JavaScript is disabled in your browser. Please enable JavaScript to view this website.
AB260033

Anti-G-protein coupled receptor 30 antibody [EPR23701-79]

  • BOND RX™ Validated
  • RabMAb
  • Recombinant
  • 20ul selling size
  • What is this?

5

(1 Review)

|

(8 Publications)

Anti-G-protein coupled receptor 30 antibody [EPR23701-79] (ab260033) is a rabbit monoclonal antibody detecting G-protein coupled receptor 30 in Western Blot, IHC-P. Suitable for Human, Mouse, Rat.

- Biophysical QC for unrivalled batch-batch consistency

View Alternative Names

CEPR, CMKRL2, DRY12, GPER, GPR30, GPER1, G-protein coupled estrogen receptor 1, Chemoattractant receptor-like 2, Flow-induced endothelial G-protein coupled receptor 1, G protein-coupled estrogen receptor 1, G-protein coupled receptor 30, GPCR-Br, IL8-related receptor DRY12, Lymphocyte-derived G-protein coupled receptor, Membrane estrogen receptor, FEG-1, LYGPR, mER

6 Images
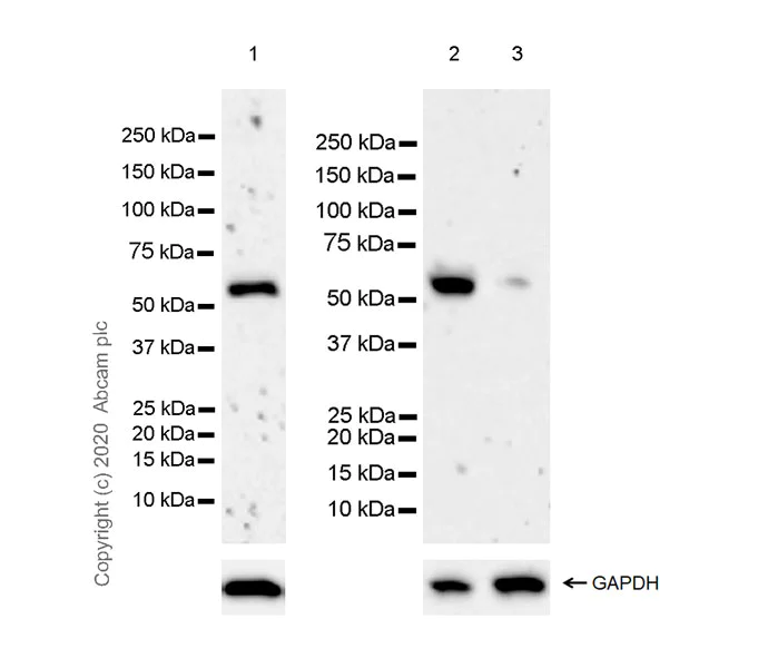
Western blot - Anti-G-protein coupled receptor 30 antibody [EPR23701-79] (AB260033)
  • WB

Lab

Western blot - Anti-G-protein coupled receptor 30 antibody [EPR23701-79] (AB260033)

Blocking and diluting buffer and concentration : 5% NFDM/TBST.

The molecular weight observed is consistent with what has been described in the literature (PMID : 28849224, 29137421, 23273253).

Low expression control : A549 (PMID : 23273253).

This blot was developed using a higher sensitivity ECL substrate.

Exposure time : 3 minutes.

All lanes:

Western blot - Anti-G-protein coupled receptor 30 antibody [EPR23701-79] (ab260033) at 1/1000 dilution

Lane 1:

Human placenta tissue lysate at 40 µg

Lane 2:

HepG2 (human hepatocellar carcinoma epithelial cell) whole cell lysate at 40 µg

Lane 3:

A549 (human lung carcinoma epithelial cell) whole cell lysate at 40 µg

Secondary

All lanes:

VeriBlot for IP secondary antibody(HRP)(<a href='/en-us/products/reagents/veriblot-for-ip-detection-reagent-hrp-ab131366'>ab131366</a>) at 1/1000 dilution

Predicted band size: 42 kDa

Observed band size: 55 kDa

false

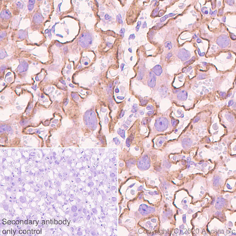
Immunohistochemistry (Formalin/PFA-fixed paraffin-embedded sections) - Anti-G-protein coupled receptor 30 antibody [EPR23701-79] (AB260033)
  • IHC-P

