JavaScript is disabled in your browser. Please enable JavaScript to view this website.
AB275397

Anti-G-protein coupled receptor 30 antibody [EPR23701-79] - BSA and Azide free

Be the first to review this product! Submit a review

|

(0 Publication)

Rabbit Recombinant Monoclonal G-protein coupled receptor 30 antibody. Carrier free. Suitable for WB, IHC-P and reacts with Human, Mouse, Rat samples.

View Alternative Names

CEPR, CMKRL2, DRY12, GPER, GPR30, GPER1, G-protein coupled estrogen receptor 1, Chemoattractant receptor-like 2, Flow-induced endothelial G-protein coupled receptor 1, G protein-coupled estrogen receptor 1, G-protein coupled receptor 30, GPCR-Br, IL8-related receptor DRY12, Lymphocyte-derived G-protein coupled receptor, Membrane estrogen receptor, FEG-1, LYGPR, mER

6 Images
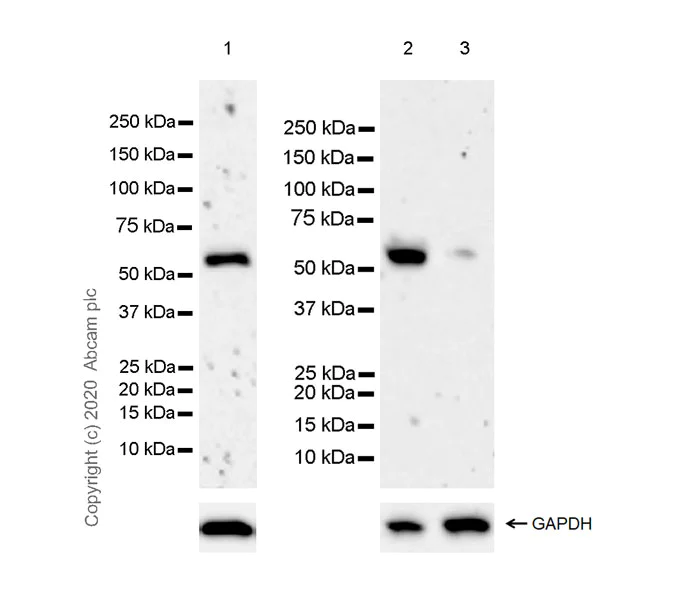
Western blot - Anti-G-protein coupled receptor 30 antibody [EPR23701-79] - BSA and Azide free (AB275397)
  • WB

Lab

Western blot - Anti-G-protein coupled receptor 30 antibody [EPR23701-79] - BSA and Azide free (AB275397)

This data was developed using ab260033, the same antibody clone in a different buffer formulation.

Blocking and diluting buffer and concentration : 5% NFDM/TBST.

The molecular weight observed is consistent with what has been described in the literature (PMID : 28849224, 29137421, 23273253).

Low expression control : A549 (PMID : 23273253).

This blot was developed using a higher sensitivity ECL substrate.

Exposure time : 3 minutes.

All lanes:

Western blot - Anti-G-protein coupled receptor 30 antibody [EPR23701-79] (<a href='/en-us/products/primary-antibodies/g-protein-coupled-receptor-30-antibody-epr23701-79-ab260033'>ab260033</a>) at 1/1000 dilution

Lane 1:

Human placenta tissue lysate at 40 µg

Lane 2:

HepG2 (human hepatocellar carcinoma epithelial cell) whole cell lysate at 40 µg

Lane 3:

A549 (human lung carcinoma epithelial cell) whole cell lysate at 40 µg

Secondary

All lanes:

VeriBlot for IP secondary antibody(HRP)(<a href='/en-us/products/reagents/veriblot-for-ip-detection-reagent-hrp-ab131366'>ab131366</a>) at 1/1000 dilution

Predicted band size: 42 kDa

Observed band size: 55 kDa

false

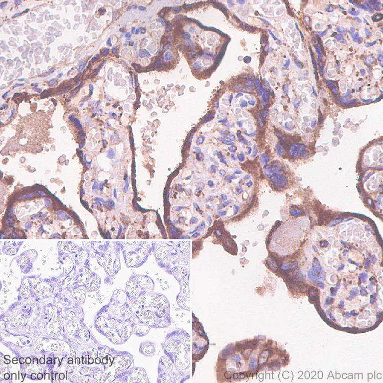
Immunohistochemistry (Formalin/PFA-fixed paraffin-embedded sections) - Anti-G-protein coupled receptor 30 antibody [EPR23701-79] - BSA and Azide free (AB275397)
  • IHC-P

Unknown

Immunohistochemistry (Formalin/PFA-fixed paraffin-embedded sections) - Anti-G-protein coupled receptor 30 antibody [EPR23701-79] - BSA and Azide free (AB275397)

This data was developed using ab260033, the same antibody clone in a different buffer formulation.

