JavaScript is disabled in your browser. Please enable JavaScript to view this website.
AB181150

Anti-G3BP antibody [EPR13986(B)]

  • RabMAb
  • Recombinant
  • KO Validated
  • 20ul selling size
  • What is this?

Be the first to review this product! Submit a review

|

(32 Publications)

Anti-G3BP antibody [EPR13986(B)] (ab181150) is a rabbit monoclonal antibody detecting G3BP in Western Blot, Flow Cytometry (Intra), Flow Cytometry, IP, IHC-P, ICC/IF. Suitable for Human, Mouse, Rat.

- KO validated for confirmed specificity
- Biophysical QC for unrivalled batch-batch consistency
- Over 20 publications

View Alternative Names

G3BP, G3BP1, Ras GTPase-activating protein-binding protein 1, G3BP-1, ATP-dependent DNA helicase VIII, GAP SH3 domain-binding protein 1, hDH VIII

12 Images
Immunocytochemistry/ Immunofluorescence - Anti-G3BP antibody [EPR13986(B)] (AB181150)
  • ICC/IF

Unknown

Immunocytochemistry/ Immunofluorescence - Anti-G3BP antibody [EPR13986(B)] (AB181150)

Immunocytochemistry/ Immunofluorescence analysis of HeLa (Human cervix adenocarcinoma epithelial cell) cells labeling G3BP with purified ab181150 at 1/500 dilution (0.7 μg/ml). Cells were fixed in 4% Paraformaldehyde and permeabilized with 0.1% tritonX-100. Cells were counterstained with ab195889 Anti-alpha Tubulin antibody [DM1A] - Microtubule Marker (Alexa Fluor® 594) at 1/200 (2.5 μg/ml). Goat anti rabbit IgG (Alexa Fluor® 488, ab150077) was used as the secondary antibody at 1/1000 (2 μg/ml) dilution. DAPI (blue) was used as nuclear counterstain. PBS instead of the primary antibody was used as the secondary antibody only control.

Immunocytochemistry/ Immunofluorescence - Anti-G3BP antibody [EPR13986(B)] (AB181150)
  • ICC/IF

Supplier Data

Immunocytochemistry/ Immunofluorescence - Anti-G3BP antibody [EPR13986(B)] (AB181150)

Immunofluorescent analysis of 4% paraformaldehyde fixed 293 cells staining G3BP using ab181150 (unpurified) at 1/100 dilution, and Alexa Fluor®555 stained Goat anti Rabbit IgG at 1/200 dilution as a secondary antibody (red). Dapi counterstain (blue)

Flow Cytometry (Intracellular) - Anti-G3BP antibody [EPR13986(B)] (AB181150)
  • Flow Cyt (Intra)

Unknown

Flow Cytometry (Intracellular) - Anti-G3BP antibody [EPR13986(B)] (AB181150)

Intracellular Flow Cytometry analysis of HeLa (Human cervix adenocarcinoma epithelial cell) cells labeling G3BP with purified ab181150 at 1/30 dilution (10μg/ml) (red). Cells were fixed with 4% Paraformaldehyde and permeabilised with 90% Methanol. A Goat anti rabbit IgG (Alexa Fluor® 488, ab150077) secondary antibody was used at 1/2000. Isotype control - Rabbit monoclonal IgG (Black). Unlabeled control - Cell without incubation with primary antibody and secondary antibody (Blue).

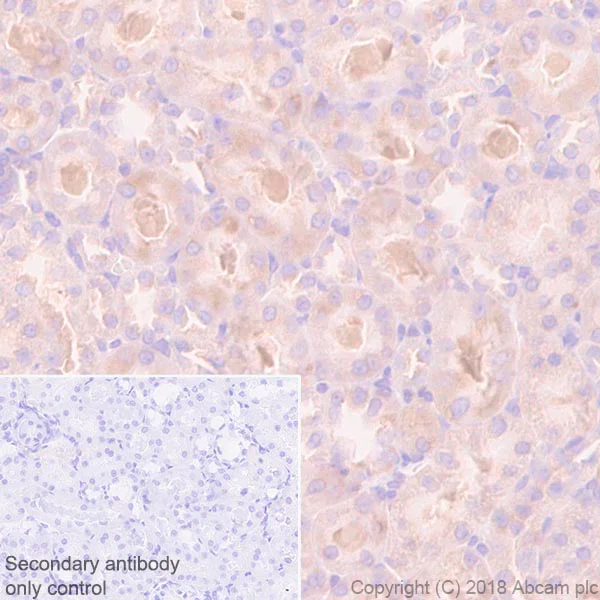
Immunohistochemistry (Formalin/PFA-fixed paraffin-embedded sections) - Anti-G3BP antibody [EPR13986(B)] (AB181150)
  • IHC-P

