JavaScript is disabled in your browser. Please enable JavaScript to view this website.
AB204757

Anti-G gamma12 antibody

Be the first to review this product! Submit a review

|

(1 Publication)

Rabbit Polyclonal G gamma12 antibody. Suitable for IHC-P, ICC/IF and reacts with Human samples. Cited in 1 publication. Immunogen corresponding to Recombinant Fragment Protein within Human Guanine nucleotide-binding protein G(I)/G(S)/G(O) subunit gamma-12 aa 1-50.

View Alternative Names

Guanine nucleotide-binding protein G(I)/G(S)/G(O) subunit gamma-12, GNG12

3 Images
Immunocytochemistry/ Immunofluorescence - Anti-G gamma12 antibody (AB204757)
  • ICC/IF

Supplier Data

Immunocytochemistry/ Immunofluorescence - Anti-G gamma12 antibody (AB204757)

Immunocytochemical analysis of U-2 OS (Human bone osteosarcoma epithelial cell line) whole cells labeling G gamma12 in the mitochondria with ab204757 at 2 μg/ml.

Immunohistochemistry (Formalin/PFA-fixed paraffin-embedded sections) - Anti-G gamma12 antibody (AB204757)
  • IHC-P

Supplier Data

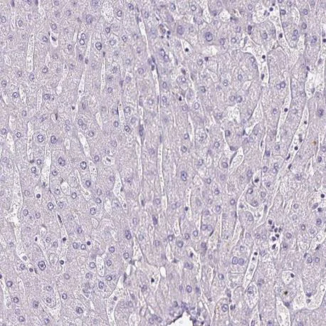
Immunohistochemistry (Formalin/PFA-fixed paraffin-embedded sections) - Anti-G gamma12 antibody (AB204757)

Immunohistochemical analysis of paraffin-embedded human liver tissue labeling G gamma12 (low expression) with ab204757 at a 1/20 dilution.

Performed heat mediated antigen retrieval with citrate buffer pH 6 before commencing with IHC staining protocol.

Immunohistochemistry (Formalin/PFA-fixed paraffin-embedded sections) - Anti-G gamma12 antibody (AB204757)
  • IHC-P

Supplier Data

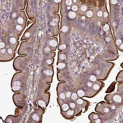
Immunohistochemistry (Formalin/PFA-fixed paraffin-embedded sections) - Anti-G gamma12 antibody (AB204757)

Immunohistochemical analysis of paraffin-embedded human small intestine tissue labeling G gamma12 (high expression) with ab204757 at a 1/20 dilution.

Performed heat mediated antigen retrieval with citrate buffer pH 6 before commencing with IHC staining protocol.

Key facts

Host species

Rabbit

Clonality

Polyclonal

Isotype

IgG

Carrier free

No

Reacts with

Human

Applications

IHC-P, ICC/IF

applications

Immunogen

Recombinant Fragment Protein within Human Guanine nucleotide-binding protein G(I)/G(S)/G(O) subunit gamma-12 aa 1-50. The exact immunogen used to generate this antibody is proprietary information.

Q9UBI6

Reactivity data

{ "title": "Reactivity Data", "filters": { "stats": ["", "Species", "Dilution Info", "Notes"], "tabs": { "all-applications": {"fullname" : "All Applications", "shortname": "All Applications"}, "IHCP" : {"fullname" : "Immunohistochemistry (Formalin/PFA-fixed paraffin-embedded sections)", "shortname":"IHC-P"}, "ICCIF" : {"fullname" : "Immunocytochemistry/ Immunofluorescence", "shortname":"ICC/IF"} }, "product-promise": { "all": "all", "testedAndGuaranteed": "tested", "guaranteed": "expected", "predicted": "predicted", "notRecommended": "not-recommended" } }, "values": { "Human": { "IHCP-species-checked": "testedAndGuaranteed", "IHCP-species-dilution-info": "1/20 - 1/50", "IHCP-species-notes": "<p></p> Perform heat-mediated antigen retrieval with citrate buffer pH 6 before commencing with IHC staining protocol.", "ICCIF-species-checked": "testedAndGuaranteed", "ICCIF-species-dilution-info": "0.25-2 µg/mL", "ICCIF-species-notes": "<p>Fixation/Permeabilization: PFA/Triton X-100</p>" }, "Mouse": { "IHCP-species-checked": "predicted", "IHCP-species-dilution-info": "", "IHCP-species-notes": "", "ICCIF-species-checked": "predicted", "ICCIF-species-dilution-info": "", "ICCIF-species-notes": "" }, "Rat": { "IHCP-species-checked": "predicted", "IHCP-species-dilution-info": "", "IHCP-species-notes": "", "ICCIF-species-checked": "predicted", "ICCIF-species-dilution-info": "", "ICCIF-species-notes": "" }, "Cow": { "IHCP-species-checked": "predicted", "IHCP-species-dilution-info": "", "IHCP-species-notes": "", "ICCIF-species-checked": "predicted", "ICCIF-species-dilution-info": "", "ICCIF-species-notes": "" }, "Orangutan": { "IHCP-species-checked": "predicted", "IHCP-species-dilution-info": "", "IHCP-species-notes": "", "ICCIF-species-checked": "predicted", "ICCIF-species-dilution-info": "", "ICCIF-species-notes": "" } } }

