JavaScript is disabled in your browser. Please enable JavaScript to view this website.
AB230347

Anti-G5PR antibody

Be the first to review this product! Submit a review

|

(1 Publication)

Rabbit Polyclonal G5PR antibody. Suitable for WB, IHC-P and reacts with Mouse, Human samples. Cited in 1 publication. Immunogen corresponding to Recombinant Fragment Protein within Human PPP2R3C aa 1-200.

View Alternative Names

C14orf10, G5PR, PPP2R3C, Serine/threonine-protein phosphatase 2A regulatory subunit B'' subunit gamma, Protein phosphatase subunit G5PR, Rhabdomyosarcoma antigen MU-RMS-40.6A/6C

3 Images
Immunohistochemistry (Formalin/PFA-fixed paraffin-embedded sections) - Anti-G5PR antibody (AB230347)
  • IHC-P

Supplier Data

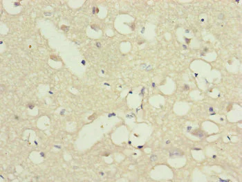
Immunohistochemistry (Formalin/PFA-fixed paraffin-embedded sections) - Anti-G5PR antibody (AB230347)

Paraffin-embedded human brain tissue stained for G5PR with ab230347 at 1/100 dilution in immunohistochemical analysis.

Immunohistochemistry (Formalin/PFA-fixed paraffin-embedded sections) - Anti-G5PR antibody (AB230347)
  • IHC-P

Supplier Data

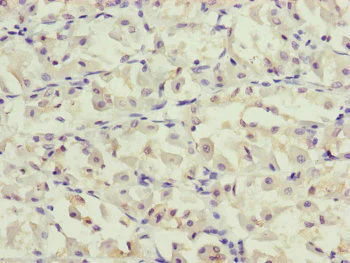
Immunohistochemistry (Formalin/PFA-fixed paraffin-embedded sections) - Anti-G5PR antibody (AB230347)

Paraffin-embedded human gastric cancer tissue stained for G5PR with ab230347 at 1/100 dilution in immunohistochemical analysis.

Western blot - Anti-G5PR antibody (AB230347)
  • WB

Supplier Data

Western blot - Anti-G5PR antibody (AB230347)

All lanes:

Western blot - Anti-G5PR antibody (ab230347) at 1/1000 dilution

Lane 1:

Mouse stomach tissue lysate

Lane 2:

Mouse brain tissue lysate

Lane 3:

A431 (human epidermoid carcinoma cell line) whole cell lysate

Lane 4:

Jurkat (human T cell leukemia cell line from peripheral blood) whole cell lysate

Lane 5:

A549 (human lung carcinoma cell line) whole cell lysate

Secondary

All lanes:

Goat polyclonal to rabbit IgG at 1/10000 dilution

Predicted band size: 53 kDa

Observed band size: 30 kDa,53 kDa

true

Key facts

Host species

Rabbit

Clonality

Polyclonal

Isotype

IgG

Carrier free

No

Reacts with

Mouse, Human

Applications

WB, IHC-P

applications

Immunogen

Recombinant Fragment Protein within Human PPP2R3C aa 1-200. The exact immunogen used to generate this antibody is proprietary information.

Q969Q6

Reactivity data

{ "title": "Reactivity Data", "filters": { "stats": ["", "Species", "Dilution Info", "Notes"], "tabs": { "all-applications": {"fullname" : "All Applications", "shortname": "All Applications"}, "WB" : {"fullname" : "Western blot", "shortname":"WB"}, "IHCP" : {"fullname" : "Immunohistochemistry (Formalin/PFA-fixed paraffin-embedded sections)", "shortname":"IHC-P"} }, "product-promise": { "all": "all", "testedAndGuaranteed": "tested", "guaranteed": "expected", "predicted": "predicted", "notRecommended": "not-recommended" } }, "values": { "Human": { "WB-species-checked": "guaranteed", "WB-species-dilution-info": "", "WB-species-notes": "", "IHCP-species-checked": "testedAndGuaranteed", "IHCP-species-dilution-info": "1/20 - 1/200", "IHCP-species-notes": "<p></p>" }, "Mouse": { "WB-species-checked": "testedAndGuaranteed", "WB-species-dilution-info": "1/1000 - 1/5000", "WB-species-notes": "<p></p>", "IHCP-species-checked": "guaranteed", "IHCP-species-dilution-info": "", "IHCP-species-notes": "" } } }

Properties and storage information

Form
Liquid
Purification technique
Affinity purification Immunogen
Storage buffer
pH: 7.3 Preservative: 0.02% Sodium azide Constituents: PBS, 50% Glycerol (glycerin, glycerine)
Shipped at conditions
Blue Ice
Appropriate short-term storage duration
1-2 weeks
Appropriate short-term storage conditions
+4°C
Appropriate long-term storage conditions
-20°C
Aliquoting information
Upon delivery aliquot
Storage information
Avoid freeze / thaw cycle

Product protocols

For this product, it's our understanding that no specific protocols are required. You can visit:

Target data

May regulate MCM3AP phosphorylation through phosphatase recruitment (By similarity). May act as a negative regulator of ABCB1 expression and function through the dephosphorylation of ABCB1 by TFPI2/PPP2R3C complex (PubMed : 24333728). May play a role in the activation-induced cell death of B-cells (By similarity).
See full target information PPP2R3C

Publications (1)

Recent publications for all applications. Explore the full list and refine your search

Journal of oral & facial pain and headache 39:196-203 PubMed40129438

2025

Loss of SCRG1 in chondrocytes inhibits osteoarthritis by promoting autophagy activity in the temporomandibular joint through inhibition of neurokine receptors.

Applications

Unspecified application

Species

Unspecified reactive species

JiaJun Zhang,LePing Yuan,YanYan Zhang,HaoYang Jin,YeKe Zhao,XiaoKe Zeng,YanHui Zou,KeYu Wang,Xin Nie
View all publications

Product promise

We are committed to supporting your work with high-quality reagents, and we're here for you every step of the way. In the unlikely event that one of our products does not perform as expected, you're protected by our Product Promise.
For full details, please see our Terms & Conditions

Please note: All products are 'FOR RESEARCH USE ONLY. NOT FOR USE IN DIAGNOSTIC OR THERAPEUTIC PROCEDURES'.

For licensing inquiries, please contact partnerships@abcam.com