Unknown

Immunohistochemistry (Formalin/PFA-fixed paraffin-embedded sections) - Anti-G3BP antibody [EPR13986(B)] (AB181150)

Immunohistochemistry (Formalin/PFA-fixed paraffin-embedded sections) analysis of Human hepatocellular cancer tissue sections labeling G3BP with purified ab181150 at 1/50 dilution (6.86 μg/ml). Heat mediated antigen retrieval was performed using Citrate buffer, pH 6.0. ImmunoHistoProbe one step HRP Polymer (ready to use) was used as the secondary antibody. Negative control : PBS instead of the primary antibody. Hematoxylin was used as a counterstain.

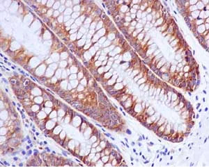
Immunohistochemistry (Formalin/PFA-fixed paraffin-embedded sections) - Anti-G3BP antibody [EPR13986(B)] (AB181150)
  • IHC-P

Supplier Data

Immunohistochemistry (Formalin/PFA-fixed paraffin-embedded sections) - Anti-G3BP antibody [EPR13986(B)] (AB181150)

Immunohistochemical analysis of paraffin-embedded Human colon tissue staining G3BP using ab181150 (unpurified) at 1/100 dilution, and prediluted HRP Polymer for Rabbit IgG as a secondary antibody with Hematoxylin counterstain.

Immunoprecipitation - Anti-G3BP antibody [EPR13986(B)] (AB181150)
  • IP

Supplier Data

Immunoprecipitation - Anti-G3BP antibody [EPR13986(B)] (AB181150)

Blocking and diluting buffer and concentration : 5% NFDM/TBST.

Western blot analysis of G3BP in immunoprecipitation pellets from Ramos cell lysate, using ab181151 (unpurified) at a 1/50 dilution. Goat Anti-Rabbit IgG, (H+L), Peroxidase conjugated was used as a secondary antibody at 1/1000 dilution.

All lanes:

Immunoprecipitation - Anti-G3BP antibody [EPR13986(B)] (ab181150) at 1/50 dilution

All lanes:

Immunoprecipitate from Ramos cell lysate using ab181150

Secondary

All lanes:

Peroxidase conjugated Goat anti-Rabbit IgG (H+L) at 1/1000 dilution

Predicted band size: 52 kDa

false

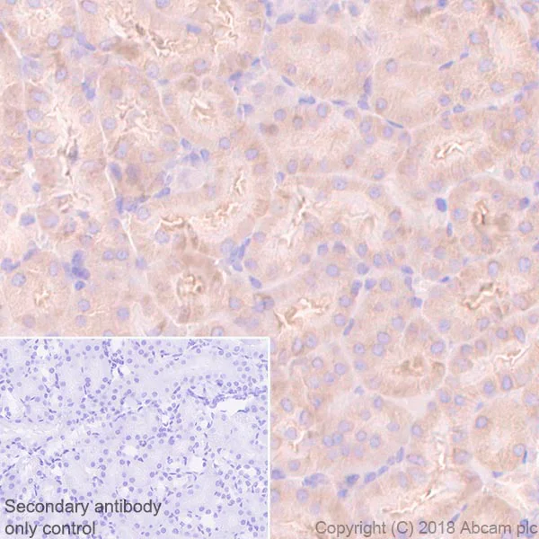
Immunohistochemistry (Formalin/PFA-fixed paraffin-embedded sections) - Anti-G3BP antibody [EPR13986(B)] (AB181150)
  • IHC-P

Unknown

Immunohistochemistry (Formalin/PFA-fixed paraffin-embedded sections) - Anti-G3BP antibody [EPR13986(B)] (AB181150)

Immunohistochemistry (Formalin/PFA-fixed paraffin-embedded sections) analysis of Rat kidney tissue sections labeling G3BP with purified ab181150 at 1/50 dilution (6.86 μg/ml). Heat mediated antigen retrieval was performed using Citrate buffer, pH 6.0. ImmunoHistoProbe one step HRP Polymer (ready to use) was used as the secondary antibody. Negative control : PBS instead of the primary antibody. Hematoxylin was used as a counterstain.

