JavaScript is disabled in your browser. Please enable JavaScript to view this website.
AB240246

Anti-G3BP antibody [EPR13985(B)] - BSA and Azide free

  • BOND RX™ Validated
  • RabMAb
  • Recombinant
  • KO Validated
  • What is this?

Be the first to review this product! Submit a review

|

(0 Publication)

Rabbit Recombinant Monoclonal G3BP antibody. Carrier free. Suitable for IP, Flow Cyt, WB, ICC/IF, IHC-P and reacts with Human samples.

View Alternative Names

G3BP, G3BP1, Ras GTPase-activating protein-binding protein 1, G3BP-1, ATP-dependent DNA helicase VIII, GAP SH3 domain-binding protein 1, hDH VIII

6 Images
Flow Cytometry - Anti-G3BP antibody [EPR13985(B)] - BSA and Azide free (AB240246)
  • Flow Cyt

Lab

Flow Cytometry - Anti-G3BP antibody [EPR13985(B)] - BSA and Azide free (AB240246)

This data was developed using ab181149, the same antibody clone in a different buffer formulation.
Flow Cytometry analysis of Jurkat (Human T cell leukemia T lymphocyte) cells labelling G3BP with Purified ab181149 at 1 : 20 dilution (5 μg/ml) (Red). Cells were fixed with 4% Paraformaldehyde and permeabilised with 90% Methanol. A Goat anti rabbit IgG (Alexa Fluor® 488, ab150081) secondary antibody was used at 1 : 2000. Isotype control - Rabbit monoclonal IgG (Black). Unlabelled control - Cell without incubation with primary antibody and secondary antibody (Blue).

Immunocytochemistry/ Immunofluorescence - Anti-G3BP antibody [EPR13985(B)] - BSA and Azide free (AB240246)
  • ICC/IF

Lab

Immunocytochemistry/ Immunofluorescence - Anti-G3BP antibody [EPR13985(B)] - BSA and Azide free (AB240246)

This data was developed using ab181149, the same antibody clone in a different buffer formulation.
Immunocytochemistry analysis of Jurkat (Human T cell leukemia T lymphocyte) cells labeling G3BP with Purified ab181149 at 1 : 50 dilution (2.4 μg/ml). Cells were fixed in 4% Paraformaldehyde and permeabilized with 0.1% tritonX-100. Cells were counterstained with ab195889 Anti-alpha Tubulin antibody [DM1A]+H21 : L21 - Microtubule Marker (Alexa Fluor® 594) 1 : 200 (2.5 μg/ml). Goat anti rabbit IgG (Alexa Fluor® 488, ab150077) was used as the secondary antibody at 1 : 1000 (2 μg/ml) dilution. DAPI (blue) was used as nuclear counterstain. PBS instead of the primary antibody was used as the secondary antibody only control.

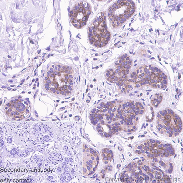
Immunohistochemistry (Formalin/PFA-fixed paraffin-embedded sections) - Anti-G3BP antibody [EPR13985(B)] - BSA and Azide free (AB240246)
  • IHC-P

Lab

Immunohistochemistry (Formalin/PFA-fixed paraffin-embedded sections) - Anti-G3BP antibody [EPR13985(B)] - BSA and Azide free (AB240246)

This data was developed using ab181149, the same antibody clone in a different buffer formulation.
Immunohistochemistry (Formalin/PFA-fixed paraffin-embedded sections) analysis of human breast carcinoma tissue sections labeling G3BP with Purified ab181149 at 1 : 300 (0.4 μg/ml). Heat mediated antigen retrieval was performed using Heat mediated antigen retrieval using Bond™ Epitope Retrieval Solution 2 (pH 9.0) . Tissue was counterstained with Hematoxylin. Rabbit specific IHC polymer detection kit HRP/DAB (ab209101) secondary antibody was used at 1 : 0 dilution. PBS instead of the primary antibody was used as the negative control.