Immunohistochemical analysis of paraffin-embedded Human placenta tissue labeling G-protein coupled receptor 30 with ab260033 at 1/200 (2.565 ug/ml) dilution followed by a ready to use Rabbit specific IHC polymer detection kit HRP/DAB (ab209101). Cytoplasmic staining on human placenta (PMID : 9367686). The section was incubated with ab260033 for 30 mins at room temperature. The immunostaining was performed on a Leica Biosystems BOND® RX instrument. Counterstained with Hematoxylin.

Secondary antibody only control : Secondary antibody is a ready to use Rabbit specific IHC polymer detection kit HRP/DAB (ab209101).

Heat mediated antigen retrieval with Tris-EDTA buffer (pH 9.0, epitope retrieval solution2) for 20 mins.

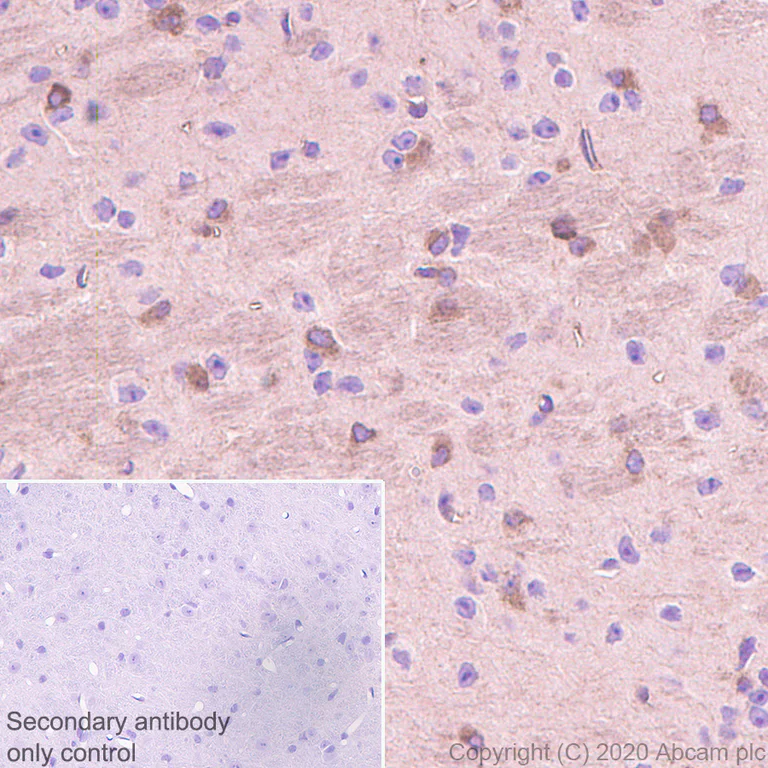
Immunohistochemistry (Formalin/PFA-fixed paraffin-embedded sections) - Anti-G-protein coupled receptor 30 antibody [EPR23701-79] - BSA and Azide free (AB275397)
  • IHC-P

Unknown

Immunohistochemistry (Formalin/PFA-fixed paraffin-embedded sections) - Anti-G-protein coupled receptor 30 antibody [EPR23701-79] - BSA and Azide free (AB275397)

This data was developed using ab260033, the same antibody clone in a different buffer formulation.

Immunohistochemical analysis of paraffin-embedded Mouse cerebrum tissue labeling G-protein coupled receptor 30 with 260033 at 1/200 (2.565 ug/ml) dilution followed by a ready to use Rabbit specific IHC polymer detection kit HRP/DAB (ab209101). Cytoplasmic staining on mouse cerebrum. The section was incubated with ab260033 for 30 mins at room temperature. The immunostaining was performed on a Leica Biosystems BOND® RX instrument. Counterstained with Hematoxylin.

Secondary antibody only control : Secondary antibody is a ready to use Rabbit specific IHC polymer detection kit HRP/DAB (ab209101).

