JavaScript is disabled in your browser. Please enable JavaScript to view this website.
AB317688

Anti-G3BP2 (isoform a) antibody [EPR27325-43] - BSA and Azide free

Be the first to review this product! Submit a review

|

(0 Publication)

Rabbit Recombinant Monoclonal G3BP2 antibody. Carrier free. Suitable for Dot, IHC-P, Flow Cyt (Intra), WB and reacts with Recombinant fragment - Human, Human, Mouse, Rat samples.

View Alternative Names

KIAA0660, G3BP2, Ras GTPase-activating protein-binding protein 2, G3BP-2, GAP SH3 domain-binding protein 2

8 Images
Flow Cytometry (Intracellular) - Anti-G3BP2 (isoform a) antibody [EPR27325-43] - BSA and Azide free (AB317688)
  • Flow Cyt (Intra)

Supplier Data

Flow Cytometry (Intracellular) - Anti-G3BP2 (isoform a) antibody [EPR27325-43] - BSA and Azide free (AB317688)

This data was developed using ab317687, the same antibody clone in a different buffer formulation.

Flow cytometric analysis of 4% paraformaldehyde fixed 90% methanol permeabilized HeLa (human cervical adenocarcinoma epithelial cell) cells labelling G3BP2 (isoform a) with ab317687 at 1/500 dilution (0.1 ug)/Red (Red) compared with a Rabbit monoclonal IgG (ab172730) (Black) isotype control and an unlabelled control (cells without incubation with primary antibody and secondary antibody) (Blue).

Goat Anti-Rabbit IgG (Alexa Fluor® 488, ab150081) at 1/5000 dilution was used as the secondary antibody.

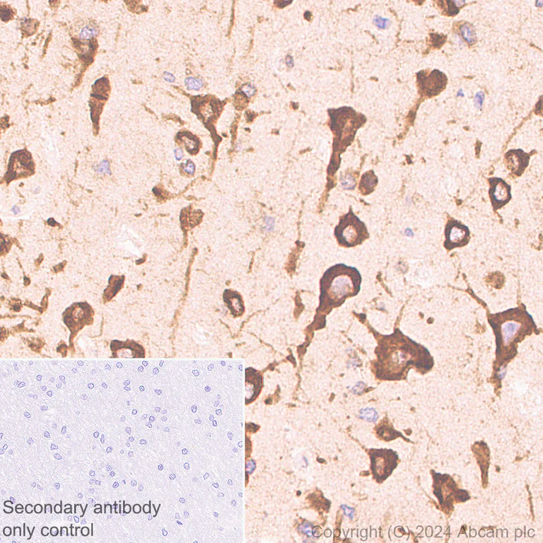
Immunohistochemistry (Formalin/PFA-fixed paraffin-embedded sections) - Anti-G3BP2 (isoform a) antibody [EPR27325-43] - BSA and Azide free (AB317688)
  • IHC-P

Supplier Data

Immunohistochemistry (Formalin/PFA-fixed paraffin-embedded sections) - Anti-G3BP2 (isoform a) antibody [EPR27325-43] - BSA and Azide free (AB317688)

This data was developed using ab317687, the same antibody clone in a different buffer formulation.

Immunohistochemical analysis of paraffin-embedded Human cerebrum tissue labeling G3BP2 (isoform a) with ab317687 at 1/100 (5.27 ug/ml) dilution, followed by a ready to use Rabbit specific IHC polymer detection kit HRP/DAB (ab209101).

Positive staining on neurons of human cerebrum (PMID : 33203845). The section was incubated with ab317687 for 30 mins at room temperature.
The immunostaining was performed on a Leica Biosystems BOND® RX instrument.

Counterstained with Hematoxylin.

Secondary antibody only control : Secondary antibody is a ready to use Rabbit specific IHC polymer detection kit HRP/DAB (ab209101).

Heat mediated antigen retrieval was performed with Tris-EDTA buffer (pH 9.0, Epitope Retrieval Solution2) for 20 mins.