Immunohistochemistry (Formalin/PFA-fixed paraffin-embedded sections) - Anti-G3BP antibody [EPR13986(B)] (AB181150)
  • IHC-P

Unknown

Immunohistochemistry (Formalin/PFA-fixed paraffin-embedded sections) - Anti-G3BP antibody [EPR13986(B)] (AB181150)

Immunohistochemistry (Formalin/PFA-fixed paraffin-embedded sections) analysis of Mouse kidney tissue sections labeling G3BP with purified ab181150 at 1/50 dilution (6.86 μg/ml). Heat mediated antigen retrieval was performed using Citrate buffer, pH 6.0. ImmunoHistoProbe one step HRP Polymer (ready to use) was used as the secondary antibody. Negative control : PBS instead of the primary antibody. Hematoxylin was used as a counterstain.

Western blot - Anti-G3BP antibody [EPR13986(B)] (AB181150)
  • WB

Lab

Western blot - Anti-G3BP antibody [EPR13986(B)] (AB181150)

All lanes:

Western blot - Anti-G3BP antibody [EPR13986(B)] (ab181150) at 1/10000 dilution

Lane 1:

HEK-293 (Human embryonic kidney epithelial cell) whole cell lysates at 20 µg

Lane 2:

Ramos (Human Burkitt's lymphoma B lymphocyte) whole cell lysates at 20 µg

Lane 3:

PC-12 (Rat adrenal gland pheochromocytoma) whole cell lysates at 20 µg

Lane 4:

NIH/3T3 (Mouse embryonic fibroblast) whole cell lysates at 20 µg

Secondary

All lanes:

Western blot - Goat Anti-Rabbit IgG H&L (HRP) (<a href='/en-us/products/secondary-antibodies/goat-rabbit-igg-h-l-hrp-ab97051'>ab97051</a>) at 1/20000 dilution

Predicted band size: 52 kDa

Observed band size: 68 kDa

false

Western blot - Anti-G3BP antibody [EPR13986(B)] (AB181150)
  • WB

Supplier Data

Western blot - Anti-G3BP antibody [EPR13986(B)] (AB181150)

Blocking and diluting buffer and concentration : 5% NFDM/TBST.

All lanes:

Western blot - Anti-G3BP antibody [EPR13986(B)] (ab181150) at 1/5000 dilution

Lane 1:

Jurkat cell lysate at 20 µg

Lane 2:

Ramos cell lysate at 20 µg

Secondary

All lanes:

Peroxidase conjugated Goat anti-Rabbit IgG (H+L) at 1/1000 dilution

Predicted band size: 52 kDa

Observed band size: 68 kDa

false

Western blot - Anti-G3BP antibody [EPR13986(B)] (AB181150)
  • WB

Supplier Data

Western blot - Anti-G3BP antibody [EPR13986(B)] (AB181150)

Lanes 1 - 4 : Merged signal (red and green). Green - ab181150 observed at 68 kDa. Red - loading control, ab8245, observed at 37 kDa.

ab181150 was shown to specifically react with G3BP1 in wild-type A431 cells as signal was lost in G3BP1 knockout cells. Wild-type and G3BP1 knockout samples were subjected to SDS-PAGE. The membrane was blocked with 3% Milk. ab181150 and ab8245 (Mouse anti-GAPDH loading control) were incubated overnight at 4°C at 1/1000 dilution and 1/20000 dilution respectively. Blots were developed with Goat anti-Rabbit IgG H&L (IRDye® 800CW) preabsorbed ab216773 and Goat anti-Mouse IgG H&L (IRDye® 680RD) preabsorbed ab216776 secondary antibodies at 1/20000 dilution for 1 hour at room temperature before imaging.

