JavaScript is disabled in your browser. Please enable JavaScript to view this website.
AB314448

Anti-GAA antibody [EPR28363-56]

Be the first to review this product! Submit a review

|

(0 Publication)

Rabbit Recombinant Monoclonal GAA antibody. Suitable for WB, IP and reacts with Mouse, Rat samples.

View Alternative Names

Lysosomal alpha-glucosidase, Acid maltase, Gaa

4 Images
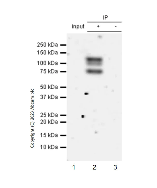
Immunoprecipitation - Anti-GAA antibody [EPR28363-56] (AB314448)
  • IP

Supplier Data

Immunoprecipitation - Anti-GAA antibody [EPR28363-56] (AB314448)

GAA was immunoprecipitated from 0.35 mg NIH/3T3 (mouse embryonic fibroblast) whole cell lysate with ab314448 at 1/30 dilution (2ug in 0.35mg lysates). Western blot was performed on the immunoprecipitate using ab314448 at 1/1000 dilution. VeriBlot for IP secondary antibody(HRP)(ab131366) was used at 1/5000 dilution. Lane 1 : NIH/3T3 (mouse embryonic fibroblast) whole cell lysate Lane 2 : ab314448 IP in NIH/3T3 (mouse embryonic fibroblast) whole cell lysate Lane 3 : Rabbit monoclonal IgG (ab172730) instead of ab314448 NIH/3T3 whole cell lysate Blocking and dilution buffer and concentration : 5% NFDM/TBST.

All lanes:

Immunoprecipitation - Anti-GAA antibody [EPR28363-56] (ab314448) at 1/30 dilution

All lanes:

NIH/3T3 (mouse embryonic fibroblast) whole cell lysate

Secondary

All lanes:

Immunoprecipitation - VeriBlot for IP Detection Reagent (HRP) (<a href='/en-us/products/reagents/veriblot-for-ip-detection-reagent-hrp-ab131366'>ab131366</a>) at 1/5000 dilution

false

Exposure time: 180s

Western blot - Anti-GAA antibody [EPR28363-56] (AB314448)
  • WB

Supplier Data

Western blot - Anti-GAA antibody [EPR28363-56] (AB314448)

Blocking and diluting buffer and concentration : 5% NFDM/TBST.

The expression profile/ molecular weight observed is consistent with what has been described in the literature (PMID : 33971197).

This blot was developed using a high sensitivity ECL substrate. The high-sensitivity ECL substrate used allows for the detection of proteins in the mid-femtogram range.

In Western blot, Anti-GAPDH antibody [EPR16891] - Loading Control (ab181602) staining at 1/200000 dilution.

All lanes:

Western blot - Anti-GAA antibody [EPR28363-56] (ab314448) at 1/1000 dilution

Lane 1:

NIH/3T3 (mouse embryonic fibroblast) transfected with scrambled siRNA control whole cell lysate at 20 µg

Lane 2:

NIH/3T3 transfected with siRNA specifically targeti GAA whole cell lysate at 20 µg

Secondary

All lanes:

Western blot - Goat Anti-Rabbit IgG H&L (HRP) (<a href='/en-us/products/secondary-antibodies/goat-rabbit-igg-h-l-hrp-ab97051'>ab97051</a>) at 1/100000 dilution

Observed band size: 76 kDa,95 kDa,110 kDa

true

Exposure time: 180s

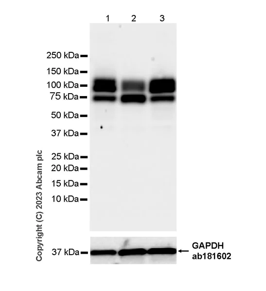
Western blot - Anti-GAA antibody [EPR28363-56] (AB314448)
  • WB

Supplier Data

Western blot - Anti-GAA antibody [EPR28363-56] (AB314448)

Blocking and diluting buffer and concentration : 5% NFDM/TBST The expression profile/molecular weight observed is consistent with what has been described in the literature (PMID : 33971197). In Western blot, Anti-GAPDH antibody [EPR16891] - Loading Control (ab181602) staining at 1/200000 dilution.

All lanes:

Western blot - Anti-GAA antibody [EPR28363-56] (ab314448) at 1/1000 dilution

Lane 1:

Mouse heart tissue lysate at 20 µg

Lane 2:

Mouse thymus tissue lysate at 20 µg

Lane 3:

Mouse cerebellum tissue lysate at 20 µg

Lane 4:

Rat brain tissue lysate at 20 µg

Lane 5:

Rat cerebellum tissue lysate at 20 µg

Lane 6:

PC-12 (rat adrenal gland pheochromocytoma cell) whole cell lysate at 20 µg

Secondary

All lanes:

Western blot - Goat Anti-Rabbit IgG H&L (HRP) (<a href='/en-us/products/secondary-antibodies/goat-rabbit-igg-h-l-hrp-ab97051'>ab97051</a>) at 1/100000 dilution

Observed band size: 76 kDa,95 kDa,110 kDa

false

Exposure time: 180s

Western blot - Anti-GAA antibody [EPR28363-56] (AB314448)
  • WB

Supplier Data

Western blot - Anti-GAA antibody [EPR28363-56] (AB314448)

Blocking and diluting buffer and concentration : 5% NFDM/TBST The expression profile/molecular weight observed is consistent with what has been described in the literature (PMID : 33971197). In Western blot, Anti-GAPDH antibody [EPR16891] - Loading Control (ab181602) staining at 1/200000 dilution.