Unknown

Immunohistochemistry (Formalin/PFA-fixed paraffin-embedded sections) - Anti-G-protein coupled receptor 30 antibody [EPR23701-79] (AB260033)

Immunohistochemical analysis of paraffin-embedded Human placenta tissue labeling G-protein coupled receptor 30 with ab260033 at 1/200 (2.565 ug/ml) dilution followed by a ready to use Rabbit specific IHC polymer detection kit HRP/DAB (ab209101). Cytoplasmic staining on human placenta (PMID : 9367686). The section was incubated with ab260033 for 30 mins at room temperature. The immunostaining was performed on a Leica Biosystems BOND® RX instrument. Counterstained with Hematoxylin.

Secondary antibody only control : Secondary antibody is a ready to use Rabbit specific IHC polymer detection kit HRP/DAB (ab209101).

Heat mediated antigen retrieval with Tris-EDTA buffer (pH 9.0, epitope retrieval solution2) for 20 mins.

Immunohistochemistry (Formalin/PFA-fixed paraffin-embedded sections) - Anti-G-protein coupled receptor 30 antibody [EPR23701-79] (AB260033)
  • IHC-P

Unknown

Immunohistochemistry (Formalin/PFA-fixed paraffin-embedded sections) - Anti-G-protein coupled receptor 30 antibody [EPR23701-79] (AB260033)

Immunohistochemical analysis of paraffin-embedded Mouse cerebrum tissue labeling G-protein coupled receptor 30 with 260033 at 1/200 (2.565 ug/ml) dilution followed by a ready to use Rabbit specific IHC polymer detection kit HRP/DAB (ab209101). Cytoplasmic staining on mouse cerebrum. The section was incubated with ab260033 for 30 mins at room temperature. The immunostaining was performed on a Leica Biosystems BOND® RX instrument.Counterstained with Hematoxylin.

Secondary antibody only control : Secondary antibody is a ready to use Rabbit specific IHC polymer detection kit HRP/DAB (ab209101).

Heat mediated antigen retrieval with Tris-EDTA buffer (pH 9.0, epitope retrieval solution2) for 20 mins.

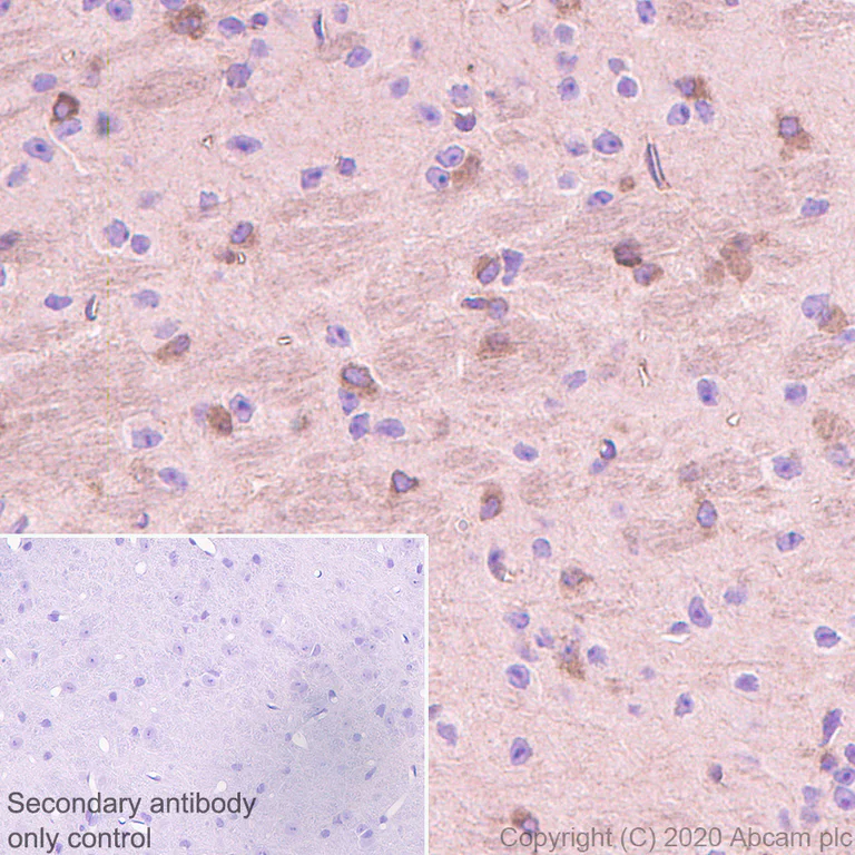
Immunohistochemistry (Formalin/PFA-fixed paraffin-embedded sections) - Anti-G-protein coupled receptor 30 antibody [EPR23701-79] (AB260033)
  • IHC-P