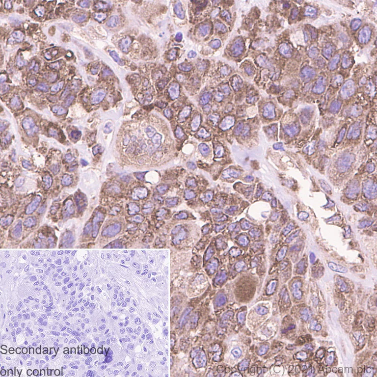
Immunohistochemistry (Formalin/PFA-fixed paraffin-embedded sections) - Anti-G3BP antibody [EPR13985(B)] - BSA and Azide free (AB240246)
  • IHC-P

Lab

Immunohistochemistry (Formalin/PFA-fixed paraffin-embedded sections) - Anti-G3BP antibody [EPR13985(B)] - BSA and Azide free (AB240246)

This data was developed using ab181149, the same antibody clone in a different buffer formulation.
Immunohistochemistry (Formalin/PFA-fixed paraffin-embedded sections) analysis of human breast tissue sections labeling G3BP with Purified ab181149 at 1 : 300 (0.4 μg/ml). Heat mediated antigen retrieval was performed using Heat mediated antigen retrieval using Bond™ Epitope Retrieval Solution 2 (pH 9.0) . Tissue was counterstained with Hematoxylin. Rabbit specific IHC polymer detection kit HRP/DAB (ab209101) secondary antibody was used at 1 : 0 dilution. PBS instead of the primary antibody was used as the negative control.

Immunoprecipitation - Anti-G3BP antibody [EPR13985(B)] - BSA and Azide free (AB240246)
  • IP

Lab

Immunoprecipitation - Anti-G3BP antibody [EPR13985(B)] - BSA and Azide free (AB240246)

This data was developed using ab181149, the same antibody clone in a different buffer formulation.
Purified ab181149 at 1 : 20 dilution (0.6μg) immunoprecipitating G3BP in Ramos whole cell lysate.
Lane 1 (input) : Ramos (Human Burkitt's lymphoma B lymphocyte) whole cell lysate 10 μg
Lane 2 (+) : ab240246 + Ramos whole cell lysate.
Lane 3 (-) : Rabbit monoclonal IgG (ab172730) instead of ab181149 in Ramos whole cell lysate.
VeriBlot for IP Detection Reagent (HRP)(ab131366) (1 : 1000 dilution) was used for Western blotting.
Blocking Buffer and concentration : 5% NFDM/TBST.
Diluting buffer and concentration : 5% NFDM/TBST.

All lanes:

Immunoprecipitation - Anti-G3BP antibody [EPR13985(B)] (<a href='/en-us/products/primary-antibodies/g3bp-antibody-epr13985b-ab181149'>ab181149</a>)

Predicted band size: 52 kDa

false

Western blot - Anti-G3BP antibody [EPR13985(B)] - BSA and Azide free (AB240246)
  • WB

Unknown

Western blot - Anti-G3BP antibody [EPR13985(B)] - BSA and Azide free (AB240246)

This data was developed using ab181149, the same antibody clone in a different buffer formulation.

All lanes:

Western blot - Anti-G3BP antibody [EPR13985(B)] (<a href='/en-us/products/primary-antibodies/g3bp-antibody-epr13985b-ab181149'>ab181149</a>) at 1/20000 dilution

Lane 1:

Ramos (Human Burkitt's lymphoma B lymphocyte) whole cell lysate

Lane 2:

Raji (Human Burkitt's lymphoma B lymphocyte) whole cell lysate

Secondary

All lanes:

Western blot - Goat Anti-Rabbit IgG H&L (HRP) (<a href='/en-us/products/secondary-antibodies/goat-rabbit-igg-h-l-hrp-ab97051'>ab97051</a>) at 1/20000 dilution

Predicted band size: 52 kDa

false

  • Unconjugated

    Anti-G3BP antibody [EPR13985(B)]

  • 775 Alexa Fluor® 750

    Alexa Fluor® 750 Anti-G3BP antibody [EPR13985(B)]

  • 578 PE

    PE Anti-G3BP antibody [EPR13985(B)]

  • HRP

    HRP Anti-G3BP antibody [EPR13985(B)]

  • 617 Alexa Fluor® 594

    Alexa Fluor® 594 Anti-G3BP antibody [EPR13985(B)]

  • 565 Alexa Fluor® 555

    Alexa Fluor® 555 Anti-G3BP antibody [EPR13985(B)]

  • 603 Alexa Fluor® 568

    Alexa Fluor® 568 Anti-G3BP antibody [EPR13985(B)]

  • 665 Alexa Fluor® 647

    Alexa Fluor® 647 Anti-G3BP antibody [EPR13985(B)]

  • 519 Alexa Fluor® 488

    Alexa Fluor® 488 Anti-G3BP antibody [EPR13985(B)]

  • 660 APC

    APC Anti-G3BP antibody [EPR13985(B)]

Key facts

Host species

Rabbit

Clonality

Monoclonal

Clone number

EPR13985(B)

Isotype

IgG

Carrier free

Yes

Reacts with

Human

Applications

ICC/IF, IHC-P, Flow Cyt, WB, IP

applications

Immunogen

The exact immunogen used to generate this antibody is proprietary information.