Heat mediated antigen retrieval with Tris-EDTA buffer (pH 9.0, epitope retrieval solution2) for 20 mins.

Immunohistochemistry (Formalin/PFA-fixed paraffin-embedded sections) - Anti-G-protein coupled receptor 30 antibody [EPR23701-79] - BSA and Azide free (AB275397)
  • IHC-P

Unknown

Immunohistochemistry (Formalin/PFA-fixed paraffin-embedded sections) - Anti-G-protein coupled receptor 30 antibody [EPR23701-79] - BSA and Azide free (AB275397)

This data was developed using ab260033, the same antibody clone in a different buffer formulation.

Immunohistochemical analysis of paraffin-embedded Human cerebrum tissue labeling G-protein coupled receptor 30 with 260033 at 1/200 (2.565 ug/ml) dilution followed by a ready to use Rabbit specific IHC polymer detection kit HRP/DAB (ab209101). Cytoplasmic staining on human cerebrum. The section was incubated with ab26003 for 30 mins at room temperature. The immunostaining was performed on a Leica Biosystems BOND® RX instrument. Counterstained with Hematoxylin.

Secondary antibody only control : Secondary antibody is a ready to use Rabbit specific IHC polymer detection kit HRP/DAB (ab209101).

Heat mediated antigen retrieval with Tris-EDTA buffer (pH 9.0, epitope retrieval solution2) for 20 mins.

Immunohistochemistry (Formalin/PFA-fixed paraffin-embedded sections) - Anti-G-protein coupled receptor 30 antibody [EPR23701-79] - BSA and Azide free (AB275397)
  • IHC-P

Unknown

Immunohistochemistry (Formalin/PFA-fixed paraffin-embedded sections) - Anti-G-protein coupled receptor 30 antibody [EPR23701-79] - BSA and Azide free (AB275397)

This data was developed using ab260033, the same antibody clone in a different buffer formulation.

Immunohistochemical analysis of paraffin-embedded Mouse placenta tissue labeling G-protein coupled receptor 30 with 260033 at 1/200 (2.565 ug/ml) dilution followed by a ready to use Rabbit specific IHC polymer detection kit HRP/DAB (ab209101). Cytoplasmic staining on mouse placenta. The section was incubated with ab260033 for 30 mins at room temperature. The immunostaining was performed on a Leica Biosystems BOND® RX instrument. Counterstained with Hematoxylin.

Secondary antibody only control : Secondary antibody is a ready to use Rabbit specific IHC polymer detection kit HRP/DAB (ab209101).

Heat mediated antigen retrieval with Tris-EDTA buffer (pH 9.0, epitope retrieval solution2) for 20 mins.

Immunohistochemistry (Formalin/PFA-fixed paraffin-embedded sections) - Anti-G-protein coupled receptor 30 antibody [EPR23701-79] - BSA and Azide free (AB275397)
  • IHC-P

Unknown

Immunohistochemistry (Formalin/PFA-fixed paraffin-embedded sections) - Anti-G-protein coupled receptor 30 antibody [EPR23701-79] - BSA and Azide free (AB275397)

This data was developed using ab260033, the same antibody clone in a different buffer formulation.

Immunohistochemical analysis of paraffin-embedded Rat kidney tissue labeling G-protein coupled receptor 30 with 260033 at 1/200 (2.565 ug/ml) dilution followed by a ready to use Rabbit specific IHC polymer detection kit HRP/DAB (ab209101). Cytoplasmic staining on rat kidney PMID : 21354433. The section was incubated with ab260033 for 30 mins at room temperature. The immunostaining was performed on a Leica Biosystems BOND® RX instrument. Counterstained with Hematoxylin.

Secondary antibody only control : Secondary antibody is a ready to use Rabbit specific IHC polymer detection kit HRP/DAB (ab209101).

Heat mediated antigen retrieval with Tris-EDTA buffer (pH 9.0, epitope retrieval solution2) for 20 mins.