All lanes:

Western blot - Anti-GAA antibody [EPR28363-56] (ab314448) at 1/1000 dilution

Lane 1:

3T3-L1 (mouse embryonic fibroblast) whole cell lysate at 20 µg

Lane 2:

Neuro-2a (mouse neuroblastoma neuroblast) whole cell lysate at 20 µg

Lane 3:

MEF (mouse embryonic fibroblast (immortalized)) whole cell lysate at 20 µg

Secondary

All lanes:

Western blot - Goat Anti-Rabbit IgG H&L (HRP) (<a href='/en-us/products/secondary-antibodies/goat-rabbit-igg-h-l-hrp-ab97051'>ab97051</a>) at 1/100000 dilution

Observed band size: 76 kDa,95 kDa,110 kDa

false

Exposure time: 26s

  • Carrier free

    Anti-GAA antibody [EPR28363-56] - BSA and Azide free

Key facts

Host species

Rabbit

Clonality

Monoclonal

Clone number

EPR28363-56

Isotype

IgG

Carrier free

No

Reacts with

Mouse, Rat

Applications

IP, WB

applications

Immunogen

The exact immunogen used to generate this antibody is proprietary information.

Reactivity data

{ "title": "Reactivity Data", "filters": { "stats": ["", "Species", "Dilution Info", "Notes"], "tabs": { "all-applications": {"fullname" : "All Applications", "shortname": "All Applications"}, "WB" : {"fullname" : "Western blot", "shortname":"WB"}, "IP" : {"fullname" : "Immunoprecipitation", "shortname":"IP"}, "IHCP" : {"fullname" : "Immunohistochemistry (Formalin/PFA-fixed paraffin-embedded sections)", "shortname":"IHC-P"}, "ICCIF" : {"fullname" : "Immunocytochemistry/ Immunofluorescence", "shortname":"ICC/IF"}, "FlowCytIntra" : {"fullname" : "Flow Cytometry (Intracellular)", "shortname":"Flow Cyt (Intra)"} }, "product-promise": { "all": "all", "testedAndGuaranteed": "tested", "guaranteed": "expected", "predicted": "predicted", "notRecommended": "not-recommended" } }, "values": { "Human": { "WB-species-checked": "notRecommended", "WB-species-dilution-info": "", "WB-species-notes": "<p></p>", "IP-species-checked": "notRecommended", "IP-species-dilution-info": "", "IP-species-notes": "", "IHCP-species-checked": "notRecommended", "IHCP-species-dilution-info": "", "IHCP-species-notes": "<p></p>", "ICCIF-species-checked": "notRecommended", "ICCIF-species-dilution-info": "", "ICCIF-species-notes": "", "FlowCytIntra-species-checked": "notRecommended", "FlowCytIntra-species-dilution-info": "", "FlowCytIntra-species-notes": "" }, "Mouse": { "WB-species-checked": "testedAndGuaranteed", "WB-species-dilution-info": "1/1000", "WB-species-notes": "<p></p>", "IP-species-checked": "testedAndGuaranteed", "IP-species-dilution-info": "1/30", "IP-species-notes": "<p></p>", "IHCP-species-checked": "notRecommended", "IHCP-species-dilution-info": "", "IHCP-species-notes": "<p></p>", "ICCIF-species-checked": "notRecommended", "ICCIF-species-dilution-info": "", "ICCIF-species-notes": "<p></p>", "FlowCytIntra-species-checked": "notRecommended", "FlowCytIntra-species-dilution-info": "", "FlowCytIntra-species-notes": "<p></p>" }, "Rat": { "WB-species-checked": "testedAndGuaranteed", "WB-species-dilution-info": "1/1000", "WB-species-notes": "<p></p>", "IP-species-checked": "guaranteed", "IP-species-dilution-info": "", "IP-species-notes": "", "IHCP-species-checked": "notRecommended", "IHCP-species-dilution-info": "", "IHCP-species-notes": "<p></p>", "ICCIF-species-checked": "notRecommended", "ICCIF-species-dilution-info": "", "ICCIF-species-notes": "", "FlowCytIntra-species-checked": "notRecommended", "FlowCytIntra-species-dilution-info": "", "FlowCytIntra-species-notes": "" } } }

Product details

Patented technology
Our RabMAb® technology is a patented hybridoma-based technology for making rabbit monoclonal antibodies. For details on our patents, please refer to RabMAb® patents.

What are the advantages of a recombinant monoclonal antibody?
This product is a recombinant monoclonal antibody, which offers several advantages including:

  • - High batch-to-batch consistency and reproducibility
  • - Improved sensitivity and specificity
  • - Long-term security of supply
  • - Animal-free batch production

For more information, read more on recombinant antibodies.

Properties and storage information

Form
Liquid
Purification technique
Affinity purification Protein A
Storage buffer
pH: 7.2 - 7.4 Preservative: 0.01% Sodium azide Constituents: PBS, 40% Glycerol (glycerin, glycerine), 0.05% BSA
Shipped at conditions
Blue Ice
Appropriate short-term storage duration
1-2 weeks
Appropriate short-term storage conditions
+4°C
Appropriate long-term storage conditions
-20°C
Aliquoting information
Upon delivery aliquot
Storage information
Avoid freeze / thaw cycle

Product protocols

For this product, it's our understanding that no specific protocols are required. You can visit:

Target data

Essential for the degradation of glycogen in lysosomes. Has highest activity on alpha-1,4-linked glycosidic linkages, but can also hydrolyze alpha-1,6-linked glucans.
See full target information Gaa

Product promise

We are committed to supporting your work with high-quality reagents, and we're here for you every step of the way. In the unlikely event that one of our products does not perform as expected, you're protected by our Product Promise.
For full details, please see our Terms & Conditions

Please note: All products are 'FOR RESEARCH USE ONLY. NOT FOR USE IN DIAGNOSTIC OR THERAPEUTIC PROCEDURES'.

For licensing inquiries, please contact partnerships@abcam.com