Unknown

Immunohistochemistry (Formalin/PFA-fixed paraffin-embedded sections) - Anti-G-protein coupled receptor 30 antibody [EPR23701-79] (AB260033)

Immunohistochemical analysis of paraffin-embedded Human cerebrum tissue labeling G-protein coupled receptor 30 with 260033 at 1/200 (2.565 ug/ml) dilution followed by a ready to use Rabbit specific IHC polymer detection kit HRP/DAB (ab209101). Cytoplasmic staining on human cerebrum. The section was incubated with ab26003 for 30 mins at room temperature. The immunostaining was performed on a Leica Biosystems BOND® RX instrument.Counterstained with Hematoxylin.

Secondary antibody only control : Secondary antibody is a ready to use Rabbit specific IHC polymer detection kit HRP/DAB (ab209101).

Heat mediated antigen retrieval with Tris-EDTA buffer (pH 9.0, epitope retrieval solution2) for 20 mins.

Immunohistochemistry (Formalin/PFA-fixed paraffin-embedded sections) - Anti-G-protein coupled receptor 30 antibody [EPR23701-79] (AB260033)
  • IHC-P

Unknown

Immunohistochemistry (Formalin/PFA-fixed paraffin-embedded sections) - Anti-G-protein coupled receptor 30 antibody [EPR23701-79] (AB260033)

Immunohistochemical analysis of paraffin-embedded Mouse placenta tissue labeling G-protein coupled receptor 30 with 260033 at 1/200 (2.565 ug/ml) dilution followed by a ready to use Rabbit specific IHC polymer detection kit HRP/DAB (ab209101). Cytoplasmic staining on mouse placenta. The section was incubated with ab260033 for 30 mins at room temperature. The immunostaining was performed on a Leica Biosystems BOND® RX instrument. Counterstained with Hematoxylin.

Secondary antibody only control : Secondary antibody is a ready to use Rabbit specific IHC polymer detection kit HRP/DAB (ab209101).

Heat mediated antigen retrieval with Tris-EDTA buffer (pH 9.0, epitope retrieval solution2) for 20 mins.

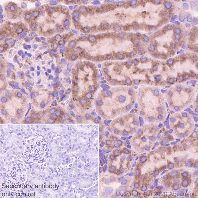
Immunohistochemistry (Formalin/PFA-fixed paraffin-embedded sections) - Anti-G-protein coupled receptor 30 antibody [EPR23701-79] (AB260033)
  • IHC-P

Unknown

Immunohistochemistry (Formalin/PFA-fixed paraffin-embedded sections) - Anti-G-protein coupled receptor 30 antibody [EPR23701-79] (AB260033)

Immunohistochemical analysis of paraffin-embedded Rat kidney tissue labeling G-protein coupled receptor 30 with 260033 at 1/200 (2.565 ug/ml) dilution followed by a ready to use Rabbit specific IHC polymer detection kit HRP/DAB (ab209101). Cytoplasmic staining on rat kidney PMID : 21354433. The section was incubated with ab260033 for 30 mins at room temperature. The immunostaining was performed on a Leica Biosystems BOND® RX instrument.Counterstained with Hematoxylin.

Secondary antibody only control : Secondary antibody is a ready to use Rabbit specific IHC polymer detection kit HRP/DAB (ab209101).

Heat mediated antigen retrieval with Tris-EDTA buffer (pH 9.0, epitope retrieval solution2) for 20 mins.