All lanes:

Western blot - Anti-G3BP antibody [EPR13986(B)] (ab181150) at 1/1000 dilution

Lane 1:

Wild-type A-431 (Human epidermoid carcinoma cell line) whole cell lysate at 20 µg

Lane 2:

G3BP1 knockout A-431 (Human epidermoid carcinoma cell line) whole cell lysate at 20 µg

Lane 2:

Western blot - Human G3BP1 knockout A-431 cell line (<a href='/en-us/products/cell-lines/human-g3bp1-knockout-a-431-cell-line-ab261886'>ab261886</a>)

Lane 3:

Jurkat (Human T cell leukemia cell line from peripheral blood) whole cell lysate at 20 µg

Lane 4:

HEK-293 (Human epithelial cell line from embryonic kidney) whole cell lysate at 20 µg

Predicted band size: 52 kDa

false

Immunoprecipitation - Anti-G3BP antibody [EPR13986(B)] (AB181150)
  • IP

Unknown

Immunoprecipitation - Anti-G3BP antibody [EPR13986(B)] (AB181150)

ab181150 (purified) at 1/20 dilution (2ug) immunoprecipitating G3BP in Ramos whole cell lysate. Ramos (Human Burkitt's lymphoma B lymphocyte) whole cell lysate 10ug
Lane 2 (+) : ab181150 & Ramos whole cell lysate
Lane 3 (-) : Rabbit monoclonal IgG (ab172730) instead of ab181150 in Ramos whole cell lysate
For western blotting, VeriBlot for IP secondary antibody (HRP) (ab131366) was used at 1/1000 dilution.
Blocking and diluting buffer : 5% NFDM/TBST.

All lanes:

Immunoprecipitation - Anti-G3BP antibody [EPR13986(B)] (ab181150)

Predicted band size: 52 kDa

false

  • 617 Alexa Fluor® 594

    Alexa Fluor® 594 Anti-G3BP antibody [EPR13986(B)]

  • Carrier free

    Anti-G3BP antibody [EPR13986(B)] - BSA and Azide free

  • 665 Alexa Fluor® 647

    Alexa Fluor® 647 Anti-G3BP antibody [EPR13986(B)]

  • 578 PE

    PE Anti-G3BP antibody [EPR13986(B)]

  • HRP

    HRP Anti-G3BP antibody [EPR13986(B)]

  • 565 Alexa Fluor® 555

    Alexa Fluor® 555 Anti-G3BP antibody [EPR13986(B)]

  • 603 Alexa Fluor® 568

    Alexa Fluor® 568 Anti-G3BP antibody [EPR13986(B)]

  • 519 Alexa Fluor® 488

    Alexa Fluor® 488 Anti-G3BP antibody [EPR13986(B)]

  • 660 APC

    APC Anti-G3BP antibody [EPR13986(B)]

  • 775 Alexa Fluor® 750

    Alexa Fluor® 750 Anti-G3BP antibody [EPR13986(B)]

Key facts

Host species

Rabbit

Clonality

Monoclonal

Clone number

EPR13986(B)

Isotype

IgG

Carrier free

No

Reacts with

Mouse, Rat, Human

Applications

WB, IHC-P, ICC/IF, Flow Cyt (Intra), IP

applications

Immunogen

The exact immunogen used to generate this antibody is proprietary information.

