JavaScript is disabled in your browser. Please enable JavaScript to view this website.
AB154069

Anti-G-protein coupled receptor 30 antibody - C-terminal

Be the first to review this product! Submit a review

|

(16 Publications)

Rabbit Polyclonal G-protein coupled receptor 30 antibody. Suitable for IHC-P, WB, ICC/IF and reacts with Human, Mouse, Rat, Recombinant fragment samples. Cited in 16 publications. Immunogen corresponding to Synthetic Peptide within Human GPER1 aa 300 to C-terminus.

View Alternative Names

CEPR, CMKRL2, DRY12, GPER, GPR30, GPER1, G-protein coupled estrogen receptor 1, Chemoattractant receptor-like 2, Flow-induced endothelial G-protein coupled receptor 1, G protein-coupled estrogen receptor 1, G-protein coupled receptor 30, GPCR-Br, IL8-related receptor DRY12, Lymphocyte-derived G-protein coupled receptor, Membrane estrogen receptor, FEG-1, LYGPR, mER

11 Images
Immunocytochemistry/ Immunofluorescence - Anti-G-protein coupled receptor 30 antibody - C-terminal (AB154069)
  • ICC/IF

Supplier Data

Immunocytochemistry/ Immunofluorescence - Anti-G-protein coupled receptor 30 antibody - C-terminal (AB154069)

Immunofluorescence analysis of Mock and transfected 293T cells fixed in ice-cold MeOH for 5 min labelling GPR30 protein using ab154069 at a 1/500 dilution (Green). DAPI was used for nuclear staining (Blue).

Immunohistochemistry (Formalin/PFA-fixed paraffin-embedded sections) - Anti-G-protein coupled receptor 30 antibody - C-terminal (AB154069)
  • IHC-P

Unknown

Immunohistochemistry (Formalin/PFA-fixed paraffin-embedded sections) - Anti-G-protein coupled receptor 30 antibody - C-terminal (AB154069)

Immunohistochemical analysis of paraffin-embedded Human endometrial tissue labeling G-protein coupled receptor 30 with ab154069 at 1/150 dilution.

Immunohistochemistry (Formalin/PFA-fixed paraffin-embedded sections) - Anti-G-protein coupled receptor 30 antibody - C-terminal (AB154069)
  • IHC-P

Unknown

Immunohistochemistry (Formalin/PFA-fixed paraffin-embedded sections) - Anti-G-protein coupled receptor 30 antibody - C-terminal (AB154069)

Immunohistochemical analysis of paraffin-embedded Human endometrial tissue labeling G-protein coupled receptor 30 with ab154069 at 1/150 dilution.

Immunohistochemistry (Formalin/PFA-fixed paraffin-embedded sections) - Anti-G-protein coupled receptor 30 antibody - C-terminal (AB154069)
  • IHC-P

Supplier Data

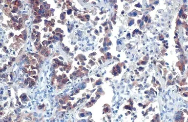
Immunohistochemistry (Formalin/PFA-fixed paraffin-embedded sections) - Anti-G-protein coupled receptor 30 antibody - C-terminal (AB154069)

Immunohistochemical analysis of paraffin-embedded human lung cancer tissue stained for GPR30 protein at cytoplasm with ab154069 at a 1/500 dilution.

Antigen retrieval : Citrate buffer, pH 6.0, 15 min

Immunohistochemistry (Formalin/PFA-fixed paraffin-embedded sections) - Anti-G-protein coupled receptor 30 antibody - C-terminal (AB154069)
  • IHC-P

Supplier Data

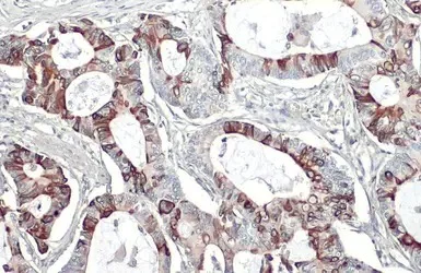
Immunohistochemistry (Formalin/PFA-fixed paraffin-embedded sections) - Anti-G-protein coupled receptor 30 antibody - C-terminal (AB154069)

Immunohistochemical analysis of paraffin-embedded human colon cancer tissue stained for GPR30 protein at cell membrane and cytoplasm with ab154069 at a 1/500 dilution.