  • Carrier free

    Anti-G-protein coupled receptor 30 antibody [EPR23701-79] - BSA and Azide free

  • 603 Alexa Fluor® 568

    Alexa Fluor® 568 Anti-G-protein coupled receptor 30 antibody [EPR23701-79]

  • 565 Alexa Fluor® 555

    Alexa Fluor® 555 Anti-G-protein coupled receptor 30 antibody [EPR23701-79]

  • 617 Alexa Fluor® 594

    Alexa Fluor® 594 Anti-G-protein coupled receptor 30 antibody [EPR23701-79]

  • 519 Alexa Fluor® 488

    Alexa Fluor® 488 Anti-G-protein coupled receptor 30 antibody [EPR23701-79]

  • 665 Alexa Fluor® 647

    Alexa Fluor® 647 Anti-G-protein coupled receptor 30 antibody [EPR23701-79]

  • 775 Alexa Fluor® 750

    Alexa Fluor® 750 Anti-G-protein coupled receptor 30 antibody [EPR23701-79]

Key facts

Host species

Rabbit

Clonality

Monoclonal

Clone number

EPR23701-79

Isotype

IgG

Carrier free

No

Reacts with

Mouse, Rat, Human

Applications

IHC-P, WB

applications

Immunogen

The exact immunogen used to generate this antibody is proprietary information.

Reactivity data

{ "title": "Reactivity Data", "filters": { "stats": ["", "Species", "Dilution Info", "Notes"], "tabs": { "all-applications": {"fullname" : "All Applications", "shortname": "All Applications"}, "ICCIF" : {"fullname" : "Immunocytochemistry/ Immunofluorescence", "shortname":"ICC/IF"}, "IP" : {"fullname" : "Immunoprecipitation", "shortname":"IP"}, "FlowCyt" : {"fullname" : "Flow Cytometry", "shortname":"Flow Cyt"}, "WB" : {"fullname" : "Western blot", "shortname":"WB"}, "IHCP" : {"fullname" : "Immunohistochemistry (Formalin/PFA-fixed paraffin-embedded sections)", "shortname":"IHC-P"} }, "product-promise": { "all": "all", "testedAndGuaranteed": "tested", "guaranteed": "expected", "predicted": "predicted", "notRecommended": "not-recommended" } }, "values": { "Human": { "ICCIF-species-checked": "notRecommended", "ICCIF-species-dilution-info": "", "ICCIF-species-notes": "<p></p>", "IP-species-checked": "notRecommended", "IP-species-dilution-info": "", "IP-species-notes": "<p></p>", "FlowCyt-species-checked": "notRecommended", "FlowCyt-species-dilution-info": "", "FlowCyt-species-notes": "<p></p>", "WB-species-checked": "testedAndGuaranteed", "WB-species-dilution-info": "1/1000", "WB-species-notes": "<p></p>", "IHCP-species-checked": "testedAndGuaranteed", "IHCP-species-dilution-info": "1/200", "IHCP-species-notes": "<p></p> Perform heat-mediated antigen retrieval with Tris/EDTA buffer pH 9.0 before commencing with IHC staining protocol." }, "Mouse": { "ICCIF-species-checked": "notRecommended", "ICCIF-species-dilution-info": "", "ICCIF-species-notes": "<p></p>", "IP-species-checked": "notRecommended", "IP-species-dilution-info": "", "IP-species-notes": "<p></p>", "FlowCyt-species-checked": "notRecommended", "FlowCyt-species-dilution-info": "", "FlowCyt-species-notes": "<p></p>", "WB-species-checked": "notRecommended", "WB-species-dilution-info": "1/1000", "WB-species-notes": "<p></p>", "IHCP-species-checked": "testedAndGuaranteed", "IHCP-species-dilution-info": "1/200", "IHCP-species-notes": "<p></p> Perform heat-mediated antigen retrieval with Tris/EDTA buffer pH 9.0 before commencing with IHC staining protocol." }, "Rat": { "ICCIF-species-checked": "notRecommended", "ICCIF-species-dilution-info": "", "ICCIF-species-notes": "<p></p>", "IP-species-checked": "notRecommended", "IP-species-dilution-info": "", "IP-species-notes": "<p></p>", "FlowCyt-species-checked": "notRecommended", "FlowCyt-species-dilution-info": "", "FlowCyt-species-notes": "<p></p>", "WB-species-checked": "notRecommended", "WB-species-dilution-info": "1/1000", "WB-species-notes": "<p></p>", "IHCP-species-checked": "testedAndGuaranteed", "IHCP-species-dilution-info": "1/200", "IHCP-species-notes": "<p></p> Perform heat-mediated antigen retrieval with Tris/EDTA buffer pH 9.0 before commencing with IHC staining protocol." } } }

Product details

What is this antibody validated in?
Anti-G-protein coupled receptor 30 antibody [EPR23701-79] (ab260033) is a rabbit recombinant monoclonal antibody and is validated for use in Western Blot (WB), Immunohistochemistry (IHC-P) in Human, Mouse, Rat samples.