  • Unconjugated

    Anti-G-protein coupled receptor 30 antibody [EPR23701-79]

  • 603 Alexa Fluor® 568

    Alexa Fluor® 568 Anti-G-protein coupled receptor 30 antibody [EPR23701-79]

  • 519 Alexa Fluor® 488

    Alexa Fluor® 488 Anti-G-protein coupled receptor 30 antibody [EPR23701-79]

  • 665 Alexa Fluor® 647

    Alexa Fluor® 647 Anti-G-protein coupled receptor 30 antibody [EPR23701-79]

  • 775 Alexa Fluor® 750

    Alexa Fluor® 750 Anti-G-protein coupled receptor 30 antibody [EPR23701-79]

  • 565 Alexa Fluor® 555

    Alexa Fluor® 555 Anti-G-protein coupled receptor 30 antibody [EPR23701-79]

  • 617 Alexa Fluor® 594

    Alexa Fluor® 594 Anti-G-protein coupled receptor 30 antibody [EPR23701-79]

Key facts

Host species

Rabbit

Clonality

Monoclonal

Clone number

EPR23701-79

Isotype

IgG

Carrier free

Yes

Reacts with

Mouse, Rat, Human

Applications

WB, IHC-P

applications

Immunogen

The exact immunogen used to generate this antibody is proprietary information.

Reactivity data

{ "title": "Reactivity Data", "filters": { "stats": ["", "Species", "Dilution Info", "Notes"], "tabs": { "all-applications": {"fullname" : "All Applications", "shortname": "All Applications"}, "ICCIF" : {"fullname" : "Immunocytochemistry/ Immunofluorescence", "shortname":"ICC/IF"}, "IP" : {"fullname" : "Immunoprecipitation", "shortname":"IP"}, "FlowCyt" : {"fullname" : "Flow Cytometry", "shortname":"Flow Cyt"}, "WB" : {"fullname" : "Western blot", "shortname":"WB"}, "IHCP" : {"fullname" : "Immunohistochemistry (Formalin/PFA-fixed paraffin-embedded sections)", "shortname":"IHC-P"} }, "product-promise": { "all": "all", "testedAndGuaranteed": "tested", "guaranteed": "expected", "predicted": "predicted", "notRecommended": "not-recommended" } }, "values": { "Human": { "ICCIF-species-checked": "notRecommended", "ICCIF-species-dilution-info": "", "ICCIF-species-notes": "<p></p>", "IP-species-checked": "notRecommended", "IP-species-dilution-info": "", "IP-species-notes": "<p></p>", "FlowCyt-species-checked": "notRecommended", "FlowCyt-species-dilution-info": "", "FlowCyt-species-notes": "<p></p>", "WB-species-checked": "testedAndGuaranteed", "WB-species-dilution-info": "", "WB-species-notes": "<p></p>", "IHCP-species-checked": "testedAndGuaranteed", "IHCP-species-dilution-info": "", "IHCP-species-notes": "<p></p> Perform heat-mediated antigen retrieval with Tris/EDTA buffer pH 9.0 before commencing with IHC staining protocol." }, "Mouse": { "ICCIF-species-checked": "notRecommended", "ICCIF-species-dilution-info": "", "ICCIF-species-notes": "<p></p> Perform heat-mediated antigen retrieval with Tris/EDTA buffer pH 9.0 before commencing with IHC staining protocol.", "IP-species-checked": "notRecommended", "IP-species-dilution-info": "", "IP-species-notes": "<p></p>", "FlowCyt-species-checked": "notRecommended", "FlowCyt-species-dilution-info": "", "FlowCyt-species-notes": "<p></p>", "WB-species-checked": "notRecommended", "WB-species-dilution-info": "", "WB-species-notes": "<p></p>", "IHCP-species-checked": "testedAndGuaranteed", "IHCP-species-dilution-info": "", "IHCP-species-notes": "<p></p> Perform heat-mediated antigen retrieval with Tris/EDTA buffer pH 9.0 before commencing with IHC staining protocol." }, "Rat": { "ICCIF-species-checked": "notRecommended", "ICCIF-species-dilution-info": "", "ICCIF-species-notes": "<p></p>", "IP-species-checked": "notRecommended", "IP-species-dilution-info": "", "IP-species-notes": "<p></p>", "FlowCyt-species-checked": "notRecommended", "FlowCyt-species-dilution-info": "", "FlowCyt-species-notes": "<p></p>", "WB-species-checked": "notRecommended", "WB-species-dilution-info": "", "WB-species-notes": "<p></p>", "IHCP-species-checked": "testedAndGuaranteed", "IHCP-species-dilution-info": "", "IHCP-species-notes": "<p></p> Perform heat-mediated antigen retrieval with Tris/EDTA buffer pH 9.0 before commencing with IHC staining protocol." } } }

Product details

ab275397 is the carrier-free version of ab260033.