Specificity

For WB, this antibody is not suitable for tissue lysate

Reactivity data

{ "title": "Reactivity Data", "filters": { "stats": ["", "Species", "Dilution Info", "Notes"], "tabs": { "all-applications": {"fullname" : "All Applications", "shortname": "All Applications"}, "IHCP" : {"fullname" : "Immunohistochemistry (Formalin/PFA-fixed paraffin-embedded sections)", "shortname":"IHC-P"}, "IP" : {"fullname" : "Immunoprecipitation", "shortname":"IP"}, "WB" : {"fullname" : "Western blot", "shortname":"WB"}, "ICCIF" : {"fullname" : "Immunocytochemistry/ Immunofluorescence", "shortname":"ICC/IF"}, "FlowCytIntra" : {"fullname" : "Flow Cytometry (Intracellular)", "shortname":"Flow Cyt (Intra)"} }, "product-promise": { "all": "all", "testedAndGuaranteed": "tested", "guaranteed": "expected", "predicted": "predicted", "notRecommended": "not-recommended" } }, "values": { "Human": { "IHCP-species-checked": "testedAndGuaranteed", "IHCP-species-dilution-info": "1/50 - 1/100", "IHCP-species-notes": "<p></p> Perform heat-mediated antigen retrieval with citrate buffer pH 6 before commencing with IHC staining protocol.", "IP-species-checked": "testedAndGuaranteed", "IP-species-dilution-info": "1/20", "IP-species-notes": "<p></p>", "WB-species-checked": "testedAndGuaranteed", "WB-species-dilution-info": "1/1000 - 1/10000", "WB-species-notes": "<p>For WB, this antibody is not suitable for tissue lysate</p>", "ICCIF-species-checked": "testedAndGuaranteed", "ICCIF-species-dilution-info": "1/500", "ICCIF-species-notes": "<p><strong>For unpurified format use at 1/50 - 1/100 dilution.</strong></p>", "FlowCytIntra-species-checked": "testedAndGuaranteed", "FlowCytIntra-species-dilution-info": "1/30", "FlowCytIntra-species-notes": "<p></p>" }, "Mouse": { "IHCP-species-checked": "testedAndGuaranteed", "IHCP-species-dilution-info": "1/50 - 1/100", "IHCP-species-notes": "<p></p> Perform heat-mediated antigen retrieval with citrate buffer pH 6 before commencing with IHC staining protocol.", "IP-species-checked": "guaranteed", "IP-species-dilution-info": "", "IP-species-notes": "", "WB-species-checked": "testedAndGuaranteed", "WB-species-dilution-info": "", "WB-species-notes": "<p></p>", "ICCIF-species-checked": "guaranteed", "ICCIF-species-dilution-info": "", "ICCIF-species-notes": "", "FlowCytIntra-species-checked": "guaranteed", "FlowCytIntra-species-dilution-info": "", "FlowCytIntra-species-notes": "" }, "Rat": { "IHCP-species-checked": "testedAndGuaranteed", "IHCP-species-dilution-info": "1/50 - 1/100", "IHCP-species-notes": "<p></p> Perform heat-mediated antigen retrieval with citrate buffer pH 6 before commencing with IHC staining protocol.", "IP-species-checked": "guaranteed", "IP-species-dilution-info": "", "IP-species-notes": "", "WB-species-checked": "guaranteed", "WB-species-dilution-info": "", "WB-species-notes": "", "ICCIF-species-checked": "guaranteed", "ICCIF-species-dilution-info": "", "ICCIF-species-notes": "", "FlowCytIntra-species-checked": "guaranteed", "FlowCytIntra-species-dilution-info": "", "FlowCytIntra-species-notes": "" } } }

Product details

What is this antibody validated in?
Anti-G3BP antibody [EPR13986(B)] (ab181150) is a rabbit recombinant monoclonal antibody and is validated for use in Western Blot (WB), Flow Cytometry (Intra), Flow Cytometry (Flow Cyt), Immunoprecipitation (IP), Immunohistochemistry (IHC-P), Immunocytochemistry/immunofluorescence (ICC/IF) in Human, Mouse, Rat samples.

What is the molecular weight of G3BP?
Anti-G3BP [EPR13986(B)] (ab181150) specifically detects a band for G3BP (UniProt: Q13283) at a molecular weight of 52kDa.

Trusted by the scientific community
Anti-G3BP [EPR13986(B)] (ab181150) was first used in a scientific publication in 2014 and has been cited over 20 times in peer-reviewed journals.

Trial sizes available!
Test your antibody or perform pre-screening before committing to a larger quantity. Sold in 10µl. Discover our selection of trial-size antibodies.

Specificity confirmed
The specificity of Anti-G3BP antibody [EPR13986(B)] (ab181150) has been confirmed by Western blot testing in G3BP1 Knockout A431 cells.

Other related products
We have a range of other formats of antibody clone [EPR13986(B)] also available for your convenience: ab181150, Alexa Fluor® 488 - ab214946, Alexa Fluor® 647 - ab215944, Alexa Fluor® 594 - ab217225, Carrier free - ab240247, PE - ab303056, APC - ab303057, HRP - ab303058, Alkaline Phosphatase - ab308720, Alexa Fluor® 555 - ab311965, Alexa Fluor® 568 - ab312437, Alexa Fluor® 750 - ab321249

Patented technology
Our RabMAb® technology is a patented hybridoma-based technology for making rabbit monoclonal antibodies. For details on our patents, please refer to RabMAb® patents.

What are the advantages of a recombinant monoclonal antibody?
This product is a recombinant monoclonal antibody, which offers several advantages including:

  • - High batch-to-batch consistency and reproducibility
  • - Improved sensitivity and specificity
  • - Long-term security of supply
  • - Animal-free batch production

For more information, read more on recombinant antibodies.