Antigen retrieval : Citrate buffer, pH 6.0, 15 min

Immunocytochemistry/ Immunofluorescence - Anti-G-protein coupled receptor 30 antibody - C-terminal (AB154069)
  • ICC/IF

Supplier Data

Immunocytochemistry/ Immunofluorescence - Anti-G-protein coupled receptor 30 antibody - C-terminal (AB154069)

Immunofluorescence analysis of DIV9 rat E18 primary hippocampal neuron cells fixed in 4% paraformaldehyde at RT for 15 min labelling GPR30 protein using ab154069 at a 1/500 dilution (Green). beta Tubulin 3/ Tuj1, stained by a beta Tubulin 3/ Tuj1 antibody at a 1/500 dilution (Red). DAPI was used for nuclear staining (Blue).

Immunohistochemistry (Formalin/PFA-fixed paraffin-embedded sections) - Anti-G-protein coupled receptor 30 antibody - C-terminal (AB154069)
  • IHC-P

Supplier Data

Immunohistochemistry (Formalin/PFA-fixed paraffin-embedded sections) - Anti-G-protein coupled receptor 30 antibody - C-terminal (AB154069)

Immunohistochemical analysis of paraffin-embedded mouse tissues stained for GPR30 protein with ab154069 at a 1/500 dilution.

Antigen retrieval : Citrate buffer, pH 6.0, 15 min

Immunocytochemistry/ Immunofluorescence - Anti-G-protein coupled receptor 30 antibody - C-terminal (AB154069)
  • ICC/IF

Supplier Data

Immunocytochemistry/ Immunofluorescence - Anti-G-protein coupled receptor 30 antibody - C-terminal (AB154069)

Immunofluorescence analysis of DIV11 rat E18 primary hippocampal neuron cells fixed in 4% paraformaldehyde at RT for 15 min labelling GPR30 protein using ab154069 at a 1/100 dilution (Green). beta Tubulin 3/ Tuj1, a cytoskeleton marker, stained by a beta Tubulin 3/ Tuj1 antibody at a 1/500 dilution (Red). DAPI was used for nuclear staining (Blue).

Western blot - Anti-G-protein coupled receptor 30 antibody - C-terminal (AB154069)
  • WB

Supplier Data

Western blot - Anti-G-protein coupled receptor 30 antibody - C-terminal (AB154069)

Samples were separated by 7.5% SDS-PAGE.

All lanes:

Western blot - Anti-G-protein coupled receptor 30 antibody - C-terminal (ab154069) at 1/5000 dilution

Lane 1:

Non-transfected and boiled 293T whole cell extracts at 30 µg

Lane 2:

Transfected and boiled 293T whole cell extracts at 30 µg

Lane 3:

Non-transfected and unboiled 293T whole cell extracts at 30 µg

Lane 4:

Transfected and unboiled 293T whole cell extracts at 30 µg

Secondary

All lanes:

HRP-conjugated anti-rabbit IgG

Predicted band size: 42 kDa

true

Western blot - Anti-G-protein coupled receptor 30 antibody - C-terminal (AB154069)
  • WB

Supplier Data

Western blot - Anti-G-protein coupled receptor 30 antibody - C-terminal (AB154069)

Samples were separated by 7.5% SDS-PAGE.

All lanes:

Western blot - Anti-G-protein coupled receptor 30 antibody - C-terminal (ab154069) at 1/1000 dilution

Lane 1:

Boiled mouse stomach tissue extract at 50 µg

Lane 2:

Boiled mouse liver tissue extract at 50 µg

Lane 3:

Unboiled mouse stomach tissue extract at 50 µg

Lane 4:

Unboiled mouse liver tissue extract at 50 µg

Secondary

All lanes:

HRP-conjugated anti-rabbit IgG

Predicted band size: 42 kDa

true

Western blot - Anti-G-protein coupled receptor 30 antibody - C-terminal (AB154069)
  • WB

Supplier Data

Western blot - Anti-G-protein coupled receptor 30 antibody - C-terminal (AB154069)

Samples were separated by 7.5% SDS-PAGE.