Properties and storage information

Form
Liquid
Purification technique
Affinity purification Immunogen
Storage buffer
pH: 7.2 Preservative: 0.02% Sodium azide Constituents: 59% PBS, 40% Glycerol (glycerin, glycerine)
Shipped at conditions
Blue Ice
Appropriate short-term storage duration
1-2 weeks
Appropriate short-term storage conditions
+4°C
Appropriate long-term storage conditions
-20°C
Aliquoting information
Upon delivery aliquot
Storage information
Avoid freeze / thaw cycle

Supplementary information

This supplementary information is collated from multiple sources and compiled automatically.

The G gamma12 protein also known as guanine nucleotide-binding protein subunit gamma 12 is a component of the heterotrimeric G proteins. It has an approximate molecular mass of 8 kDa. This protein predominantly resides at the plasma membrane where it partners with its associated G alpha and G beta subunits. G gamma12 shows expression in various tissues including the brain and heart where it functions as an integral part of signal transduction processes.
Biological function summary

G gamma12 is involved in transmitting signals within cells by interacting with its G alpha and G beta counterparts to form a functional G protein complex. This complex plays a critical role in modulating and transducing signals from activated cell surface receptors to downstream effectors. As a member of the G protein gamma subunit family G gamma12 aids in diverse cellular responses such as cell growth differentiation and motility.

Pathways

G gamma12 plays a part in the MAPK signaling pathway and the PI3K-Akt signaling pathway. These pathways are significant for regulating various cellular activities like survival and metabolism. Proteins like G beta and specific G alpha subunits closely interact with G gamma12 in these pathways influencing the downstream signaling cascades and cellular responses.

G gamma12 has associations with cancer and cardiovascular diseases. In the context of cancer altered G gamma12 expression affects cell proliferation and migration thereby contributing to tumor development. In cardiovascular diseases it implicates processes such as heart rate regulation. Through these conditions G gamma12 connects to other proteins like G alpha q and beta-adrenergic receptors contributing to the disease state's pathophysiology.

Product protocols

For this product, it's our understanding that no specific protocols are required. You can visit:

Target data

Guanine nucleotide-binding proteins (G proteins) are involved as a modulator or transducer in various transmembrane signaling systems. The beta and gamma chains are required for the GTPase activity, for replacement of GDP by GTP, and for G protein-effector interaction.
See full target information Guanine nucleotide-binding protein G(I)/G(S)/G(O) subunit gamma-12

Publications (1)

Recent publications for all applications. Explore the full list and refine your search

Scientific reports 14:22028 PubMed39322716

2024

Autologous micrografting improves regeneration of tissue-engineered urinary conduits in vivo.

Applications

Unspecified application

Species

Unspecified reactive species

Nikolai Juul,Mahboobeh Amoushahi,Oliver Willacy,Micki Ji,Chiara Villa,Fatemeh Ajalloueian,Clara Chamorro,Magdalena Fossum
View all publications

Product promise

We are committed to supporting your work with high-quality reagents, and we're here for you every step of the way. In the unlikely event that one of our products does not perform as expected, you're protected by our Product Promise.
For full details, please see our Terms & Conditions

Please note: All products are 'FOR RESEARCH USE ONLY. NOT FOR USE IN DIAGNOSTIC OR THERAPEUTIC PROCEDURES'.

For licensing inquiries, please contact partnerships@abcam.com