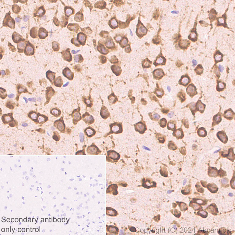
Immunohistochemistry (Formalin/PFA-fixed paraffin-embedded sections) - Anti-G3BP2 (isoform a) antibody [EPR27325-43] - BSA and Azide free (AB317688)
  • IHC-P

Supplier Data

Immunohistochemistry (Formalin/PFA-fixed paraffin-embedded sections) - Anti-G3BP2 (isoform a) antibody [EPR27325-43] - BSA and Azide free (AB317688)

This data was developed using ab317687, the same antibody clone in a different buffer formulation.

Immunohistochemical analysis of paraffin-embedded Rat cerebrum tissue labeling G3BP2 (isoform a) with ab317687 at 1/2000 (0.264 ug/ml) dilution, followed by a ready to use Rabbit specific IHC polymer detection kit HRP/DAB (ab209101).

Positive staining on neurons of rat cerebrum. The section was incubated with ab317687 for 30 mins at room temperature.
The immunostaining was performed on a Leica Biosystems BOND® RX instrument.

Counterstained with Hematoxylin.

Secondary antibody only control : Secondary antibody is a ready to use Rabbit specific IHC polymer detection kit HRP/DAB (ab209101).

Heat mediated antigen retrieval was performed with Tris-EDTA buffer (pH 9.0, Epitope Retrieval Solution2) for 20 mins.

Immunohistochemistry (Formalin/PFA-fixed paraffin-embedded sections) - Anti-G3BP2 (isoform a) antibody [EPR27325-43] - BSA and Azide free (AB317688)
  • IHC-P

Supplier Data

Immunohistochemistry (Formalin/PFA-fixed paraffin-embedded sections) - Anti-G3BP2 (isoform a) antibody [EPR27325-43] - BSA and Azide free (AB317688)

This data was developed using ab317687, the same antibody clone in a different buffer formulation.

Immunohistochemical analysis of paraffin-embedded Mouse cerebrum tissue labeling G3BP2 (isoform a) with ab317687 at 1/2000 (0.264 ug/ml) dilution, followed by a ready to use Rabbit specific IHC polymer detection kit HRP/DAB (ab209101).

Positive staining on neurons of mouse cerebrum. The section was incubated with ab317687 for 30 mins at room temperature.
The immunostaining was performed on a Leica Biosystems BOND® RX instrument.

Counterstained with Hematoxylin.

Secondary antibody only control : Secondary antibody is a ready to use Rabbit specific IHC polymer detection kit HRP/DAB (ab209101).

Heat mediated antigen retrieval was performed with Tris-EDTA buffer (pH 9.0, Epitope Retrieval Solution2) for 20 mins.

Western blot - Anti-G3BP2 (isoform a) antibody [EPR27325-43] - BSA and Azide free (AB317688)
  • WB

Supplier Data

Western blot - Anti-G3BP2 (isoform a) antibody [EPR27325-43] - BSA and Azide free (AB317688)

This data was developed using ab317687, the same antibody clone in a different buffer formulation.

The lysates were freshly made and used for Western Blotting immediately to minimize protein degradation.

All lanes:

Western blot - Anti-G3BP2 (isoform a) antibody [EPR27325-43] (<a href='/en-us/products/primary-antibodies/g3bp2-isoform-a-antibody-epr27325-43-ab317687'>ab317687</a>) at 1/1000 dilution

Lane 1:

HeLa (human cervical adenocarcinoma epithelial cell) whole cell lysate at 20 µg

Lane 2:

293T (human embryonic kidney epithelial cell) whole cell lysate at 20 µg

Lane 3:

NIH/3T3 (mouse embryonic fibroblast) whole cell lysate at 20 µg

Lane 4:

PC-12 (rat adrenal gland pheochromocytoma cell) whole cell lysate at 20 µg

Secondary

All lanes:

Goat Anti-Rabbit IgG (HRP) with minimal cross-reactivity with human IgG at 1/2000 dilution

Observed band size: 70 kDa

false

Exposure time: 26s

Western blot - Anti-G3BP2 (isoform a) antibody [EPR27325-43] - BSA and Azide free (AB317688)
  • WB

Supplier Data

Western blot - Anti-G3BP2 (isoform a) antibody [EPR27325-43] - BSA and Azide free (AB317688)

This data was developed using ab317687, the same antibody clone in a different buffer formulation.