All lanes:

Western blot - Anti-G-protein coupled receptor 30 antibody - C-terminal (ab154069) at 1/1000 dilution

Lane 1:

Boiled AsPC-1 whole cell extracts at 30 µg

Lane 2:

Boiled AsPC-1 membrane extracts at 30 µg

Lane 3:

Unboiled AsPC-1 whole cell extracts at 30 µg

Lane 4:

Unboiled AsPC-1 membrane extracts at 30 µg

Secondary

All lanes:

HRP-conjugated anti-rabbit IgG

Predicted band size: 42 kDa

true

Key facts

Host species

Rabbit

Clonality

Polyclonal

Isotype

IgG

Carrier free

No

Reacts with

Human, Mouse, Rat

Applications

IHC-P, WB, ICC/IF

applications

Immunogen

Synthetic Peptide within Human GPER1 aa 300 to C-terminus. The exact immunogen used to generate this antibody is proprietary information.

Q99527

Reactivity data

{ "title": "Reactivity Data", "filters": { "stats": ["", "Species", "Dilution Info", "Notes"], "tabs": { "all-applications": {"fullname" : "All Applications", "shortname": "All Applications"}, "IHCP" : {"fullname" : "Immunohistochemistry (Formalin/PFA-fixed paraffin-embedded sections)", "shortname":"IHC-P"}, "WB" : {"fullname" : "Western blot", "shortname":"WB"}, "ICCIF" : {"fullname" : "Immunocytochemistry/ Immunofluorescence", "shortname":"ICC/IF"} }, "product-promise": { "all": "all", "testedAndGuaranteed": "tested", "guaranteed": "expected", "predicted": "predicted", "notRecommended": "not-recommended" } }, "values": { "Human": { "IHCP-species-checked": "testedAndGuaranteed", "IHCP-species-dilution-info": "1/100 - 1/1000", "IHCP-species-notes": "<p></p>", "WB-species-checked": "testedAndGuaranteed", "WB-species-dilution-info": "1/500 - 1/3000", "WB-species-notes": "<p>As is commonly seen with membrane proteins, significant hydrophobicity can lead to aggregation following boiling of samples prior to SDS-PAGE and subsequent western blotting. We recommend to avoid boiling in this case.</p>", "ICCIF-species-checked": "guaranteed", "ICCIF-species-dilution-info": "", "ICCIF-species-notes": "" }, "Mouse": { "IHCP-species-checked": "testedAndGuaranteed", "IHCP-species-dilution-info": "1/100 - 1/1000", "IHCP-species-notes": "<p></p>", "WB-species-checked": "testedAndGuaranteed", "WB-species-dilution-info": "1/500 - 1/3000", "WB-species-notes": "<p>As is commonly seen with membrane proteins, significant hydrophobicity can lead to aggregation following boiling of samples prior to SDS-PAGE and subsequent western blotting. We recommend to avoid boiling in this case.</p>", "ICCIF-species-checked": "guaranteed", "ICCIF-species-dilution-info": "", "ICCIF-species-notes": "" }, "Rat": { "IHCP-species-checked": "guaranteed", "IHCP-species-dilution-info": "", "IHCP-species-notes": "", "WB-species-checked": "guaranteed", "WB-species-dilution-info": "", "WB-species-notes": "", "ICCIF-species-checked": "testedAndGuaranteed", "ICCIF-species-dilution-info": "1/100 - 1/1000", "ICCIF-species-notes": "<p></p>" }, "Recombinant fragment": { "IHCP-species-checked": "notRecommended", "IHCP-species-dilution-info": "", "IHCP-species-notes": "", "WB-species-checked": "notRecommended", "WB-species-dilution-info": "", "WB-species-notes": "", "ICCIF-species-checked": "testedAndGuaranteed", "ICCIF-species-dilution-info": "1/100 - 1/1000", "ICCIF-species-notes": "<p></p>" } } }