Reactivity data

{ "title": "Reactivity Data", "filters": { "stats": ["", "Species", "Dilution Info", "Notes"], "tabs": { "all-applications": {"fullname" : "All Applications", "shortname": "All Applications"}, "IP" : {"fullname" : "Immunoprecipitation", "shortname":"IP"}, "FlowCyt" : {"fullname" : "Flow Cytometry", "shortname":"Flow Cyt"}, "WB" : {"fullname" : "Western blot", "shortname":"WB"}, "ICCIF" : {"fullname" : "Immunocytochemistry/ Immunofluorescence", "shortname":"ICC/IF"}, "IHCP" : {"fullname" : "Immunohistochemistry (Formalin/PFA-fixed paraffin-embedded sections)", "shortname":"IHC-P"} }, "product-promise": { "all": "all", "testedAndGuaranteed": "tested", "guaranteed": "expected", "predicted": "predicted", "notRecommended": "not-recommended" } }, "values": { "Human": { "IP-species-checked": "testedAndGuaranteed", "IP-species-dilution-info": "", "IP-species-notes": "<p></p>", "FlowCyt-species-checked": "testedAndGuaranteed", "FlowCyt-species-dilution-info": "", "FlowCyt-species-notes": "<p></p>", "WB-species-checked": "testedAndGuaranteed", "WB-species-dilution-info": "", "WB-species-notes": "<p>This antibody is not suitable for tissue lysate.</p>", "ICCIF-species-checked": "testedAndGuaranteed", "ICCIF-species-dilution-info": "", "ICCIF-species-notes": "<p></p>", "IHCP-species-checked": "testedAndGuaranteed", "IHCP-species-dilution-info": "", "IHCP-species-notes": "<p></p>" } } }

Product details

ab240246 is the carrier-free version of ab181149.

Patented technology
Our RabMAb® technology is a patented hybridoma-based technology for making rabbit monoclonal antibodies. For details on our patents, please refer to RabMAb® patents.

What are the advantages of a recombinant monoclonal antibody?
This product is a recombinant monoclonal antibody, which offers several advantages including:

  • - High batch-to-batch consistency and reproducibility
  • - Improved sensitivity and specificity
  • - Long-term security of supply
  • - Animal-free batch production

For more information, read more on recombinant antibodies.

Conjugation ready
Our carrier-free antibodies are typically supplied in a PBS-only formulation, purified and free of BSA, sodium azide and glycerol. This conjugation-ready format is designed for use with fluorochromes, metal isotopes, oligonucleotides, and enzymes, which makes them ideal for antibody labelling, functional and cell-based assays, flow-based assays (e.g. mass cytometry) and Multiplex Imaging applications.

Use our conjugation kits for antibody conjugates that are ready-to-use in as little as 20 minutes with 1 minute hands-on-time and 100% antibody recovery: available for fluorescent dyes, HRP, biotin and gold.

Compatibility
This product is compatible with the Maxpar® Antibody Labeling Kit from Fluidigm, without the need for antibody preparation. Maxpar® is a trademark of Fluidigm Canada Inc.

Properties and storage information

Form
Liquid
Purification technique
Affinity purification Protein A
Storage buffer
pH: 7.2 - 7.4 Constituents: PBS
Shipped at conditions
Blue Ice
Appropriate short-term storage conditions
+4°C
Appropriate long-term storage conditions
+4°C
Storage information
Do Not Freeze

Product protocols

For this product, it's our understanding that no specific protocols are required. You can visit:

Target data

Protein involved in various processes, such as stress granule formation and innate immunity (PubMed : 12642610, PubMed : 20180778, PubMed : 23279204, PubMed : 30510222, PubMed : 30804210). Plays an essential role in stress granule formation (PubMed : 12642610, PubMed : 20180778, PubMed : 23279204, PubMed : 32302570, PubMed : 32302571, PubMed : 32302572, PubMed : 34739333, PubMed : 35977029, PubMed : 36183834, PubMed : 36279435, PubMed : 36692217, PubMed : 37379838). Stress granules are membraneless compartments that store mRNAs and proteins, such as stalled translation pre-initiation complexes, in response to stress (PubMed : 12642610, PubMed : 20180778, PubMed : 23279204, PubMed : 27022092, PubMed : 32302570, PubMed : 32302571, PubMed : 32302572, PubMed : 36279435, PubMed : 37379838). Promotes formation of stress granules phase-separated membraneless compartment by undergoing liquid-liquid phase separation (LLPS) upon unfolded RNA-binding : functions as a molecular switch that triggers RNA-dependent LLPS in response to a rise in intracellular free RNA concentrations (PubMed : 32302570, PubMed : 32302571, PubMed : 32302572, PubMed : 34739333, PubMed : 36279435, PubMed : 36692217). Also acts as an ATP- and magnesium-dependent helicase : unwinds DNA/DNA, RNA/DNA, and RNA/RNA substrates with comparable efficiency (PubMed : 9889278). Acts unidirectionally by moving in the 5' to 3' direction along the bound single-stranded DNA (PubMed : 9889278). Unwinds preferentially partial DNA and RNA duplexes having a 17 bp annealed portion and either a hanging 3' tail or hanging tails at both 5'- and 3'-ends (PubMed : 9889278). Plays an essential role in innate immunity by promoting CGAS and RIGI activity (PubMed : 30510222, PubMed : 30804210). Participates in the DNA-triggered cGAS/STING pathway by promoting the DNA binding and activation of CGAS (PubMed : 30510222). Triggers the condensation of cGAS, a process probably linked to the formation of membrane-less organelles (PubMed : 34779554). Enhances also RIGI-induced type I interferon production probably by helping RIGI at sensing pathogenic RNA (PubMed : 30804210). May also act as a phosphorylation-dependent sequence-specific endoribonuclease in vitro : Cleaves exclusively between cytosine and adenine and cleaves MYC mRNA preferentially at the 3'-UTR (PubMed : 11604510).
See full target information G3BP1

Product promise

We are committed to supporting your work with high-quality reagents, and we're here for you every step of the way. In the unlikely event that one of our products does not perform as expected, you're protected by our Product Promise.
For full details, please see our Terms & Conditions

Associated Products

Select an associated product type
Alternative Product
Primary Antibodies

AB217225

Alexa Fluor® 594 Anti-G3BP antibody [EPR13986(B)]

primary-antibodies

alexa-fluor-594-g3bp-antibody-epr13986b-ab217225

0

(0 reviews)

Alternative Product
Primary Antibodies

AB181150

Anti-G3BP antibody [EPR13986(B)]

primary-antibodies

g3bp-antibody-epr13986b-ab181150

0

(0 reviews)

Alternative Product
Primary Antibodies

AB215944

Alexa Fluor® 647 Anti-G3BP antibody [EPR13986(B)]

primary-antibodies

alexa-fluor-647-g3bp-antibody-epr13986b-ab215944

0

(0 reviews)

Alternative Product
Primary Antibodies

AB214946

Alexa Fluor® 488 Anti-G3BP antibody [EPR13986(B)]

primary-antibodies

alexa-fluor-488-g3bp-antibody-epr13986b-ab214946

0

(0 reviews)

Alternative Version
Primary Antibodies

AB303137

PE Anti-G3BP antibody [EPR13985(B)]

primary-antibodies

pe-g3bp-antibody-epr13985b-ab303137

0

(0 reviews)

Alternative Version
Primary Antibodies

AB303139

HRP Anti-G3BP antibody [EPR13985(B)]

primary-antibodies

hrp-g3bp-antibody-epr13985b-ab303139

0

(0 reviews)

Alternative Version
Primary Antibodies

AB310435

Alexa Fluor® 594 Anti-G3BP antibody [EPR13985(B)]

primary-antibodies

alexa-fluor-594-g3bp-antibody-epr13985b-ab310435

0

(0 reviews)

Alternative Version
Primary Antibodies

AB311962

Alexa Fluor® 555 Anti-G3BP antibody [EPR13985(B)]

primary-antibodies

alexa-fluor-555-g3bp-antibody-epr13985b-ab311962

0

(0 reviews)

Alternative Version
Primary Antibodies

AB312434

Alexa Fluor® 568 Anti-G3BP antibody [EPR13985(B)]

primary-antibodies

alexa-fluor-568-g3bp-antibody-epr13985b-ab312434

0

(0 reviews)

Alternative Version
Primary Antibodies

AB217087

Alexa Fluor® 647 Anti-G3BP antibody [EPR13985(B)]

primary-antibodies

alexa-fluor-647-g3bp-antibody-epr13985b-ab217087

0

(0 reviews)

Alternative Version
Primary Antibodies

AB216928

Alexa Fluor® 488 Anti-G3BP antibody [EPR13985(B)]

primary-antibodies

alexa-fluor-488-g3bp-antibody-epr13985b-ab216928

0

(0 reviews)

Alternative Version
Primary Antibodies

AB303138

APC Anti-G3BP antibody [EPR13985(B)]

primary-antibodies

apc-g3bp-antibody-epr13985b-ab303138

0

(0 reviews)

Please note: All products are 'FOR RESEARCH USE ONLY. NOT FOR USE IN DIAGNOSTIC OR THERAPEUTIC PROCEDURES'.

For licensing inquiries, please contact partnerships@abcam.com