In Western blot, Anti-Vinculin antibody [EPR8185] (ab129002) staining at 1/10000 dilution.

All lanes:

Western blot - Anti-G3BP2 (isoform a) antibody [EPR27325-43] (<a href='/en-us/products/primary-antibodies/g3bp2-isoform-a-antibody-epr27325-43-ab317687'>ab317687</a>) at 1/1000 dilution

Lane 1:

HeLa (human cervical adenocarcinoma epithelial cell) transfected with scrambled siRNA control whole cell lysate at 20 µg

Lane 2:

HeLa transfected with siRNA specifically targeting G3BP2 whole cell lysate at 20 µg

Secondary

All lanes:

Goat Anti-Rabbit IgG (HRP) with minimal cross-reactivity with human IgG at 1/2000 dilution

Observed band size: 70 kDa,124 kDa

false

Exposure time: 81s

Western blot - Anti-G3BP2 (isoform a) antibody [EPR27325-43] - BSA and Azide free (AB317688)
  • WB

Supplier Data

Western blot - Anti-G3BP2 (isoform a) antibody [EPR27325-43] - BSA and Azide free (AB317688)

This data was developed using ab317687, the same antibody clone in a different buffer formulation.

The lysates were freshly made and used for Western Blotting immediately to minimize protein degradation.

The bands beneath the target band (40 kDa) are likely to be degraded target fragments.

Exposure time : Lanes 1-6 : 10 seconds, Lanes 7-11 : 48 seconds

All lanes:

Western blot - Anti-G3BP2 (isoform a) antibody [EPR27325-43] (<a href='/en-us/products/primary-antibodies/g3bp2-isoform-a-antibody-epr27325-43-ab317687'>ab317687</a>) at 1/1000 dilution

Lanes 1 and 9:

Mouse brain tissue lysate at 20 µg

Lane 2:

Mouse liver tissue lysate at 20 µg

Lane 3:

Mouse testis tissue lysate at 20 µg

Lane 4:

Rat brain tissue lysate at 20 µg

Lane 5:

Rat liver tissue lysate at 20 µg

Lane 6:

Rat testis tissue lysate at 20 µg

Lane 7:

Human cerebellum tissue lysate at 20 µg

Lane 8:

Mouse cerebral cortex tissue lysate at 20 µg

Lane 10:

Rat cerebellum tissue lysate at 20 µg

Lane 11:

Rat cerebral cortex tissue lysate at 20 µg

Secondary

All lanes:

Goat Anti-Rabbit IgG (HRP) with minimal cross-reactivity with human IgG at 1/2000 dilution

Observed band size: 70 kDa,40 kDa

false

Dot Blot - Anti-G3BP2 (isoform a) antibody [EPR27325-43] - BSA and Azide free (AB317688)
  • Dot

Supplier Data

Dot Blot - Anti-G3BP2 (isoform a) antibody [EPR27325-43] - BSA and Azide free (AB317688)

This data was developed using ab317687, the same antibody clone in a different buffer formulation.

Dot blot analysis of G3BP2 (isoform a) using ab317687 at 1 : 1000 (0.527 ug/ml) followed by a Goat Anti-Rabbit IgG, (H+L), Peroxidase conjugated (ab97051) at 1 : 100,000 dilution.

Lane 1 : His-tagged human G3BP2 fragment Lane 2 : His-tagged human G3BP1 fragment

Blocking and diluting buffer and concentration : 5% NFDM/TBST.

This antibody does not cross-react with human G3BP1.

Anti-6X His tag® antibody [EPR20547] - ChIP Grade (ab213204) as total protein control staining at 1/5000 dilution.