Properties and storage information

Form
Liquid
Purification technique
Affinity purification Immunogen
Storage buffer
pH: 7 Preservative: 0.025% Proclin 300 Constituents: PBS, 20% Glycerol (glycerin, glycerine)
Shipped at conditions
Blue Ice
Appropriate short-term storage conditions
+4°C
Appropriate long-term storage conditions
-20°C
Aliquoting information
Upon delivery aliquot
Storage information
Avoid freeze / thaw cycle

Product protocols

For this product, it's our understanding that no specific protocols are required. You can visit:

Target data

G-protein coupled estrogen receptor that binds to 17-beta-estradiol (E2) with high affinity, leading to rapid and transient activation of numerous intracellular signaling pathways. Stimulates cAMP production, calcium mobilization and tyrosine kinase Src inducing the release of heparin-bound epidermal growth factor (HB-EGF) and subsequent transactivation of the epidermal growth factor receptor (EGFR), activating downstream signaling pathways such as PI3K/Akt and ERK/MAPK. Mediates pleiotropic functions among others in the cardiovascular, endocrine, reproductive, immune and central nervous systems. Has a role in cardioprotection by reducing cardiac hypertrophy and perivascular fibrosis in a RAMP3-dependent manner. Regulates arterial blood pressure by stimulating vasodilation and reducing vascular smooth muscle and microvascular endothelial cell proliferation. Plays a role in blood glucose homeostasis contributing to the insulin secretion response by pancreatic beta cells. Triggers mitochondrial apoptosis during pachytene spermatocyte differentiation. Stimulates uterine epithelial cell proliferation. Enhances uterine contractility in response to oxytocin. Contributes to thymic atrophy by inducing apoptosis. Attenuates TNF-mediated endothelial expression of leukocyte adhesion molecules. Promotes neuritogenesis in developing hippocampal neurons. Plays a role in acute neuroprotection against NMDA-induced excitotoxic neuronal death. Increases firing activity and intracellular calcium oscillations in luteinizing hormone-releasing hormone (LHRH) neurons. Inhibits early osteoblast proliferation at growth plate during skeletal development. Inhibits mature adipocyte differentiation and lipid accumulation. Involved in the recruitment of beta-arrestin 2 ARRB2 at the plasma membrane in epithelial cells. Functions also as a receptor for aldosterone mediating rapid regulation of vascular contractibility through the PI3K/ERK signaling pathway. Involved in cancer progression regulation. Stimulates cancer-associated fibroblast (CAF) proliferation by a rapid genomic response through the EGFR/ERK transduction pathway. Associated with EGFR, may act as a transcription factor activating growth regulatory genes (c-fos, cyclin D1). Promotes integrin alpha-5/beta-1 and fibronectin (FN) matrix assembly in breast cancer cells.
See full target information GPER1

Publications (16)

Recent publications for all applications. Explore the full list and refine your search

Cells 12: PubMed37759449

2023

GPER1 Activation Exerts Anti-Tumor Activity in Multiple Myeloma.

Applications

Unspecified application

Species

Unspecified reactive species

Maria Eugenia Gallo Cantafio,Roberta Torcasio,Francesca Scionti,Maria Mesuraca,Domenica Ronchetti,Mariaelena Pistoni,Dina Bellizzi,Giuseppe Passarino,Eugenio Morelli,Antonino Neri,Giuseppe Viglietto,Nicola Amodio

Journal of food and drug analysis 31:315-325 PubMed37335164

2023

Resveratrol stimulates StAR expression and progesterone production by GPER-mediated downregulation of Snail expression in human granulosa cells.

Applications

Unspecified application

Species

Unspecified reactive species

Tinglin Song,Jiaye Chen,Sizhu Yang,Boqun Liu,Lingling Zhang,Qian Zhang,Jung-Chien Cheng,Lanlan Fang

Life science alliance 6: PubMed36384894

2022

GPER1 links estrogens to centrosome amplification and chromosomal instability in human colon cells.

