic Wounds.

Applications

Unspecified application

Species

Unspecified reactive species

Ruchi Roy,Janet Zayas,Mohamed F Mohamed,Anahita Aboonabi,Kaylee Delgado,Jennillee Wallace,Mohammad Bayat,Timothy M Kuzel,Jochen Reiser,Sasha H Shafikhani

BMC oral health 21:299 PubMed34118920

2021

Granulocyte colony-stimulating factor (G-CSF) mediates bone resorption in periodontitis.

Applications

Unspecified application

Species

Unspecified reactive species

Hui Yu,Tianyi Zhang,Haibin Lu,Qi Ma,Dong Zhao,Jiang Sun,Zuomin Wang
View all publications

Product promise

We are committed to supporting your work with high-quality reagents, and we're here for you every step of the way. In the unlikely event that one of our products does not perform as expected, you're protected by our Product Promise.
For full details, please see our Terms & Conditions

Please note: All products are 'FOR RESEARCH USE ONLY. NOT FOR USE IN DIAGNOSTIC OR THERAPEUTIC PROCEDURES'.

For licensing inquiries, please contact partnerships@abcam.com