Properties and storage information

Form
Liquid
Purification technique
Affinity purification Protein A
Storage buffer
Preservative: 0.01% Sodium azide Constituents: PBS, 40% Glycerol (glycerin, glycerine), 0.05% BSA
Shipped at conditions
Blue Ice
Appropriate short-term storage duration
1-2 weeks
Appropriate short-term storage conditions
+4°C
Appropriate long-term storage conditions
-20°C
Aliquoting information
Upon delivery aliquot
Storage information
Avoid freeze / thaw cycle

Product protocols

For this product, it's our understanding that no specific protocols are required. You can visit:

Target data

Protein involved in various processes, such as stress granule formation and innate immunity (PubMed : 12642610, PubMed : 20180778, PubMed : 23279204, PubMed : 30510222, PubMed : 30804210). Plays an essential role in stress granule formation (PubMed : 12642610, PubMed : 20180778, PubMed : 23279204, PubMed : 32302570, PubMed : 32302571, PubMed : 32302572, PubMed : 34739333, PubMed : 35977029, PubMed : 36183834, PubMed : 36279435, PubMed : 36692217, PubMed : 37379838). Stress granules are membraneless compartments that store mRNAs and proteins, such as stalled translation pre-initiation complexes, in response to stress (PubMed : 12642610, PubMed : 20180778, PubMed : 23279204, PubMed : 27022092, PubMed : 32302570, PubMed : 32302571, PubMed : 32302572, PubMed : 36279435, PubMed : 37379838). Promotes formation of stress granules phase-separated membraneless compartment by undergoing liquid-liquid phase separation (LLPS) upon unfolded RNA-binding : functions as a molecular switch that triggers RNA-dependent LLPS in response to a rise in intracellular free RNA concentrations (PubMed : 32302570, PubMed : 32302571, PubMed : 32302572, PubMed : 34739333, PubMed : 36279435, PubMed : 36692217). Also acts as an ATP- and magnesium-dependent helicase : unwinds DNA/DNA, RNA/DNA, and RNA/RNA substrates with comparable efficiency (PubMed : 9889278). Acts unidirectionally by moving in the 5' to 3' direction along the bound single-stranded DNA (PubMed : 9889278). Unwinds preferentially partial DNA and RNA duplexes having a 17 bp annealed portion and either a hanging 3' tail or hanging tails at both 5'- and 3'-ends (PubMed : 9889278). Plays an essential role in innate immunity by promoting CGAS and RIGI activity (PubMed : 30510222, PubMed : 30804210). Participates in the DNA-triggered cGAS/STING pathway by promoting the DNA binding and activation of CGAS (PubMed : 30510222). Triggers the condensation of cGAS, a process probably linked to the formation of membrane-less organelles (PubMed : 34779554). Enhances also RIGI-induced type I interferon production probably by helping RIGI at sensing pathogenic RNA (PubMed : 30804210). May also act as a phosphorylation-dependent sequence-specific endoribonuclease in vitro : Cleaves exclusively between cytosine and adenine and cleaves MYC mRNA preferentially at the 3'-UTR (PubMed : 11604510).
See full target information G3BP1

Publications (32)

Recent publications for all applications. Explore the full list and refine your search

Journal of virology 99:e0208824 PubMed40145738

2025

Pseudorabies virus IE180 protein hijacks G3BPs into the nucleus to inhibit stress granule formation.

Applications

Unspecified application

Species

Unspecified reactive species

Ruihan Zhao,Zhenbang Zhu,Wenqiang Wang,Wei Wen,Zhendong Zhang,Herman W Favoreel,Xiangdong Li

Molecular cancer 23:248 PubMed39506849

2024

SARS-CoV-2 nucleocapsid protein interaction with YBX1 displays oncolytic properties through PKM mRNA destabilization.

Applications

Unspecified application

Species

Unspecified reactive species

Xin Chen,Baohong Jiang,Yu Gu,Zhaoyang Yue,Ying Liu,Zhiwei Lei,Ge Yang,Minhua Deng,Xuelong Zhang,Zhen Luo,Yongkui Li,Qiwei Zhang,Xuepei Zhang,Jianguo Wu,Chunyu Huang,Pan Pan,Fangjian Zhou,Ning Wang

Nature cell biology 26:1943-1957 PubMed39482354

2024

Caspase-2 is a condensate-mediated deubiquitinase in protein quality control.