What is the molecular weight of G-protein coupled receptor 30?
Anti-G-protein coupled receptor 30 [EPR23701-79] (ab260033) specifically detects a band for G-protein coupled receptor 30 (UniProt: Q99527) at a molecular weight of 42kDa.

Trial sizes available!
Test your antibody or perform pre-screening before committing to a larger quantity. Sold in 10µl. Discover our selection of trial-size antibodies.

Other related products
We have a range of other formats of antibody clone [EPR23701-79] also available for your convenience: ab260033, Carrier free - ab275397, Alexa Fluor® 488 - ab311048, Alexa Fluor® 647 - ab311173, Alexa Fluor® 594 - ab311828, Alexa Fluor® 568 - ab313111, Alexa Fluor® 555 - ab313304, Alexa Fluor® 750 - ab321519

Patented technology
Our RabMAb® technology is a patented hybridoma-based technology for making rabbit monoclonal antibodies. For details on our patents, please refer to RabMAb® patents.

What are the advantages of a recombinant monoclonal antibody?
This product is a recombinant monoclonal antibody, which offers several advantages including:

  • - High batch-to-batch consistency and reproducibility
  • - Improved sensitivity and specificity
  • - Long-term security of supply
  • - Animal-free batch production

For more information, read more on recombinant antibodies.

Properties and storage information

Form
Liquid
Purification technique
Affinity purification Protein A
Storage buffer
Preservative: 0.01% Sodium azide Constituents: 59.94% PBS, 40% Glycerol (glycerin, glycerine), 0.05% BSA
Shipped at conditions
Blue Ice
Appropriate short-term storage duration
1-2 weeks
Appropriate short-term storage conditions
+4°C
Appropriate long-term storage conditions
-20°C
Aliquoting information
Upon delivery aliquot
Storage information
Avoid freeze / thaw cycle

Product protocols

For this product, it's our understanding that no specific protocols are required. You can visit:

Target data

G-protein coupled estrogen receptor that binds to 17-beta-estradiol (E2) with high affinity, leading to rapid and transient activation of numerous intracellular signaling pathways. Stimulates cAMP production, calcium mobilization and tyrosine kinase Src inducing the release of heparin-bound epidermal growth factor (HB-EGF) and subsequent transactivation of the epidermal growth factor receptor (EGFR), activating downstream signaling pathways such as PI3K/Akt and ERK/MAPK. Mediates pleiotropic functions among others in the cardiovascular, endocrine, reproductive, immune and central nervous systems. Has a role in cardioprotection by reducing cardiac hypertrophy and perivascular fibrosis in a RAMP3-dependent manner. Regulates arterial blood pressure by stimulating vasodilation and reducing vascular smooth muscle and microvascular endothelial cell proliferation. Plays a role in blood glucose homeostasis contributing to the insulin secretion response by pancreatic beta cells. Triggers mitochondrial apoptosis during pachytene spermatocyte differentiation. Stimulates uterine epithelial cell proliferation. Enhances uterine contractility in response to oxytocin. Contributes to thymic atrophy by inducing apoptosis. Attenuates TNF-mediated endothelial expression of leukocyte adhesion molecules. Promotes neuritogenesis in developing hippocampal neurons. Plays a role in acute neuroprotection against NMDA-induced excitotoxic neuronal death. Increases firing activity and intracellular calcium oscillations in luteinizing hormone-releasing hormone (LHRH) neurons. Inhibits early osteoblast proliferation at growth plate during skeletal development. Inhibits mature adipocyte differentiation and lipid accumulation. Involved in the recruitment of beta-arrestin 2 ARRB2 at the plasma membrane in epithelial cells. Functions also as a receptor for aldosterone mediating rapid regulation of vascular contractibility through the PI3K/ERK signaling pathway. Involved in cancer progression regulation. Stimulates cancer-associated fibroblast (CAF) proliferation by a rapid genomic response through the EGFR/ERK transduction pathway. Associated with EGFR, may act as a transcription factor activating growth regulatory genes (c-fos, cyclin D1). Promotes integrin alpha-5/beta-1 and fibronectin (FN) matrix assembly in breast cancer cells.
See full target information GPER1

Publications (8)

Recent publications for all applications. Explore the full list and refine your search

Nature communications 14:6991 PubMed37914684

2023

Follicle-stimulating hormone orchestrates glucose-stimulated insulin secretion of pancreatic islets.