All lanes:

Dot Blot - Anti-G3BP2 (isoform a) antibody [EPR27325-43] (<a href='/en-us/products/primary-antibodies/g3bp2-isoform-a-antibody-epr27325-43-ab317687'>ab317687</a>) at 1/1000 dilution

Lane 1:

His-tagged human G3BP2 recombinant protein

Lane 2:

His-tagged human G3BP1 recombinant protein

Secondary

All lanes:

Dot Blot - Goat Anti-Rabbit IgG H&L (HRP) (<a href='/en-us/products/secondary-antibodies/goat-rabbit-igg-h-l-hrp-ab97051'>ab97051</a>) at 1/100000 dilution

false

Exposure time: 180s

  • Unconjugated

    Anti-G3BP2 (isoform a) antibody [EPR27325-43]

Key facts

Host species

Rabbit

Clonality

Monoclonal

Clone number

EPR27325-43

Isotype

IgG

Carrier free

Yes

Reacts with

Human, Mouse, Rat

Applications

WB, IHC-P, Flow Cyt (Intra), Dot

applications

Immunogen

The exact immunogen used to generate this antibody is proprietary information.

Specificity

This antibody specifically recognizes G3BP2 (isoform a) but not G3BP2 (isoform b).

Reactivity data

{ "title": "Reactivity Data", "filters": { "stats": ["", "Species", "Dilution Info", "Notes"], "tabs": { "all-applications": {"fullname" : "All Applications", "shortname": "All Applications"}, "Dot" : {"fullname" : "Dot Blot", "shortname":"Dot"}, "IHCP" : {"fullname" : "Immunohistochemistry (Formalin/PFA-fixed paraffin-embedded sections)", "shortname":"IHC-P"}, "FlowCytIntra" : {"fullname" : "Flow Cytometry (Intracellular)", "shortname":"Flow Cyt (Intra)"}, "WB" : {"fullname" : "Western blot", "shortname":"WB"}, "ICCIF" : {"fullname" : "Immunocytochemistry/ Immunofluorescence", "shortname":"ICC/IF"}, "IP" : {"fullname" : "Immunoprecipitation", "shortname":"IP"} }, "product-promise": { "all": "all", "testedAndGuaranteed": "tested", "guaranteed": "expected", "predicted": "predicted", "notRecommended": "not-recommended" } }, "values": { "Human": { "Dot-species-checked": "guaranteed", "Dot-species-dilution-info": "", "Dot-species-notes": "", "IHCP-species-checked": "testedAndGuaranteed", "IHCP-species-dilution-info": "", "IHCP-species-notes": "<p></p>", "FlowCytIntra-species-checked": "testedAndGuaranteed", "FlowCytIntra-species-dilution-info": "", "FlowCytIntra-species-notes": "<p></p>", "WB-species-checked": "testedAndGuaranteed", "WB-species-dilution-info": "", "WB-species-notes": "<p></p>", "ICCIF-species-checked": "notRecommended", "ICCIF-species-dilution-info": "", "ICCIF-species-notes": "<p></p>", "IP-species-checked": "notRecommended", "IP-species-dilution-info": "", "IP-species-notes": "<p></p>" }, "Mouse": { "Dot-species-checked": "guaranteed", "Dot-species-dilution-info": "", "Dot-species-notes": "", "IHCP-species-checked": "testedAndGuaranteed", "IHCP-species-dilution-info": "", "IHCP-species-notes": "<p></p>", "FlowCytIntra-species-checked": "guaranteed", "FlowCytIntra-species-dilution-info": "", "FlowCytIntra-species-notes": "", "WB-species-checked": "testedAndGuaranteed", "WB-species-dilution-info": "", "WB-species-notes": "<p></p>", "ICCIF-species-checked": "notRecommended", "ICCIF-species-dilution-info": "", "ICCIF-species-notes": "", "IP-species-checked": "notRecommended", "IP-species-dilution-info": "", "IP-species-notes": "" }, "Rat": { "Dot-species-checked": "guaranteed", "Dot-species-dilution-info": "", "Dot-species-notes": "", "IHCP-species-checked": "testedAndGuaranteed", "IHCP-species-dilution-info": "", "IHCP-species-notes": "<p></p>", "FlowCytIntra-species-checked": "guaranteed", "FlowCytIntra-species-dilution-info": "", "FlowCytIntra-species-notes": "", "WB-species-checked": "testedAndGuaranteed", "WB-species-dilution-info": "", "WB-species-notes": "<p></p>", "ICCIF-species-checked": "notRecommended", "ICCIF-species-dilution-info": "", "ICCIF-species-notes": "", "IP-species-checked": "notRecommended", "IP-species-dilution-info": "", "IP-species-notes": "" }, "Recombinant fragment - Human": { "Dot-species-checked": "testedAndGuaranteed", "Dot-species-dilution-info": "", "Dot-species-notes": "<p></p>", "IHCP-species-checked": "notRecommended", "IHCP-species-dilution-info": "", "IHCP-species-notes": "", "FlowCytIntra-species-checked": "notRecommended", "FlowCytIntra-species-dilution-info": "", "FlowCytIntra-species-notes": "", "WB-species-checked": "notRecommended", "WB-species-dilution-info": "", "WB-species-notes": "", "ICCIF-species-checked": "notRecommended", "ICCIF-species-dilution-info": "", "ICCIF-species-notes": "", "IP-species-checked": "notRecommended", "IP-species-dilution-info": "", "IP-species-notes": "" } } }