Patented technology
Our RabMAb® technology is a patented hybridoma-based technology for making rabbit monoclonal antibodies. For details on our patents, please refer to RabMAb® patents.

What are the advantages of a recombinant monoclonal antibody?
This product is a recombinant monoclonal antibody, which offers several advantages including:

  • - High batch-to-batch consistency and reproducibility
  • - Improved sensitivity and specificity
  • - Long-term security of supply
  • - Animal-free batch production

For more information, read more on recombinant antibodies.

Conjugation ready
Our carrier-free antibodies are typically supplied in a PBS-only formulation, purified and free of BSA, sodium azide and glycerol. This conjugation-ready format is designed for use with fluorochromes, metal isotopes, oligonucleotides, and enzymes, which makes them ideal for antibody labelling, functional and cell-based assays, flow-based assays (e.g. mass cytometry) and Multiplex Imaging applications.

Use our conjugation kits for antibody conjugates that are ready-to-use in as little as 20 minutes with 1 minute hands-on-time and 100% antibody recovery: available for fluorescent dyes, HRP, biotin and gold.

Compatibility
This product is compatible with the Maxpar® Antibody Labeling Kit from Fluidigm, without the need for antibody preparation. Maxpar® is a trademark of Fluidigm Canada Inc.

Properties and storage information

Form
Liquid
Purification technique
Affinity purification Protein A
Storage buffer
Constituents: 100% PBS
Shipped at conditions
Blue Ice
Appropriate short-term storage conditions
+4°C
Appropriate long-term storage conditions
+4°C

Product protocols

For this product, it's our understanding that no specific protocols are required. You can visit:

Target data

G-protein coupled estrogen receptor that binds to 17-beta-estradiol (E2) with high affinity, leading to rapid and transient activation of numerous intracellular signaling pathways. Stimulates cAMP production, calcium mobilization and tyrosine kinase Src inducing the release of heparin-bound epidermal growth factor (HB-EGF) and subsequent transactivation of the epidermal growth factor receptor (EGFR), activating downstream signaling pathways such as PI3K/Akt and ERK/MAPK. Mediates pleiotropic functions among others in the cardiovascular, endocrine, reproductive, immune and central nervous systems. Has a role in cardioprotection by reducing cardiac hypertrophy and perivascular fibrosis in a RAMP3-dependent manner. Regulates arterial blood pressure by stimulating vasodilation and reducing vascular smooth muscle and microvascular endothelial cell proliferation. Plays a role in blood glucose homeostasis contributing to the insulin secretion response by pancreatic beta cells. Triggers mitochondrial apoptosis during pachytene spermatocyte differentiation. Stimulates uterine epithelial cell proliferation. Enhances uterine contractility in response to oxytocin. Contributes to thymic atrophy by inducing apoptosis. Attenuates TNF-mediated endothelial expression of leukocyte adhesion molecules. Promotes neuritogenesis in developing hippocampal neurons. Plays a role in acute neuroprotection against NMDA-induced excitotoxic neuronal death. Increases firing activity and intracellular calcium oscillations in luteinizing hormone-releasing hormone (LHRH) neurons. Inhibits early osteoblast proliferation at growth plate during skeletal development. Inhibits mature adipocyte differentiation and lipid accumulation. Involved in the recruitment of beta-arrestin 2 ARRB2 at the plasma membrane in epithelial cells. Functions also as a receptor for aldosterone mediating rapid regulation of vascular contractibility through the PI3K/ERK signaling pathway. Involved in cancer progression regulation. Stimulates cancer-associated fibroblast (CAF) proliferation by a rapid genomic response through the EGFR/ERK transduction pathway. Associated with EGFR, may act as a transcription factor activating growth regulatory genes (c-fos, cyclin D1). Promotes integrin alpha-5/beta-1 and fibronectin (FN) matrix assembly in breast cancer cells.
See full target information GPER1

Product promise

We are committed to supporting your work with high-quality reagents, and we're here for you every step of the way. In the unlikely event that one of our products does not perform as expected, you're protected by our Product Promise.
For full details, please see our Terms & Conditions

Please note: All products are 'FOR RESEARCH USE ONLY. NOT FOR USE IN DIAGNOSTIC OR THERAPEUTIC PROCEDURES'.

For licensing inquiries, please contact partnerships@abcam.com