Applications

Unspecified application

Species

Unspecified reactive species

Yi Cheng,Hong Zhu,Jun Ren,Hai-Yan Wu,Jia-En Yu,Lu-Yang Jin,Hai-Yan Pang,Hai-Tao Pan,Si-Si Luo,Jing Yan,Kai-Xuan Dong,Long-Yun Ye,Cheng-Liang Zhou,Jie-Xue Pan,Zhuo-Xian Meng,Ting Yu,Li Jin,Xian-Hua Lin,Yan-Ting Wu,Hong-Bo Yang,Xin-Mei Liu,Jian-Zhong Sheng,Guo-Lian Ding,He-Feng Huang

Journal of translational medicine 21:361 PubMed37268950

2023

Dental pulp stem cell-derived exosomes revitalize salivary gland epithelial cell function in NOD mice via the GPER-mediated cAMP/PKA/CREB signaling pathway.

Applications

Unspecified application

Species

Unspecified reactive species

Shilin Hu,Bo Chen,Jiannan Zhou,Fangqi Liu,Tianjiao Mao,Janak L Pathak,Nobumoto Watanabe,Jiang Li

Cancers 15: PubMed36765788

2023

Characterization of Estrogen Receptors in Pancreatic Adenocarcinoma with Tertiary Lymphoid Structures.

Applications

Unspecified application

Species

Unspecified reactive species

Xuan Zou,Yu Liu,Xuan Lin,Ruijie Wang,Zhengjie Dai,Yusheng Chen,Mingjian Ma,Yesiboli Tasiheng,Yu Yan,Xu Wang,Xianjun Yu,He Cheng,Chen Liu

Cell death & disease 13:915 PubMed36316313

2022

Targeted activation of GPER enhances the efficacy of venetoclax by boosting leukemic pyroptosis and CD8+ T cell immune function in acute myeloid leukemia.

Applications

Unspecified application

Species

Unspecified reactive species

Jun Ren,Yonghong Tao,Meixi Peng,Qiaoling Xiao,Yipei Jing,Junpeng Huang,Jing Yang,Can Lin,Minghui Sun,Li Lei,Zesong Yang,Zailin Yang,Ling Zhang

Frontiers in cellular and infection microbiology 12:1037279 PubMed36389141

2022

Sodium butyrate treatment and fecal microbiota transplantation provide relief from ulcerative colitis-induced prostate enlargement.

Applications

Unspecified application

Species

Unspecified reactive species

Weimin Dong,Jiefang Zheng,Yiqiao Huang,Huijing Tan,Shengbang Yang,Zhiming Zhang,Xue Liang,Hao Liu,Guohao Zeng,Haoming Xu,Xianhan Jiang,Weide Zhong

Journal of oncology 2022:2410530 PubMed35096058

2022

GPR30 Activation Promotes the Progression of Gastric Cancer and Plays a Significant Role in the Anti-GC Effect of Huaier.

Applications

Unspecified application

Species

Unspecified reactive species

Xiao-Feng Wang,Can Hu,Shao-Wei Mo,Jing-Li Xu,Yan Liu,Han-Dong Xu,Li Yuan,Ling Huang,Jian-Fa Yu,Xiang-Dong Cheng,Zhi-Yuan Xu

Molecular biology reports 48:7853-7863 PubMed34714484

2021

Saikosaponin-d alleviates hepatic fibrosis through regulating GPER1/autophagy signaling.

Applications

Unspecified application

Species

Unspecified reactive species

Yirong Chen,Renye Que,Na Zhang,Liubing Lin,Mengen Zhou,Yong Li

Journal of inflammation research 14:843-858 PubMed33737825

2021

Estrogen Protects Articular Cartilage by Downregulating ASIC1a in Rheumatoid Arthritis.

Applications

Unspecified application

Species

Unspecified reactive species

Xiaoyu Hang,Zhenyu Zhang,Ruowen Niu,Chen Wang,Jing Yao,Yayun Xu,Jingjing Tao,Lanlan Li,Feihu Chen
View all publications

Product promise

We are committed to supporting your work with high-quality reagents, and we're here for you every step of the way. In the unlikely event that one of our products does not perform as expected, you're protected by our Product Promise.
For full details, please see our Terms & Conditions

Please note: All products are 'FOR RESEARCH USE ONLY. NOT FOR USE IN DIAGNOSTIC OR THERAPEUTIC PROCEDURES'.

For licensing inquiries, please contact partnerships@abcam.com