Product details

ab317688 is the carrier-free version of ab317687.

Patented technology
Our RabMAb® technology is a patented hybridoma-based technology for making rabbit monoclonal antibodies. For details on our patents, please refer to RabMAb® patents.

What are the advantages of a recombinant monoclonal antibody?
This product is a recombinant monoclonal antibody, which offers several advantages including:

  • - High batch-to-batch consistency and reproducibility
  • - Improved sensitivity and specificity
  • - Long-term security of supply
  • - Animal-free batch production

For more information, read more on recombinant antibodies.

Conjugation ready
Our carrier-free antibodies are typically supplied in a PBS-only formulation, purified and free of BSA, sodium azide and glycerol. This conjugation-ready format is designed for use with fluorochromes, metal isotopes, oligonucleotides, and enzymes, which makes them ideal for antibody labelling, functional and cell-based assays, flow-based assays (e.g. mass cytometry) and Multiplex Imaging applications.

Use our conjugation kits for antibody conjugates that are ready-to-use in as little as 20 minutes with 1 minute hands-on-time and 100% antibody recovery: available for fluorescent dyes, HRP, biotin and gold.

Compatibility
This product is compatible with the Maxpar® Antibody Labeling Kit from Fluidigm, without the need for antibody preparation. Maxpar® is a trademark of Fluidigm Canada Inc.

Properties and storage information

Form
Liquid
Purification technique
Affinity purification Protein A
Storage buffer
pH: 7.2 - 7.4 Constituents: PBS
Shipped at conditions
Blue Ice
Appropriate short-term storage conditions
+4°C
Appropriate long-term storage conditions
+4°C

Product protocols

For this product, it's our understanding that no specific protocols are required. You can visit:

Target data

Scaffold protein that plays an essential role in cytoplasmic stress granule formation which acts as a platform for antiviral signaling (PubMed : 23279204, PubMed : 32302570, PubMed : 32302571, PubMed : 32302572). Plays an essential role in stress granule formation (PubMed : 27022092, PubMed : 32302570, PubMed : 32302571, PubMed : 32302572, PubMed : 35977029). Stress granules are membraneless compartments that store mRNAs and proteins, such as stalled translation pre-initiation complexes, in response to stress (PubMed : 32302570, PubMed : 32302571, PubMed : 32302572). Promotes formation of stress granules phase-separated membraneless compartment by undergoing liquid-liquid phase separation (LLPS) upon unfolded RNA-binding : functions as a molecular switch that triggers RNA-dependent LLPS in response to a rise in intracellular free RNA concentrations (By similarity).
See full target information G3BP2

Product promise

We are committed to supporting your work with high-quality reagents, and we're here for you every step of the way. In the unlikely event that one of our products does not perform as expected, you're protected by our Product Promise.
For full details, please see our Terms & Conditions

Please note: All products are 'FOR RESEARCH USE ONLY. NOT FOR USE IN DIAGNOSTIC OR THERAPEUTIC PROCEDURES'.

For licensing inquiries, please contact partnerships@abcam.com