Applications

Unspecified application

Species

Unspecified reactive species

Miriam Bühler,Jeanine Fahrländer,Alexander Sauter,Markus Becker,Elisa Wistorf,Matthias Steinfath,Ailine Stolz

International journal of molecular sciences 23: PubMed36293473

2022

GPER Agonist G1 Prevents Wnt-Induced Upregulation in HT29 Colorectal Cancer Cells.

Applications

Unspecified application

Species

Unspecified reactive species

Maria Abancens,Brian J Harvey,Jean McBryan

Journal of cellular biochemistry : PubMed33938030

2021

GPR30 knockdown weakens the capacity of CAF in promoting prostate cancer cell invasion via reducing macrophage infiltration and M2 polarization.

Applications

Unspecified application

Species

Unspecified reactive species

Ran Zhang,Jiaojiao Zong,Yanfei Peng,Jiandang Shi,Xiaoling Du,Haitao Liu,Yongmei Shen,Jiasong Cao,Bona Jia,Feng Liu,Ju Zhang

Cancers 12: PubMed31991740

2020

GPER Activation Inhibits Cancer Cell Mechanotransduction and Basement Membrane Invasion via RhoA.

Applications

Unspecified application

Species

Unspecified reactive species

Alistair Rice,Ernesto Cortes,Dariusz Lachowski,Philipp Oertle,Carlos Matellan,Stephen D Thorpe,Ritobrata Ghose,Haiyun Wang,David A Lee,Marija Plodinec,Armando E Del Río Hernández

Oncogene 38:2910-2922 PubMed30575816

2018

Tamoxifen mechanically deactivates hepatic stellate cells via the G protein-coupled estrogen receptor.

Applications

Unspecified application

Species

Unspecified reactive species

Ernesto Cortes,Dariusz Lachowski,Alistair Rice,Stephen D Thorpe,Benjamin Robinson,Gulcen Yeldag,David A Lee,Leo Ghemtio,Krista Rombouts,Armando E Del Río Hernández

Molecular medicine reports 18:1141-1148 PubMed29845209

2018

G protein‑coupled estrogen receptor/miR‑148a/human leukocyte antigen‑G signaling pathway mediates cell apoptosis of ovarian endometriosis.

Applications

Unspecified application

Species

Unspecified reactive species

Shun Zhi He,Jing Li,Hong Chu Bao,Mei Mei Wang,Xin Rong Wang,Xin Huang,Feng Hua Li,Wei Zhang,An Li Xu,Hao Cui Fang,Yang Xing Sheng

Oncotarget 8:84258-84275 PubMed29137421

2017

GPER mediates differential effects of estrogen on colon cancer cell proliferation and migration under normoxic and hypoxic conditions.

Applications

Unspecified application

Species

Unspecified reactive species

Viviana Bustos,Áine M Nolan,Anke Nijhuis,Harry Harvey,Alexandra Parker,Richard Poulsom,Jean McBryan,Warren Thomas,Andrew Silver,Brian J Harvey

The Prostate 77:1424-1437 PubMed28850686

2017

Estradiol promotes epithelial-to-mesenchymal transition in human benign prostatic epithelial cells.

Applications

Unspecified application

Species

Unspecified reactive species

Xiaoyu Shi,Yanfei Peng,Xiaoling Du,Haitao Liu,Helmut Klocker,Qimei Lin,Jiandang Shi,Ju Zhang
View all publications

Product promise

We are committed to supporting your work with high-quality reagents, and we're here for you every step of the way. In the unlikely event that one of our products does not perform as expected, you're protected by our Product Promise.
For full details, please see our Terms & Conditions

Please note: All products are 'FOR RESEARCH USE ONLY. NOT FOR USE IN DIAGNOSTIC OR THERAPEUTIC PROCEDURES'.

For licensing inquiries, please contact partnerships@abcam.com