JavaScript is disabled in your browser. Please enable JavaScript to view this website.
AB190011

Anti-G3BP2 antibody

Be the first to review this product! Submit a review

|

(1 Publication)

Rabbit Polyclonal G3BP2 antibody. Suitable for WB, IHC-P and reacts with Human samples. Cited in 1 publication. Immunogen corresponding to Synthetic Peptide within Human G3BP2 aa 400 to C-terminus.

View Alternative Names

KIAA0660, G3BP2, Ras GTPase-activating protein-binding protein 2, G3BP-2, GAP SH3 domain-binding protein 2

2 Images
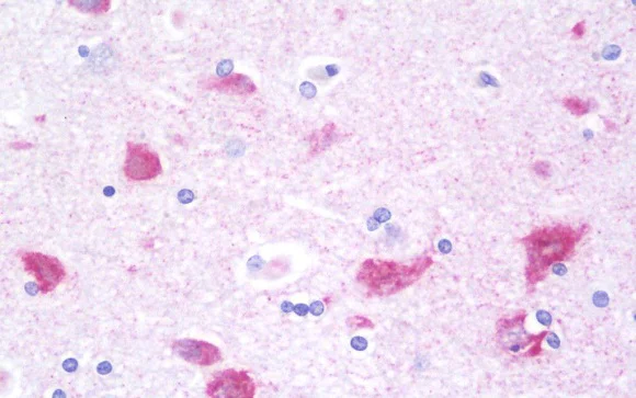
Immunohistochemistry (Formalin/PFA-fixed paraffin-embedded sections) - Anti-G3BP2 antibody (AB190011)
  • IHC-P

Supplier Data

Immunohistochemistry (Formalin/PFA-fixed paraffin-embedded sections) - Anti-G3BP2 antibody (AB190011)

Immunohistochemical analysis of formalin fixed, paraffin-embedded Human brain, cortex tissue labeling G3BP2 with ab190011 at 10 μg/ml.

Western blot - Anti-G3BP2 antibody (AB190011)
  • WB

Supplier Data

Western blot - Anti-G3BP2 antibody (AB190011)

All lanes:

Western blot - Anti-G3BP2 antibody (ab190011) at 1/500 dilution

Lane 1:

extracts from A549 cells

Lane 2:

extracts from HUVEC cells

Lane 3:

extracts from HeLa cells

Lane 4:

extracts from HeLa cells with synthesized peptide

Predicted band size: 54 kDa

false

Key facts

Host species

Rabbit

Clonality

Polyclonal

Isotype

IgG

Carrier free

No

Reacts with

Human

Applications

IHC-P, WB

applications

Immunogen

Synthetic Peptide within Human G3BP2 aa 400 to C-terminus. The exact immunogen used to generate this antibody is proprietary information.

Q9UN86

Reactivity data

{ "title": "Reactivity Data", "filters": { "stats": ["", "Species", "Dilution Info", "Notes"], "tabs": { "all-applications": {"fullname" : "All Applications", "shortname": "All Applications"}, "WB" : {"fullname" : "Western blot", "shortname":"WB"}, "IHCP" : {"fullname" : "Immunohistochemistry (Formalin/PFA-fixed paraffin-embedded sections)", "shortname":"IHC-P"} }, "product-promise": { "all": "all", "testedAndGuaranteed": "tested", "guaranteed": "expected", "predicted": "predicted", "notRecommended": "not-recommended" } }, "values": { "Human": { "WB-species-checked": "testedAndGuaranteed", "WB-species-dilution-info": "1/500 - 1/1000", "WB-species-notes": "<p></p>", "IHCP-species-checked": "testedAndGuaranteed", "IHCP-species-dilution-info": "10 µg/mL", "IHCP-species-notes": "<p></p>" }, "Mouse": { "WB-species-checked": "predicted", "WB-species-dilution-info": "", "WB-species-notes": "", "IHCP-species-checked": "predicted", "IHCP-species-dilution-info": "", "IHCP-species-notes": "" }, "Rat": { "WB-species-checked": "predicted", "WB-species-dilution-info": "", "WB-species-notes": "", "IHCP-species-checked": "predicted", "IHCP-species-dilution-info": "", "IHCP-species-notes": "" } } }

Properties and storage information

Form
Liquid
Purification technique
Affinity purification Immunogen
Storage buffer
pH: 7.4 Preservative: 0.02% Sodium azide Constituents: PBS, 50% Glycerol (glycerin, glycerine), 0.87% Sodium chloride
Shipped at conditions
Blue Ice
Appropriate short-term storage duration
1-2 weeks
Appropriate short-term storage conditions
+4°C
Appropriate long-term storage conditions
-20°C
Aliquoting information
Upon delivery aliquot
Storage information
Avoid freeze / thaw cycle

Product protocols

For this product, it's our understanding that no specific protocols are required. You can visit:

Target data

Scaffold protein that plays an essential role in cytoplasmic stress granule formation which acts as a platform for antiviral signaling (PubMed : 23279204, PubMed : 32302570, PubMed : 32302571, PubMed : 32302572). Plays an essential role in stress granule formation (PubMed : 27022092, PubMed : 32302570, PubMed : 32302571, PubMed : 32302572, PubMed : 35977029). Stress granules are membraneless compartments that store mRNAs and proteins, such as stalled translation pre-initiation complexes, in response to stress (PubMed : 32302570, PubMed : 32302571, PubMed : 32302572). Promotes formation of stress granules phase-separated membraneless compartment by undergoing liquid-liquid phase separation (LLPS) upon unfolded RNA-binding : functions as a molecular switch that triggers RNA-dependent LLPS in response to a rise in intracellular free RNA concentrations (By similarity).
See full target information G3BP2

Publications (1)

Recent publications for all applications. Explore the full list and refine your search

Frontiers in oncology 11:719564 PubMed34722263

2021

Single-Cell RNA Sequencing in Multiple Pathologic Types of Renal Cell Carcinoma Revealed Novel Potential Tumor-Specific Markers.

Applications

Unspecified application

Species

Unspecified reactive species

Cheng Su,Yufang Lv,Wenhao Lu,Zhenyuan Yu,Yu Ye,Bingqian Guo,Deyun Liu,Haibiao Yan,Tianyu Li,Qingyun Zhang,Jiwen Cheng,Zengnan Mo
View all publications

Product promise

We are committed to supporting your work with high-quality reagents, and we're here for you every step of the way. In the unlikely event that one of our products does not perform as expected, you're protected by our Product Promise.
For full details, please see our Terms & Conditions

Please note: All products are 'FOR RESEARCH USE ONLY. NOT FOR USE IN DIAGNOSTIC OR THERAPEUTIC PROCEDURES'.

For licensing inquiries, please contact partnerships@abcam.com