Applications

Unspecified application

Species

Unspecified reactive species

Yingwei Ge,Lijie Zhou,Yesheng Fu,Lijuan He,Yi Chen,Dingchang Li,Yuping Xie,Jun Yang,Haitao Wu,Hongmiao Dai,Zhiqiang Peng,Yong Zhang,Shaoqiong Yi,Bo Wu,Xin Zhang,Yangjun Zhang,Wantao Ying,Chun-Ping Cui,Cui Hua Liu,Lingqiang Zhang

Aging cell 23:e14316 PubMed39155453

2024

Cooperative nuclear action of RNA-binding proteins PSF and G3BP2 to sustain neuronal cell viability is decreased in aging and dementia.

Applications

Unspecified application

Species

Unspecified reactive species

Ken-Ichi Takayama,Takashi Suzuki,Kaoru Sato,Yuko Saito,Satoshi Inoue

Advanced science (Weinheim, Baden-Wurttemberg, Germany) 11:e2403262 PubMed38973296

2024

DCAF7 Acts as A Scaffold to Recruit USP10 for G3BP1 Deubiquitylation and Facilitates Chemoresistance and Metastasis in Nasopharyngeal Carcinoma.

Applications

Unspecified application

Species

Unspecified reactive species

Qing-Jie Li,Xue-Liang Fang,Ying-Qin Li,Jia-Yi Lin,Cheng-Long Huang,Shi-Wei He,Sheng-Yan Huang,Jun-Yan Li,Sha Gong,Na Liu,Jun Ma,Yin Zhao,Ling-Long Tang

Nature communications 15:5033 PubMed38866783

2024

MA reduction relieves FUS-associated ALS granules.

Applications

Unspecified application

Species

Unspecified reactive species

Gaia Di Timoteo,Andrea Giuliani,Adriano Setti,Martina C Biagi,Michela Lisi,Tiziana Santini,Alessia Grandioso,Davide Mariani,Francesco Castagnetti,Eleonora Perego,Sabrina Zappone,Serena Lattante,Mario Sabatelli,Dante Rotili,Giuseppe Vicidomini,Irene Bozzoni

ACS omega 9:21298-21306 PubMed38764671

2024

Stress Granule Dysfunction via Chromophore-Associated Light Inactivation.

Applications

Unspecified application

Species

Unspecified reactive species

Takumi Koizumi,Ai Fujimoto,Haruka Kawaguchi,Tsumugi Kurosaki,Akira Kitamura

International journal of biological sciences 20:94-112 PubMed38164170

2024

G3BP1 Interact with JAK2 mRNA to Promote the Malignant Progression of Nasopharyngeal Carcinoma via Activating JAK2/STAT3 Signaling Pathway.

Applications

Unspecified application

Species

Unspecified reactive species

Yuting Zhan,Weiyuan Wang,Haihua Wang,Yue Xu,Yuting Zhang,Yue Ning,Hongmei Zheng,Jiadi Luo,Yang Yang,Hongjing Zang,Ming Zhou,Songqing Fan

Advanced science (Weinheim, Baden-Wurttemberg, Germany) 11:e2305068 PubMed38088586

2023

The miR-669a-5p/G3BP/HDAC6/AKAP12 Axis Regulates Primary Cilia Length.

Applications

Unspecified application

Species

Unspecified reactive species

Weina Wang,Xuyao Dai,Yue Li,Mo Li,Zongqi Chi,Xiaoyu Hu,Zhenshan Wang

PLoS biology 21:e3002381 PubMed37983241

2023

Copy-back viral genomes induce a cellular stress response that interferes with viral protein expression without affecting antiviral immunity.

Applications

Unspecified application

Species

Unspecified reactive species

Lavinia J González Aparicio,Yanling Yang,Matthew Hackbart,Carolina B López
View all publications

Product promise

We are committed to supporting your work with high-quality reagents, and we're here for you every step of the way. In the unlikely event that one of our products does not perform as expected, you're protected by our Product Promise.
For full details, please see our Terms & Conditions

Please note: All products are 'FOR RESEARCH USE ONLY. NOT FOR USE IN DIAGNOSTIC OR THERAPEUTIC PROCEDURES'.

For licensing inquiries, please contact partnerships@abcam.com